Среди многочисленных неприятностей, угрожающих здоровью зубов, особое место занимает флюороз. Лечение его весьма специфично и может осуществляться как в условиях стоматологического кабинета, так и дома.
Флюорозом называется патология эмали зубов, которая возникает от избытка фтора в организме. Все начинается с появления на зубах белесых пятен (иногда полос). Через время, пятна становятся желтыми или коричневатыми. Эмаль постепенно стирается. На зубах появляются многочисленные эрозионные участки и сколы. Запущенный флюороз способен стать причиной заболевания костей.
Формы флюороза
Классифицируется недуг по двум признакам – это этиология, т.е. причина появления и клинические проявления.
Первый признак позволяет выделить две формы заболевания:
- Профессиональную – такой формой часто страдают рабочие, занятые на производствах с высоким содержанием соединений фтора во вдыхаемом воздухе, как например, в алюминиевой промышленности. Эта разновидность флюороза может поражать организм, не проявляясь на зубах. Она вызывает такие патологии опорно-двигательного аппарата, как остеопороз и остеосклероз. На поздних стадиях страдает печень, затем сосуды, а печальным итогом может стать онкологический процесс в костях.
- Эндемическую – это хроническое заболевание зубов, которому подвержены те, кто проживает в местностях с переизбытком фтора в водопроводной воде. Проявляется она белыми или полосатыми вкраплениями на эмали, которые через несколько лет становятся бурыми. Поражаются обычно верхние резцы, реже — нижние.
Второй признак клинический, из него выделяет пять форм:
- Штриховую. Она, как и пятнистая, считается легкой степенью заболевания. Характеризуется возникновением штрихообразных полос на резцах. Очаги поражения едва заметны, но при подсушивании поверхности зуба просматриваются достаточно четкими «штрихами». Увеличиваясь, очаги сливаются в пятна, но их «полосатая» структура при этом сохраняется. Данный признак является одним из наиболее часто встречаемых.
- Пятнистую. Это легкая форма заболевания. Она заявляет о себе появлением большого количества белесых пятен на зубной эмали, которые хорошо заметны и могут со временем сливаться во фрагменты более крупного размера. Поверхность их гладкая и ровная, четких границ нет.
- Меловидно-крапчатую. Это уже флюороз средней степени тяжести. Такая форма делает эмаль зубов матовой, покрытой желтоватыми крапинками разного размера. Увеличиваясь, эти вкрапления разрушают верхний слой эмали, образуя углубления до 0,2 мм. Заканчивается все интенсивным и скорым стиранием эмали.
- Эрозивную. Она считается тяжелой формой болезни. Покрывает поверхность зубов большими пятнами, образуя участки эрозии, под которым эмаль разъедается, и со временем может исчезнуть совсем.
- Деструктивную. Так же, как эрозивная, эта форма считается тяжелым проявлением болезни. При таком течении флюороза разрушается не только эмаль, но и более глубокие ткани зуба. Нарушается форма зуба, появляется хрупкость, возникают сколы. Деструктивной формой флюороза страдают жители территорий, где содержание фтора в разы превышает норму.
Нередко у страдающих флюорозом бывает сочетание нескольких его форм.
О сроках службы таких коронок смотрите .
Флюороз зубов: лечение
Принципы лечения – это снижение количества фтора, потребляемого с водой, и устранение последствий поражения зубов.
Следует начинать следующее лечение:
- исключить из рациона опасную питьевую воду с переизбытком фтора. Рекомендуется проверить водопроводную воду из крана на фтор, сдав ее пробы на анализ в специальную лабораторию. Если содержание фтора превышено, воду перед употреблением придется очищать или пить проверенную, из другого источника;
- отказаться от средств гигиены ротовой полости с повышенным содержанием фтора;
- обсудить с врачом необходимость приема аптечных препаратов фосфора и кальция.
Особенностью лечения зубов при ярко выраженном флюорозе является низкая эффективность стандартного пломбирования с предварительной очисткой пораженного участка. Этот метод не применяют потому, что пломба неизбежно выпадет и разрушение структуры зуба продолжится.
В качестве терапии при легкой форме флюороза возможно отбеливание зубов с последующей их реминерализацией, когда тончайший слой эмали снимается, а затем посредством электрофореза или методом аппликации на поверхность зуба наносится минеральный состав (кальций с фосфором), позволяющий со временем восстановить его структуру. Эта технология дает хороший эффект, если применяется в количестве не менее 20 процедур за один курс лечения.
При средней и тяжелых формах недуга, осветление эмали не применяется, т.к. это не дает эффекта. В этих случаях речь может идти только о реставрации.
Отбеливание зубов
Оно выполняется разными способами:
- Лазерное отбеливание – это когда поверхность зубов обрабатывается гелем с перекисью водорода. Затем каждый зуб подвергается воздействию лазерного луча в течение 2 минут.
- Химическое отбеливание производится составом на основе ферментов, перекиси водорода, и других составляющих.
- Механическое аппаратное отбеливание с применением технологии Air-Flow, Этот способ основан на действии воды в сочетании с воздухом и специальным порошком. Является эффективным на начальных стадиях болезни.
После отбеливания, чувствительность зубов повышается.
Поэтому в течение нескольких дней придется снижать ее особыми пастами и ополаскивателями.
К сожалению, отбеливание противопоказано при:
- наличии большого количества очагов кариеса;
- оголении корней зубов;
- различных заболеваниях десен;
- аллергии на ингредиенты отбеливающих смесей;
- беременности и лактации.
На время процедуры отбеливания необходимо соблюдать диету, исключив из рациона пищу, которая раздражающе действует на зубы (сладости, а также кислую, холодную и горячую еду).
Лечение у стоматолога
Наличие на зубах обширных участков флюороза требует лечения у специалиста, так как простое осветление эмали в таких случаях проблему не решает.
Иногда, с учетом конкретной ситуации, стоматологи предлагают пломбирование композиционными материалами, установку виниров или ортопедических коронок.
Флюороз: лечение в домашних условиях
Домашнее лечение сводится только к отбеливанию зубов.
Существуют следующие варианты домашней терапии:
- использование отбеливающего карандаша. Такой карандаш – очень удобная штука. Его можно брать с собой, например, на работу и использовать для очищения зубов, когда нет возможности сделать это щеткой;
- использование отбеливающих зубных паст для ежедневной гигиены полости рта. Существуют специальные составы для зубов с флюорозными поражениями. Такие пасты и гели не содержат фтора, но в их составе есть полезные эфирные масла и ферменты.
- отбеливание с использованием назубных кап (они со специальным гелем надеваются на ночь);
Народные средства
Народная медицина имеет в своем неиссякаемом арсенале множество рецептов от флюороза и активно предлагает их к использованию.
Выбирая оптимальный для себя вариант, важно понимать, что народное лечение способно всего лишь немного осветлить зубную эмаль, но не восстановить ее.
Поэтому при серьезных поражениях такое лечение не даст эффекта.
А тем, кто безоглядно готов отбеливать эмаль народными способами, важно не забывать о восстановлении структуры зубов после их осветления. В противном случае можно заработать повышенную чувствительность, которая потребует дополнительного лечения.
Теперь непосредственно о народных средствах лечения раннего флюороза:
- Отбелить едва появившиеся пятна на зубах можно лимонной коркой — мелко нарезать и натирать ею пораженные участки эмали. Можно лечиться и солью Мертвого моря: размолоть ее в кофемолке до порошка и натирать зубы дважды в месяц.
- Один раз в неделю чистить зубы отбеливающим составом: 3 капли лимонного сока на щепотку пищевой соды.
- Можно сделать лечебную смесь из зубной пасты, порошка соли Мертвого моря, питьевой (пищевой) соды и 1 капли эфирного масла грейпфрута (можно лимона). Этой смесью время от времени чистить зубы по утрам.
Любую болезнь проще предотвратить, чем лечить.
Для этого надо знать и выполнять меры профилактики.
Чтобы не заболеть, необходимо:
- употреблять в пищу воду только с допустимым количеством фтора — не выше 1,5 мг/л;
- внимательно планировать свой рацион, не допуская чрезмерного потребления фторсодержащих продуктов типа сливочного масла и рыбы;
- контролировать состояние своих зубов, и при первых признаках флюороза идти к стоматологу.
Родители должны знать, что правильная профилактика флюороза начинается едва ли не с рождения. Поэтому не стоит торопиться с ранним искусственным вскармливанием ребенка. В период прикорма надо давать малышу достаточное количество молочных продуктов, соков, и следить за тем, чтобы организм получал витамины С и Д, а также глюконата кальция с учетом потребностей организма. Поэтому, если педиатр не возражает, стоит позаботиться о приеме этих препаратов.
Видео на тему
Зубы у детей, как и у взрослых, требуют регулярного ухода. Большое влияние на красоту улыбки оказывает не только их гигиена, но и продукты питания, поступающие в организм. Существуют различные вещества, которые оказывают не только благоприятное воздействие на структуру зубов у детей, но и могут оказывать негативное воздействие. Например, фтор, может привести к заболеванию, которое квалифицируют, как флюороз.
Флюороз у детей. Фото
Что такое флюороз
Флюорозом называют заболевание зубов, при котором происходит повреждение эмали. Связано это с переизбытком в организме фтора. Его большое количество, поступающее в организм длительное время, может вызвать повреждение эмали и патологические изменения в костной ткани. Флюороз у детей также принято называть синдромом крапчатой эмали
.
Существует два типа заболевания, которые связаны с изменением структуры эмали:
- Эндемический, который вызывает болезнь из-за употребления воды с переизбытком фтора.
- Профессиональный, который появляется у людей, работающих на предприятиях и заводах с вредными веществами.
Для детей характерен первый вид болезни
. Также флюороз зубов у детей может подразделяться на несколько стадий.
- При первой стадии наблюдаются изменение эмали на передних зубах только с фронтальной стороны. Эти признаки заметны без проведения каких-либо диагностических мероприятий. Эту стадию называют штриховидной, за счет появления небольших полосок в виде штрихов.
- При второй стадии наблюдается наличие отчетливых белых или желтоватых пятен на передних зубах. Это пятнистая форма из-за появления пятен различной формы и размеров. Они могут быть единичными и множественными.
- Для третьей стадии характерно поражение всех зубов. Это меловидно-крапчатая форма, при которой окраска эмали может быть любых оттенков. На этой стадии происходит быстрое стирание зубов.
- На четвертой стадии наблюдаются серьезные эрозии, которые быстро разрушают на всех зубах эмаль. Для этой стадии характерно быстрое прогрессирование болезни, приостановить которое может только стоматолог. Это деструктивная форма, для которой также характерно появление сколов.
- Далее болезнь практически полностью истончает всю эмаль, и зубы начинают быстро разрушаться. Это эрозивная стадия, для которой характерна темно-бурая окраска зубов и сильные ощущения боли во время употребления пищи.
ВАЖНО:
Посещение стоматолога должно быть обязательным, так как возможна деформация и потеря зубов.
Причины появления
- Главная причина — это употребление фторированной воды. У детей заболевание появляется из-за большого количества в питьевой воде фтора. Употребление жидкости и использование ее для приготовления пищи становится главной причиной появления флюороза. Даже если есть переизбыток фтора в пище, он не так опасен, так как усваивается в организме в небольших количествах. Данный элемент в жидкости очень быстро усваивается детским организмом. Поэтому, если ребенок проживает в местности, где питьевая вода имеет переизбыток фра, родителям рекомендуется покупать бутилированную воду в магазинах.
- Продукты питания. Фтора довольно много в черном и зеленом чае, а также в морепродуктах. Поэтому их чрезмерное употребление также может привести к заболеванию.
- Лекарственные препараты. При длительном лечении медикаментами, в состав которых входит большое количество фтора также могут привести к заболеванию.
ВАЖНО:
Болезнь поражает только коренные зубы.
Признаки и симптомы
Лечение флюороза у детей может быть начато только после посещения врача, который проведет осмотр и установит диагноз, основываясь на симптомах. Наиболее распространенными признаками заболевания являются:
- Появление на резцах мелких полосок.
- Высушивание эмали.
- Крупные пятна или небольшие по размеру блестящие точки.
- Пятна без четких очертаний. Они могут сливаться друг с другом.
- Матовый цвет пораженных болезнью зубов.
- В зубной эмали могут наблюдаться углубления по мере развития заболевания.
- Полное разрушение жевательных резцов.
- Нарушения формы зубов.
- Разрушение дентина.
- Повышенная хрупкость эмали.
- Дискомфорт в полости рта и болевые ощущения.
- Резцы теряют внешний блеск.
- Повышенная чувствительность зубов на холодное, горячее или сладкое.
- Наличие сколов.
- Стирание зубов до десны.
Если родители сомневаются в наличии у ребенка болезни, можно ознакомиться в интернете, как выглядит флюороз у детей на фото.
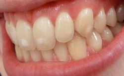
Зубы, поврежденные флюорозом
Диагностика
Многие родители начинают паниковать, обнаружив флюороз зубов у детей и не знают, что делать. Необходимо при первых признаках заболевания посетить детского стоматолога. Именно врач должен провести осмотр полости рта, и установить диагноз. Это позволит подобрать адекватное лечение.
Врачу нет необходимости проводить сложные процедуры для постановки диагноза. Достаточно сделать визуальный осмотр, выявить причину появления болезни и назначить схему лечения. Если проблема заключается в использовании питьевой воды, необходимо в специальной лаборатории провести анализ на количество содержащегося в ней фтора.
Осложнения
Важно — исключить причину, спровоцировавшую заболевание. В противном случае, есть большая вероятность, что со временем у ребенка разрушаться все зубы. Это, в свою очередь, может спровоцировать заболевания пищеварительной системы, так как он будет не качественно пережевывать пищу.
Также внешний вид испорченных зубов может привести к психологическим проблемам. Поэтому лечение необходимо начинать при первых признаках развития заболевания.
Лечение флюороза у детей
Если родители обнаружили флюороз зубов у детей, лечение должно быть незамедлительным, так как болезнь может со временем привести к полному разрушению зубов. Как вылечить флюороз у детей?
Существует несколько методов лечения, которые определяет только детский стоматолог.
Реминерализация
Если повреждения эмали незначительные и болезнь только появилась, наиболее эффективным методом является реминерализация. Суть процедуры — снабдить поврежденную поверхность необходимыми минералами и микроэлементами. На резцы накладывают специальные аппликации, которые с использованием электрофореза способствуют насыщению эмали кальцием и фосфором. Курс данного вида терапии может составлять от 10 до 25 процедур.
Довольно часто используют такой препарат, как Ремодент, в состав которого входят костные ткани животных.
Процесс реминерализации
Отбеливание
- Существует несколько методов отбеливания, которые проводят ребенку.
- Химическое, при котором проводят обработку поверхности специальным раствором из перекиси водорода, перекиси карбамида, ферментов и кислот;
- Лазерное, при котором в течение 2 минут воздействуют на больной резец пучком лазерных лучей. Перед проведением процедуры очаги поражения обрабатывают специальным гелем;
- Светодиодное, суть которого в облучении мест поражения лампой.
Применение виниров
Этот метод эффективен при меловидно-крапчатой форме заболевания. Стоматолог устанавливает на зубы тонкие пластинки, которые придают им красивую форму. Их устанавливают за одно посещение врача, и они практически незаметны.
Установка ортодонтических пластин
Процедура длится более 2 недель. Сначала стоматолог устанавливает ребенку временные пластинки, постепенно заменяя их на постоянные. Перед их установкой обтачивают каждый зуб, шлифуют его, изготавливают специальный слепок из гипса, а затем с помощью компьютера производят винир в 3 мерном измерении.
Эту процедуру нельзя проводить, если:
- у ребенка много зубов поражено кариесом;
- выявлены нарушения прикуса.
Применение виниров
Применение люминиров
По сравнению с винирами они более утолщенные и имеют высокую плотность. Их производят из фарфора с примесями из кристаллов. Они надежно укрепляются на зубном ряде, и срок их эксплуатации составляет до 10 лет.
ВАЖНО:
При запущенной стадии заболевания проводится только замена зубов. Ребенку устанавливают коронку из металла или металлокерамики.
Лечение в домашних условиях
Единственное, что возможно сделать самостоятельно — это после консультации с врачом поддерживать эмаль в нормальном состоянии. Для этого необходимо использовать специальные зубные пасты, в состав которых входит большое количество минералов. Врач также может назначить гели и ополаскиватели, которые необходимо использовать регулярно.
Болезнь вылечить невозможно
. Поэтому родители должны научить ребенка регулярно, постоянно, на протяжении всей жизни следить за гигиеной полости рта.
ВАЖНО:
Если заболевание прогрессирует, визит к стоматологу должен быть незамедлительным.
Профилактика
- Если в регионе проживания вода содержит большое количество фтора, необходимо провести установку фильтров или покупать воду в магазинах.
- Если болезнь наблюдается у маленьких детей, ввести в рацион питания фрукты с большим содержанием кальция и фосфора. Также детям рекомендуется употреблять:
- овощи;
- любые мясные продукты;
- вместо воды давать ребенку побольше сока;
- употреблять сливочное масло.
- Рекомендуется курсами пропивать витамины А, Д, С.
При запущенной стадии флюороз зубов является неизлечимым заболеванием. Поэтому задача родителей не только научить ребенка следить за гигиеной полости рта, но и в профилактических целях не менее 2 раз в год посещать детского стоматолога.
Диагностика
Все проявления касаются изменений внешнего вида и структуры зубной эмали
(в редких случаях – костей).
Цвет и выраженность зависят от стадии заболевания:
- Очень легкая
– изменения цвета эмали практически не наблюдается. - Легкая
– возникновение на некоторых зубах малозаметных меловых полосок или мелких пятен. - Умеренная
– меловидными полосками и пятнами поражено до 50% площади коронки. - Средняя
– появляются пятна жёлтого или разных оттенков коричневого. - Тяжелая
– в той или иной степени поражена эмаль всех зубов. Возможны деструкционные изменения костей.
В медицинской практике пользуются классификацией по формам болезни, в зависимости от клинической картины:
- Штриховая.
Изменения выражены наличием мелких меловидных полосок – штрихов, которые могут располагаться пятнами. Штрихи малозаметны при высушивании поверхности, а без него – едва различимы. - Пятнистая.
Штрихи уже незаметны, они сливаются в пятна с размытыми границами. Цвет меловый, иногда – светло-коричневый. При этом поверхность блестящая, даже на фоне здоровой эмали. - Меловидно-крапчатая
. В этой форме болезнь проявляет себя по-разному. Пятна появляются на поверхности всех зубов, цвет матовый, разные оттенки (светлые или темные) коричневого.Иногда заметны мелкие, до 0,2 мм, углубления округлой формы. Эмаль с нарушенной структурой быстро стирается, оголяя темно-коричневый дентин.
- Эрозивная
. Сильно выражена пигментация всей эмали, как и её стирание. Эрозии на месте пятен уже произвольной, а не обязательно округлой формы. Начинает поражаться и обнаженный дентин. - Деструктивная.
Меняется из-за продолжающегося разрушения форма коронок зуба. Сами ткани становятся ломкими, возможно поражение и костей скелета.Накопление фтора в костях провоцирует их заболевания, вплоть до онкологических (остеосаркомы), но такая форма заболевания встречается крайне редко, в исключительных случаях.
При деструктивной форме могут подключиться и другие стоматологические заболевания, так как дентин намного мягче эмали, которая частично отсутствует. Но сам флюороз пульпу не поражает.
Какие поражения зубов при флюорозе относят к различным стадиям, смотрите на видео:
Флюороз в начальной стадии легко перепутать с кариесом
. Для дифференциальной диагностики в стоматологии используется окрашивание специальным составом на основе метиленового синего.
Пятна от кариеса и от флюороза окрашиваются совершенно по-разному. Кроме того, при флюорозе характерны множественные пятна, чего при кариесе практически не бывает.
Причины
В патогенезе болезни до сих пор не всё выяснено точно, но не вызывает сомнений одно: избыток какого из микроэлементов вызывает заболевание.
Флюороз – это одно из проявлений интоксикации фтором
. Легче всего этот элемент всасывается из воды, поэтому заболевание распространено в местностях с повышенным его содержанием именно в ней.
Опасной считается концентрация больше 1,5 мг/л
, но не всё так однозначно:
- Человек поглощает различное количество воды в разном климате: в жару мы потребляем намного больше жидкости. Соответственно, и фтора в организм попадает больше.
- Кроме того, влияет наследственная предрасположенность к болезни, а также ослабление организма другими заболеваниями.
- И, главное: очень сильно влияет возраст человека. Зачатки постоянных зубов закладываются в 5–6 месячном возрасте эмбриона. Правда, плацента предохраняет плод от излишков фтора.
Таким образом, наиболее вероятно возникновение заболевания в период от рождения и до окончания формирования постоянных зубов. Если для детей опасна концентрация фтора в воде выше 1,5 мг/литр (иногда и ниже), то для взрослых – выше 6 мг/л.
Сформированная эмаль на 97 % состоит из неорганических веществ, в основном это гидроксиапатит – Ca 10 (PO 4) 6 (OH) 2 , который формируется в специальных клетках – энамелобластах.
Процесс формирования имеет специальное название – амелогенез. Избыток фтора нарушает его нормальное течение, формируются неправильные кристаллы. В конечном результате, сформированная эмаль имеет ненормальную, дефектную структуру
и в последующем подвержена разрушению.
Болезнь портит зубы именно на этой стадии, при их зарождении и росте. В отличие от многих других, атакующих уже выросшие и работающие зубы.
Дополнительный толчок развитию болезни
даёт:
- Употребление продуктов с высоким содержанием фтора
– шпината, чая, морепродуктов. - Усвоение фтора, содержащегося в воздухе
. Здесь речь идёт уже о взрослых, если они имеют дело с этим галогеном на производстве.
У маленьких детей, а именно они особенно подвержены заболеванию, способствующим фактором является неправильная чистка зубов пастами с высоким содержанием фтора. Точнее, то, что часть пасты малыши просто-напросто проглатывают.
Как профессиональное заболевание флюороз наблюдается у взрослый людей, по роду работы связанных с галогеном. Но только в случае отсутствия мер безопасности и при значительном превышении ПДК (предельно допустимой концентрации) в воздухе. Впрочем, это случается редко.
Последствия
Наиболее заметны эстетические проявления
: коричневые, в обильных пятнах зубы никого не украшают. К тому же болезнь является толчком для дальнейшего их разрушения
.
Эмаль – самая твёрдая и крепкая субстанция в организме, дентин намного мягче. Поэтому, после нарушения целостности эмали, зубы в значительной мере теряют способность противостоять вредным воздействиям.
При очень высоком превышении содержания фтора поражаются уже не только зубы. Страдают кости челюстей и всего организма. Правда, такие случаи встречаются нечасто.
Профилактика заболевания
В санэпидемстанции можно сделать анализ используемой для приготовления пищи и питья водопроводной или колодезной воды. Дальнейшие действия зависят от результатов исследования.
Если есть заметное превышение норм содержания, то принимают меры профилактики:
- Используют бытовые фильтры.
- Употребляют для питья привозную воду.
- Снижают содержание фтора кипячением или замораживанием.
- Меньше потребляют пищи, богатой фтором (шпинат, морепродукты).
- Не используют фторсодержащие зубные пасты.
- Детей по возможности, например, на каникулы, вывозят в другую местность.
- Больше потребляют пищи, богатой кальцием и фосфором. Эти элементы связывают излишек фтора в организме.
- Детям для профилактики назначают: кальция глюконат, лактат или глицерофосфат, поливитамины.
- При работе с фтором соблюдают меры безопасности, предохраняющие от излишнего попадания его в организм.
Терапевтические мероприятия
Как лечить флюороз, зависит от формы и степени заболевания.
На начальных стадиях используется отбеливание, с эстетической – убрать пятна – целью. Одновременно принимают меры для снижения концентрации фтора в организме.
Отбеливание проводят или неорганическими кислотами (соляной, ортофосфорной), или пероксидными жидкостями. Процедуру выполняют только после просушивания и удаления зубного налёта.
После осветления проводят реминерализацию
: насыщение поверхности соединениями фосфора и кальция. Используют методы электо- и фонофореза, аппликации. Прописывают глюконат кальция, глицерофосфаты, препарат ремодент.
Длительность курса отбеливания – от 2 до 20 процедур, зависит от конкретного используемого метода и степени поражения.
Восстановление эмали
В случае недостаточности или неэффективности консервативных методов, форму зубов восстанавливают композиционными материалами, ортопедическими коронками, винирами:
- Композитные виниры
– самые доступные. Их делает зубной техник прямо на пациенте, покрывая коронку светлоотвердевающим материалом.Плюсы метода – изготовление без задержек и отсутствие обтачивания при работе, небольшая, 5 000 – 8 000 руб./зуб, цена. Служат 3–5 лет, подвержены изменению цвета.
- Более дорогие керамические или фарфоровые виниры
, изготавливаемые в лаборатории, служат до 15 лет, стоят около 13–18 тыс. рублей один. Требуют обтачивания при установке. - Накладки из оксида циркония
– полупрозрачные и самые дорогие, 17–30 тыс. Правда, они и работают больше 20 лет. - На последних стадиях, особенно если часть зуба обломилась, для лечения используется полный комплекс ортопедического лечения. Чаще всего ставят коронки
.
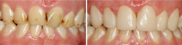
Фото: до и после лечения тяжелой степени эндемического флюороза зубов
Домашние и народные методы
Домашние методы лечения сводятся к отбеливанию поврежденной поверхности эмали и снижению содержания фтора в организме
.
Народные рекомендации отбелить зубы при флюорозе втиранием соды, сока земляники или яблока, пероксидами можно применять только на начальных стадиях заболевания, чтобы не усилить повреждение и без того ослабленной эмали.
Используют также готовые средства
:
- В специализированных магазинах, по назначению стоматолога, можно приобрести специальные пасты и наборы для домашнего отбеливания
. В них уже входят две каппы стандартного размера.Можно заказать изготовление кап у стоматолога по вашим слепкам, стоимость порядка 1 000 рублей, но не во всех клиниках возьмутся за работу.
- Продаются полоски с нанесенным гелем
, с ними работать просто – приклеить на переднюю поверхность зуба, подождать, снять и выбросить.Недостаток – неравномерное заполнение, если поверхность неровная. Соответственно, возможная пёстрая раскраска.
Положительная сторона отбеливания дома – экономия денег, но приступать к процедуре можно только после удаления зубного налёта и камня. Все рекомендации, прописанные в инструкции к препарату, надо строго соблюдать.
При легких стадиях флюороза молочных зубов у детей хорошие результаты дает
:
- изменение рациона питания,
- ежегодная замена источников питьевой воды на 3-4 месяца в первые 7-10 лет жизни малыша,
- меры по восполнению недостатка витамина D, который влияет на усвоение кальция.
Профилактике стоит уделить особое внимание в детский период, поскольку после прорезывания основных зубов опасность заболеть флюорозом снижается многократно.
Если вы нашли ошибку, пожалуйста, выделите фрагмент текста и нажмите Ctrl+Enter
.
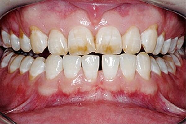
Когда в организм человека попадает избыток фтора, то от этого, в первую очередь, страдает зубная эмаль, на которой появляются пятна или точки сначала белого, а потом желтого и коричневого цвета. Данное заболевание называется флюорозом и лечится отбеливанием.
Виды
В стоматологической практике патология делится на два типа: эндемический (в переводе с греческого «местный») и профессиональный флюороз.
Эндемический
Данный вид заболевания распространен в местностях, где вода содержит повышенный уровень фтора, то есть выше 1 мг/л: в ряде районов Московской области (Раменском, Красногорском, Одинцовском, Коломенском, Зеленограде), Тверской и Тамбовской областях, на Урале, в Западной Сибири и регионах добычи алюминия (Свердловской, Архангельской, Белгородской области, в республике Коми).
Профессиональный
Флюороз этого типа развивается у работников металлургических заводов по производству алюминия и сплавов, химических фосфатных предприятий, керамических заводов.
Фтор попадает в легкие, накапливается в костях, постепенно нарушает работу внутренних органов, ухудшает состав зубной эмали. Концентрируясь на поверхности почвы территорий, расположенных рядом с токсичными предприятиями, фтор представляет угрозу здоровью населения.
Степени заболевания
Флюороз развивается постепенно и имеет несколько стадий:
- штриховую (едва заметны тонкие очень светлые полоски в виде штрихов на внешней поверхности одного-трех передних зубов верхней челюсти);
- пятнистую (поражена почти половина зуба, эмаль становится хрупкой, возрастает риск развития кариеса. Штрихи переходят в отчетливые блестящие пятна выбеленного цвета. Флюороз может возникнуть и на нижней челюсти);
- меловидно-крапчатую (пятна изменяют цвет с белого на желтый или красновато-коричневый и поражают почти всю поверхность зуба, который становится шероховатым, эмаль стирается. На этой стадии все зубы подвержены флюорозу);
- эрозивную (эмаль почти отсутствует, зубы становятся очень слабыми, болезнь развивается быстрым темпом);
- деструктивную (зубы начинают разрушаться, флюороз распространяется на костную ткань всего организма, увеличивается риск возникновения злокачественной опухоли).
Особенно на последней стадии категорически запрещено пить воду, перенасыщенную фтором.
Признаки
Итак, основные симптомы флюороза — это нарушение цвета и толщины эмали, а также заболевание костных тканей. При данной патологии существуют следующие признаки:
- в зависимости от стадии поражается эмаль нескольких зубов (обычно резцов) или всех: появляются пятна и эрозии (в переводе с латыни «разъедание»);
- зубы становятся слабыми, склонными к кариесу;
- при профессиональном флюорозе внешние признаки могут отсутствовать, появляются боли в руках, ногах и позвоночнике;
- тяжелая форма зубного флюороза характеризуется мышечной слабостью; нарушением работы вегетативной нервной системы, контролирующей процессы во внутренних органах; проблемами с печенью; повышенным содержанием фтора в моче.
Причины
Основными факторами риска возникновения флюороза являются:
- детский возраст;
- превышение концентрации фтора в питьевой воде;
- высокое содержание фтора в воздухе.
Детский возраст
Во время роста зубов эмаль еще не окончательно укреплена на дентине (основной части зуба) и не может в полной мере противостоять в детском или подростковом организме переизбытку фтора — свыше 3 мг в сутки.
Сниженный иммунитет у детей после перенесения тяжелого заболевания может послужить причиной развития флюороза. Также дети, находящиеся на искусственном вскармливании, в будущем подвержены риску возникновения флюорозных пятен на зубах.
В рационе детей и подростков не должны часто встречаться продукты и напитки с высоким содержанием фтора: телятина, баранина, морская рыба, сливочное масло, рис, овсяная каша, яйца куриные и перепелиные, шпинат, чай (в том числе и зеленый). Необходимо употреблять в пищу больше молочных блюд и напитков, фруктов, овощей.
Превышение насыщенности питьевой воды фтором
На предприятиях с повышенной концентрацией фтора в воздухе существует большой риск приобретения работниками флюороза, что проявляется в попадании этого микроэлемента в кровь, отложении на зубах и костях нерастворимого соединения — фтористого кальция.
Домашнее лечение
Чтобы избавиться от флюороза в домашних условиях, необходимо соблюдать два условия: исключить из употребления воду и пищу с высоким содержанием фтора и выполнять процедуры по отбеливанию зубов с обязательным использованием средств для укрепления эмали. Важно знать, что домашнее лечение поможет только на начальной стадии заболевания, когда флюороз еще не начал разрушать эмаль и внутреннюю часть зубов.
Выполняя лечение, нужно придерживаются следующих правил:
- пить воду, прошедшую обработку через специальный фильтр для обесфторивания;
- как вариант, воду можно кипятить, замораживать или использовать очищенную бутилированную воду;
- использовать определенные зубные пасты (например, содержащие глицерофосфат кальция) и исключить пасты с фтором;
- изменить свой рацион, убрав из него продукты с повышенным содержанием фтора, о которых упоминалось выше, и включив куриное мясо, гречку, молочные продукты, бобовые, тыквенные семечки, овощи, фрукты, ягоды, зелень;
- принимать препараты с кальцием, магнием, витамины А, С, В, Р;
- очищать зубы от пятен методом отбеливания при помощи питьевой соды, перекиси водорода, древесной золы, лимонного сока, огурцов; ягод черники, лесной земляники, винограда, клубники.
Пищевой содой
.
Наложить зубную пасту на щетку, смоченную насыщенным раствором соды или смешать соду с зубной пастой.
Можно использовать соду с добавлением 2-3 капель лимонного сока или одной капли эфирного масла лимона, грейпфрута, лемонграсса (многолетнего тропического растения с длинными светло-зелеными листьями).
Выбранным средством тщательно почистить зубы. Использовать строго раз в неделю.
Древесной золой
. Смешать с зубной пастой или нанести на щетку золу, потом пасту. Применять не чаще одного раза в неделю.
Перекисью водорода
. После чистки зубов нанести на 2-5 минут тампон, смоченный в 3%-ном растворе перекиси, на поврежденные пятнами зубы. Затем рот тщательно прополоскать. Вместо тампона можно применять полоскания. Процедуру выполнять 3 раза в неделю.
Свежими ягодами, виноградом, огурцом, цедрой (коркой) лимона
. Предварительно размягченные ягоды наносить на зубы, как и перекись водорода, на 2-5 минут, затем рот обильно прополоскать. Можно также натереть зубы протертой лимонной цедрой. Применять не чаще трех раз в неделю.
Нужно приучиться носить при себе отбеливающий карандаш, который применяется после еды, если нет возможности заняться процедурой.
Если регулярно поддерживать зубы в очищенном от пятен состоянии, соблюдая меру, то проблемы с флюорозом будут успешно решены.
Приветствуем вас, дорогие читатели. Сегодня мы подготовили для вас новую интересную тему. Речь пойдет о таком нарушении, как флюороз зубов. Вы узнаете, что это, по какой причине возникает, чем лечится. При любом заболевании чрезвычайно важно понять, что именно приводит к его появлению. Ведь устранение симптомов – далеко не лучший вариант помощи пациенту.
Диагностика. Дифференциальная диагностика
Заболевание диагностируется при визуальном осмотре. Причем часто его обнаруживает не стоматолог, а педиатр. Достаточно ребенку открыть рот, как сразу становится понятно, что зубная эмаль поражена. Флюороз зубов относится к некариозным поражениям эмали. Ведь к его появлению приводят вовсе не бактерии, размножающиеся в ротовой полости.
В дифференциальной диагностике часто могут возникать сложности, в особенности у молодых специалистов. Они путают флюороз с другими типами поражений эмали, включая:
- эрозию;
- тетрациклиновые зубы;
- гипоплазию;
- несовершенный амелогенез;
Кариозные поражения обычно локализованы. В то время как флюороз редко поражает только один зуб. Его очаги появляются сразу после прорезывания постоянных зубов и имеют более массовый характер. В первую очередь, поражаются резцы и клыки, премоляры и моляры – реже.
Типы, формы флюороза
Сейчас существует несколько методик классификации флюороза. Первая создана в конце сороковых Р. Габовичем. Она разделяет заболевание на 4 степени поражения эмали.
- I степень – небольшие полоски и/или пятна на эмали. Размер – не более 1/3 поверхности зуба. Поражены обычно резцы, моляры, премоляры.
- II степень – коронка зуба поражена на 50%. Интересно, что в этой стадии зубы почти не восприимчивы к кариесу. Это связано с большим количеством фтора, содержащегося в эмали.
- III степень – эмаль и дентин сильно поражены (более 50% поверхности зуба). Повышенная стираемость, хрупкость твердых тканей зуба. Пятна приобретают коричневый оттенок.
- IV степень – появляются очаги эрозий. Часто они сливаются в большие пятна. В тяжелых формах форма коронки зуба нарушается.
Следующая классификация появилась позже. Ее предложил В. Патрикеев.
- Дисплазия (зубы не теряют ткани) – пятнистая, меловидно-крапчатая и штриховая формы флюороза зубов.
- (утрата тканей). Проявляется в меловидно-крапчатой, эрозивной и деформирующей формах.
Флюороз зубов в штриховой форме выглядит, как полоски и штрихи на коронке пораженного зуба. Со временем они сливаются в пятна. Меловидно-крапчатая форма проявляется в форме меловидных пятен, появляющихся на коронке. Поверхность таких образований шероховатая.
Эрозивная и деформирующая формы – наиболее опасные из существующих. При них на эмали появляются очаги эрозии, нарушается прикус, наблюдается более высокая стираемость.
Может быть ограниченным (локализованным) и генерализованным. В первом случае заболевание поражает отдельные зубы. Наиболее подвержены таким изменениям центральные резцы верхней челюсти и первые моляры. Связано это с несколькими факторами:
- возраст ребенка;
- состояние организма;
- момент поступления больших доз фтора.
Если концентрация фтора была превышена на 1-2 году жизни, поражены обычно резцы и первые моляры. Форма поражения – локализованная. С третьего года жизни чаще наблюдается локализованный флюороз, поражающий вторые моляры и премоляры.
- Это состояние зубной эмали является необратимым.
- Одна форма флюороза не переходит в другую.
- Степень поражения организма всегда индивидуальна для каждого пациента.
Видео — Флюороз
Причины и особенности флюороза зубов
Причины флюороза зубов хорошо изучены. Впервые в медицинской литературе подобные симптомы были описаны еще в 1890 году. Хотя, скорее всего, их фиксировали и ранее. Выяснить, что флюороз связан с воздействием фтора, удалось только в 1931 году. Хотя еще в начале 20 столетия итальянские врачи предполагали, что такие изменения эмали могут быть вызваны либо вулканической пылью, либо токсическим действием какого-то химического соединения.
В 30-х годах прошлого века ученым Смиту и Черчиллю из США удалось подтвердить, что высокие дозы фтора, попадая в организм, приводят к необратимым изменениям, к числу которых относится и флюороз. Если в период развития зуба в организм поступает фтор в больших концентрациях, это приводит как к деминерализации, так и к гиперминерализации эмали. Поверхностный слой становится пористым.












