Главная | Установка брекет-системы брекет Damon
Важность красивой улыбки сложно переоценить. От нее во многом зависит уверенность в себе, самооценка, успешность социальных контактов, счастье в личной жизни и многие другие аспекты. Рассмотрим подробнее брекеты Даймон Q и Даймон Clear.
Самолигирующие брекеты компании ORMCO (США)
Самолигирующие брекеты DAMON в отличие от других безлигатурных брекетов, имеют относительно маленький размер, не выраженные крылья и отсутствие крючков, что позволяет пациенту быстрее привыкнуть к данной брекет-системе. Все брекеты системы DAMON имеют качественный замок, который очень редко ломается.
Безлигатурные брекеты DAMON-3 сочетают в себе достоинства эстетических брекетов с наличием металлического замка, который обеспечивает максимально мягкое скольжение. Основная площадка брекетов DAMON-3 изготовлена из керамики, что делает эти брекеты практически незаметными на эмали зубов. А металлический замок дает возможность применения слабых сил на этапах ортодонтического лечения.
Стоимость брекетов DAMON- 3 в среднем составляет 17000- 28000 на один зубной ряд.
Брекеты DAMON-3 MX металлические самолигирующие брекеты. Имеют качественный замок и удобный дизайн для перемещения зубов.
Стоимость брекетов DAMON- 3 в среднем составляет 13000- 25000 на один зубной ряд.
Самолигирующие брекеты DAMON Q. Металлические брекеты, имеющие тонкий профиль и маленький размер, позволяющий пациентам быстрее привыкнуть к данной системе. Эти брекеты также имеют сдвоенные пазы для вспомогательных элементов для нового способа лечения.
Керамические брекеты компании ORMCO (США)
Эстетические брекеты DAMON CLEAR. Сочетают в себе достоинства эстетичных брекетов (они не видны при улыбке) с наличием замка, который обеспечивает пассивное самолигирование. Изготовлены брекеты DAMON CLEAR из прочного поликристаллического оксида алюминия (РСА), который устойчив к изменению цвета и появлению пятен. Брекеты DAMON CLEAR удобно совмещать с безлигатурными металлическими брекетами системы DAMON , для этого на центральные зубы устанавливают DAMON CLEAR, а на дальние зубы металлические брекеты DAMON. Это позволяет сэкономить пациенту без потери качества.
Для исправления прикуса и улучшения эстетических характеристик зубов как никогда актуальны брекет-системы Damon Clear. Не стоит бояться – они уже давно отошли от привычного устрашающего «советского» вида. Современные варианты более легкие, удобные, стильные и незаметные.
Чтобы раз и навсегда обрести голливудскую улыбку и правильный прикус, обращайтесь к частному врачу-ортодонту Ирине Буториной. С помощью самых современных технологий, материалов и приспособлений она подарит вам уверенность в себе!
Принцип действия безлигатуных брекетов
Как известно, в лигатурных системах (от лат. Ligature – «связь, соединение») связь между брекетами осуществляется не только ортодонтической дугой, но и лигатурами, роль которых выполняют резиновые кольца или металлическая проволока. Этот элемент очень важен для исправления прикуса и для удержания всей конструкции.
Однако в ортодонтии широкое применение находят и безлигатурные брекеты. Из названия понятно, что данная конструкция не имеет лигатур: брекеты крепятся на зубы с помощью все того же специального клея, но между собой соединены только ортодонтической дугой. Такие изделия считаются более современными, чем их лигатурные собратья.
Установка

На этом же этапе происходит выявление возможных противопоказаний, препятствующих коррекции прикуса при помощи брекет-системы.
После устранения патологий, препятствующих установке ортодонтической конструкции, выполняется рентгенографический снимок и снятие слепков челюсти.
На их основании в дальнейшем изготавливается модель челюсти, способствующая правильному подбору силовой дуги и сравнению конечного результата с исходным состоянием.
Фиксация металлических замочков брекет-системы осуществляется при помощи светоотверждаемого состава. После этого стоматолог прокладывает силовую дугу в предназначенные для этого пазы и фиксирует ее защелкам.
Создание определенного натяжения дуги является завершающим этапом установки брекет-системы, который запускает процесс коррекции положения зубов.
Во время прохождения ортодонтического лечения пациенту необходимо через определенный промежуток времени посещать стоматолога для оценки результата и корректировки натяжения силовой дуги.
Конструктивные особенности брекетов In Ovation и тактика лечения системой.
В этой публикации мы поговорим о безлигатурных брекет системах.
Пройдите по ссылке https://orto-info.ru/sistemyi-vyiravnivaniya-zubov/breketyi/po-raspolozheniyu/vestibulyarnyie/victory.html, если интересует конструкция брекетов Виктори.
Как работают безлигатурные брекеты
Самыми главными принципами безлигатурных (их еще называются самолигирующими) конструкций является повышение эстетики улыбки, а также снижение дискомфорта пациента. Из-за отсутствия лигатур на зубы не оказывается сильного давления, а значит, и человек не испытывает сильных болезненных ощущений и значительного дискомфорта во время эксплуатации аппарата
Выглядит самолигирующая система так: на зубы специальным клеем крепятся брекеты, имеющие заслонки (замочки). Эти заслонки удерживают ортодонтическую дугу, которая выполнена из легкого металла и имеет очень маленький диаметр, но в то же время крепко держит конструкцию и оказывает воздействие на ткани пародонта.
О производителе
Ormco – крупная американская корпорация, занимающаяся выпуском ортодонтических конструкций с 50-х годов прошлого века.
В настоящее время линейка товаров производителя насчитывает несколько серий брекет-систем, отличающихся материалом изготовления, а также конструктивными особенностями.
При моделировании устройства для исправления прикуса используются современные компьютерные технологии, позволяющие получить цифровое отображение элементов конструкции и спрогнозировать степень их воздействия на зубочелюстной ряд человека.
Помимо изготовления брекет-систем, компания Ormco принимает активное участие в разработке новейших технологий и программного обеспечения в сфере стоматологии, а также организует мероприятия по консультации и обучению ортодонтов работе с конструкциями по исправлению прикуса.
Противопоказания для ношения Damon
- не санированная полость рта,
- трещины эмали,
- большое количество запломбированных зубов и/или искусственных коронок,
- психические и невротические заболевания,
- аллергия на материалы конструкции,
- тяжелые соматические заболевания.
Важно! Термин «пассивное самолигирование» обозначает отсутствие активного давления затвора паза на ортодонтическую дугу во время лечения. В то время как у брекетов с активным самолигированием запорный механизм крышки прижимает дугу к нижней стенке паза. Пассивное самолигирование позволяет заметно снизить силу трения в системе за счет уменьшения физиологического воздействия на коронки.
Самолигирующие брекеты Damon – лучшее решение для тех, кто хочет быстро исправить прикус
Брекеты Damon (Даймон) – одна из самых популярных линеек безлигатурных брекет-систем, представленная американской компанией Ormco. Базовая конструкция была разработана около 15 лет назад стоматологом-ортодонтом Дуайтом Даймоном. Сегодня данная ортодонтическая система выпускается в нескольких вариантах – пациентам предлагаются металлические и комбинированные модели с керамическими пластинами, а также прозрачные брекеты, созданные из поликристаллического алюминия.
Важно! Брекет-системы Damon оснащены специальными замочками с особым типом заслонки – SpinTek. Это запатентованный механизм, который удерживает дугу в пазах пластин, но при этом не мешает ей свободно передвигаться. В результате сила трения остается на минимальном уровне, в то время как в процесс исправления прикуса включаются мышцы лица, и лечение проходит более комфортно для пациента1.
Отличие брекетов Damon от других самолигирующих систем
Вестибулярные конструкции Damon имеют небольшие габариты, что выгодно отличает их от других аппаратов в эстетическом ключе. Кроме того, миниатюрные размеры сказываются и на процессе адаптации пациента к изделию: вне зависимости от того, из какого материала изготовлены брекеты – из керамики или металла, они намного легче безлигатурных собратьев, а значит, не доставляют дискомфорта при ношении. Кроме того, замочки обеспечивают небольшую подвижность дуги, что позволяет равномерно распределить нагрузку на зубы.
Металлические брекеты Damon Q
Конструкции отличаются миниатюрными габаритами и низким профилем. Специальный механизм SpinTek позволяет легко открыть систему даже при зубном камне. Дополнительные вертикальный и горизонтальный пазы дают возможность устанавливать крючки на любой стадии лечения. Широкий ряд опций делает конструкцию лучшим вариантом для тех, кто в первую очередь ценит эффективность терапии. Она отлично подходит пациентам с чувствительной слизистой и низкими дёснами. Да и с эстетической стороны конструкция намного привлекательнее, чем металлические системы других брендов.
Преимущества данной брекет-системы
- время установки и активации конструкции занимает 15-20 минут,
- высокие эстетические характеристики позволяют сохранить улыбку привлекательной,
- большой модельный ряд, позволяющий применять конструкцию в разных клинических ситуациях,
- короткий срок адаптации к изделию,
- отсутствие лигатур снижает риск образования зубного камня и развития кариеса, так как остатки пищи хорошо вычищаются,
- простота в уходе (по сравнению с лигатурными системами),
- возможность комбинировать брекеты с другими ортодонтическими изделиями,
- отсутствие необходимости регулярно посещать врача для корректирования давления дуги,
- могут быть использованы даже в запущенных случаях.
Особенности системы
Брекет-система Damon Q является самолигирующей конструкцией, которая состоит из особых замочков и силовой дуги. Изделие существенно отличается от большинства традиционных аналогов своим строением за счет отсутствия лигатур, прикрепляющих дугу к самому брекету.
Замочек системы и фиксирующий элемент в этой модели составляют единое целое. Силовая дуга при этом фиксируется при помощи специального зажима, и может свободно скользить в пазах брекетов, уменьшая степень трения.
Механизм фиксации SpinTek, используемый в брекет-системе, позволяет без усилий устанавливать или извлекать силовую дугу при необходимости ее замены.
Замочки, фиксируемые на зубах, уменьшены по сравнению с традиционными конструкциями, благодаря чему доставляют меньше дискомфорта во время ношения.
При производстве брекет-системы Damon Q используется специальная нержавеющая сталь марки 17-4, которая часто используется в стоматологии. Материал не вызывает возникновения аллергической реакции у пациентов и не склонен к окислению.
Смотрите фото керамических брекетов и узнайте об их преимуществах и недостатках.
Ознакомьтесь здесь с отзывами о том, насколько больно устанавливать брекеты.
По этому адресу https://orto-info.ru/sistemyi-vyiravnivaniya-zubov/breketyi/skolko-stoyat-tsena.html мы расскажем, сколько стоят брекеты на зубы ребенку.
Модельный ряд системы Damon
Компания Ormco, производящая брекет-системы Damon, позаботилась о том, чтоб их продукция могла найти широкое применение. Поэтому специалистами компании был разработан модельный ряд ортодонтических систем, каждая из которых максимально эффективна в той или иной клинической ситуации. Это позволяет стоматологам успешно исправлять прикус большому количеству пациентов вне зависимости от возраста и тяжести патологии.
Далее приведен обзор самых востребованных ортодонитических систем, разработанных компанией Ormco.
Damon Clear
Данная брекет-система как нельзя лучше подходит не только для возвращения правильного прикуса, но и для придания улыбке эстетики. Самолигирующая конструкция малоощутима на зубах: имеет гладкую поверхность, что исключает дискомфорт и травмирование слизистой, и мягко осуществляет коррекцию. Кроме того, дуга и сами брекеты изготавливаются из легкого, но прочного поликристаллического оксида алюминия (РСА). Он не окисляется, а значит, и не меняет цвет и не дает металлический привкус на всем протяжении лечения.
Первые результаты лечения с помощью брекетов Damon Clear заметны уже через 8-10 недель. Кроме того, данная конструкция универсальна и может быть скомбинирована с другими ортодонтическими системами. Чаще всего с брекетами той же системы Damon, которые устанавливаются на жевательные зубы. Это экономит и деньги, и время пациента.
Damon Q
Эта брекет-система начала активно применяться в 2009 году и сразу завоевала популярность благодаря своей эффективности и надежности.
Брекеты Damon Q – цельнометаллические (изготовлены из высококачественной стали марки 17-4), а потому очень прочные и доступные в финансовом плане. Но главное их достоинство – высокая эффективность лечения даже при серьезных аномалиях. Эта конструкция, как и ее собратья, работает по принципу самолигирования, однако на ней имеются сдвоенные пазы для вспомогательных элементов. Это позволяет менять тактику лечения или корректировать его без снятия изделия целиком.
Кроме того, размеры деталей данной системы гораздо меньше, чем у лигатурных брекетов, а значит, само изделие не доставляет пациенту болевых ощущений при приеме пищи или разговоре. Так же, как и у других конструкций этой марки, брекеты Damon Q имеют систему SpinTec1, которая и обеспечивает пассивное лигирование. Ортодонтическая дуга беспрепятственно движется в пазах крышки, что не причиняет боли при корректировании прикуса, но при этом равномерно распределяет нагрузку на всю челюсть. А это, в свою очередь позволяет избежать различных осложнений, например, снижает опасность развития воспаления или даже инфицирования пародонта, риск возникновения кариеса, облегчает гигиенический уход за изделием.
Damon 3МХ
«Работают» данные конструкции за счет принципа пассивного самолигирования. В их строении предусмотрена специальная крышка, в паз которой вставляется ортодонтическая дуга. Система не требует применения лигатур. Замок легко открывается и закрывается, но при этом надежно удерживает дугу.
Пассивное самолигирование обеспечивает щадящее лечение, так как не оказывает травматического воздействия на кость и ткани пародонта. Более того, при такой системе на перемещение зубов оказывается влияние работы мышц лица, губ и языка, что сокращается время коррекции прикуса примерно на четверть.
На заметку! Брекеты Damon 3MX имеют вертикальный паз, куда можно установить вспомогательные крючки. Однако эта функция опциональна и не усложняет гигиену полости рта.
Отличительные характеристики брекетов
Чтобы разобраться с тем, что такое брекеты Damon, следует понять принцип действия самолигирующей системы. Как работает подобный механизм? Каждая пластинка оснащена специальным замком, который удерживает дугу, но при этом позволяет ей свободно перемещаться, тем самым минимизируя силу трения. В подобных конструкциях отсутствуют резинки-лигатуры, так что система самостоятельно определяет силу натяжения дуги, оптимальную для равномерного исправления положения зубов в ряду. Для понимания того, как выглядят подобные системы, взгляните на фото ниже.
Фото пациента до и после лечение с использованием системы Damon
К основным отличительным характеристикам моделей, представленных в линейке Damon, относятся следующие особенности:
- хорошие показатели эстетики: уменьшенный размер пластин позволяет добиваться довольно высоких эстетических показателей. В случае с моделями Damon Clear скобы и вовсе адаптируются под натуральный цвет эмали и становятся практически незаметными на зубах,
- точное и равномерное давление: благодаря тому, что системы являются самолигирующими, они обеспечивают целенаправленное воздействие на зубы, способствуя их постепенному перемещению в нужном направлении,
- ускоренные темпы лечения: по заявлениям производителя, брекеты Damon позволяют сократить сроки лечения на 20-25%,
- отсутствие необходимости в частых визитах к специалисту: безлигатурная конструкция самостоятельно регулирует силу давления дуги, поэтому достаточно одного визита к специалисту за пару месяцев. Но ближе к финалу лечения врач может зафиксировать лигатуры с целью получения максимального эффекта. Сколько дуг меняют в системе при переводе ее в ручной режим лигирования? Ответ на этот вопрос напрямую зависит от конкретной клинической ситуации. Посещать специалиста в данном случае необходимо каждый месяц,
«У меня от природы зубы кривые, что меня сильно смущало с самого детства. Но, будучи подростком, я очень не хотела ходить с железными зубами, и без них комплексов хватало. И вот только к 23 годам я наконец созрела. Мой ортодонт посоветовала систему Дэймон – обычные железные брекеты, но без резинок. Проходила с ними чуть больше полутора лет. Теперь все зубы идеально ровные, чему я безмерно рада. Что касается самого процесса лечения, то боль и дискомфорт были только в первый месяц. Потом полностью привыкла, а под конец и вовсе перестала их замечать».
Ирина, г. Екатеринбург, отзыв с сайта flamp.ru
- запатентованный замковый механизм: каждая пластина имеет небольшой замочек с защелкивающейся крышкой, благодаря которому дуга остается в пазах,
- точное размещение скоб на зубах: особое основание пластин позволяет им адаптироваться под форму зубов, за счет чего удается избежать образования щелей между скобами и эмалью,
- устойчивость к красящим пигментам: брекеты сохраняют свой изначальный цвет на протяжении всего курса лечения,
- простота ухода: за счет того, что система лишена лигатур, чистка брекетов становится проще и занимает значительно меньше времени.
Какую модель лучше выбрать
Прежде чем выбирать ту или иную брекет-систему, важно провести полную санацию полости рта и диагностику, чтобы вовремя обнаружить скрытые изъяны. И только когда клиническая картина видна во всех деталях, врач выберет несколько вариантов конструкции, которые будут максимально эффективны в достижении благоприятного результата.
В принципе вышеуказанные конструкции успешно применяются при различных формах нарушения прикуса, поэтому выбор пациента должен складываться из учета нескольких нюансов.
Брекеты Damon 3 и Damon 3МХ отличаются от своих коллег сглаженными контурами и оптимальной жесткостью для металлических конструкций. Они малотравматичны, гипоаллергенны и имеют пазы для установления дополнительных крючков.
У безлигатурной системы Damon Clear коэффициент трения между изделием и зубной эмалью достигает минимальных значений, что позволяет избавиться от травмирующего побочного эффекта. Кроме того, изделие имеет протравленное специальным составом основание, что обеспечивает надежную сцепку с поверхностью коронки. Брекеты имеют форму ромбов, а также специальные метки, позволяющие точно установить все детали.
Система Damon Q на сегодняшний день является одной из самых передовых. Ее комфортность и эффективность обусловлены инновационной компактностью: она в 2 раза меньше классического ортодонтического лигатурного изделия. Эта модель позволяет лечить даже самые сложные аномалии, не травмируя пародонт и не доставляя дискомфорт пациенту.
Кроме того, на выбор той или иной модели может оказать влияние ее цена.
Несколько слов о ценах
Сколько стоят брекеты Damon? Точный ответ на этот вопрос будет зависеть от ряда факторов, среди которых выбор конкретной модели системы и ценовая политика стоматологической клиники. Установка металлических брекетов на одну челюсть обойдется примерно в 35 тысяч рублей. Фиксация эстетической конструкции будет стоить от 45 тысяч рублей за один ряд. Продукция компании Ormco достаточно дорогая, но, с другой стороны, она отличается безупречным качествам, эффективностью, комфортом во время лечения и массой других весомых достоинств.
Недостатки брекет-систем Damon
- из-за высокой цены они доступны не всем категориям населения,
- установка требует высокой квалификации ортодонта,
- в редких случаях могут вызывать аллергию,
- заметны на зубах во время улыбки.
Внимание! Срок ношения изделия зависит от сложности патологии прикуса, но в среднем система справляется с задачей за 12-18 месяцев. Иногда в процессе корректировки возникают дополнительные препятствия, и врачу приходится корректировать дуги. В таком случае срок лечения может быть увеличен.
Недостатки систем
- дороговизна: модели, представленные в линейке Damon, отличаются довольно высокими ценами. С другой стороны, это современные качественные системы, которые позволяют добиваться отличных результатов, при этом предлагая высокие показатели эстетики и комфорта,
- громоздкая конструкция: безлигатурные ортодонтические аппараты обычно имеют довольно крупные размеры, так как дуга располагается немного дальше от зубов. Поэтому, несмотря на уменьшенные скобы, система все равно смотрится достаточно массивно,
«Я проходил с брекетами Даймон чуть больше года. Перед тем, как остановить свой выбор именно на этом бренде, перечитал уйму информации по этому поводу. Особенно меня интересовал вопрос того, как быстро начинают двигаться зубы после установки пластин. Дело в том, что мне были важны сроки лечения – чем быстрее, тем лучше. В общем, мы с моим стоматологом решили, что оптимальным вариантом будет комбинированная модель. Никакой особой боли я не почувствовал, даже в первые дни. Поначалу детали немного цеплялись за слизистую, но потом и это прекратилось. Единственное, что расстраивало, это постоянный налет на зубах и трудности чистки. Всеми этим ершиками и специальными щеточками пользоваться так и не научился. Но проблем решилась элементарно – после снятия брекетов просто сходил на профессиональную чистку».
Егор, 28 лет, отзыв с тематического форума
- дискомфорт на этапе привыкания: самолигирующие системы обеспечивают довольно быстрое перемещение зубов, что в самом начале лечения может приводить к появлению ноющей боли и дискомфорту.
Уход за конструкцией
В принципе гигиена безлигатурных брекетов включает в себя все те же моменты, что и гигиена лигатурных конструкций, однако в исполнении она намного проще. Для того, чтобы изделие прослужило весь срок лечения и не создавало дополнительных проблем со здоровьем, нужно выполнять следующие требования:
- чистить зубы (и конструкцию) после каждого приема пищи, используя щетку, ершики и зубную нить,
- обязательно использовать ополаскиватели,
- стараться не употреблять слишком горячую или холодную пищу,
- убрать из рациона твердые продукты (орехи, семечки, яблоки, чипсы, сухари и т.д.),
- не злоупотреблять продуктами с искусственными или естественными красителями (черным чаем, кофе, вином, свеклой, черникой и т.д.),
- регулярно посещать ортодонта.
Керамические брекеты Damon Clear
Одними из первых отличились использованием технологии SpinTek, которая запатентована компанией. Благодаря ей открывание замков происходит очень просто, а на промежуточную подгонку, снятие и установку потребуется всего несколько минут. Если у вас есть минимум времени на лечение, то это идеальный вариант.
По эстетичности керамические брекеты уступают только лингвальным (внутренним). Изготавливаются они из поликристаллического оксида алюминия, который является практически прозрачным. Сапфировые брекеты Damon – так их часто называют. Стоимость несколько выше, чем у металлических конструкций. Объясняется это использованием более современных материалов и технологий. Сапфировые системы практически полностью сливаются с зубной эмалью, за счёт чего являются незаметными и вызывают минимум дискомфорта и стеснения у пациентов.
Показания
Ортодонты рекомендуют применять брекеты Damon Clear в ряде случаев:
- нарушения прикуса, включая слишком прямой или аномально вогнутый его дефект;
- редкое или слишком кучное расположение элементов зубных рядов;
- патологическое состояние резцового перекрытия в поперечной плоскости;
- сильная кривизна твердых тканей ротовой полости.
Когда ждать результат?
Так как аппарат несъемный, его воздействие на зубы постоянное, оттого и результаты непременно порадуют в самое ближайшее время. Непосредственно после фиксации, дуги, свободно скользящие в пазах замков, принимают форму аномально расположенных зубов, но в силу своего стремления вернуть правильное, то есть прямое положение, с течением времени вынуждают живой организм адаптироваться к навязанным ему условиям.
Конечно, для того, чтобы лечение проходило с максимальной скоростью, необходимо периодически посещать доктора для поддержания активного воздействия системы. Для замены дуг и всевозможного внесения корректировок по ходу лечения, явка должна будет осуществляться каждые 6–8 недель. Точные сроки будут сформированы индивидуально, в соответствии с особенностями диагноза.
Первые признаки улучшений обычно видны уже после одного месяца ношения брекетов.
Огромный опыт применения прогрессивной методики показал, что в большинстве случаев со сложными деформациями прикуса, нет необходимости в использовании дополнительных деталей и приемов, таких, как эластичные тяги. Это здо́рово упрощает и облегчает весь процесс на пути к выздоровлению.
Как видно на фото, брекеты Damon справляются с задачей на отлично, стоит только набраться терпения.
Damon 3MX
Брекеты Damon 3MX относятся к стальным конструкциям. Их цена является наиболее низкой среди моделей бренда, поэтому система пользуется спросом среди тех, кто хочет выровнять зубной ряд и прикус по минимальной стоимости. Цельнометаллическая конструкция обеспечивает высокую прочность, а значит, она прослужит весь период лечения с минимальной вероятностью повреждений. Благодаря простому механизму открывания, работать с брекетами легко, так что на регулировку понадобится минимум времени.
Ожидать ли боль?
Во время установки пациенты не испытывают никакой боли, за исключением дискомфорта из-за сухости губ и довольно продолжительного времени сидения с широко открытым ртом.
Период привыкания, если речь идет об использовании изобретения доктора Деймона, который длится около недели, протекает довольно мягко и для него не характерны изматывающие боли, заставляющие принимать обезболивающие препараты.
Мифы и домыслы о бренде
Как мы уже отметили, Damon – одни из самых эффективных и эстетичных ортодонтических конструкций, существующих на данный момент. Однако и они не идеальны, хотя нередко система преподносится как «не имеющая изъянов». Где действительность подменяется вымыслом?
- Брекет-системы торговой марки Damon делают коррекцию менее длительной. Иногда разные источники называют конкретные цифры, например, утверждается, что конструкция брекетов Damon Q сокращает время ношения на 20-30%. Звучит это очень позитивно, но к истине не имеет никакого отношения. Damon позволяет чуть быстрее добиться первых результатов коррекции, но на общую длительность это никак не влияет.
- Уникальные самолигирующие системы Даймон позволяют не ходить к ортодонту во время коррекции. Любая конструкция для исправления прикуса, будь то новаторские модели Damon или обычные металлические или пластиковые брекеты с лигатурами, требует регулярной замены дуг. Запомните: не система выравнивает зубы, а ортодонт. Сами по себе даже безлигатурные аппараты нужно ежемесячно активировать, иначе результат будет стоять на месте.
- Конструкции Damon позволяют осуществлять коррекцию без удаления зубов. Это очень опасный миф. Мы не советуем наблюдаться у ортодонта, который будет утверждать, что избавит вас от скученности зубов с помощью модели Даймон без их удаления. Такие решения могут привести к атрофии кости, рассасыванию тканей и другим серьезным проблемам.
- Damon – это самые красивые и эстетичные брекеты. Они достаточно маленькие, за счет чего на зубах смотрятся изящнее, но это не делает их самыми эстетичными, будь то модели керамических брекетов Damon Clear или, тем более, Q и 3MX из металла. Сапфировые брекеты с лигатурами будут выглядеть менее заметными. Главные достоинства аппаратов Даймон в их уникальном воздействии на зубной ряд, а не во внешнем виде.
Другие предложения производителя
Damon 3 – не единственная система в линейке брекетов с инновационной схемой крепления. Производитель предоставляет несколько вариантов различных устройств, отличающихся материалами, принципом действия и стоимостью.
Damon 2
Damon 2 – это устройство, изготавливаемое по индивидуальным меркам. В основном его используют при лечении сложных клинических случаев, когда стандартной подгонки по параметрам челюсти оказывается недостаточно.
В целом системы показывают высокую эффективность, однако их стоимость достаточно высока, сами системы изготавливаются далеко не всеми дочерними предприятиями, и срок ожидания может растянуть лечение, что для многих пациентов нежелательно.
Damon3 МХ
Устройства отличаются от Damon 3 тем, что, в отличие от последних, полностью выполнены из металла.
На сегодняшний день эта система утратила свою актуальность, т. к. комбинация металла и пластика более выгодна в эстетическом плане.
Damon 3 MX были первыми брекет-системами из всей линейки Damon и были популярны до выхода последующих моделей, однако, сегодня эта система постепенно уходит с рынка.
Damon Q
Несъемные безлигатурные модели Damon Q в своей конструкции следуют главной тенденции современной стоматологии – использовать весь потенциал естественных физиологических сил, но при этом не опускать перенапряжения мышц челюсти. И Damon Q с этим справляется безукоризненно.
Модель синтезирует в себе качество, надежность и эстетику, сокращая время ношения брекетов с традиционных полутора лет до года (точное время ношения системы для каждого пациента определяет врач).
Для изготовления использованы самые качественные материалы и революционные особенности конструкции — усовершенствованный захват дуги и замок крепления.
DamonClear
Модели линейки Damon Clear наиболее совершенны в эстетическом отношении. Они тонкие, прозрачные и практически незаметны на зубах, благодаря поликристаллической керамике.
Имеют высокую цену, причем раскошелиться придется не только на изготовление и установку системы, но и на регулярный ремонт и замену конструкции. Современный материал имеет свою цену за его эстетичность – относительно высокую хрупкость.
В остальном Damon Clear настолько же эффективна, насколько и другие представители серии Damon.
Модель практически не отражается на речи, ее удобно носить, выздоровление наступает быстрее, чем с традиционными системами, и при этом вероятность рецидива ниже.
Однако такую систему не рекомендуется устанавливать курильщикам и любителям кофе, т.к. материал легко темнеет.
Особенности самолигирующих брекет систем In Ovation и предлагаемые производителем модели.
В этой статье вы найдете справедливые отзывы о брекетах Damon Clear.
Здесь https://zubovv.ru/ortodontiya/breketyi/vestibulyarnyie/clarity-vidyi-plyusyi-i-minusyi-nyuansyi-korrektsii-prikusa.html мы детально рассмотрим элементы конструкции брекетов Кларити.
Внешний вид
На сегодняшний день существует великое множество различных брекет-систем, различия между которыми будут понятны, разве что профильному специалисту. Большинство брекетов состоит из трех компонентов — металлической дуги, пластин, прилежащих к поверхности зубов, стягивающих пластин, а также лигатур – резинок, фиксирующих металлические дуги на пластинах.
Отличие брекет-системы Damon 3 как раз состоит в отсутствии лигатур, из-за чего их иначе называют безлигатурными, или же самолигирующими.
Современная система была названа в честь американского врача Д. Дэймона и имеет несколько модификаций.
Преимущество самолигирующей системы состоит в возможности подогнать положение брекетов, недоступное традиционным системам.
Безлигатурные брекеты способны смещать зубы в правильное положение пассивным образом, что обеспечивает меньшую болезненность и повышенную скорость выправления зубного ряда относительно обычных конструкций.
Как долго длится лечение
Выравнивание зубов с помощью систем Damon Q занимает от года до полутора. Точный срок напрямую зависит от возраста пациента и особенностей клинической ситуации. Иногда ношение систем растягивается на два года. В самых простых случаях при легко поддающихся исправлению дефектах период эксплуатации занимает около полугода.
Как правило, первые положительные результаты становятся хорошо заметными через три месяца. Но улучшение прикуса не означает, что аппарат можно снять раньше времени. Если так поступить, то зубы быстро вернутся в неправильное положение, в котором находились до этого.
Врачи клиники «Линия Улыбки» имеют огромный опыт лечения всех видов стоматологических патологий. Доверив нам свою улыбку, вы очень скоро заметите, что ваши зубы становятся более ровными и красивыми. Звоните и записывайтесь на прием.
Противопоказания
Среди противопоказаний к установке безлигатурных брекетов необходимо отметить развитие воспалительных процессов, инфекций на твердых, мягких тканях ротовой полости.
Также к противопоказаниям относятся:
- диагностирование злокачественных опухолей;
- дисфункции в работе системы кровообращения;
- отсутствие возможности и желания обеспечить необходимый уход за ортодонтическими системами;
- туберкулез;
- пародонтит.
Аномально узкая челюсть также относятся к факторам, не позволяющим проводить лечение с использованием популярных корректирующих конструкций от компании Ormco.
Все плюсы и минусы брекетов Victory, особенности их установки.
В этой публикации рассмотрим безлигатурные керамические брекеты.
Здесь https://zubovv.ru/ortodontiya/breketyi/lingvalnyie/komu-rekomenduetsya-stavit-inkognito.html вы найдете отзывы о брекет системах Инкогнито.
Что потом?
Когда все цели, поставленные лечащим врачом, будут достигнуты, когда сформируется правильный прикус и идеальный ряд зубов, настанет время снимать конструкцию и приступать к установке ретейнеров. Это такая ортодонтическая конструкция, предназначенная для закрепления полученного результата. Носить ретейнеры необходимо от полугода до нескольких лет. Дело в том, что костная ткань, связки и мышцы должны привыкнуть к новому положению зубов, а для этого требуется больше времени. Если пренебречь данным фактом, то все очень скоро вернется в прежнее положение.
Ложка дегтя в бочке меда
Если задуматься, то почему столько детей по прежнему страдают ортодонтическими проблемами, если есть такая идеальная система? Может, не все так и замечательно, как преподносят нам многочисленные издания, буклеты да и сами стоматологические клиники. Мы как всегда пытаемся быть максимально объективными и разобраться в вопросе со всех сторон.
Если вы залезете на форумы, почитаете отзывы о стоматологических кабинетах, с высокой долей уверенности можно предположить, что негатива вы там не найдете. Откуда ему взяться, если человек пришел с проблемой, может быть даже с комплексом, и ему ее решили. С технической точки зрения все гладко. Так плавно мы подошли к материальной стороне данного вопроса. Мягко говоря, установка брекетов и коррекция — удовольствие не из дешевых. Система Damon Clear — одно из последних и лучших решений на сегодняшний день в ортодонтии, соответственно, и стоит дешево она тоже просто не может.
Стоимость брекетов Damon Clear
В зависимости от типа, стоимость будет следующая:
- металлические до 5000$;
- лингвальные до 10000$;
- прозрачные (Damon Clear в том числе) до 8000$.
Это средняя максимальная цена в зарубежных клиниках. Стоит пояснить, что с самыми серьезными случаями справляются только металлические брекеты, а лингвальные и прозрачные не всегда имеют показания. В частности, стоимость изготовления и установки брекет-системы Damon Clear в клиниках Киева составляет от 10 до 20 тыс. гривен. В Москве цена за ту же услугу — от 40 до 100 тыс. рублей. Из-за чего такая разница получается? Тут ответ достаточно прост — особенности организма. Кто-то ставит съемные системы, кто-то с частичной фиксацией. Имеет значение место расположения клиники и ее репутация.
Брекеты Damon Q
Для сравнения приведем стоимость на аналогичное лечение в соседних странах:
- Белоруссия 1100 $
- Польша 4200 $
- страны Центральной и Западной Европы 5000$ и выше.
Получается, что купить красивую улыбку далеко не каждому по карману.
Как проходит лечение брекетами Damon?
Несъемная конструкция оказывает постоянное давление на зубы, медленно и плавно перемещая их в нужное положение. Главную роль в этом процессе играют ортодонтические дуги. После установки брекет-системы Damon они принимают неправильную форму, повторяя аномальное положение зубов, но постепенно стремятся вернуться в исходную позицию и таким образом корректируют дефект.
Было бы ошибочно считать, что скобы без лигатур «лечат сами». Чтобы прикус исправлялся в положенные сроки, систему необходимо регулярно активировать, а для этого пациенту придется посещать ортодонта для установки новых дуг. Как часто меняют дуги на брекетах Damon? В начале лечения примерно раз в 6 — 8 недель, а ближе к окончанию врач определит частоту визитов по показаниям.
Специалисты отмечают, что самолигирующиеся брекеты Damon позволяют обойтись без установки дополнительных элементов для исправления серьезных нарушений прикуса. За счет работы лицевых мышц зубы занимают нужную позицию плавно и физиологично, поэтому в большинстве случаев эластичные тяги и другие малоудобные механизмы не понадобятся. То же можно сказать и про предварительное удаление зубов: с продукцией компании Ormco его нередко удается избежать.
Наконец, американские брекеты Damon сокращают сроки лечения по сравнению со многими другими, особенно классическими лигатурными системами. Увидеть первые результаты можно уже спустя месяц.
Фото пациента на различных этапах лечения беретами Damon в стоматологической клинике Интердент.
Основные характеристики
Конструкция Damon 3 принадлежит к вестибулярному типу, т. е. пластинки устанавливаются на внешнюю поверхность зубов.
Дуги и другие элементы брекет-системы изготовлены из специальных сплавов, которые не изменяют свой цвет под воздействием слюны и пищи, не окисляются и не вызывают у пациента аллергии.
Основным материалом является прозрачный пластик, усиленный керамическими элементами. Пазы и замки изготовлены из нержавеющей стали. Вся конструкция работает на индивидуальных дугах, изготовленных специально под эту конструкцию.
Миниатюрные конструкции имеют сглаженную форму и эстетически привлекательный вид, что позволяет пациентам более комфортно ощущать себя в период ношения системы.
О том, как открываются замки брекетов Damon, смотрите в видео.
Показания и противопоказания к установке
Изделия Damon Q показаны при:
- неправильном прикусе;
- выраженной скученности зубов;
- избыточном, непропорциональном развитии одной челюсти по отношению к другой;
- дистопии.
Они позволяют закрыть большие щели в зоне улыбке, могут применяться в ходе подготовки к протезированию, а также для улучшения общей эстетики лица. С их помощью реально вывести ретинированные непрорезавшиеся единицы в цельную зубную дугу.
Что касается противопоказаний, то аппараты нельзя ставить при:
- неудовлетворительной гигиене полости рта, невылеченном кариесе, воспалении десен (нужно сначала вылечить эти заболевания и состояния);
- тяжелых соматических патологиях;
- аллергии на металлы;
- психических расстройствах.
Преимущества использования
- Первые результаты будут заметны быстрее, чем при ношении других брекет-систем.
- Если имеется серьезная скученность зубов, то, возможно, придется прибегнуть к удалению, чтобы избежать атрофии и рассасывания тканей. Но необходимость в этой мере возникает значительно реже, чем при использовании традиционных систем.
- Брекет-системе присуши комфорт и эстетичный вид. Этому способствуем малый размер, изящный вид и закругления на уголках.
- Аппарат менее заметен и не травмирует слизистую ротовой полости.
- Система во многих случаях позволяет исправить безнадежные для других систем ситуации с нехваткой места – у детей и взрослых. В результате улучшается улыбка и пропорции лица.
- Сроки лечения в среднем сокращаются.
- В процессе коррекции болезненные ощущения минимальны.
- Отсутствуют возрастные ограничения. Длительность коррекции у пациентов разных возрастных категорий — одинаковая.
- Необходимость посещения врача снижается, интервал между визитами увеличивается.
- Качество гигиенического ухода не ухудшается.
- Состояние пародонта улучшается.
- Лечение обеспечивает отличный эстетический результат.
- Сокрушение необходимости посещений ортодонта – примерно вдвое. Время, проводимое в кабинете, также сокращается, так как нет необходимости снимать весь аппарат. Врач просто открывает замочек и закрывает его.
- Реже возникает необходимость использования дополнительных приспособлений.
- Гладкие контуры снижают вероятность натирания слизистой оболочки.
- Процесс ношения — приятный и безболезненный.
Преимущества
- Система пассивного самолигирования позволяет использовать разные силы на каждом, отдельно взятом участке, что значительно снижает болевые ощущения и делает течение лечения максимально комфортным.
- Инновационный метод, как показала практика, работает намного эффективнее старого и позволяет сэкономить 25–50% времени, затрачиваемого на лечение.
- Брекеты Damon значительно меньше в размерах, что вкупе с отсутствием лигатур делает их гораздо более эстетичными и незаметными для окружающих.
- Миниатюрный размер и особая форма практически не травмирует ткани. Это очень важный пункт и на него стоит обратить особое внимание, так как пациенты очень часто жалуются на сильно беспокоящие боли от многочисленных ранок на слизистой.
- Гигиена значительно проще с вестибулярной системой от доктора Деймона, ведь обычные брекеты с эластичными включениями очень сложно вычистить. Потому, риск возникновения кариеса не так велик.
- Во время установки используют специальные дуги, разработанные с учетом концепции пассивного самолигирования.
- Система не имеет противопоказаний и применима для всех возрастов.
Цены
Стоимость ортодонтического лечения системой Damon 3 зависит от престижа клиники, квалификации специалиста и сложности клинической картины.
За установку брекетов на обе челюсти пациенту придется заплатить около 40 000 рублей. В эту сумму не входит цена за само устройство, которое оценивается производителем в 28 000—32 000 рублей.
Коррекция у специалиста стоит порядка 2 200 рублей. За время лечения потребуется не менее трех посещений ортодонта. Цена за снятие системы варьируется в пределах 8 000 рублей.
Важно отметить, что в итоговую стоимость исправления будут входить не только перечисленные мероприятия.
Конечный ценник дополняет стоимость консультации врача, экстракции зубов, санация ротовой полости, диагностические процедуры.
Рассмотрим стоимость иных брекет-систем линейки Damon на примере таблицы.
| Версия | Цена в рублях |
| Damon 2 | 18 000 |
| 3 MX | от 8 000 |
| Damon Q | от 16 000 |
| DamonClear | от 54 000 |
В видео представлен принцип лечения брекетами Damon.
Сроки лечения
Как заявляет компания-изготовитель – средний срок лечения не четверть короче, чем выравнивание аналоговыми моделями других брендов. Конечно, данное утверждение относительно, поскольку не имеет статистического подтверждения.
При этом, специалисты в своих прогнозах более конкретны. Как показывает практика, для достижения окончательного результата носить системы необходимо не менее 2–3 лет. Положительная динамика наблюдается, уже спустя пару месяцев от начала лечения.
При незначительных отклонениях прикуса длительность коррекции может ограничиваться 6—7 месяцами.
В указанные сроки не входит период ретенции. Так в ортодонтической практике называется контрольное время, необходимое для того, чтобы зубы «запомнили» правильное положение.
Этот срок сугубо индивидуален, но в большинстве случаев фиксирующие приспособления – капы либо ретейнеры придется носить не менее года.
Длительность коррекции отклонений прикуса зависит от следующих факторов, позволяющих продлить, или, напротив, сократить время лечения:
- возраст пациента;
- степень запущенности патологии;
- терпение и регулярное ношение брекетов так, как это назначил доктор.
Этапы терапии
Лечение брекетами представляет собой многоступенчатый процесс, который условно можно разделить на несколько этапов, каждый из которых имеет свои особенности.
Как происходит исправление прикуса брекетами Damon, смотрите на видео:
Подготовка к установке
Подготовительный этап начинается уже с первого посещения стоматолога и включает следующий ряд манипуляций:
- Диагностирование. Прежде чем определиться с типом брекетов, стоматолог должен детально изучить состояние ротовой полости. Для этого используют рентген-обследование, диагностику с применением артикулятора, КТ, снятие оттисков и компьютерное моделирование.
Кроме того, в некоторых случаях может понадобиться помощь других специалистов: пародонтолога, иммунолога, терапевта и др.
- Подготовка ротовой полости, которая подразумевает ее полную санацию. На этом этапе, стоматолог устраняет все выявленные проблемы: кариозные полости, проблемы пародонта и др. В обязательном порядке проводится профессиональная чистка.
Чем выделяется керамическая брекет система Clarity среди аналогов?
В этой публикации мы обсудим, почему возникает диастема зубов.
Здесь https://orto-info.ru/sistemyi-vyiravnivaniya-zubov/breketyi/po-raspolozheniyu/lingvalnyie/stb.html мы расскажем, какие составляющие влияют на цену лингвальных брекетов STb.
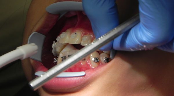
Установка аппарата
Перед фиксацией эмаль протравливают специальным веществом, усиливающим адгезию, после чего высушивают и приступают непосредственно к процессу установки. Для этого используют два метода: прямой и непрямой.
При прямой фиксации, на брекеты наносят клей и прижимают их к поверхности зубов. Непрямой метод предусматривает предварительное размещение брекетов внутри специальной силиконовой каппы.
На зафиксированные таким образом кронштейны, наносят клеевое средство, а затем плотно надевают каппу на зубной ряд. После полного застывания клея, каппу снимают, а брекеты остаются зафиксированными на своих местах.
Для сокращения периода застывания клеевого вещества, места прикрепления обрабатывают светополимеризационной лампой. После полного затвердевания, с поверхности удаляют остатки клея и полируют эмаль вокруг площадок.
Выравнивание зубов
Данная стадия начинается непосредственно после фиксации конструкции.
Для выпрямления неправильно стоящих зубов используют мягкие дуги с высокой эластичностью, которые обладают небольшой силой воздействия и позволяют восстановить правильное положение в зубном ряду за 6–12 месяцев.
На этом этапе, через каждые 1,5–2 месяца производят смену дуг на более жесткие.
Восстановление прикуса
Для получения результата производят замену мягких дуг на жесткие. Кроме того, на данном этапе могут быть использованы дополнительные приспособления: пружины на дуги, эластики, цепочки.
Благодаря такой комбинации, исправляется глубина прикуса и форма челюстной дуги. Последняя стадия лечения может продлиться от 3 месяцев до 2 лет.
Факты из истории
В английском языке название системы пишется Diamond или Damon System. Однако в русскоязычном переводе у нее есть несколько разных по написанию названий: Даймонд, Деймон, Дэймон, Даймон. Любой из этих вариантов будет правильным. В разработке механизма принимали участие американские ученые, но автором считается врач по фамилии Дэймон.
По словам людей, которые были лично знакомы с изобретателем системы, он приложил много усилий для того, чтобы помогать людям с проблемами прикуса. Во время работы с пациентами, которые носили брекеты из металла, врач видел их раздражение по поводу вынужденного присутствия подобного механизма в ротовой полости. Именно поэтому он старался разработать систему, которая бы устранила дискомфорт.
Так появились безлигатурные брекеты Дэймон, которые не только решали проблему с прикусом, но и выглядели более аккуратными, а их ношение не сопровождалось неприятными ощущениями. В 80-х годах XX века система распространилась по всей территории США. В начале XXI века продукция достигла России и стала чрезвычайно популярной.
Сегодня, если верить статистике, каждый третий пациент с нарушением прикуса носит брекеты системы Даймон Q. Качественная сборка, эстетичный внешний вид и эффективность делает их невероятно востребованными среди людей, обращающихся к ортодонтам.
Отзывы пациентов
Благодаря современным технологиям производства, материалам высокого качества и минимальному давлению в процессе лечения система Даймон стала одной из наиболее популярных среди пациентов разного возраста. Отзывы о применении брекетов преимущественно положительные, что доказывает их эффективность и безопасность.
Брекет-система Damon Q несколько лет назад помогла мне исправить прикус и обрести уверенность в себе. Тогда мне было 26 лет и я всерьез задумался над исправлением своего дефекта. Появились комплексы, стал меньше улыбаться, поскольку мне казалось, что все смотрят именно на зубы. Врач предложил установить такую конструкцию. Более года я носил брекеты. Первые несколько недель чувствовал легкий дискомфорт. Не мог привыкнуть, что зубной налет скапливается очень быстро, но стал использовать ополаскиватель и приобрел хорошую зубную щетку. Это помогло решить проблему. После удаления брекетов был очень доволен результатом.
Константин
В 20 лет решила обратиться к стоматологу, поскольку верхний ряд зубов значительно выпирал вперед и выглядел неэстетично. После тщательного осмотра врач сказал, что необходимо исправлять. Мне установили брекеты Даймон Q и почти год я носила их. Не могу сказать, что чувствовала дискомфорт или какие-либо неприятные ощущения. После месяца уже не замечала их присутствия. Небольшим разочарованием для меня стало то, что нельзя было жевать жвачку. После устранения системы верхний зубной ряд стал гораздо ровнее. Очень рада такому результату.
Карина
Конструкция
Система даймонд брекеты использует только индивидуальные дуги, которые специально были созданы для нее. Состав дуг особый, конструкция универсальна. Форма, размер одинаковы и не отличаются для низа и верха челюсти.
Несомненный плюсом применения является то что, несмотря на такую похожесть, можно все равно создавать нужную (не одинаковую) форму зубов. Взаимодействие происходит повсеместно: с языком, губами и щеками.
Брекеты diamond расширяют зубные ряды настолько хорошо, что другие (дополнительные) конструкции им просто не нужны.
Плюсы и минусы Даймон систем
Плюсы:
- посещение врача, как правило, в 2 раза реже и занимает меньше времени, чем при замене обычных брекетов;
- эстетичный вид за счёт меньшего размера;
- установка без использования лигатуры, под которой накапливается налёт и бактерии;
- исключение аллергических реакций;
- минимальное трение между зубами и брекетами;
- установка даже при наличии зубного камня;
- лечение без удаления зубов, в отличие от других систем.
Минусом можно считать довольно высокую цену.
Как брекеты исправляют зубы
Стоматологическая брекет-система составлена из таких основных деталей:
- брекетов – пластин различной формы, прикрепляющихся к зубам;
- дуг из металла, соединяющей их;
- систем крепления дуг в углублении брекета.
Эффективность брекета основана на перманентном минимальном давлении на зубной ряд, которое вызывается дугой на приклеенную пластину. При лечении врач уменьшает или увеличивает давление, достигая оптимального положения.
В процессе давлению подвергается не только зуб, но и ткани вокруг него.
Давление ремоделирует кость – уменьшает ее толщину перед зубом и увеличивает сзади. Ускорить естественную процедуру нельзя, поэтому он продолжителен. Виды систем отличаются конструкцией и материалом изготовления.
Результат лечения до и после фото
Брекеты бывают:
- металлические;
- керамические;
- комбинированные;
- сапфировые;
- вестибулярные;
- лингвальные;
- лигатурные;
- безлигатурные.
Для того, чтобы подобрать лучшие брекеты, следует оценить:
- эстетический уровень;
- уровень дискомфорта и продолжительности лечения;
- конструктивные особенности;
- стоимость.
Уход
Ортодонт обязательно проконсультирует вас о правильности ухода за системами даймон. Акцент обязательно будет сделан на следующие особенности:
- Чистить зубы нужно будет обязательно после любого приема еды.
- Нельзя питаться жесткими, вязкими и липкими продуктами. К таким можно отнести ириски, жвачки. Чтобы не навредить необходимо предварительно резать твердые овощи и фрукты ножом на кусочки небольшого размера.
- Для чистки подберите щетку-ершик.
- Используйте нить для зубов. Ей прочищайте дугу, а потом зубные промежутки.
- Обязательно очищайте саму поверхность брекетов.
- В конце процедуры пройдитесь обычной щеткой.
Придется довольно часто пользоваться ополаскивателем. Приобретая его обратите внимание на составной элемент триклозан. Именно его действие останавливаю размножение бактерий в ротовой полости.
Уход до и после
Уход за полостью рта должен быть регулярным. Советуют после каждого употребления пищи использовать:
- ортодонтическую зубную щётку;
- зубную нить для чистки межзубных пространств;
- ирригатор для полости рта;
- зубную пасту, чередуя с реминерализующим гелем;
- ополаскиватель для полости рта.
Важно! Первое время после установки не стоит есть твёрдую пищу и сахаросодержащие продукты.
Общее представление
Исторической родиной систем Даймон является Америка. Конструкция — уникальный продукт многолетнего труда врача, чьим именем впоследствии и назвали брекеты. Их разработка и внедрение в практическое применение, ортодонты считают прорывом в коррекции патологий прикуса.
Впервые доктор применил свою разработку на родине – в начале семидесятых. За полувековую историю Даймон получили широкое мировое признание.
В России изделия используются сравнительно недавно, но за такой короткий срок они приобрели известность и у отечественных пациентов.
В итоге, 30% людей, страдающих различными аномалиями прикуса, прибегают к лечению отклонений брекетами Damon.
Данный тип конструкций – безлигатурные, саморегулирующиеся устройства. Их комфортно носить и удобно снимать.
Помимо хорошего эффекта, модельный ряд характеризуется аккуратным эстетическим содержанием, что не менее важно для современного пациента, чем сам результат.
Виды брекетов
В отличие от ассортимента ортодонтических инструментов, существовавших лет 30 назад, сегодня, люди с проблемами зубов рискуют потратить массу времени на то, чтобы выбрать брекеты по вкусу и карману. А выбор поистине велик. И разные материалы смотрятся тоже совершенно неодинаково:
- Металлические. Самые распространенные и любимые всеми за самый демократичный ценник и надежность. Но эстетическая сторона вопроса оставляет желать лучшего, особенно по сравнению с керамическими и сапфировыми. Но в сфере ортодонтии найдено компромиссное решение – сплавы с тефлоном, создающие белесый оттенок. Благодаря этому они становятся менее заметными. Металлические брекеты Damon считаются наиболее эстетичными из всех существующих.
- Сапфировые. Такие прозрачные аппараты изготавливают из искусственного сапфира. Они красиво играют переливами при определенном освещении. Идеальное решение для особо притязательных к внешнему виду дам, не скупящихся на подобную роскошь.
- Керамические. Стоматологическая керамика давно используется в ортодонтии. На вид они не отличаются от настоящих зубов и хорошо зарекомендовали себя в индустрии красивых улыбок.
Что влияет на силу трения в брекетах?
Итак, сила трения скользящей дуги создает разницу между самолигирующими брекетами и классическими.
Чтобы определить силу трения, необходимо учитывать:
- площадь поверхностей;
- коэффициент силы трения;
- силу давления на трущиеся поверхности.
Инновационные технологии, материалы изготовления современных ортодонтических конструкций не позволяют сомневаться в качестве изделий. Величина коэффициента трения у различных замков практически не различается.
В брекетах Damon сила трения минимизирована
Площадь соприкосновения трущихся поверхностей напрямую зависит от сечения дуги. Круглая модель соприкасается с пазом максимум в двух местах в виде точечного контакта. Дуга с квадратным сечением создает не менее трех точек соприкосновения с пазом. Очевидно, что при круглом сечении скольжение происходит легче.
Интересно! Дуги с круглым диаметром не являются прерогативой только безлигатурных систем. Модель выбирается в зависимости от этапа лечения.
Существенным является тип фиксации дуги в пазе брекета. Соединение классической формы предполагает контакт дуги с пазом и лигатурой. В брекетах Damon System отсутствие крышечки минимизирует силу трения за счет одного контакта – с пазом.
Применяя пассивную фиксацию, можно значительно уменьшить силу соприкосновения трущихся поверхностей.
Благодаря особой технологии корректировать дугу в таких брекетах нетрудно
В основе механизма, позволяющего снизить силу трения дуги, — технология SpinTekTM. Это инновационная скользящая крышка, которая позволяет быстро и просто снять или корректировать дугу. Манипуляция проводится без давления на коронку с минимальными неприятными ощущениями. Векторы силы компенсируют друг друга в параллельной зубу плоскости. Кроме того, технология снижает риск повреждения конструкции.
Непосредственно брекет имеет меньшие размеры в сравнении с другими моделями за счет оригинальной формы в виде ромба с закругленными краями. Это обеспечивает минимальное скопление налёта и бактерий на брекетах по сравнению с замковыми моделями.
Брекеты Damon имеют меньший размер по сравнению с другими моделями
Отзывы
Как показывает практика, Damon зарекомендовали себя как эффективные, надежные и удобные конструкции, чем и снискали себе заслуженную популярность.
Однако в вопросах лечения все-таки не стоит безоговорочно верить рекламе и мнению других людей, какие именно ортодонтические приспособления предпочесть, лучше решать доктору.
Если вас заинтересовали рассматриваемые в данной статье, системы, оставить свой комментарий можно в соответствующем разделе.
Если вы нашли ошибку, пожалуйста, выделите фрагмент текста и нажмите Ctrl+Enter.
Теги брекеты вестибулярные брекеты
Понравилась статья? Следите за обновлениями
Предыдущая статья
Зубной порошок для протезов – надежно, качественно, безопасно
Следующая статья
С помощью чего производителям брекетов Блеск удалось достичь непревзойденных эстетических качеств
ПРЕДСТАВЛЯЕМ:
НА 100 % БОЛЕЕ ПРОЗРАЧНЫЕ САМОЛИГИРУЮЩИЕ БРЕКЕТЫ СЕЙЧАС С 2ЫМ КОНТРОЛЯМ ТОРКА И РОТАЦИЙ!
Новейшее дополнение от компании ORMCO к прогрессивной линии брекетов Damon System — Damon Clear2 : с особенностями стандартного торка брекета и тщательной разработки для повышения эффективности лечения. Используя основной дизайн оригинального брекета Damon Clear , новый Damon Clear2 предлагает врачам:
- Двойной контроль над ротацией благодаря новому сверхточному слоту для качественного и более эффективного завершения леченья.
- 100% прозрачный пассивный самолигирующий брекет с непревзойденным дизайном.
- Передовая технология пассивного самолигирования с малым уровнем сил и низким трением для более эффективного перемещения зубов.
- Более кристально чистый дизайн с поликристаллического оксида алюминия (PCA), который не подвержен окрашиванию и изменению цвета при употреблении кофе, горчицы, красного вина и других пищевых продуктов.
- Запатентованный инновационный механизм SpinTek значительно облегчает открывание брекетов и замену дуг
- Гладкие, закругленные контуры для непревзойденного комфорта пациента
- Запатентованная система лазерной обработки обеспечивает оптимальную силу фиксации для высокой надежности
- Damon Clear2 — идеальное решение для современных взрослых и подростков подходит для многочисленных случаях, в том числе пациентов с скученностью, открытых прикусов, нуждающихся в исправления прикуса.
Линейка Damon Q дополнилась брекетами на клыки и премоляры с встроенными крючками.
Встроенные крючки позволяют надежно закреплять на брекетах эластики и исключают для пациента возможность потери крючка. Закругленный кончик крючка призван обеспечивать максимальный комфорт. Теперь для удобства работы и исходя из особенностей каждого клинического случая доктор может выбирать брекеты с крючками или без.
| Зуб | Ангуляция | Торк | Ротация | Артикул |
| Брекеты верхней челюсти | .022 L | .022 R | ||
| Клык | +5 | +7 | 491-7681 | 491-7680 |
| Клык Высокий торк | +5 | +11 | 491-7685 | 491-7684 |
| Клык Низкий торк | +5 | -9 | 491-7683 | 491-7682 |
| Премоляры | +2 | -11 | 491-7691 | 491-7690 |
| Брекеты нижней челюсти | ||||
| Клык | +5 | +7 | 491-7631 | 491-7630 |
| Клык Высокий торк | +5 | +13 | 491-7635 | 491-7634 |
| Клык Низкий торк | +5 | 491-7633 | 491-7632 | |
| 1-й премоляр | +4 | -12 | 491-7641 | 491-7640 |
| 2-й премоляр | +4 | -17 | 491-7651 | 491-7650 |
| 1-й премоляр Высокий торк | +4 | -5 | 491-7643 | 491-7642 |
“Красота спасет мир, а красота, созданная руками профессионала, просто захватит Вселенную!”
Брекет-система Damon Clear созданная профессионалами Покажите Вашу улыбку а не ваши брекеты!
Брекет-система Damon Clear — эта наиболее совершенные на сегодняшний день эстетические приспособления для исправления прикуса. По сути, это новая версия Damon Q с округлыми формами уменьшенного размера. Пациенты в своих отзывах о Damon Clear особое значение придают эстетической привлекательности данной системы.
Брекет-система Damon Clear, выпускаются на все верхние зубы, и для нижних зубов — только на фронтальные (передние) — от клыка до клыка.
Отличительной особенностью системы Damon является отсутствие лигатур, их ещё называют безлигатурными или самолигирующими. Благодаря специфике устройства металлическая дуга надежно фиксируется в самом замочке, что делает конструкцию одной из самых эффективных и быстрых при выравнивании зубов.
Брекет-системы Damon Clear из искусственных кристаллов сапфира
Брекеты из сапфира Damon Clear – великолепное решение по исправлению кривых зубов, сохраняющее качество жизни на высоком уровне. Сапфировая система производится из искусственного поликристаллического оксида алюминия, отличающегося повышенной прочностью, устойчивостью к физическим нагрузкам и химическим воздействиям, препятствует образованию потемнений и пятен.
Данное несъемная конструкция не являются «абсолютно» прозрачной, она имеет условную прозрачность, так как при внимательном осмотре все-таки немного заметна. Тем не менее, сапфировые замочки полностью сливаются с цветом зубной эмали и становятся практически незаметными.
Кому важна эстетика, выбирает брекеты Damon Clear которые открывают уникальные возможности эффективной коррекции зубного ряда и более комфортного их ношения во время лечения.
От индустрии проверенным лидером качества ортодонтической продукции, создана система брекетов , которая сочетает в себе прочность и надежность по доступной цене!
- Система-брекетов MINI 2000 — брекеты идеального размера, на 30% меньше стандартных брекетов полного размера, но при этом их эффективность не уступает полномерным брекетам, позволяя врачу-ортодонту иметь полный контроль ротации зуба, который является клинически эффективным для ортодонтического лечения.
- Закругленная форма и уменьшенный размер отвечает за максимальную гигиену, комфорт и эстетику пациента.
- Конструкция подушки – это основание брекета, которое создано путем гравировки, и представляет собой сеточку из 80 ячеек, благодаря которой брекеты хорошо удерживаются на поверхности зубов. Они фиксируются любым композиционным материалом, и снимаются без повреждения эмали зубов.
- Рельефная база и цветная маркировка брекетов делают их легкими в использовании.
- Для премоляров и клыков предусмотрены цельнолитые крючки.
| Техника прямой дуги | ||||||
| Верхняя Челюсть | MINI 2000 | Dentaurum Equilibrium | Damon Q | |||
| Торк | Анг. | Торк | Анг. | Торк | Анг. | |
| Центральные резцы | +14° | +5° | +12° | +5° | +15° | +5° |
| Боковые резцы | +7° | +8° | +8° | +9° | +6° | +9° |
| Клыки | 0° | +10° | -2° | +13° | +7° | +5° |
| Клыки с крючком | 0° | +10° | -2° | +13° | +7° | +5° |
| Премоляры | -7° | 0° | -7° | 0° | -11° | +2° |
| Премоляры с крючком | -7° | 0° | -7° | 0° | -11° | +2° |
| Премоляры смещенные к десне | -7° | 0° | -7° | 0° | -11° | +2° |
| Техника прямой дуги | ||||||
| Нижняя Челюсть | MINI 2000 | Dentaurum Equilibrium | Damon Q | |||
| Торк | Анг. | Торк | Анг. | Торк | Анг. | |
| Центральные резцы и Боковые резцы | -1° | 0° | -1° | 0° | -3° | +2°/ +4° |
| Клыки | -11° | +6° | -11° | 7° | +7° | +5° |
| Клыки с крючком | -7° | +6° | -11° | 7° | +7° | +5° |
| 1-й Премоляры | -11° | 0° | -17° | 0° | -12° | +4° |
| 1-й Премоляры с крючком | -11° | 0° | -17° | 0° | -12° | +4° |
| 1-й Премоляры смещенные к десне | -17° | 0° | -17° | 0° | -12° | +4° |
| 2-й Премоляры | -17° | 0° | -22° | 0° | -17° | +4° |
| 2-й Премоляры с крючком | -17° | 0° | -22° | 0° | -17° | +4° |
| 2-й Премоляры смещенные к десне | -22° | 0° | -22° | 0° | -17° | +4° |
Замки ACCENT mini:
- Очень комфортные контуры, низкопрофильные замки для снижения окклюзионной интерференции и большего комфорта пациента;
- Монолитные, с запатентованным способом обработки основания лазером для оптимальной силы и надежности фиксации;
- Сгибаемый J-образный крючок для большего удобства врача и комфорта пациента;
- Специальная выемка в мезиально-дистальном направлении для облегчения нанесения адгезива и коррекций по ангуляции;
- Линия разметки для точного позиционирования замков и завершения лечения;
- Расширенный вход в паз для легкой смены дуг;
- Специальные точки для облегчения удержания замка при фиксации;
- Т-образный крючок на нижнем первом моляре для большего удобства врача и комфорта пациента.
| Замки Accent MINI на Верхней Челюсти | |||
| Торк | Ангуляция | Ротация | |
| 1-й моляр | -14° | 0° | 10° |
| 2-й моляр | -14° | 0° | 10° |
| Замки Accent MINI на Нижней Челюсти | |||
| 1-й моляр | -20° | 0° | 0° |
| 2-й моляр | -10° | 0° | +5° |
| Замки Andrews на Верхней Челюсти | |||
| Торк | Ангуляция | Ротация | |
| 1-й моляр | -9° | 0° | 10° |
| 2-й моляр | -9° | 0° | 10° |
| Замки Andrews на Нижней Челюсти | |||
| 1-й моляр | -30° | +2° | 0° |
| 2-й моляр | -10° | +2° | 0° |
| Замки самолигирующиеся на Верхней Челюсти | |||
| Торк | Ангуляция | Ротация | |
| 1-й моляр Snaplink | -18° | 0° | +12° |
| 2-й моляр Titanium | -27° | 0° | +6° |
| Замки самолигирующиеся на Нижней Челюсти | |||
| 1-й моляр Snaplink | -28° | +2° | +2° |
| 2-й моляр Titanium | -10° | 0° | +5° |
Компания Ormco представляет новые активные самолигирующие брекеты Prodigy SL. Prodigy SL сочетает в себе лучшие черты обеих технологий – активной и пассивной – чтобы обеспечить избранную Вами механику лечения. Брекеты Prodigy SL совмещают в себе современную универсальность и новейший механизм распределения сил ортодонтии. Благодаря этому они и пользуются популярностью у большинства пациентов.
Вы можете выбрать сочетание активных брекетов в переднем отделе зубного ряда для обеспечения контроля, одновременно пользуясь преимуществами механики пассивных брекетов в боковых отделах, или использовать только активные брекеты как в переднем, так и в боковых отделах. В строении Prodigy SL использована система универсального крепления, которая помогает каждому брекету участвовать в системе исправления прикуса и при этом не создавать дискомфорта пациенту.
Плюс к этому, запатентованный механизм крышки SpinTek,™ изготовленной из сплава Copper Ni-Ti™, обеспечивает высокую устойчивость к износу, большую надежность и обеспечивает действие постоянных сил. Это гарантирует более предсказуемые результаты.
Новый механизм крышки работает намного лучше, чем у любой другой активной системы. Благодаря крышке из сплава Copper Ni-Ti™, я увидел, что улучшился контроль, а зубы стали выравниваться быстрее».
Д-р Дуглас Найт
Предсказуемый контроль
В отличие от других брекетов, крышка из сплава Copper Ni-Ti™ и запатентованная конструкция перемычки «бридж» обеспечивают более надежные клинические результаты благодаря лучшему контролю ротаций и экспрессии торка.
Идеальное соответствие основания брекета контуру поверхности зубов
Запатентованная обработка основания брекета лазером обеспечивает оптимальную прочность и надёжность фиксации.
Лёгкое открывание
Механизм крышки SpinTek™ использует реципрокные силы во время открывания с равнодействующей силы в 0 кг даже при существенных зубных отложениях.
Брекет — система Prodigy SL является прекрасным способом решения ортодонтических проблем и благодаря совмещению в своей конструкции нескольких механизмов она может применяться для быстрого исправления. Форма каждого брекета позволяет создать эстетическую направленность каждого исправления прикуса, что очень важно для людей, которые испытывают дискомфорт от размещения системы на зубах.
Ретрактор «Система сухого поля» с держателем языка. Подключается к установке. В наличии детский и взрослый размер.
В систему включено:
- 1. Щечный ретрактор
- 2. Гибкий соединитель
- 3. Держатель языка
- 4. Двусторонние всасывающие трубки
- 5. Соединительный разъем
Данная система удаляет слюну и полностью открывает оба зубных ряда.
Система проста в сборке и эксплуатации, поддается обработке в автоклаве.
- ПОЛНЫЙ ДОСТУП ПРИ ФИКСАЦИИ БРЕКЕТОВ
- МАКСИМАЛЬНЫЙ КОМФОРТ ДЛЯ ПАЦИЕНТА
- МЯГКОЕ ВОЗДЕЙСТВИЕ НА ТКАНИ
- ПОЛНОЕ АВТОКЛАВИРОВАНИЕ
Уважаемые доктора, не забудьте! У нас продолжается система скидок на ортодонтическую продукцию!
Зеркало для фотографирования металлическое «Adult» (для взрослых) с родиевым покрытием
Толщина 2 мм Стерилизация автоклавированием. Небное внутриротовое зеркало. Плотная матовая поверхность позволяет получать четкие фотоснимки.
- — Не бликует
- — Двухсторонее покрытие
- — Четкая фотография
- — Хромированое стекло
- — Прочное покрытие
- — Можно стерилизовать
- — Цифровая или пленочная фотосъемка
Для высокоточных фотографий предназначены зеркала с отражающим покрытием наружного, внешнего слоя зеркала, т.н. фронтальные. В отличие от традиционных, свет во фронтальных зеркалах претерпевает только одно отражение, создавая точное четкое изображение.
Почему это выгодно?
Отличное качество неискаженного изображения, так как отражающее покрытие нанесено на наружной поверхности зеркала и свет не претерпевает двойного лучепреломления и отражения как в обычных зеркалах (На нижнем рисунке).
Для создания идеально ровной отражающей поверхности традиционно применяется редкоземельный драгоценный металл родий. С его помощью создаётся комбинация яркости изображения и его натуральной цветности. Специальное покрытие «антигрязь» зеркала обеспечивает лёгкость его очистки
Используется совместно со специальным держателем.
- 3D CEPH – ORMCO
- Кишинёв, ул. А. Щусева 62А
- Тел. 079990089
- www.3d-diagnostic.md
- www.damonsystem.md
