Любая боль, возникшая в правом боку, должна насторожить и обратить на себя внимание
. Как правило, подобный симптом является тревожным знаком о том, что в организме развивается патология, которая может быть опасна не только для здоровья, но и для жизни человека. Чаще всего такая боль связана с работой внутренних органов, позвоночника и системы пищеварения, но может быть следствием и других заболеваний.
Человеку, ощутившему боль в правом боку, которая к тому же отдает в ногу или в спину, необходимо прислушаться к ощущениям, чтобы определить характер боли и выявить дополнительные симптомы.
Именно это поможет в дальнейшем определить причину возникновения болевого синдрома и позволит специалисту назначить необходимое лечение.
Болезни дыхательной системы
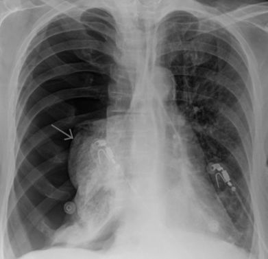
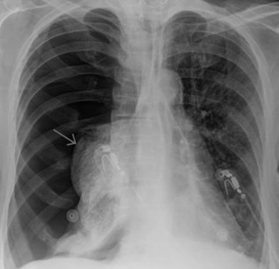
Плеврит
Плеврит представляет собой
заболевание, характеризующееся воспалением листков плевры
. Патология поражает как висцеральную, так и париетальную плевры. При плевритах в грудной области часто происходит скопление жидкости, которая сдавливает легкие, нервы и ткани, приводя к появлению болевого синдрома в области правого бока.
Задайте свой вопрос врачу-неврологу бесплатно
Ирина Мартынова. Закончила Воронежский государственный медицинский университет им. Н.Н. Бурденко. Клинический ординатор и невролог БУЗ ВО Московская поликлиника.
Характер и локализация боли
Заболевание характеризуется наличием колющей боли в боку, которая появляется при выдохе, кашле или натуживании. В самом начале заболевания боль локализуется в грудной клетке, но вскоре ощущается в ребрах, боку и спине со стороны поражения.
При правостороннем плеврите боль, отдающая в спину, соответственно, локализована справа.
Дополнительные симптомы
Кроме боли, которая является основным симптомом плеврита, пациенты отмечают у себя следующие признаки болезни:
- одышка;
- тяжесть в груди;
- сильный удушливый сухой кашель;
- субфебрильная температура (до 38 °С).
Диагностика и лечение
Диагностика и тактика лечения определяется терапевтом или пульмонологом. Если развитию заболевания предшествовала травма, необходима консультация травматолога.
Для постановки диагноза прибегают к следующим диагностическим мероприятиям:
- сбор анамнеза;
- осмотр пациента;
- рентгенография органов грудной клетки;
- функциональное исследование внешнего дыхания;
- торакоскопия;
- плевральная пункция;
- лабораторные исследования биологических материалов (кровь, моча, плевральная жидкость).
Лечение патологии заключается в применении:
- антибактериальных препаратов широкого спектра действия (при инфекционном плеврите);
- противокашлевых препаратов (при сильном кашлевом синдроме);
- средств для дезинтоксикации организма.
Иногда при значительном изменении участков плевры рекомендовано хирургическое лечение.
Пневмония
Представляет собой воспаление легочной ткани, а именно альвеол, бронхов, соединительной ткани. Пневмония
может быть двусторонней, левосторонней и правосторонней
. Именно воспаление тканей правого легкого может провоцировать появление болей в правом боку и спине.
Характер и локализация боли
Правостороннее воспаление легкого характеризуется тупой болью в правом боку, локализованной преимущественно в подреберье.
Мнение эксперта
Филимошин Олег Александрович
Врач
—
При длительном течении заболевания боль ощущается в груди и спине со стороны пораженного органа.
Дополнительные симптомы
Первым симптомом пневмонии является резкое повышение температуры до значительных отметок (до 39,5 °С). Далее пациенты отмечают признаки общей интоксикации, которые включают в себя:
- слабость;
- снижение умственной и физической активности;
- повышенное потоотделение, особенно в ночные часы;
- снижение аппетита;
- мышечные, головные и суставные боли;
- спутанность сознания.
Также заболевание имеет легочные проявления:
- сухой кашель, который со временем переходит в кашель с отделением большого количества мокроты;
- , интенсивность которой увеличивается при вдохе.
Кроме того, пневмония может сопровождаться рядом других признаков:
- покраснение кожи на стороне поражения;
- герпетические высыпания на стороне воспаленного легкого;
- боль в животе;
- рвота;
- расстройство стула.
Диагностика и лечение
При возникновении описанных выше симптомов необходимо обратиться к пульмонологу
, который проведет осмотр и сбор анамнеза и назначит дополнительные диагностические процедуры, включающие:
- рентгенографию;
- фибробронхоскопию;
- клинические, биохимические и бактериологические исследования крови и отделяемой мокроты.
Мнение эксперта
Филимошин Олег Александрович
Врач
-невролог, городская поликлиника г. Оренбурга.
Образование: Оренбургская государственная медицинская академия, Оренбург.
Лечение пневмонии проводится в условиях стационара под наблюдением медперсонала.
Медикаментозная терапия состоит из применения антибиотиков, витаминов и микроэлементов
, отхаркивающих препаратов и бронхорасширяющих средств.
Пневмоторакс
Патологическое состояние, для которого характерно наличие воздуха в плевральной полости, который сдавливает легкие и ведет к выключению органов из дыхательного акта. При большом объеме воздуха происходит смещение сердца и крупных сосудов, что приводит к значительным нарушениям кровообращения и дыхания.
Характер и локализация боли
Для пневмоторакса характерна острая боль в грудной клетке, которая усиливается при вдохе.
Иногда болевой синдром иррадиирует в плечо и спину со стороны пораженного органа.
Дополнительные симптомы
О начале заболевания говорит внезапно возникшая одышка. Далее пациент отмечает:
- сухой кашель;
- тахикардию;
- появление холодного липкого пота по телу;
- паническую атаку;
- резкую общую слабость.
При значительном нарушении кровообращения и дыхания отмечается синюшность кожи.
При открытом пневмотораксе (попадание воздуха через открытую рану грудной клетки) при вдохе слышится свистящий звук из раны.
При выдохе воздух выходит через открытую рану.
Диагностика и лечение
Диагностика патологии состоит из:
- осмотра пациента;
- рентгенографии грудной клетки;
- компьютерной томографии;
- исследования газового состава крови;
Наличие незначительного объема воздуха в плевральной полости, при котором механизм дыхания не нарушен, как правило, не требует лечения
.
В других случаях лечение проводится следующими способами:
- плевральная пункция, при которой отсасывается воздух;
- установка дренажной трубки;
- использование обезболивающих препаратов;
- кислородотерапия;
- оперативное лечение.
Рак бронхов, легких
Онкологическое заболевание, которое возникает вследствие нарушения деления клеток. Характеризуется неконтролируемым делением и размножением клеток тканей.
Характер и локализация боли
Боль при раке бронхов, легких не имеет определенной характеристики. Кто-то отмечает острую жгучую боль, кто-то жалуется на ноющую, тупую, постоянную. Локализуется она изначально в боку со стороны пораженного органа, далее может отдавать в спину, пах, грудину, конечности.
Болезненность характерна для более поздних стадий заболевания.
Дополнительные симптомы
К другим симптомам можно отнести:
- кашель, который появляется периодически;
- вялость, усталость;
- снижение или отсутствие аппетита;
- резкое похудание;
- присутствие в отделяемой при кашле мокроте прожилок крови;
- кровохаркание.
Диагностика и лечение
Диагностикой и лечением подобных заболеваний занимается врач-онколог
. Для подтверждения диагноза используют:
- сбор анамнеза и осмотр пациента;
- рентгенографию;
- КТ и МРТ;
- эндоскопические исследования;
- анализ крови на онкомаркеры.
Наиболее эффективным методом лечения является хирургическое удаление опухоли.
Также прибегают к химиотерапии, лучевой терапии.
Болезни органов ЖКТ
Острый холецистит
Воспалительное заболевание желчного пузыря, которое развивается, как правило,
из-за неправильного питания и нарушения обменных процессов
в организме.
Характер и локализация боли
Боль локализована в подреберье в правом боку, может иррадиировать в спину.
Болезнь характеризуется приступами острой боли, которые усиливаются после приема пищи.
Дополнительные симптомы
При остром течении патологии отмечаются:
- резкая тошнота;
- рвота (иногда однократная);
- жидкий стул (также может быть однократным);
- привкус металла или горечи во рту;
- фебрильная температура (выше 38 °С).
Диагностика и лечение
При появлении симптомов острого холецистита необходима консультация терапевта
или гастроэнтеролога. Для диагностики используют:
- сбор анамнеза, осмотр, пальпацию;
- рентгенографию;
- ФГДС (фиброгастродуоденоскопию);
- микробиологические исследования.
В терапии используют:
- противоглистные препараты;
- желчегонные препараты;
Аппендицит
Опасное заболевание, при котором происходит
воспаление червеобразного отростка слепой кишки
. Ввиду анатомического расположения аппендикса (в правой подвздошной области), основным симптомом патологии является боль .
Характер и локализация боли
В большинстве случаев воспаление аппендикса сопровождается тупой, постоянной болью в животе. В начале развития заболевания болезненность может ощущаться по всему животу, но уже спустя несколько часов боль локализуется , в нижней части живота.
Прогрессирование заболевания приводит к возникновению нестерпимых болевых ощущений и ряда других характерных признаков.
Дополнительные симптомы
К дополнительным симптомам аппендицита можно отнести:
- периодическую тошноту;
- однократную рвоту;
- сухость в полости рта;
- снижение аппетита;
- жидкий стул (чаще всего однократный);
- повышение температуры до 39 °С;
- тахикардию.
В некоторых случаях аппендицит протекает длительно, проявляя себя лишь незначительной болью в правой части живота ниже ребер. Такая боль не купируется спазмолитиками, поэтому при подозрении на воспаление аппендикса необходима срочная госпитализация.
Несвоевременное вмешательство специалистов приводит к разрыву или гангрене аппендикса и, как следствие, опасному для жизни состоянию — перитониту.
Диагностика и лечение
Диагностировать воспаление аппендикса может врач на основе жалоб пациента, сбора анамнеза. Также признаком заболевания служит значительное повышение уровня лейкоцитов в крови. Нередко прибегают к ультразвуковому исследованию органов брюшины.
Лечение аппендицита заключается в хирургическом удалении воспаленного органа.
Болезни мочевыделительной системы
Забрюшинная гематома
Осложнение после травмы живота, которое также носит название забрюшинное кровоизлияние. Также гематома может развиться вследствие повреждения внутренних органов, таких как пищевод, органы мочеполовой системы, прямая кишка и пр.
Характер и локализация боли
Боль при патологии носит острый характер и усиливается при движении тазобедренных суставов.
Локализована боль, как правило, в животе, в боках сзади и в пояснице.
Дополнительные симптомы
При незначительной гематоме пациент может не ощущать никаких признаков патологии. Симптоматика зависит от количества крови, излитой в брюшную полость, и от того, были ли повреждены внутренние органы и кости.
Значительная гематома сопровождается:
- сильным шоком;
- болевым шоком;
- внутренними кровотечениями;
- раздражением брюшины;
- парезом кишечника.
Диагностика и лечение
Определить наличие гематомы можно при помощи дифференциальной диагностики и УЗИ внутренних органов. Лечение хирургическое.
Гидронефроз
Прогрессирующее расширение собирательных полостей почек, которое приводит к их дисфункции.
Характер и локализация боли
Гидронефроз характеризуется ноющими болями в области живота, боков, поясницы и крестца.
При поражении правой почки болезненность ощущается преимущественно справа.
Дополнительные симптомы
К другим симптомам патологии относятся:
- прощупываемое уплотнение в брюшной полости;
- присутствие крови в моче;
- повышение температуры тела;
- озноб;
- головные и суставные боли.
При поражении обоих органов развивается почечная недостаточность, которая проявляется уменьшением количества выделяемой мочи, отечностью и повышением артериального давления.
Диагностика и лечение
Диагностировать заболевание можно при помощи анализа крови, УЗИ почек, экскреторной урографии, КТ и МРТ.
Консервативное лечение включает в себя:
- прием противовоспалительных средств;
- прием антибактериальных препаратов;
- использование лекарственных средств для снижения артериального давления;
- соблюдение особого режима питания.
Хирургическое лечение производится путем установки в почку стента, нефростомы.
Также проводится оперативное вмешательство для удаления суженного участка мочевыделительного тракта.
Гломерулонефрит
Группа почечных патологий, характеризующихся различным течением, симптоматикой и исходом. Патологии поражают, как правило, гломерулы (клубочки почек), но иногда в процесс вовлекаются и другие структуры почек.
Характер и локализация боли
Болевой синдром характеризуется постоянством, боль тупая. Чаще всего она локализуется в области поясницы и в боках со стороны поражения.
Дополнительные симптомы
Патология развивается остро и имеет следующие признаки:
- расстройство функций ЖКТ;
- общая слабость;
- повышение температуры тела до 39 °С;
- возникновение отеков различной степени выраженности;
- повышение артериального давления;
- изменение цвета мочи;
- олигурия.
Диагностика и лечение
Диагностика проводится на основе комплексной оценки состояния пациента и включает:
- сбор анамнеза, в том числе семейного;
- осмотр пациента;
- лабораторные исследования мочи, крови;
- иммунный анализ сыворотки крови;
- УЗИ почек.
Терапия заключается в постельном режиме и особой бессолевой диете. Также назначают антибиотики, диуретики, антигистамины, антикоагулянты. При тяжелом течении заболевания используют гормональные препараты, цитостатики.
В самых тяжелых случаях используют гемодиализ.
Пиелонефрит
Воспаление почек с поражением чашечно-лоханочной системы и тканей почек. Заболевание развивается вследствие воздействия на организм различных бактерий.

Характер и локализация боли
При заболевании пациент отмечает тянущую, ноющую боль в области поясницы и в боку со стороны почки, пораженной патологией. Болезненность усиливается при движении.
Дополнительные симптомы
К дополнительным признакам заболевания можно отнести:
- резкое тела до 40 °С;
- усиление потоотделения;
- тревожность;
- снижение или полное отсутствие аппетита;
- головную боль;
- тошноту и рвоту;
- чувство жажды;
- нарушение режима сна;
- учащенное болезненное мочеиспускание;
- сухость кожи и слизистых;
- отечность век;
- помутнение мочи.
Диагностика и лечение
Диагностика проводится при помощи общего и биохимического анализа крови, общего анализа мочи, бакпосева и антибиотикограммы мочи. Также прибегают к анализу мочи по Зимницкому.
Среди инструментальных диагностических методов используют УЗИ органов системы мочевыделения, экскреторную урографию, радиоизотопную ренографию, КТ и биопсию почек.
В качестве лечения назначают антибактериальную терапию препаратами широкого спектра действия.
Также используют противовоспалительные препараты нестероидного происхождения.
Поражения позвоночника, спинного мозга
Дегенеративно-дистрофическое заболевание, поражающее межпозвоночные диски.
Характер и локализация боли
Заболевание характеризуется продолжительными, тянущими болями в позвоночнике. С течением болезни боль отдает в спину, грудную клетку, ребра, поясницу.
Дополнительные симптомы
Симптоматика остеохондроза довольно обширна.
Препараты;
Характер и локализация боли
При спондилезе пояснично-крестцового отдела (в начале заболевания) пациент отмечает непостоянную боль ноющего характера.
Как правило, болезненность ощущается по бокам туловища и в области поясницы.
Дополнительные симптомы
Пациенты отмечают скованность в спине, усталость в теле, ноющие боли в позвоночнике. Также отмечается усиление боли при изменении погоды.
Диагностика и лечение
После неврологического обследования пациенту рекомендуют:
- рентгенографическое исследование позвоночника;
- компьютерную томографию;
Лечение может быть медикаментозным, физиотерапевтическим и оперативным.
Боли в правом боку у женщин
Причинами, почему болит в правом боку внизу живота у женщин, могут быть:
- воспалительные заболевания органов малого таза;
- внематочная беременность;
- киста яичника;
- перекрут ножки кисты;
- овуляция;
- беременность.
В каком случае необходима немедленная медицинская помощь?
Вызвать карету скорой помощи необходимо, если:
- появилась внезапная резкая боль в боку и не проходит в течение 40 минут;
- боль сопровождается обильной рвотой с примесью крови, горечью во рту, повышением температуры тела;
- боль усиливается во время движения;
- сильная боль резко прекратилась;
- боль не купируется спазмолитиками;
- появилась кровь в моче;
- общее состояние ухудшилось, сознание спутано.
Первая помощь
Ввиду того, что боль в правом боку и спине является симптомом многих опасных заболеваний, не стоит заниматься самолечением. Когда болит правый бок и боль отдает в спину, специалисты советуют придать телу горизонтальное положение и принять таблетку обезболивающего.
Если после приема 1 таблетки боль не утихает, необходимо вызвать скорую помощь. НЕЛЬЗЯ принимать много болеутоляющих, т. к. на фоне приема лекарств клиническая картина «смазывается» и затрудняет постановку верного диагноза.
Боль в правом боку, отдающая в спину, — симптом, который может указывать на опасные патологии в организме человека.
Не стоит заниматься самолечением и ждать, что «само пройдет». Своевременное обращение за квалифицированной помощью может не только восстановить здоровье человека, но и спасти ему жизнь.
Обязательно посмотрите следующее видео
Можно встретить немало людей, которых беспокоят боли в животе или спине. Среди них есть и те, кто ощущает подобные симптомы на границе между грудной и брюшной полостью – в правом подреберье. Это довольно распространенная жалоба на приеме врача, но она требует правильной интерпретации. За похожими признаками может скрываться совершенно разная патология, поэтому большое значение в клинической практике отводится дифференциальной диагностике боли в боку.
Причины
Боли, возникающие в подреберье, могут иметь различное происхождение. Механизмы развития такого симптома включают не только локальные патологические процессы или заболевания рядом расположенных органов, но и отраженные ощущения, появляющиеся на расстоянии благодаря нервным связям. В основе подобных признаков могут лежать рефлекторные реакции между внутренними органами и кожей, которые ограничены определенными зонами, в частности, правым подреберьем.
Боли в боку чаще всего говорят о проблемах с внутренними органами. Гораздо реже патология затрагивает поверхностные ткани. Если беспокоит правое подреберье, то нужно обратить внимание на возможность развития следующих состояний:
- Язвенная болезнь двенадцатиперстной кишки.
- Болезни желчного пузыря.
- Гепатит и цирроз печени.
- Панкреатит.
- Пневмония и плеврит.
- Заболевания позвоночника.
- Межреберная невралгия.
- Опоясывающий герпес.
- Травматические повреждения.
Как видим, боль под ребрами справа является результатом многих заболеваний. Чтобы определить, какое состояние вызвало этот симптом, необходимо обратиться к врачу и пройти комплексное обследование.
Неприятные ощущения в правом боку могут стать признаком серьезной патологии, которая порою требует неотложного врачебного вмешательства. Нельзя пренебрегать собственной безопасностью и откладывать посещение врача.
Симптомы
Каждый пациент прежде всего обеспокоен появлением болевых ощущений в подреберье. Это становится наиболее яркой, но не единственной жалобой. Однако, прежде чем перейти к рассмотрению сопутствующих симптомов, которые имеют свои особенности при разных заболеваниях, следует подробнее остановиться именно на возможных характеристиках боли. В зависимости от условий, она может быть:
- Острой и хронической.
- Резкой и кратковременной или монотонной и длительной.
- Ноющей, колющей, режущей, спастической.
- В области правого подреберья спереди или опоясывающей, отдающей в спину и влево.
- Интенсивной или слабовыраженной.
При заболеваниях желудочно-кишечного тракта боль в правом боку может усиливаться после определенных диетических погрешностей, патология позвоночного столба сопровождается ее появлением из-за движений в туловище, а связь с дыханием прослеживается в случае межреберной невралгии, пневмонии или плеврита. Соответственно, есть и факторы, которые приводят к уменьшению или исчезновению такого симптома.
Язвенная болезнь двенадцатиперстной кишки
Двенадцатиперстная кишка расположена справа от срединной линии тела, поэтому боли, которые возникают при ее поражении, могут локализоваться не столько в эпигастрии, сколько в подреберье. А если они отдают в спину, то можно предположить язвенную болезнь. Иногда симптом локализуется только сзади – в области 12 грудного позвонка – что создает определенные сложности в клинической диагностике. Боль появляется через 1,5–2 часа после еды и ночью. Помимо этого, пациенты могут предъявлять такие жалобы:
- Отрыжка кислым или воздухом.
- Изжога.
- Подташнивание.
- Запоры.
Во время пальпации живота определяется болезненность справа в эпигастрии, которая также возникает при надавливании на паравертебральную точку со стороны спины (обратный рефлекс). Язык покрыт белым налетом, у пациентов часто астеническое телосложение.
Особенно опасны осложнения язвенной болезни, среди которых часто встречаются перфорация и кровотечение.
Болезни желчного пузыря
Боль справа под ребрами зачастую свидетельствует о проблемах с желчным пузырем. У многих людей есть признаки холецистита или дискинезии, которые появляются после злоупотребления жирной или жареной пищей. В этом случае боли бывают либо спастическими, либо тупыми – все зависит от сопутствующей дискинезии (гипер- или гипомоторной). Они зачастую отдают сзади в подлопаточную область, надплечье или шею справа. Может развиться даже печеночная колика, когда в пузыре есть камни, перекрывающие ток желчи. Тогда симптомы очень острые и интенсивные, требующие ургентной помощи.
При хронических заболеваниях желчного пузыря в клинической картине отмечаются такие признаки:
- Ощущение горечи во рту.
- Снижение аппетита.
- Вздутие живота.
- Послабление стула или запор.
При осмотре можно заметить пожелтение склер или даже кожи, язык покрыт коричневатым налетом. Во время пальпации отмечается явная болезненность, которая также возникает при поколачивании по правой реберной дуге.
Гепатит и цирроз печени
Схожей клинической картиной обладают и заболевания печени. При этом также беспокоят боли в боку, которые будут тупыми и ноющими. Гепатиты и цирроз сопровождаются нарушением различных функций печени, что проявляется следующими признаками:
- Тошнота.
- Желтуха.
- Отеки.
- Кожные кровоизлияния.
При пальпации отмечается увеличенная печень, однако цирроз со временем может сопровождаться ее уменьшением, что является неблагоприятным прогностическим признаком. Можно заметить расширенные подкожные вены, телеангиэктазии. При высокой активности процесса наблюдается интоксикация с начальными явлениями энцефалопатии: сонливостью, ухудшением памяти и внимания.
Гепатиты и циррозы являются серьезной патологией, которая при отсутствии адекватного лечения существенно сокращает продолжительность жизни.
Панкреатит
Если пациентов беспокоит опоясывающая боль, то стоит задуматься о возможности развития панкреатита. Изначально появившись в левом подреберье, она отдает в правый бок и распространяется сзади по спине. При острой патологии она резкая, а при хронической – более тупая, но все же достаточно интенсивная. Кроме этого, отмечаются следующие симптомы:
- Тошнота.
- Многократная рвота.
- Послабление стула.
Если сначала в клинической картине преобладает болевой синдром, то впоследствии на первое место выступают признаки ферментативной недостаточности. Длительное течение панкреатита может даже закончиться сахарным диабетом.
Пневмония и плеврит
Заболевания органов дыхания нередко сопровождаются болью справа. Это наблюдается при нижнедолевой пневмонии или плеврите. Подобный признак локализуется не только спереди, но и сзади – на стороне патологии. Болевые ощущения, как правило, связаны с дыханием, а при плеврите уменьшаются в положении лежа на пораженном боку. При двустороннем процессе они нередко имеют опоясывающий характер. Также присутствуют и другие жалобы:
- Кашель.
- Выделение мокроты.
- Одышка.
- Лихорадка.
Мокрота будет выделяться при пневмонии, а плеврит не сопровождается таким признаком. Диагноз можно поставить даже клинически – благодаря перкуссии и аускультации.
Патология органов дыхания часто сопровождается болью под ребрами, что нужно учитывать при дифференциальной диагностике.
Заболевания позвоночника
Если болевые ощущения локализуются сзади, в области спины, то нужно исключать остеохондроз, грыжи дисков и другую патологию позвоночного столба. Тогда симптомы усиливаются во время поворотов и наклонов, из-за чего и ограничивается подвижность грудного отдела. При длительной компрессии нервного корешка начинают появляться признаки выпадения функции отдельных волокон, входящих в его состав:
- Онемение, жжение, покалывание.
- Снижение кожной чувствительности.
- Потливость, изменение дермографизма.
Если поражены оба корешка, иннервирующих симметричные сегменты тела, то чувствительные расстройства будут опоясывающими. При выраженной патологии позвоночного столба могут появляться проводниковые нарушения, которые характеризуются парезами и параличами нижних конечностей, дисфункцией тазовых органов.
Межреберная невралгия
Когда беспокоит боль между ребрами, самое время подумать о невралгии. Она связана не только с заболеваниями позвоночника, но и другими причинами, которые воздействуют локально. Как правило, боль в боку резкая, усиливается при глубоком вздохе, распространяется не только спереди, но и сзади. При двустороннем поражении она становится опоясывающей. Вдоль межреберья ощущается ползание «мурашек», онемение кожи.
Во время клинического обследования нужно также исключать патологию сердца, при которой могут появляться боли в прекардиальной области, ошибочно принимаемые за невралгию.
Опоясывающий герпес
При герпетической инфекции также поражается межреберье, что становится причиной боли в боку. Симптомы могут начинаться спереди или со стороны спины. Боль между ребрами сопровождается жжением и покалыванием. В дальнейшем на коже появляются характерные высыпания – сначала красные точки, на которых вырастают пузырьки с прозрачным содержимым, со временем вскрывающиеся, обнажая эрозивную поверхность. Процесс имеет односторонний или двусторонний характер, из-за чего герпес и назван опоясывающим.
Травматические повреждения
Боль справа в подреберье может возникать из-за травм. Чаще всего приходится говорить об ушибах ребер. Клиническая картина зависит от степени механического воздействия – от повреждения мягких тканей до переломов ребер и разрывов внутренних органов. Внешне можно отметить такие признаки:
- Кровоподтеки, ссадины.
- Отечность, гематома.
- Болезненность при дыхании и пальпации.
Когда предполагается разрыв паренхиматозного органа, например, печени или селезенки, то практически всегда это оканчивается внутренним кровотечением. В таком случае падает давление, нарастает общая слабость, головокружение, появляются симптомы раздражения брюшины.
Ушибы грудной клетки или верхних отделов живота опасны своими осложнениями, о которых нужно помнить для своевременного оказания помощи.
Диагностика
Необходимо верно интерпретировать боли в правом подреберье. Для этого применяют не только клиническое обследование, но и дополнительные методики, без которых зачастую сложно обойтись. Учитывая широкий арсенал возможной патологии, применяют следующие лабораторно-инструментальные методы:
- Общие анализы крови и мочи.
- Биохимические анализы крови (печеночные пробы, маркеры воспаления, коагуло- и протеинограмма, амилаза, антитела к герпесу, хеликобактерной инфекции и др.).
- Клинический и бактериологический анализ мокроты, плевральной жидкости.
- Интрагастральная pH-метрия.
- Рентгенография легких, позвоночника.
- Магнитно-резонансная или компьютерная томография.
- УЗИ органов брюшной полости.
- Гастроскопия.
Каждое исследование должно обосновываться клинически и подтверждать предварительный диагноз врача. В зависимости от предполагаемой патологии, необходима консультация смежных специалистов: гастроэнтеролога, пульмонолога, невролога, инфекциониста.
Боль под ребрами является довольно распространенным симптомом, который требует внимательного изучения на предмет соответствия известным заболеваниям. Только грамотная дифференциальная диагностика поможет врачу в определении ее происхождения. А после этого следует начинать соответствующее лечение.
Причины боли в спине и боку с правой стороны
При болевом синдроме в спине, который отдает в правый бок, не все задумываются над тем, почему происходит эта боль. А ведь причиной могут быть различные заболевания, происходящие в человеческом организме. При этом следует знать характер боли, который играет важную роль при постановке диагноза.
- Виды болей
- Причины
- Заболевания
- Диагностика
- Облегчение болевых ощущений
- Лечение
Виды болей
Болевые ощущения, появившиеся в правой части спины и пояснице, могут быть:
Причины
Врач не только должен узнать характер болевых ощущений и выписать лечение, очень важно определить место их локализации. Она может иметь не только разный характер, но и отличаться по месту локализации. Болевые ощущения возникают в верхней или нижней части спины, боку или около позвоночника. Таким образом, боль подразделяется на несколько причин возникновения:
Заболевания
Следует рассмотреть локализацию каждой боли в отдельности, а именно какие заболевания ей сопутствуют:
Диагностика
При любом болевом синдроме в правой части спины, пояснице и боку необходимо проконсультироваться со специалистом. Ведь если не обратить внимания на боль, то это может закончиться не только воспалительным процессом внутренних органов, но при серьезных заболеваниях – летальным исходом.
Для начала следует зайти к терапевту, который после осмотра и первичных исследований направит к невропатологу, урологу, гастроэнтерологу, ортопеду, кардиологу, нефрологу, хирургу, травматологу и мануальному терапевту.
Диагностировать наличие какого-либо заболевания необходимо с помощью следующих исследований:
- УЗИ внутренних органов;
- сдача крови и мочи в лабораторию;
- рентген позвоночника;
- компьютерная томография (при необходимости);
- магниторезонансная томография (при серьезных случаях).
Облегчение болевых ощущений
Облегчать болевые ощущения лекарственными средствами не стоит, ведь их должен назначать врач. Поэтому до результатов обследования и вынесения диагноза не нужно заниматься самолечением. В правой части спины находятся жизненно важные органы, поэтому лучше всего довериться профессионалам. Единственное правило, что при сильной боли в правой части спины и пояснице можно принять обезболивающие. Помните, что болевые ощущения пройдут только после того, как будет устранена их причина.
Лечение
Болевой синдром способен появиться неожиданно, а при некоторых заболеваниях иметь постоянных характер. Нельзя делать массаж или принимать физиопрецедуры. Когда врачу станет известно о диагнозе, только тогда он назначит лечение. В некоторых случаях понадобиться вмешательство опытного хирурга. Никогда не нужно забывать, что если болит в правой части поясницы или боку, то это может говорить о серьезном заболевании и обращаться за медицинской помощью необходимо своевременно.
Также при любом ушибе или травме нужно получить медицинскую помощь. А вот при резких и острых болевых ощущениях, которые появились внезапно, следует помнить, что это может свидетельствовать о том, что внутренние органы достигли острого состояния и жизни больного угрожает большая опасность.
В последние 5 лет у людей, живущих в городах, стал пользоваться большой популярностью такой вид физической активности, как прыжки на батуте. Это веселый и безопасный вид спорта, но у многих нередко болит спина после батута. К счастью, эту проблему легко вылечить или вовсе предотвратить.
Чем вызваны болезненные ощущения
В первую очередь боли в позвоночнике после прыжков на батуте возникают у тех, кто:
- Не имеет начальной спортивной подготовки, до этого вел полностью сидячий образ жизни.
- Выполняет движения неправильно, не знает как прыгать, не занимался с тренером.
- Не научился падать на спину или живот.
- Страдает от сколиоза, болей в пояснице и др.
- Получил незначительную травму из-за удара о батут или каркас.
Если боли после батута возникают ниже лопаток, это может быть признаком перенапряжения отдельной группы мышц. В самых редких случаях при возникновении сильной боли или онемения ног есть вероятность травмы позвоночника.
Прыжки на батуте увеличивают нагрузку на позвонки и межпозвоночные диски, так что неправильные занятия при наличии противопоказаний могут быть признаком компрессионного перелома. Он возникает не резко, а постепенно, и может быть выявлен только после МРТ.
Способы устранения боли
Если болевые ощущения после прыжков на батуте незначительные и возникают ниже лопаток, то их удается снять, немного ослабив нагрузку. Дополнительно расслабить спину помогает теплая ванна, легкий спортивный массаж и применение специальных гелей от болей в мышцах и суставах.
Если боль возникла прямо во время прыжков на батуте, то нужно ненадолго остановиться, отдышаться, можно обратиться к тренеру.
При регулярном возникновении легких болевых ощущений можно попробовать укрепить каркас позвоночника другими нагрузками, например плаванием, а также уделить внимание разминке перед тренировкой.
Некоторым людям от боли помогает уменьшение интенсивности и длительности тренировки. Прыгать на батуте может быть весело и легко, но нагрузка на организм высока, так что после занятия может возникать сильная боль в мышцах, причем не только спины, но и ног, рук и шеи.
Боль, вызванная сколиозом, устраняется сложнее. Можно попробовать исправить кривизну позвоночника при помощи специальных корсетов либо проконсультировавшись у ортопеда.
Когда необходимо к врачу
Идти к врачу после сеанса прыжков на батуте нужно при следующих симптомах:
- сильная и резкая боль колющего или тянущего характера;
- регулярные болевые ощущения, которые усиливаются после занятий или в ночное время;
- чувство онемения конечностей;
- возникновение боли после неудачного приземления на спину или живот;
- потеря сознания во время занятий на батуте.
Все это — тревожные сигналы травмы, возможный признак компрессионного перелома позвоночника.
Лечение
В большинстве случаев боли в мышцах и легкие ушибы после батута не нуждаются в специальном лечении — хватает простого снижения нагрузки и правильной техники. Однако если дело доходит до перелома, то приходится прибегать к лечению в кабинете врача.
Вылечить компрессионный перелом позвоночника не слишком сложно, но это занимает много времени. В первую очередь требуется ограничить активность, т. е. полностью отказаться от спорта и прыжков на батуте. Снижение подвижности достигается за счет фиксации позвоночника при помощи специального корсета.
Чаще всего для лечения применяется метод вертебропластики — введение в позвоночник тонкого металлического стержня через небольшой прокол. Эта процедура эффективна в 90% случаев и используется во всех европейских клиниках.
Второй метод, кифопластика, позволяет восстановить высоту позвонка через 2 небольших разреза при помощи введения специального баллона.
При смещении костей иногда требуется хирургическое вмешательство.
Как правильно прыгать
Даже если раньше вы профессионально занимались спортом, не нужно сразу пытаться сделать сальто или другие сложные трюки. Сначала нужно развить необходимые группы мышц и под руководством научиться выполнять стандартные прыжки на полусогнутых ногах. Все подготовительные движения нужно отрабатывать практически до совершенства.
Техника прыжков должна быть такой:
- Встаньте ровно в центр сетки, расставьте ноги на ширине плеч, слегка согните колени.
- Сделайте несколько легких прыжков.
- Зрение старайтесь фокусировать на краях батута, но иногда бросайте взгляд вниз, чтобы убедиться, что вы в центре.
- Держите спину ровно, голову прямо.
- Любые элементы, от базовых до самых сложных, выполняйте с полной концентрацией внимания.
- После выполнения всех трюков старайтесь приземляться в центр батута.
Особое внимание тренеры всегда уделяют технике падений, т. к. от того, как вы умеете падать, будет зависеть здоровье и ваша жизнь. В батутных залах вокруг самих батутов есть ямы, наполненные поролоном, но просто соскакивать туда нельзя. Тренер обучит вас прыжкам, падениям на спину, и только тогда можно будет приступать к тренировкам.
Еще один важный навык — умение группироваться. Когда человек подпрыгивает, он по инерции движется вперед, поэтому должен изучить технику остановки на месте и группировки, чтобы предотвратить травмы. Особенно важно изучить технику прыжков на спину, отрепетировав все движения до и после прыжка.
Многие сложные трюки даже опытные спортсмены советуют выполнять в полугруппировке — со слегка подобранными, но не сжатыми целиком конечностями.
Многие родители приводят в батутный центр ребенка, но нужно понимать, что прыжки на батуте — не только развлечение, но и спорт. Обязательно проследите, чтобы ребенок ответственно относился к занятиям и выполнял все рекомендации тренера; тогда он будет полностью здоров, и батуты не причинят ему вреда.
Стандартная тренировка не должна длиться дольше 45–60 минут, новичкам лучше прыгать всего полчаса. К этому времени добавляются 10 минут разминки, например на скакалке, и 10 минут заминки, легких упражнений. Некоторые на первом занятии прыгают 3–4 часа, что может привести не только к мышечной боли, но и к травмам.
Основные причины боли в пояснице и боках
Боль в пояснице – это ощущение, которое не понаслышке знакомо каждому человеку. Даже длительное нахождение в неудобной позе может привести к болевым ощущениям и дискомфорту в поясничной области. Однако выраженные боли в пояснице и в боках — это опасный симптом, так как они могут возникнуть вследствие развития патологического процесса в организме.
Почему болит поясница справа
Очень часто причиной боли в правом боку поясницы могут быть различные патологии внутренних органов. Такое состояние бывает связано с заболеваниями печени, почек, поджелудочной железы, кишечника, мочеполовой системы, желчного пузыря и опорно-двигательного аппарата. Характерно то, что эти боли имеют как временный, так и постоянный (или периодический) характер. Так, временная боль в пояснице справа может быть спровоцирована различными резкими движениями, неудобной позой во время сидения, а также неудачной попыткой выпрямиться или наклониться.
В том случае, если боли в пояснице, отдающие в правый бок, носят периодический характер, требуется срочная консультация специалиста, так как они могут сигнализировать о развитии хронического воспалительного процесса в организме.
Прежде всего, боль, отдающая вправо, может предупреждать о начальной стадии простатита или гинекологической патологии.
Иногда ноющая поясничная боль бывает причиной остеомиелита.
Одновременная боль в правом боку и в пояснице сигнализирует о холецистите, гепатите, пиелонефрите, правосторонней пневмонии и о других внутренних заболеваниях.
Если боли в пояснице отдают в бока, это может быть симптомом острого атипичного аппендицита, непроходимости кишечника, а также некоторых заболеваний желудочно-кишечного тракта.
Синдромы поясничных болей
- Опоясывающая боль в пояснице первичного синдрома обусловлена дегенеративно-дистрофическими изменениями различных позвоночных отделов. Как правило, это состояние характерно для остеохондроза, в процессе которого поражаются костные и хрящевые ткани. В том случае, когда поражение затрагивает межпозвонковые суставы, диагностируется спондилоартроз.
- Вторичный синдром опоясывающих болей развивается вследствие искривления позвоночника (сколиоза), а также из-за других заболеваний роста, связанных с нарушением метаболизма. Необходимо отметить, что к этой категории также относятся артриты, опухоли, разного рода инфекционные заболевания, переломы спинных позвонков, инсультные состояния, протекающие с нарушением спинномозгового кровообращения, ЗППП и другие патологии органов малого таза.
Очень часто причиной сильных поясничных болей становится смещение межпозвонковых дисков.
Бывают случаи, когда опоясывающая боль в пояснице сигнализирует о развитии опоясывающего лишая.
Симптомы патологического процесса
Иногда опоясывающая или отдающая в бок поясничная боль может быть единственным симптомом какого-либо недуга. Так, при патологиях органов малого таза возникает боль в крестцовой области, а при болезнях органов брюшной полости она отдаёт в поясничный отдел.
Очень часто опоясывающие боли сохраняют особенности болевого синдрома поражённого органа.
Если поясничная боль отдаёт в левый бок, возникает подозрение на воспалительный процесс в нижнем отделе толстого кишечника. Как правило, такое состояние сопровождается нарушением стула, урчанием в животе и повышенным газообразованием.
Схваткообразная поясничная боль может сигнализировать о почечной колике.
Необходимо отметить, что все опоясывающие или отдающие в бока боли в пояснице требуют грамотной квалифицированной диагностики, позволяющей выявить причину болезни, и назначить адекватное лечение.
В этом случае дополнительными методами исследования является рентген позвоночника, магниторезонансная и компьютерная томография, а также, в обязательном порядке УЗИ внутренних органов и лабораторные исследования крови и мочи.
Гонартроз 3 степени разрушает сустав
Гонартроз – это артроз коленного сустава, больше известен как «отложение солей». На самом деле, соли действительно могут откладываться в мягких тканях колена, но клинического значения это не имеет. Выражаясь медицинским языком, это дегенеративно-дистрофический процесс, происходящий в гиалиновом хрящевом покрове сустава. Это ведет к потере упругости, а впоследствии и к разрушению сустава. Уменьшается суставная щель, образуются шипы.
- Симптомы гонартроза 3 степени
- Последствия гонартроза
- Лечение гонартроза
Различают три степени гонартроза:
- 1 степень – первоначальная форма колена сохраняется, боли незначительные, «стартовые», присутствует чувство утомляемости;
- 2 степень – болевой симптом увеличивается, появляется хромота, сужается суставная щель, что видно на рентгене;
- 3 степень – боль не утихает даже в неподвижном состоянии, визуально наблюдается деформация сустава, суставная щель совсем исчезает, что видно на рентгене.
Различают первичный и вторичный гонартроз. Первичным гонартрозом чаще страдают женщины преклонного возраста с избыточным весом. Толчком является нарушение венозного кровообращения в нижних конечностях. К этому добавляется чрезмерная нагрузка и микротравмы механического действия. Проблем добавляют нарушения эндокринной системы.
Вторичный гонартроз возникает в результате травмы или как последствие перенесенного заболевания. В этом случае развития гонартроза можно избежать, начав лечение воспалительных процессов. Такое заболевание носит обычно односторонний характер. Подвержены вторичному артрозу коленного сустава люди любого возраста, а особенно спортсмены.
Симптомы гонартроза 3 степени
Когда уже развился гонартроз 3 степени, усиливаются все симптомы ранней стадии и появляются новые:
- боль усиленная и носит постоянный характер,
- резкая реакция сустава болью на смену погоды,
- изменение походки,
- увеличение и деформация колена (Х-образная или О-образная),
- ограничение в движении,
- хруст,
- выпот (скопление суставной жидкости),
- сужение межсуставной щели,
- склероз подхрящевой зоны,
- отложение солей вокруг.
Когда присоединяется синовит (наличие выпота), контур коленного сустава сглаживается, выпячиваются ткани над коленом и сбоку. При этом анализы крови показывают норму, температура тела не повышается. Просто больной чувствует помеху при сгибании. Чаще всего поражаются оба колена, но бывает и так, что болит только одно. Иногда гонартроз путают при диагностике с другими заболеваниями:
- мениск,
- артроз тазобедренного сустава,
- сосудистые боли в колене,
- воспаление сухожилий.
Последствия гонартроза
Если заболевание запустить, то все может вылиться в исчезновение хряща, обнажение кости, деформацию сустава. Это приводит к обездвиживанию колена и последующему протезированию. Конечным результатом гонартроза может быть полная утрата функций сустава и инвалидность. Неблагоприятные последствия гонартроза можно отнести к невнимательному и пренебрежительному отношению к своему колену. Это заболевание вполне легко диагностируется и вылечивается еще на первых стадиях.
Если не обращать внимание на утреннюю скованность, припухлость, небольшую ноющую боль, то в результате можно получить хромоту, искривленные ноги, заваливающуюся походку. Поэтому надо находить время на себя, на свое колено и посещать врача при первых сигналах организма. Тем более, что сегодня имеется большой арсенал средств и методов лечения этого заболевания. Чем раньше больной обращается к врачу, тем больше шансов на полное выздоровление.
Лечение гонартроза
Лечение гонартроза на раннем этапе не представляет проблем, часто можно обойтись просто профилактикой. А вот на 3 стадии это уже весьма проблематично. Приводить в порядок сильно деформированные суставы очень сложно. Все силы направлены на устранение боли, предотвращение воспалительного процесса, возвращение подвижности сустава. При неудачном исходе назначается хирургическое вмешательство.
Начинается лечение с устранения отека противовоспалительными препаратами. Тем самым уменьшается боль и облегчается состояние больного. После снятия болевого синдрома можно перейти к физиопроцедурам, гимнастике, массажу. Противовоспалительные препараты принимаются не больше 3 месяцев.
Для восстановления хрящевой ткани вводят хондропротекторы. Они воздействуют на причину болезни. Улучшается выработка суставной жидкости. Правда, при 3 стадии гонартроза они могут оказаться бесполезными.
Внутрисуставные инъекции гиалуроновой кислоты очень эффективны при 1 и 2 степени заболевания, а при 3 только приносят облегчение и то ненадолго. Большего результата при тяжелой форме гонартроза можно добиться методом вытяжения в сочетании с физиотерапевтическим лечением. Вытяжением разводятся кости, что увеличивает между ними расстояние, снимает нагрузку с сустава. Физиотерапевтическое лечение улучшает кровообращение в суставе, состояние тканей. Снимается болезненный мышечный спазм.
Чтобы оказать помощь при лечении гонартроза, стоит прибегнуть к использованию трости. При ходьбе с опорой на нее, трость принимает около 40 процентов нагрузки, предназначенной суставу. Трость надо выбирать по росту. Ее длина должна равняться расстоянию от вашего запястья до пола в прямом положении стоя с вытянутыми вниз руками. Трость с резиновой насадкой на нижнем конце не амортизирует и не скользит.
Хирургическое лечение при гонартрозе
Когда гонартроз приобретает тяжелые формы и консервативное лечение не приводит к положительным результатам, пациенту предлагается операция. При разных формах и с разными целями производят различные хирургические вмешательства:
- пункция – удаляется избыточная жидкость с последующим введением гормональных препаратов;
- чрезмыщелковая остеотомия большеберцовой кости – корректируется отклонение оси при деформации сустава;
- артродез – производится резекция сустава со сращиванием костных поверхностей. Такая операция проводится крайне редко;
- артролиз – удаляются измененные и утолщенные синовиальные мембраны, спайки с целью обеспечения большего объема для движения сустава;
- артропластика – сокращаются остатки суставных хрящей с формированием упрощенных суставных поверхностей. Такой вид хирургического вмешательства выполняется редко в связи с развитием неустойчивости сустава;
- эндопротезирование – замена разрушенного сустава имплантатом.
Важнейшей частью восстановительного процесса является реабилитация. Под присмотром врача пациент после операции с первых дней начинает постепенные движения в восстанавливаемом суставе. Если общее самочувствие больного удовлетворительное, ему позволено вставать на второй день. Выполняются упражнения, укрепляющие мышцы бедра, вырабатывается походка, щадящая прооперированный сустав. Реабилитационный период может длиться около полугода.
Сначала передвижение осуществляется при помощи костылей, затем им на смену приходит трость. Важно выполнять предписанные упражнения. Полезно ходить, чем больше, тем лучше, но не изматывая себя. Ходьба не заменяет физических упражнений. По лестнице вниз-вверх следует передвигаться очень осторожно.
О любом покраснении раны, дискомфорте необходимо незамедлительно сообщать врачу. Внезапное онемение или слабость в ноге могут свидетельствовать о повреждении кровеносного сосуда или нерва. Какими бы современными имплантатами не делали замену коленного сустава, они изнашиваются рано или поздно. Однако чем современнее и дороже протез, тем дольше он прослужит.
Народная медицина при гонартрозе
Гонартроз на ранней стадии вполне лечится консервативными методами. В ход можно пустить лечение народными средствами с рецептами, которые очень действенны при артрозе коленного сустава. Чего только стоит красная или голубая глина! Правда, ее нельзя собирать металлической лопаткой, чтобы не повредить целебные свойства. Лучше это делать деревянной ложкой.
Глину, разбавленную водой до консистенции сметаны, выкладывают на тряпочку слоем в 2 см и накладывают в качестве компресса на 2 часа, обмотав шерстяным шарфом. Использованную глину второй раз не применяют. Такая примочка в течение 5 дней хорошо снимает отек. Можно в этот период принимать глиняную воду.
Из компрессов рекомендуется применить следующий рецепт: 3 ст.л. яблочного уксуса смешать с 1 ст.л. меда. Этой смесью смазывается коленный сустав. Сверху надо наложить свежий лист лопуха или капусты, а лучше алоэ. Все это укутывается полиэтиленом и шерстяным платком на ночь. Если есть терпение, можно так походить несколько дней, пока листья не высохнут.
Из противовоспалительных настоек, улучшающих и кровообращение, следует принять на вооружение такой вариант: через мясорубку пропустить 3 лимона, 120 г чеснока, 250 г корня сельдерея или крапивы. Все это залить кипятком в трехлитровой банке. Дать постоять ночь, накрыв подушкой или теплым одеялом. Пить по полстакана за полчаса до еды. Одной банки хватает на месяц, а за курс надо выпить три.
От болевых ощущений хорошо применить терапевтический курс массажа медом. Для начала в течение 10 минут надо разогреть коленный сустав, например, грелкой. Потом больное место смазывается медом и массируется минут 15. Делать это лучше перед сном, накрыв колено бархатной стороной лопуха. В течение 10 дней боль уходит.
В этой области находятся такие важные органы как почка, поджелудочная железа, желчный пузырь, печень, диафрагма. Сейчас мы поговорим о том, что может вызвать боль в спине, правом подреберье и в правом боку.
Возможные причины боли
Боль в правом подреберье может быть результатом определенных болезней:
Если посмотреть на статистику, то основная масса людей жалуются на боль в правом подреберье из-за заболеваний желчного пузыря.
Боли в правом подреберье спереди
Если болит справа под ребром спереди, причиной могут быть заболевания таких органов, как:
- гепатит, цирроз, застой желчи;
- острый или хронический холецистит, желчекаменная болезнь;
- панкреатит, рак поджелудочной;
- язва 12-перстной кишки и аппендицит;
- диафрагмальные грыжи;
- инфаркт миокарда или при стенокардия;
- опоясывающий лишай;
- плеврит, пневмония;
- лямблиоз, амебиаз, описторхоз.
Боли в правом подреберье сзади
В этой области чаще всего болят травмы нижних ребер, межреберные нервы, правая почка, надпочечник, нижняя полая вена.
Чаще всего боль в данной области связана с патологией правой почки – пиелонефрит (хронический или острый).
Боли в правом подреберье отдающие в спину
Если болевые ощущения отдают в спину, тогда причины могут быть в следующем:
- Воспалена печень, при вирусных гепатитах и других отклонениях в работе органа;
- При травмах кишечника, желчного пузыря и правой части диафрагмы;
- При грыже позвоночника, остеохондрозе, артрозах межпозвонковых суставов;
- При воспалении желчного пузыря и дискинезии желчевыводящих путей;
- При панкреатите, язве и других патологиях поджелудочной железы;
- При почечной патологии, абсцессах, гнойниках и камнях в почках.
Ноющая, тупая боль в правом подреберье
Тупая ноющая боль – частый признак хронического воспаления. Такой характер болей у следующих патологий.
Боль при физических нагрузках
Очень часто боль в правом подреберье возникает при физической нагрузке (беге, быстрой ходьбе), которая может носить покалывающий или ноющий характер. Как правило, причина возникает в том случае, если эта нагрузка началась резко и с высоким темпом.
Соответственно при такой нагрузке усиливается кровоток, и большой поток крови направляется в печень, вызывая растяжение ее капсулы, и рефлекторно проявляется болью.
Острый холецистит
Наиболее опасная форма заболевания развивается бурно, сопровождается ярко выраженными симптомами:
- сильной приступообразной болью в области желчного пузыря;
- ухудшением самочувствия;
- тошнотой и многократной рвотой;
- повышением температуры тела;
- отсутствием аппетита;
- нарушением пищеварения (запором, диареей, повышенным газообразованием в кишечнике).
Хронический холецистит
Основным симптомом хронического холецистита является боль в правом подреберье – длительная либо приступообразная, отдающая в лопатку и правое плечо. Она может распространяться на достаточно широкую область грудной клетки и спины. Иногда боль сопровождается слабостью, кардиалгией, лихорадкой и другими признаками.
Вне обострений больной время от времени испытывают тупую боль в эпигастральной области и в правом подреберье. Во время обострений симптомы хронического холецистита сходны с признаками острой формы заболевания.
Желчокаменная болезнь
Пока камни находятся в желчном пузыре, больной может даже и не догадываться о своем недуге. Заподозрить данное заболевание человек сможет только во время первых настораживающих признаков: горечь во рту, дискомфорт в правом подреберье, изжога, отрыжка и тошнота.
Если камень из желчного пузыря выходит в желчные протоки, то в этот момент возникает приступ желчнокаменной болезни (желчная колика).
Острый пиелонефрит
Клиническая картина пиелонефрита характеризуется в типичных случаях тремя главными симптомами:
- повышение температуры до 38-40°С и озноб;
- расстройства мочеиспускания;
- боли в пояснице.
Другие общие симптомы: слабость, недомогание, снижение аппетита, тошнота, рвота, головная боль, боль в мышцах и суставах, обильное потоотделение.
Боли в области поясницы в первые дни не имеют четкой локализации, затем они точно определяются на уровне больной почки. Боль может отдавать в подреберье, пах, половые органы. Боли усиливаются при движении, кашле, а также по ночам. Мочеиспускание становится учащенным и болезненным.
Хронический пиелонефрит
Несмотря на не специфичность симптоматики заболевания, можно выделить некоторые признаки хронического пиелонефрита, на которые следует обратить внимание.
- беспричинное повышение температуры в вечернее время до 38оС и выше,
- быстрая утомляемость, слабость,
- частые головные боли,
- ощущение того, что поясница постоянно мерзнет,
- возникновение болевых ощущений в области поясницы, особенно при ходьбе,
- частые позывы в туалет,
- изменения цвета мочи, ее помутнение,
- появление у мочи нехарактерного неприятного запаха.
Клиника заболевания зависит от наличия сопутствующих урологических болезней и от его патогенеза.
Общие симптомы гепатита С
В целом гепатит С — это бессимптомное заболевание, диагностируется чаще случайно, когда люди обследуются по поводу других заболеваний. Поэтому в своевременной диагностике важны анализы.
Чаще прочих симтомов отмечаются астения, слабость, утомляемость. Но эти симптомы очень неспецифичны (одно их наличие не позволяет говорить о гепатите С). При циррозе печени может появиться желтуха, увеличивается в объеме живот (асцит), появляются сосудистые звездочки, нарастает слабость.
Лечение
Не установив точный диагноз в лечебном учреждении, запрещено заниматься самолечением. При возникновении острой боли рекомендуется вызвать скорую медпомощь, приложить холод (если это способствует снятию болевых ощущений).
В данном случае нельзя принимать обезболивающие препараты, чтобы не исказить клинические симптомы и не затруднить постановку правильного диагноза.
Боль при остеохондрозе в правом боку: возможные причины, и какое заболевание может ее вызвать
Остеохондрозом называют дегенеративные изменения хрящевой ткани, которые проявляются через разные признаки.
Медленное разрушение позвоночных сегментов становится причиной сильных болевых ощущений в области спины и других участках тела – в зависимости от того, какой из отделов позвоночного столба был поражен болезнью.
Боль в правом боку может указывать на самостоятельную патологию печени, кишечника, желудка, желчного пузыря или быть следствием защемления нервных окончаний в позвонках.
Опасным симптомом является появление болевого синдрома в левом боку спереди. Если он не вызван позвоночной патологией, то может указывать на заболевания сердца.
Причины появления болезненных ощущений
Защемление двигательных нервных волокон приводит к снижению общей активности. При остеохондрозе снижается рефлекторная чувствительность, больной плохо чувствует руки и ноги.
Если сдавлены окончания, относящиеся к чувствительной нервной системе, то это выражается в мучительных неврологических болях.
Поражение вегетативных стволов ведет к появлению болевого синдрома в области внутренних органов, который люди принимают за самостоятельное заболевание. Для постановки точного диагноза требуется тщательная дифференциальная диагностика.
Может ли остеохондроз отдавать в правый и левый бок и при этом не быть связанным с патологиями органов грудины и брюшной полости? Ответ – утвердительный.
Причинами такого «отраженного» симптома, распространяющего от места воспаления по сети нервных окончаний к боковым частям тела, являются:
- Поражение нижних позвонков шейного отдела.
- Защемление нервных окончаний в грудном отделе (межреберная невралгия).
Диагностическое обследование идет в 2-х направлениях: в зависимости от локализации болевого синдрома исследуется внутренний орган и параллельно проводятся мероприятия, позволяющие оценить состояние шейного или грудного позвоночного отдела.
К примеру, больной считает, что боль отдает в бока живота из-за кишечных колик и пьет лекарства, предназначенные для лечения этого органа. Но область брюшины по-прежнему болит.
В это время воспалительный процесс в грудном отделе, спровоцировавший тревожные признаки, продолжает нарастать.
Стоит человеку выпить обезболивающую таблетку, и боль, как рукой, снимает. Самостоятельные попытки лечения в лучшем случае могут ничего не дать, в худшем – привести к тяжелому позвоночному заболеванию.
Поэтому обращаться к врачу следует сразу при появлении тревожных признаков. В домашних условиях невозможно получить квалифицированную медицинскую помощь.
Как не спутать с другими заболеваниями?
В позвонках с правой и левой стороны через отверстия выходят нервные стволы. Они связаны с сетью нервных окончаний, идущих к тому или иному органу.
Если сдавлены корешки слева, то болит левый бок при остеохондрозе, справа – болевой синдром отмечается в правой половине туловища.
Болевой синдром, локализующийся слева в области грудины сразу под ребрами, может указывать на гастрит. Если она возникает немного выше – это в ряде случаев говорит о неполадках в работе сердца.
Мучительная боль в левом боку и под левой лопаткой иногда сигнализирует о начинающемся сердечном приступе. Но все эти симптомы могут указывать и на проявления остеохондроза, выражающегося через межреберную невралгию.
Опасность состоит в том, что пока человек принимает экстренные меры по лечению позвоночника, его сердце может остановиться (если на самом деле боль была вызвана патологиями сердечной мышцы).
Поэтому нельзя в таких случаях терять время, занимаясь самолечением. Только действия врача могут гарантировать успешное выздоровление.
Правый бок может болеть при холецистите, панкреатите, циррозе печени, камнях в желчном пузыре и других заболеваниях органов брюшины. Но к схожим симптомам может приводить и компрессия нервных корешков в позвонках. Как не спутать эти признаки?
У них есть определенные различия:
- При заболеваниях органов интенсивность боли нарастает вне зависимости от положения тела. При лежании на горизонтальной поверхности боль уменьшается, если причина ее появления – остеохондроз.
- При внутренних патологиях боль глубокая, сильная, стабильная, тянущая. При болезни позвоночника – болевой синдром меняет свою интенсивность. Он снижается после отдыха и нарастает во время попыток движения. Например, при межреберной невралгии глубокий вдох становится причиной резких болезненных ощущений под лопаткой или в области грудины. Если на этот участок наложить опоясывающую тугую повязку, больные замечают, что дышать стало легче.
- Воспалительные процессы в области брюшины сопровождаются повышением температуры тела. При хроническом вялотекущем остеохондрозе этот признак отмечается редко.
Левый или правый бок может болеть при заболеваниях органов или симптом указывает на развитие остеохондроза. Чтобы их разграничить и найти настоящую причину болезненных ощущений, требуется подробная дифференциальная диагностика.
Чем раньше больной обратится к врачу, тем больше шансов на то, что сдавление нервных окончаний не приведет к нарушению иннервации жизненно важных центров и последующему развитию самостоятельных заболеваний.
Кстати, сейчас вы можете получить бесплатно мои электронные книги и курсы, которые помогут вам улучшить ваше здоровье и самочувствие.
pomoshnik
Получите уроки курса по лечению остеохондроза БЕСПЛАТНО!
Основные причины для появления болей в правом подреберье
Причины боли в правом подреберье не всегда очевидны. Чаще всего требуется обследование, при котором методично будут исключаться все вероятные факторы. Объясняется это тем, что все органы внутри тесно связаны между собой, поэтому причины боли в правом подреберье могут иметь разные факторы и этиологию.
Иногда они возникают у вполне здоровых людей. Такие люди обычно жалуются на дискомфорт в правом подреберье, когда он возникает после плотной еды или при физических нагрузках. Эта болезненность относится к категории “здоровых” болей, которые не требуют лечения. Печень наполняется кровью при выбросе адреналина, поэтому вынуждена реагировать колющей болью в правой области. Обычно такое состояние проходит быстро, едва восстановится дыхание или немного опорожнится желудок.
Боль в правом подреберье бывает у женщин при беременности и менструации. При беременности живот растет, со временем начинает давить на кишечник. Последний же рефлекторно сдавливает внутренние органы в виде печени, желчного пузыря, поджелудочной железы. При менструации же гормональный баланс меняется, нарушается необходимый баланс, что провоцирует спазмы желчевыводящих путей.
Боль в правом подреберье: причины боли по передней части
Рядом с печенью расположен еще один орган, который склонен к более агрессивным выражениям. Причины боли в правом подреберье часто возлагают именно на желчный пузырь. Его функциональность зависит от полноценности печени, но он способен иметь самостоятельные заболевания. Хронические воспаления могут давать острые, режущие боли. Болевой синдром в правом отделе может быть дергающий и сопровождаться горечью во рту, особенно по утрам.
Гепатиты могут вызвать болевые ощущения в правом отделе подреберья. Может быть чувство жевания, тяжести, ощущения дискомфорта. Гепатиты сопровождаются желтушностью кожи, похудением. Степень может быть разной, ее наличие необязательное условие. Заболевание может протекать скрыто, без выразительных симптомов и проявить себя только на последней стадии.
Кишечник как провокатор боли в правом подреберье
Ободочная кишка на всем своем протяжении может давать острые боли, особенно при наличии такого явления как метеоризм. Очень часто причины возлагают первично именно на кишечник. Он представляет собой подобие широкого пояса, который окаймляет оба подреберья. Пока очаг воспаления/раздражения в самой кишке, боли могут быть сравнимом умеренными, переносимыми. Процесс меняется и они становятся максимально агрессивными при вовлечении брюшины.
Чаще всего наличие болевого синдрома в правом подреберье косвенно указывает на наличие таких заболеваний:
- колиты различной этиологии. Они дают спазмы, боли, имитацию гинекологических болезней;
- болезнь Крона. Сопровождается сильными болями, язвенными поражениями кишечника;
- кишечная непроходимость, каловые завалы. Боли резкие, спастические;
- аппендицит в острой форме. Стартует в области надчревья, превращается в выраженные боли в правом отделе.
Все перечисленные заболевания носят выраженный характер и требуют обязательного вмешательства специалистов.
Боль в задней части правого подреберья
Чаще всего такую болезненность в правом подреберье дает правая почка. Есть несколько вероятных заболеваний, связанных с почками, способных провоцировать дискомфорт и давать болезненность:
- мочекаменная болезнь;
- пиелонефрит в стадии обострения;
- некроз сосков почки;
- рак почки.
Почечный синдром почти всегда имеет основной признак: высокую температуру. Поэтому при наличии температуры, тошноты, сильного спазма с правой стороны по задней части, необходимо вызывать “неотложную помощь”.
Над почкой есть еще и надпочечник, чьи функции также важны для здоровья. При наличии крупных опухолей надпочечник может вызывать боли и провоцировать дисфункцию всего гормонального фона.
Невралгия и остеохондроз
Часто болезненность в подреберьях возникает при обострении невралгии. Невралгию диагностировать не так просто, она умело маскируется под многие заболевания. Невралгия может проявляться как боль в подреберье, отдающая в любую часть позвоночника. Обычно она стойкая, проходит неделями, ее трудно полностью купировать.
Остеохондроз не реже невралгий дает стойкие и агрессивные боли в правом отделе. Это происходит чаще при обострении грудного или поясничного остеохондроза. Болезненность может ощущаться в спине и подреберье одновременно. Часто обострение остеохондроза сочетается с невралгиями. Синдром болей различной силы, появляется существенное ограничение в выполнении движений. При остеохондрозе может меняться характер от ноющих до агрессивных, стреляющих и ломящих.
Другие причины болезненности в правом подреберье
При ушибах, ударах в ребрах появляется устойчивая боль. Должно насторожить, если она в подреберье усиливается при вдохах или попытках чихнуть. Также неестественный хруст при попытках присесть или наклониться.
Более редкие причины связаны с тромбозом полой вены. Это происходит, если тромб отрывается и блокирует либо печеночную, либо основную вену. Здесь может быть боль, отдающая в поясницу или в заднюю часть подреберья. В другом случае боли появляются более обширные и отзываются в лопаточной области.
Тупые и острые боли
Если боль постоянна, стоит заподозрить наличие опухолей или серьезных патологий. При нагрузках она может проходить, если происходит частичное закупоривание желчевыводящих протоков. Болезненность в правом подреберье станет острой:
- при перитоните;
- почечной колике;
- кишечной непроходимости;
- тромбозе сосудов кишечника.
Обращение к специалисту нельзя откладывать при появлении острой боли, особенно в сочетании с температурой. Бывает так, что затягивание вызова бригады врачей приводит к летальному исходу. Причины могут быть разные для рождения болей, но только от своевременности оказания помощи будет зависеть выздоровление и возвращение к полнокровной жизни.
Заболевания, являющиеся причиной боли в правом подреберье
Боль в правом подреберье спереди могут вызвать такие важные для человека органы, как легкое, желчный пузырь, поджелудочная железа, печень, кишечник и диафрагма, сзади располагается почка.
Кроме этого, болевые ощущения могут возникнуть из-за проблем нервной системы, иррадиироваться при болезнях позвоночника, органов малого таза, сердца.
Поэтому, если начинает ощущаться боль справа сбоку под ребрами, нужно обратиться к врачу для обследования, чтобы установить, не является ли это началом развития серьезного заболевания.
Причины, способные вызвать боль под ребрами справа
Чаще всего дискомфорт в правом подреберье вызывают заболевания таких органов, как легкое, желчный пузырь, сердце.
Постоянные боли могут являться признаками следующих заболеваний:
- Печень
- Поджелудочная железа
- Желчный пузырь
- Холецистит
- Желчнокаменная болезнь
- Правое легкое
- Кишечник
- Аппендицит
- Язвенная болезнь 12-перстной кишки
- Диафрагма
- Сердце
- Стенокардия
- Инфаркт миокарда
- Правая почка
- Мочекаменная болезнь
- Пиелонефрит
- Опухоли вышеперечисленных органов
- Остеохондроз позвоночника
- Травмы ребер или органов, расположенных в животе
- Опоясывающий лишай
Боль в правом подреберье, появляющаяся время от времени
Такие «здоровые боли» могут быть вызваны:
- Физическими нагрузками. Чаще всего это случается у нетренированных людей, не занимающихся спортом, и которым пришлось выполнить интенсивную физическую нагрузку. При этом происходит выброс адреналина, в организме увеличивается кровоток, что расширяет полую вену, находящуюся с права под ребрами. Она является крупным сосудом, который расширяясь, оказывает давление на печень.
- Беременность. Периодически болит правый бок при беременности во втором триместре, в силу того, что плод довольно быстро растет и давит на внутренние органы будущей мамочки.
- Предменструальный синдром (ПМС). У женщин, в организме которых вырабатывает большое количество половых гормонов – эстрогенов, за пару дней до менструации отмечается болезненность в области живота. Причиной является спазм в желчевыводящих путях под воздействием данного гормона. Для устранения подобных болевых ощущений необходимо обратиться к гинекологу.
Локализация боли
Для постановки верного диагноза, больному необходимо точно определить то место, где ощущается боль. Многие принимают боль в правом подреберье сбоку с симптомами остеохондроза.
Чаще всего это связано с патологией правой почки – пиелонефрит (хронический или острый).
- При остром пиелонефрите наблюдаются интенсивные тупые болевые ощущения, возникающие в области поясницы. При данном заболевании происходит усиление боли от постукивания по нижнему ребру, расположенному сзади
- Хронический пиелонефрит вызывает слабые боли ноющего характера, усиливающиеся в прохладную и сырую погоду.
Забрюшинная гематома
Боль под ребрами может появиться при возникновении травмы спины в результате падения или удара, при которой в тканях, находящихся глубоко за брюшиной, произошел разрыв сосуда, и образовалось скопление крови (гематома). Происходит сдавливание близлежащих органов и тканей, появляется боль. Характер болевых ощущений зависит от размера кровоизлияния, усиливается во время движения.
Мочекаменная болезнь
Болевые ощущения зависят от размера образовавшегося камня и местоположения в мочевыводящих путях. При этом боль под ребрами, ощущающаяся сзади, может быть как постоянной, так и периодической, чаще всего тупого характера. Она может усиливаться во время движения (бег, прыжки), поездке на транспорте, при выпивании жидкости в больших количествах.
Острый панкреатит
Данному заболеванию свойственны болевые ощущения «опоясывающего» характера, т.е. острая боль возникает под ребрами с обеих сторон, в пояснице, сопровождается рвотой и ощущениями тошноты. В лежачем положении боль становится сильнее, при сидении ослабевает.
Характер интенсивности болевых ощущений
Ноющая боль в правом боку
- Слабый характер болевых ощущений свойственен хроническому пиелонефриту, лечение проводят в стационарных условиях.
- Постоянная, иногда становящаяся острой боль в правом боку, возникает при остеохондрозе. Стоять или сидеть может быть очень больно, для облегчения ощущений рекомендуется принять полусидящее положение тела, наклонившись вперед.
Острая боль в правом боку
Подобный симптом является самым опасным, и возникает в следующих случаях:
- Воспаление аппендикса.
- Колющая боль, имеющая острый характер, является признаком:
- Разрыва, гематомы печени
- Разрыва почки
- Разрыва желчного пузыря
- Опущения почки
- Перелома ребер
Острые болевые ощущения возможны при следующих патологиях:
- Печеночные колики
- Почечные колики
- Острый холецистит
- Острый панкреатит
- Ущемление почечной кисты
Тупая боль в правом подреберье
- Острый пиелонефрит. Боль становится сильнее при ударе по спине в районе нижнего ребра.
- При низкой интенсивности болевых ощущений причиной являются хронические заболевания (панкреатит) или рак (последняя стадия)
- Воспаление в организме, чаще всего следующих органов:
- Желчный пузырь
- Правое легкое
- Поджелудочная железа
- Селезенка
- Придатки матки
Лечение
Ребра, расположенные справа, являются защитой для следующих органов:
Данные органы настолько плотно прилегают друг к другу, что самостоятельно диагностировать причину боли в правом боку практически невозможно. Поэтому главное правило – вовремя обратиться к врачу, в первую очередь – к терапевту.
Если болит справа под ребрами, терапевт обычно назначает консультацию у следующих специалистов:
При возникновении острой боли рекомендуется вызвать скорую медпомощь, приложить холод (если это способствует снятию болевых ощущений). В данном случае нельзя принимать обезболивающие препараты, чтобы не исказить клинические симптомы и не затруднить постановку правильного диагноза.
В дальнейшем для снятия боли можно применять следующие спазмолитические препараты:
- Нитроглицерин (рассасывая одну таблетку под языком или капнуть 3 капли на кусок сахара)
- Но-шпа (допускается прием двух таблеток до трех раз в течение дня)
После постановки диагноза, дополнительно к медикаментозному лечению, можно порекомендовать следующие средства из народной медицины:
- Картофельный отвар для лечения желчного пузыря. Для приготовления отвара необходимо сварить картофель «в мундире», после чего растолочь вместе с водой. Дать настояться, после чего пить по две столовые ложки трижды в день.
- Боль в селезенке. Пьют отвар шиповника, маточное молоко (1 гр в день)
- Боль в печени. ½ литра меда смешать с молотой корицей (2 ложки). Принимают по ложке до/после приема пищи.
Как предотвратить боль в правом подреберье?
- Не злоупотреблять спиртными напитками
- Стараться не питаться слишком часто жирной, тяжелой пищей, с большим содержанием соли
- Ежегодно проходить медобследование, УЗИ, чтобы быть в курсе существующих хронических заболеваний, знать их состояние, способы лечения
- При появлении болевых симптомов под ребрами незамедлительно обращаться за медпомощью.
Боль в правом подреберье отдающая в спину что это может быть
Боль в правом подреберье развивается или при заболеваниях локализованных там органов, или при болезнях тех органов, нервные окончания которых или сами идут к правому подреберью, или пересекаются с расположенными там нервами.
Самая распространенная причина боли в правом подреберье – заболевания печени и желчного пузыря, но встречаются и другие состояния, сопровождающиеся этим симптомом
Точно установить происхождение боли может только врач. Лечение назначается в зависимости от обнаруженной патологии.
Органы правого подреберья
В правом подреберье локализуются:
Боль в правом подреберье как следствие заболеваний печени
1) Гепатиты. Они могут быть вызваны:
3) Сердечная недостаточность, при которой наблюдается застой крови в печени с ее увеличением. Обычно до этого человек уже знает о своем заболевании сердца (стенокардия. кардиомиопатия, гипертоническая болезнь), у него есть и сердечные симптомы.
Болезни органов гепатобилиарной системы
1) Холецистит – воспаление внутренней оболочки желчного пузыря. Боль справа под ребром может быть резкого характера, развивается после употребления жирной пищи. Она сопровождается слабостью, тошнотой, повышением температуры, горечью во рту.
2) Желчнокаменная болезнь проявляется в виде изжоги, чередования запора и диареи. Если камень начинает двигаться по протокам, боль становится очень сильной, отдает в плечо, лопатку, спину, шею справа, может отдавать в область сердца. Закупорка желчных протоков камнем сопровождается желтушным окрашиванием кожи и склер, вялостью, тошнотой.
3) Панкреатит. При этом боль локализуется не только в под ребром справа, но распространяется и на подреберье левое, отдает в спину. При этом сильно ухудшается общее состояние, развиваются тошнота и рвота, часто – и понос.
Боль в правом подреберье как следствие болезней кишечника
Различные воспалительные заболевания кишечника (в том числе и инфекционные) могут сопровождаться кишечной коликой, которая может проявиться болью в любом отделе кишечника, в том числе и в правом подреберье.
Болезни почек
Справа под ребром может болеть и при остром, и при хроническом пиелонефрите. Но такая боль будет больше локализована в спине, сопровождаться нарушением мочеиспускания.
Острый пиелонефрит проявляется также симптомами интоксикации (тошнота, вялость, снижение аппетита) и повышением температуры до высоких цифр. Хронический процесс обостряется при переохлаждении, сопровождается субфебрилитетом до цифр 37,1-37,4°C; при этом боль – ноющая.
Аппендицит
Воспаление атипично расположенного червеобразного отростка (он может находиться под печенью) может вызывать боль справа под ребром. Она имеет интенсивный характер, сопровождается тошнотой, 1-2 кратной рвотой, повышением температуры, симптомами интоксикации (см. первые признаки аппендицита).
Пневмония
Воспаление, развившееся в ткани правого легкого, может проявиться нетипично – болями в правом подреберье. Кроме этого, отмечается повышение температуры, часто – кашель с мокротой, выраженная слабость, отсутствие аппетита. Может быт и чувство нехватки воздуха (см. симптомы пневмонии).
Воспаление придатков матки
Очень редко аднексит может проявляться не типичной болью над лобком, а болью в под ребром. Кроме этого повышается температура, имеются обильные выделения из влагалища, снижается аппетит, появляется вялость (см. симптомы воспаления придатков).
Остеохондроз
В этом случае нет вялости, слабости, повышения температуры, выделений или нарушения стула. Боль может быть локализована в подреберье, но при этом можно найти точку на позвоночнике, которая будет болезненна при надавливании на нее пальцем (см. симптомы остеохондроза).
Опоясывающий герпес
До появления высыпания в межреберном промежутке заболевание проявляется болью. При этом боль связана с дыханием, может повышаться температура, может быть виден участок покраснения между ребрами (см. симптомы опоясывающего герпеса).
Другие болезни
Болью в правом подреберье могут сопровождаться также:
Диагностика боли в правом под подреберье
Для того, чтобы определить причину болей в правом подреберье, необходимо обратиться к гастроэнтерологу или инфекционисту. Эти врачи могут назначить такие исследования:
Лечение
Поскольку боль в правом подреберье – это симптом заболевания, то лечить нужно болезнь, а не отдельный признак.
Учитывая многообразие причин терапия в каждом случае будет значительно отличаться: от мануальной терапии и приема нескольких медикаментов при остеохондрозе до экстренного оперативного вмешательства при аппендиците.
О наличии глистов говорит ЗАПАХ изо рта! Раз в день пейте воду с каплей.
Грибок ногтя боится этого как огня! Если в прохладную воду.
Ноющая боль в правом подреберье – что может быть причиной?
Аналогичные процессы могут происходить и в желчном пузыре, где также могут развиваться острые и хронические инфекционно-воспалительные процессы (острые и хронические холециститы). Застой желчи также способствует образованию камней и формированию желчнокаменной болезни. В таком случае появляются приступы острых болей – печеночной колики, связанные с прохождением камней по желчным путям.
Боли могут усиливаться при тяжелых физических нагрузках, тряске в транспорте, погрешностях в диете (употреблении жирной пищи), нерегулярном питании, стрессах. Все боли, связанные с заболеваниями желчных путей и желчного пузыря, требуют тщательного обследования и длительного лечения под контролем врача.
Заболевания поджелудочной железы
Тянущая боль в правом подреберье может быть связана с хроническим панкреатитом, особенно, в том случае, когда в первую очередь в патологический процесс вовлекается головка поджелудочной железы, расположенная справа. Хронический панкреатит может протекать по-разному, но в большинстве случаев характерные боли сочетаются поносами, потерей в весе, витаминной недостаточностью и сахарным диабетом.
Боль, которая вначале локализовалась только в правом подреберье, со временем начинает отдавать в спину или приобретает опоясывающий характер, усиливается в положении больного лежа на спине и может ослабевать в положении сидя, особенно, при небольшом наклоне вперед. Боли могут быть, как постоянными ноющими, так и кратковременными приступообразными. Появление болей в большинстве случаев провоцируют погрешности в диете, физические нагрузки и стрессы.
Хронический панкреатит может осложняться образованием кист поджелудочной железы, тромбозом вен и развитием рака поджелудочной железы.
Ноющая боль в правом подреберье может быть признаком рака головки поджелудочной железы. Рост и распространение опухоли приводит к появлению опоясывающих болей, характерных для всех заболеваний поджелудочной железы, беспричинному снижению веса тела, появлению слабости, вялости, снижению работоспособности.
Рост опухоли приводит к сдавливанию общего желчного протока, в который впадает проток поджелудочной железы и появлению желтухи. Появляются также тошнота, отрыжка, рвота, понос, снижение аппетита. Рак поджелудочной железы требует раннего выявления и лечения.
Остеохондроз грудного отдела позвоночника
При остеохондрозе грудного отдела позвоночника могут возникать постоянная или преходящая ноющая боль в правом подреберье, практически неотличимая от болей при заболеваниях печени и желчевыводящих путей. Если боли ощущаются в области правого подреберья ближе к спине, их можно принять за боли, связанные с заболеванием правой почки, например, с хроническим пиелонефритом или гидронефрозом (водянкой почки).
Причиной возникновения таких болей является единая иннервация органов грудной и брюшной полости вегетативными нервными волокнами из корешков спинного мозга. При ущемлении корешков спинномозговых нервов грудного отдела позвоночника возникают боли, которые часто трудно отличить от болей при заболеваниях внутренних органов.
Ноющая боль в правом подреберье, имеющая постоянный или преходящий характер, должна стать поводом для обращения к врачу и обследования.
Болит правое подреберье
Боль в правом подреберье периодически беспокоит многих людей. Как здоровых, так и с определенными заболеваниями. Чаще всего с этой проблемой обращаются к терапевту или гастроэнтерологу. Что справедливо, т.к. основные причины болезненных ощущений связаны с патологиями желчевыводящих путей и печени. Однако источник недуга может находиться и в других органах. Поставить диагноз поможет точное описание характера болевого синдрома, результаты исследований.
Что находится в подреберье справа?
Резкая или постоянная боль в данной области беспокоит примерно 30% населения. В 90% случаев причины связаны с функциональным расстройством внутренних органов.
С анатомической точки зрения правое подреберье – это участок брюшной стенки под диафрагмой справа. Нижняя часть ограничена областью паха. Если положить правую ладонь на ребра горизонтально и провести ее на низ спины, то получим заднюю проекцию.
В этих областях сосредоточены такие внутренние органы, как:
- печень,
- желчный пузырь,
- правый надпочечник,
- часть толстого кишечника,
- сзади – правая почка, часть поджелудочной железы,
- брюшинная область половины диафрагмы,
- «тень» двенадцатиперстной кишки и желчных протоков.
Может отдавать болью сбоку нижняя полая вена.
Почему болит у здоровых людей?
Некоторые физические состояния здорового человека провоцируют боль в правом подреберье.
Физические нагрузки
После тяжелой работы, пробежки с непривычки, других спортивных занятий может возникнуть колющая боль в области правого подреберья. Ее происхождение:
- Физическая нагрузка стимулирует выброс адреналина. В результате понижается тонус желчевыводящих протоков. Они растягиваются. Одновременно печень наполняется кровью и тоже растягивается. В правом боку начинает колоть. Нетренированный организм реагирует так уже через 15 минут упражнений.
- Бег на длинные дистанции, отжимания после еды не рекомендуются. Печень включается в процесс пищеварения. Орган наполняется кровью. Его капсула увеличивается – достигается «болевой порог».
- Пренебрежение разминкой, нетренированное дыхание приводят к спазму диафрагмы. Поэтому после тренировки возникает кратковременная боль в правом подреберье. Когда дыхание выровняется – все пройдет.
Беременность
Растянутая матка давит на органы, к которым прикасается. Под давлением оказывается кишечник, печень, желчный пузырь. Отсюда – тянущая или тупая боль в правом подреберье.
Причины дискомфорта заключаются также в гормональном фоне беременных женщин. На поздних сроках активно секретируется прогестерон. Под его влиянием желчные протоки растягиваются, желчь застаивается.
Даже после незначительной физической нагрузки женщина может почувствовать болезненность в правом подреберье.
Женский пол
Из-за некоторых физиологических особенностей женщин репродуктивного возраста появляется боль в правом подреберье:
- В конце менструального цикла резко уменьшается количество гормона прогестерона и повышается уровень эстрогена. Дисбаланс провоцирует спазм желчевыводящих протоков – появляются болезненные ощущения.
- Гормональные контрацептивы усугубляют течение предменструального синдрома. Одно из проявлений – колющие боли из-за нарушения оттока желчи.
Боль как симптом заболевания
Боль в правом подреберье спереди дают те органы, которые прилегают непосредственно к этой области.
Патологии печени
Характер боли – тупая, распирающая. В основном. Механизм – полнокровный, отечный орган растягивает свою капсулу, в которой сосредоточены болевые рецепторы. Одновременно чувствуется тяжесть в правом подреберье.
Дискинезия желчевыводящих протоков
Комплексное расстройство вследствие нарушения двигательной функции желчевыводящей системы.
Ноющие, давящие, регулярные
Органических изменений не происходит. Вся симптоматика имеет психосоматическую природу. Снижается аппетит, во рту ощущается горечь, понижается работоспособность.
Сердечные недуги
Из-за болезней сердца нарушается кровообращение во всем организме. И на этом фоне возникают сопутствующие патологии.
- Хроническая сердечная недостаточность. Ухудшается кровоток по большому кругу – увеличивается печень, отекают ноги, вздувается живот. В правом подреберье ощущается тяжесть. Периодически – боль.
- Инфаркт миокарда. Абдоминальный вариант болезни сопровождается сильными жгучими либо давящими болями в правом квадранте снизу. Иногда боль острая, интенсивная, как удар ножа. Она отдает в область спины либо за грудину. Такой характер дискомфорта имеют инфаркты стенки сердечной мышцы сзади. Боли могут иметь также характер приливов.
Сбои в работе желудочно-кишечного тракта
- Воспаление или разрушение ободочной кишки. Чем сильнее растянут кишечник в этой части, тем сильнее боль. Когда в патологический процесс включается брюшина, болезненность становится нестерпимой. Возможен даже болевой шок. Причем боль распространяется на околопупочную зону, охватывает весь правый бок спереди и сзади.
- Колит. Боли выраженные спастические. Характерно нарушение стула, метеоризм.
- Болезнь Крона. Может воспалиться весь кишечник. В стуле появляется гной, слизь. Развивается нагноение или некроз кишки. Боли опоясывают весь нижний отдел живота. Они имеют спазмический характер, сочетаются с вздутием.
- Опухоли. Имеют симптоматику непроходимости кишечника, острого живота. Боли разлитые. В острый период падает давление, появляется испарина, бледность.
- Аппендицит. Болеть начинает под самой диафрагмой. Постепенно боль «спускается» через правое подреберье в подвздошную часть.
Анализ недугов со стороны спины
Когда сзади болит в правом подреберье, «виноваты» повреждения ребер, межреберная невралгия, заболевания почек, надпочечников.
Изменение свойств межпозвоночных дисков – причина остеохондроза . Причины изменений бывают разнообразными. Боли при остеохондрозе являются распространённым симптомом, снижают качество жизни заболевшего человека. Локализация болей зависит от пораженного болезнью отдела позвоночника.
Боли при остеохондрозе часто принимают за симптомы заболеваний внутренних органов, важно вовремя обратить на них внимание, лечить истинную причину болей, не тратить время на избавление от симптомов.
Необходимо понять механизм возникновения болей. Межпозвоночный диск изменяется под воздействием различных причин, становится неэластичным, покрывается микротрещинами, образует выпячивание, создаёт давление на сосуды, расположенные рядом. Поражённый остеохондрозом диск давит на спинной мозг, корешки нервов. Сдавливание провоцирует боли, с большим трудом поддающиеся лечению.
Корешки нервов относятся к разным нервным волокнам, поэтому симптоматика разная.
- При сдавливании двигательных нервных волокон возникают стойкие неприятные ощущения сильной интенсивности. При сдавливании этих нервных корешков возникает лёгкий паралич мышц, при отсутствии лечения усугубляется полным параличом части тела.
- При сдавливании нервных корешков, относящихся к чувствительной нервной ткани, возникает боль в затылке, онемение участков кожи, полное онемение конечностей, нестерпимые ощущения в руке.
- Ущемление вегетативных нервных окончаний вызывает ощущение, напоминающее симптомы заболеваний внутренних органов. Не возникает неприятных ощущений в области спины, что вводит в заблуждение.
Неприятные ощущения неврологического происхождения
Неврологические боли при остеохондрозе интенсивные, бывают жгучими, рвущими, тянущими. Боль возникает из-за малейшего движения, особенно в период обострения заболевания, в любой части тела. Частое явление – боль в ухе при остеохондрозе, которая возникает по причине сдавливания нервных окончаний в третьем шейном позвонке. Попытка обезболивания применением препаратов, предназначенных для лечения отита, не приносит результатов, потому что воспаление в среднем ухе отсутствует.
Боль в челюсти при шейном остеохондрозе не так распространена, как в других частях тела, но приносит неудобства. Отсутствие возможности нормально питаться ослабляет организм. Попытки снять боль обезболивающими препаратами малоэффективны, так как имеется воспаление нервных волокон в шейном отделе позвоночника. Такая боль сильно изматывает страдающего шейным остеохондрозом до тех пор, пока не установлен точный диагноз, не проведено лечение.
Боли в ногах, паху при остеохондрозе поясничного отдела носят постоянный характер наряду с болями в спине. Затихая в период полного спокойствия, при отсутствии движения, они возобновляются при попытке встать, пойти. Бывают очень сильными. Редкая болезнь – остеохондроз большого пальца ноги, доставляет большие неудобства, затрудняет передвижение, делает невозможным ношение даже просторной обуви.
Боль во внутренних органах
Вторая группа болей при остеохондрозе – боли во внутренних органах. Носят периодический и постоянный характер. Остеохондроз шейного отдела позвоночника проявляется болью в подреберье с правой стороны – ошибочно диагностируют холецистит. Грудной остеохондроз проявляется болью в сердце, желудке. При лечении болей во внутренних органах препаратами против гастрита, стенокардии облегчения нет.
Часто возникает острая боль в левом боку при остеохондрозе, что является признаком сдавливания вегетативных нервных окончаний (часто принимают за заболевание сердца). Боль мешает нормально дышать, передвигаться, проходит, если прилечь. При движении боль возвращается с новой силой. Боль под лопаткой при остеохондрозе имеет то же происхождение, что боли в боку, руке. Является признаком заболевания позвоночника, сдавливания нервов, а не признаком поражения внутренних органов заболеваниями.
Боль за грудиной при остеохондрозе требует немедленного реагирования, – может быть вызвана серьёзным заболеванием сердца. Лучше перестраховаться и обратиться к врачу.
Как избавиться от боли
Помимо лечения остеохондроза лекарственными препаратами, существуют способы быстрого избавления от боли, профилактики повторного появления.
- Быстро снять боль при шейном остеохондрозе, других видах этого заболевания, поможет массаж , специальные пластыри на область шеи, спины, улучшающие кровообращение, содержащие обезболивающие препараты. При возникновении сильных болей, стоит обеспечить полный покой шейному отделу, использовать специальный корсет для шеи. Для профилактики не стоит сильно напрягать позвоночник. Поможет стул с высокой спинкой. Вариант – вращающийся стул, не придётся вертеть головой, дополнительно напрягать шею. Острую, интенсивную боль под мышкой при остеохондрозе ослабит лёгкое массирование с фиксацией руки.
- По назначению врача регулярно принимайте нестероидные препараты, используйте мази, кремы для растираний, обезболивающие препараты – суппозитории, пластыри.
- Облегчение при слабых болях принесёт полное расслабление мышц спины. Для расслабления следует принять горизонтальное положение, подложив под поясницу, шею небольшие подушки или валики, ноги согнуть в коленях. Опираясь на мягкое основание, позвоночник принимает максимально правильное положение, боли быстро утихают.
- При сильных болях необходима новокаиновая блокада, заключающаяся в обкалывании места болей новокаином. Делает это врач.
- Правильное распределение нагрузки на позвоночник снижает вероятность возникновения болей. Старайтесь при движении не совершать резких поворотов корпуса, шеи.
- Спите на ровной, жёсткой постели. Ортопедические основания для кровати станут решением для страдающих остеохондрозом позвоночника.
- Для укрепления мышц спины, живота, шеи занимайтесь лечебной физической культурой. При обострении заболевания не выполняйте упражнения. Спустя неделю после обострения обязательно продолжите курс ЛФК. Комплекс упражнений подберёт врач.
- Чтобы не возникало новых приступов, стоит придерживаться плана питания для больных остеохондрозом. Из рациона исключаются продукты, содержащие виноград, его сок. Не рекомендуется употребление наваристых бульонов с большим содержанием соли, бобовых, щавеля.
- Приступ провоцируется переохлаждением, перегреванием. Поэтому стоит тепло одеваться в ненастные дни, не посещать горячих бань.
Избавление от боли при остеохондрозе – это приём лекарственных средств, отсутствие факторов, влияющих на состояние позвоночника. Снятие боли с помощью противовоспалительных, обезболивающих препаратов принесет временное облегчение, но не избавит от основных причин их возникновения.
Статья написана для общеобразовательного развития.
Для установления точного диагноза и назначения лечения ОБЯЗАТЕЛЬНО обратитесь к врачу











