После потери зубов пациент обращается к дентальной имплантации с целью восстановления жевательной и эстетической функции зубного ряда. Искусственное замещение значительно улучшает качество жизни, придавая уверенность в себе. К сожалению, вживление импланта требует необходимости проведения хирургического вмешательства и такие явления, как болезненность, опухоль и отек тканей после операции, считаются вполне закономерными и предсказуемыми. Специалисты предупреждают, что нужно строго соблюдать все рекомендации врача и внимательно следить за своим состоянием – это позволит избежать развития осложнений или вовремя их предотвратить.
Отёк после имплантации – это норма?
Отек образуется из-за притока крови к поврежденным тканям. Это работа имунной системы для поддержания нормального состояния организма при нарушении его целостности.
После имплантации появление опухоли и болевых ощущений, когда прекратит действие анестезия, скорее норма
Отечность после имплантации зуба – неизбежный этап восстановления после хирургического вмешательства. Это естественная реакция организма на установленное инородное тело. Отек появляется через два-три часа после операции и принимает максимальный объем на второй-третий день. После этого он начинает спадать.
Когда анестезия перестает действовать, могут появиться болевые ощущения. Это тоже нормальная реакция в первые три дня после установки импланта.
Отек свидетельствует об осложнениях при следующих сопутствующих симптомах:
- Отечность сопровождает гиперемия, посинение
- Высокая температура
- Кровяные и гнойные выделения
- Боль не стихает на 3-4 день после операции
- Онемение тканей спустя 5-6 часов после имплантации
Причины возникновения отека
Важно! Челюстно-лицевая система обильно снабжается кровеносными сосудами и капиллярами, поэтому любое вмешательство может вызывать гематомы и отеки. Однако они не должны пугать пациентов, потому что в 95% случаев не несут реальной опасности для здоровья.
Умеренная припухлость мягких тканей возникает даже при самой удачной операции и обычно держится не более 5-7 дней. Ее характер и выраженность могут зависеть от ряда причин:
- степени травмирования тканей в ходе лечения,
- от реакции на имплантат со стороны организма – он представляет «инородное тело», которое должно прижиться и срастись с родными тканями в полости рта,
- качества проведения процедуры,
- опыта, профессионализма и аккуратности специалиста,
- от отношения больного к лечению: строгого соблюдения рекомендаций, правильного ухода за восстановленными зубами, приема назначенных препаратов,
- от опасных осложнений: инфицирования раны или отторжения импланта.
На заметку! Во многом успех проведения операции зависит не только от врача, но и от самого пациента. Очень важно на этапе подготовки рассказать имплантологу обо всех имеющихся заболеваниях, в особенности сахарном диабете, гипертонии, скачках артериального давления и снижении иммунитета, которые могут приводить к усилению отеков тканей.
Рекомендации для скорейшего восстановления после операции
Чтобы облегчить состояние в послеоперационный период, нужно придерживаться следующих рекомендаций:
- Обрабатывайте рану специальной дентальной пастой. Это поможет снять воспаление и ускорить процесс регенерации тканей.
- Исключите из рациона твердую пищу, горячее, острое, соленое, кофе, крепкий чай, газированные напитки, т.к. они провоцируют еще большую отечность, задерживая воду в организме.
- Спать лучше с приподнятой головой, поэтому если вы спите на плоских подушках или без них, на время восстановления подложите под голову подушку или валик.
- Исключите нахождение в бане, сауне, горячей ванне, бассейнах. Допускается принятие теплого душа.
- После операции назначается обязательное медикаментозное лечение для предупреждения воспалительных процессов и аллергических реакций, а также обезболивающие препараты и антибиотики. Соблюдайте все назначения врача.
- Обрабатывайте полость рта антисептическими растворами.
- Откажитесь от курения и алкоголя.
- Постарайтесь отказаться от физических нагрузок, перелетов, стрессов.
- Приобретите новую мягкую зубную щетку, зубную пасту из растительных компонентов и ирригатор.
Справка. Зубные импланты изготавливаются из биологически инертного титана. Он не вызывает аллергических реакций и считается надежным материалом для вживления в организм.
Первая помощь при патологическом исходе
Для самостоятельного ускорения снятия отечности можно воспользоваться некоторыми рекомендациями:
- Применение дентальной пасты поможет преодолеть воспаление и опухоль. Ее наносят на прооперированную область. Средство в быстрые сроки восстановит поврежденные ткани и устранит боль.
- Соблюдение диеты. После имплантации человек должен ограничить себя в употреблении острой и твердой пищи. Продукты должны быть мягкими, а лучше жидкими, не требующими пережевывания. Температура блюд должна быть не выше температуры тела. Холодная и горячая пища негативно влияют на место имплантации.
- Положение во время сна. Спать пациент должен на возвышении, чтобы голова была выше уровня ног. Это способствует естественному оттоку крови от места отека.
Как снять отёк после установки имплантов
Снять отек после имплантации могут помочь следующие способы:
- Первые сутки прикладывайте холод к месту отека каждые полчаса и держите в течение 20 минут. Это может быть пузырь с холодной водой, пакет со льдом, холодные предметы или замороженные продукты. Не переусердствуйте, чтобы не вызвать отморожение и некроз тканей
- Снять отечность помогают и прохладные травяные компрессы на основе зверобоя или подорожника
- Помогает облегчить состояние протирание зоны отека кубиками льда из настоя ромашки или чая. Или же можно протирать лицо отваром из листьев зеленого чая
- Можно прикладывать ломтики сырого картофеля или огурца к отекшей области
- Также помогает полоскание полости рта раствором хлоргексидина, фурацилина или мирамистином. Можно полоскать рот травяными настоями ромашки, календулы, коры дуба или шалфея
- Пейте теплую чистую воду, травяные сборы, старайтесь больше находиться в вертикальном положении. Следите за своим артериальным давлением

Сколько может держаться отек
В процессе восстановления после проведенной имплантологии искусственных зубов допустимая длительность нарастающего отека ограничивается двумя-тремя днями. После этого пациент должен почувствовать облегченность и уменьшение дискомфортных болезненных симптомов.
В силу индивидуальных особенностей организма беспокоящие признаки могут продолжаться в течение недели.
При осмотре у врача крайне важно указывать не только, сколько держится отек, но и информацию об усиливающейся боли, наличии повышенной температуры тела.
Какое-либо бесконтрольное использование обезболивающих препаратов и настоев из народной медицины в таких случаях является недопустимым и крайне опасным.
Осложнения
Осложнения после имплантации бывают легкой и тяжелой степени:
- Воспалительные процессы
- Сильные боли и отеки по прошествии трех дней
- Расхождение швов
- Гематомы
- Отторжение импланта
- Аллергические реакции
- Переимплантит
- Подвижность штифта
- Воспаление гайморовых пазух
- Гнойные и кровяные выделения
Важно! На нижней челюсти импланты полностью приживаются через два месяца, на верхней челюсти – через 4-6 месяцев. Сразу определить, прижился ли имплант – невозможно.
Снятие отечности
Как снять отек, не допустив переохлаждения или развития более серьезных заболеваний, может рассказать только лечащий врач.
Перечень допустимых и запрещенных методов борьбы с отеком определяется отдельно в каждом индивидуальном случае и зависит не только от степени проявления самих осложнений, но и наличия у пациента опасных хронических заболеваний, например, сахарного диабета или гипертонии.
Общие рекомендации
Из самых безопасных и наиболее легких способов убрать отечность в области десен стоит выделить:
- Использование холодного компресса, который нужно приложить к опухшему месту на 10-15 минут. Чтобы не допустить переохлаждения, между процедурами необходимо делать перерыв не менее 20-25 минут. Регулярное использование холодных компрессов актуально в первые 36 часов после проведенной операции.
- Тщательное соблюдение всех правил гигиены ротовой полости, например, зубы в области прооперированной десны необходимо обрабатывать чистыми ватными палочками, предварительно смоченными в трехпроцентном растворе перекиси водорода. Остальные зубы чистятся привычным способом.
- Во время ночного сна голову рекомендуется класть на высокую подушку или любое другое удобное возвышение. Это позволит уменьшить прилив крови и не провоцировать дополнительное увеличение отека.
- Рацион пациента должен состоять из максимально измельченных продуктов. При этом сами блюда должны быть комнатной температуры.
- Полоскание ротовой полости отварами из лекарственных трав, например, календулы или ромашки, можно проводить только после того, как заживут раны на мягких тканях. Как правило, это происходит на 2-3 день после оперативного вмешательства врачом.
Нарушение гигиены или употребление слишком горячей пищи на этапе приживания зубных имплантов может привести к их разрушению и отторжению.
Медикаментозная поддержка
Если стандартные методы для устранения отечности оказываются малоэффективными, врач-стоматолог может назначить пациенту дополнительный прием лекарств, которые бы оказывали необходимое антисептическое и обезболивающее воздействия. При наличии высокой температуры тела пациенту рекомендуется прием жаропонижающих лекарств. В борьбе с воспалительными и инфекционными поражениями врачом может быть назначен прием антибиотиков.
Хлоргексидин
Препарат относится к категории эффективных антисептиков и выпускается в виде раствора для исключительно наружного применения. Количество полосканий ротовой полости определяется лечащим врачом, как правило, это 5-6 раз в течение дня. Применение средства обеспечивает защиту от возможного поражения открытых ран различными опасными инфекциями.
Бетадин
Аптечное средство выпускается в виде раствора и подходит для обработки поврежденных участков мягких тканей в виде ран и ожогов. Бактерицидный эффект использования препарата обусловлен повышенной концентрацией йода в самом составе.
Амоксиклав
Препарат относится к категории антибиотиков и является надежным препятствием против воспалительных процессов. Дозировка и количество приемов лекарства за день определяется исключительно лечащим врачом или же согласно инструкции, с учетом возраста и веса самого пациента. Лекарство в виде таблеток можно применять исключительно взрослым пациентам.
Нурофен
Аптечное средство оказывает комплексное воздействие на организм, позволяя нормализовать повышенную температуру тела (жаропонижающий эффект) и снизить степень проявления боли.
Между повторными приемами препарата должно пройти не меньше 4-6 часов.
Дексалгин
Препарат является эффективным противовоспалительным и жаропонижающим анальгетиком. После непосредственного приема воздействие лекарства начинается только через полчаса и длится около 4-6 часов. Врач может рекомендовать прием лекарства при усиливающейся зубной боли.
Препарат противопоказан пациентам с нарушениями в работе сердца, печени и почек, а также на этапах беременности и лактации (кормления грудью).
Нимесил
Препарат относится к категории обезболивающих средств. Его также могут назначать при необходимости снизить выраженность болевого синдрома при поражениях костно-мышечных систем.
Наличие язвенных поражений ЖКТ служит непосредственным противопоказанием для приема препарата.
Когда необходимо обращаться к врачу
Срочно обратитесь к врачу, если после имплантации зубов у вас наблюдается:
- Увеличение отечности на четвертый день и позднее
- Перекос лицевого нерва со стороны импланта. Важно знать, что время на лечение пораженного лицевого нерва ограничено. Лечение неврита лицевого нерва желательно начать не позднее трех-семи дней после появления первых симптомов, т.к. неврит склонен быстро прогрессировать, что провоцирует отмирание нервных клеток
- Повышение температуры выше 37 градусов
- Усиление болей
- Появление гематом, посинение, гнойные выделения
- Расхождение швов
- Повреждение и отторжение установленного импланта

Внимание. Не стоит волноваться, если у вас появилась припухлость только в зоне импланта. Но если начало отекать тело или одновременно с появлением отека появились сбои в работе внутренних органов, нужно немедленно обратиться к врачу или вызвать скорую помощь.
Рекомендации по уходу
Как и после любого хирургического вмешательства, после имплантации необходимо придерживаться рекомендаций по уходу:
- Необходим полный покой. Выполнение работы, физических нагрузок, управление транспортным средством недопустимы в этом случае.
- Поездки и командировки откладываются на срок 10 дней. Ввиду того, что в любой момент может потребоваться помощь лечащего врача.
- Нельзя наклонять голову вниз и поднимать тяжести, это может спровоцировать разрыв швов и кровотечение.
- Необходимо избегать касаний к травмированной области руками и языком.
- Полоскания проводить в щадящем режиме, особенно несколько первых дней. Применение антибактериальных обработок очень важно для скорейшего выздоровления.
- Употребление жирной, острой, горячей пищи должно быть полностью исключено. В этот период необходимо кушать каши, пюре, бульоны. Длительность приема пищи не должна быть более 20 минут. После, ротовую полость нужно промыть дезинфицирующим раствором или водой.
- Обязательное применение всех медикаментозных препаратов, которые назначил специалист.
- Нужно исключить общение с вирусоносителями, чтобы избежать заражения простудными заболеваниями, так как кашель, чихание и сморкание приведут к расхождению швов и кровотечению.
- Курение категорически запрещается до полного срастания швов. Этот период занимает 1 месяц.
- Чистота ротовой полости – залог успешности процедуры. Бактериальная микрофлора в ротовой полости способствует развитию воспалений, нагноений и патологической отечности.
- Контролирование общего самочувствия и немедленное обращение к специалисту в случае обнаружения аномалий.
В видео представлена дополнительная информация по теме статьи.
Уход
Чтобы импланты прослужили долго, важно за ними правильно ухаживать:
- Регулярно чистить зубы 2 раза в день и тщательно прополаскивать полость рта после каждого приема пищи
- Использовать ирригатор, чтобы промыть труднодоступные места (существуют портативные, стационарные и подключаемые к водопроводному крану ирригаторы – выберите, какой вам больше нравится)
- Первые три дня не жевать пищу на стороне импланта, на четвертый день, наоборот, чаще жевать на стороне штифта
- Использовать зубные нити, ершики для имплантов, специальную зубную пасту
Лечение
Использование современных препаратов для лечения патологической отечности дает хорошие результаты.
Хлоргексидин
Антисептическая жидкость с концентрацией хлоргексидина биглюконата 0,05% и вспомогательными веществами. Активное полоскание проводится через три дня после операции. А до этого жидкость набирается в рот, несколько минут удерживается, а затем выплевывается.
15 мл раствора для одного полоскания достаточно. Используют препарат до 4 раз в сутки на протяжении 5 дней. Средство обладает обеззараживающими свойствами и уничтожает всю микрофлору, а также способствует развитию тромба в поврежденной лунке.
Бетадин
10% антисептическая жидкость используется для снятия воспалительных процессов и уничтожения патогенной микрофлоры. Вещество разводят в пропорции 3 капли на 100 гр воды.
Первые дни после операции полощут ротовую полость препаратом до 6 раз за 24 часа. При этом процедура не должна быть чрезмерно активной.
В дальнейшем, четырех полосканий в день будет достаточно. Оказывает помощь в восстановлении поврежденных тканей, образует защитную оболочку, предотвращающую развитие грибков, бактерий и инфекций.
Aмоксиклав
Полусинтетический антибактериальный лекарственный препарат, в состав которого входит амоксицилин и клавулановая кислота.
Первый уничтожает бактерий, а вторая – останавливает ферментативное их воздействие. Применяется в количестве 1000 активных единиц два раза в сутки.
Препарат способствует снятию воспаления и быстрому заживлению оперированной поверхности.
Дексалгин
Нестероидное противовоспалительное средство, относящееся к группе анальгетиков. Имеет в своем составе активное вещество декскетопрофена трометамол, эффект действия которого продолжается 3—6 часов после приема.
Применяют по 1 таблетке три раза в день с промежутком в 8 часов. Не рекомендуется к длительному использованию. Оптимальные сроки 3—5 дней. Снимает отечность, приводит в норму температуру тела, обезболивает.
Что представляет собой методика синуслифтинга, и с какой целью проводится операция перед имплантацией.
В этой статье мы расскажем об этапах установки формирователя десны.
Здесь https://www.vash-dentist.ru/implantatsiya/metodiki/otzyivyi-vred-protivopokazaniya.html вы найдете отзывы об установке имплантов зубов.
Нурофен
Нестероидный противовоспалительный препарат с активным веществом ибупрофен. Начинает воздействовать на организм уже через 20 минут после применения.
Назначается после имплантации при острых болях, повышении температуры и воспалениях. Употребляют по 1 таблетке не больше 4 раз в день.
Помогает снять болевые ощущения, способствует быстрому заживлению и нормализует температуру тела.
Нимесил
В составе имеет активное вещество нимесулид, обладающий способностью обезболить и снять воспаление в поврежденной области.
В стоматологической практике Нимесил используют в порошкоподобной форме. На один прием необходима 1 упаковка препарата, воздействие на организм ощущается через 20 минут после приема, следующее употребление должно быть не ранее чем через 12 часов.
Профилактические меры
Профилактических мер нужно придерживаться и людям со здоровыми зубами, и обладателям имплантов:
- Посещать стоматолога минимум один раз в полгода. Так врач сможет вовремя обнаружить возможные воспаления и устранить их, а также следить за состоянием имплантов
- По рекомендации врача проводить профессиональную чистку зубов и имплантов. Это нужно потому, что на соседних с имплантом зубах со временем могут появиться бляшки, налет, зубной камень, которые невозможно убрать в домашних условиях. Профессиональная стоматологическая чистка может проводиться ультразвуком или традиционным механическим способом. В отдельных случаях может назначаться вектор
- Соблюдать гигиену полости рта
Отзывы
Отечность является следствием проведения хирургической операции по внедрению импланта, и считается нормальным проявлением.
Если вам проводили имплантацию зубов и у вас есть свои способы борьбы с отеком, расскажите о нем в комментариях.
Если вы нашли ошибку, пожалуйста, выделите фрагмент текста и нажмите Ctrl+Enter.
Теги имплантация отек после имплантации
Понравилась статья? Следите за обновлениями
Предыдущая статья
Импланты Biotech — гарантированная система качества от французского производителя
Следующая статья
Что такое пьезохирургия или как лечить зубы без боли?
Что такое имплантация
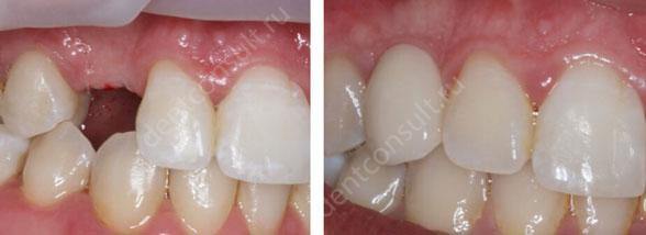
Благодаря имплантации многие пациенты получили возможность восстановить зубы, и вернуть прежнюю способность пережевывать твёрдую пищу. Установленная система служит длительный срок и позволяет забыть о неприятном ношении съемных протезов, а также о сохраняющихся дефектах в зубном ряду.
Огромным преимуществом данной манипуляции является то, что она показана не только полностью здоровым пациентам, но и тем, кто страдает:
- атрофией десневых отростков;
- пародонтитом;
- пародонтозом;
- аллергией на материалы съемных протезов;
- запущенным кариесом;
- деформацией прикуса.
Имплантат представляет собой изделие из металла в виде винта, которое имеет специальную форму, подходящую для внедрения в кость челюсти. После установки костные структуры адаптируются и становятся единой функциональной системой, созданной для удерживания искусственных зубов. Этот процесс называется остеоинтеграцией.
Металл, из которого изготовлен имплантат, обязательно обладает таким свойством, как биоинертность. Это означает, что в процессе контакта тканей организма с данным веществом не происходит патологических реакций отторжения. Для профилактики подобных осложнений его поверхность может быть покрыта различными остеогенными составами, ускоряющими процесс адаптации. Окончательное заживление зоны вмешательства происходит только через 5-6 месяцев.
После завершения хирургических манипуляций на искусственный корень устанавливается переходник и коронки, точно подобранные по форме и цвету у стоматолога-ортопеда. Моделирование новых зубов осуществляется при помощи компьютерных технологий, они позволяют создать коронки, которые будут максимально комфортными для пациента и не потребуют последующей коррекции.
Послеоперационный уход и правила питания
Если придерживаться назначений стоматолога, то после вмешательства удастся избежать проблем, а вживление импланта пройдёт быстрее. Врачи не рекомендуют после вставки импланта использовать ирригатор. Обработка зубов должна быть мягкой и тщательной. Специалисты советуют делать ванночки для десен. Активное промывание запрещено до удаления швов.
Зубы нужно чистить мягкими движениями щеткой. Можно применять зубную нить. В месте выполнения операции остатки пищи аккуратно удаляются ватной палочкой, смоченной 3% составом перекиси водорода.
Нужно избегать чихания, сморкания или кашля, особенно если мероприятие связано с синус-лифтингом, поскольку это может привести к дефекту десны. В результате произойдет сдвиг импланта, и потребуется переимплантация. Также нужно избегать резких перепадов температуры, поэтому запрещено находиться в сауне или бане. После операции нужно избегать перелетов в самолете. Из-за внезапных перепадов высоты может возникнуть скачок давления в системе ухо-горло-нос.
При проведении вмешательства человек может обнаружить у себя отек десны после имплантации. На протяжении трех дней после установки импланта нежелательно пить кофе, поскольку от него увеличивается давление и может начаться кровотечение. По этой же причине нужно отказаться от спиртного и курения. В первые 12 суток после вмешательства в меню включаются кальцийсодержащие продукты, например, йогурт, бифидок или сыр. Запрещены к употреблению следующие продукты:
- Соленая и замороженная еда;
- Твердые продукты, например, орехи или сухари.
Давление на зубы должно быть минимальным, поэтому нельзя употреблять продукты, требующие тщательного пережевывания. Нужно отказаться от жилистого мяса. Лучший вариант меню после операции:
- Полужидкий суп, протертые тушёные овощи;
- Тёплая еда, например, смузи, каша, суп.
Все продукты должны быть мелко нарезанными.
Что еще считается осложнением?
Существуют различные разновидности осложнений. Они отличаются сложностью: простые воспаления легко устраняются при помощи препаратов, а сложные могут привести даже к отторжению протеза.
Ранние осложнения появляются уже в продолжение первого дня после того, как было проведено оперативное вмешательство.
Сюда включены:
- гематомы;
- воспаления;
- сильные неприятные ощущения;
- расход швов;
Всем нам свойственно настороженно относиться к операциям по причине возможных осложнений. Поход к имплантологу часто откладывается из-за страха боли, получения отеков, плохой переносимости анестетиков, возможного повышения температуры и других осложнений.
Некоторые характерные фото в интернете и вовсе могут посеять панику. Действительно ли осложнения после имплантации зубов неизбежны? Сразу скажем так: используемые материалы, методы и мастерство хирурга определяют, насколько гармонично пройдет имплантация зубов. Осложнения можно отнести к двум категориям: нормальные и нетипичные.
Нормой считается:
- временное повышение температуры до 38 градусов (в течение 2-3х дней);
- локальная боль первые несколько дней (снимается обезболивающими средствами по рекомендации врача);
- онемение десны (3-5 часов после хирургической процедуры);
- незначительная кровоточивость (которая не причиняет дискомфорт).
Нетипичные осложнения после имплантации зубов — это последствия:
- неточной предварительной диагностики;
- несоблюдения рекомендаций хирурга (обязательны сразу же, как только выполнена имплантация зубов).
Осложнения вероятны:
- во время операции;
- в первые несколько дней (максимум, 7-10 дней);
- в период приживания имплантата.
Есть такое высказывание: «Если болит — значит, жив». Действительно, боль — естественное реагирование нашего организма при нарушении его жизнедеятельности. Так, боли после имплантации зубов наступают в результате незначительного травмирования мягкой ткани. Например, после удаления зуба также присутствуют болезненные ощущения.
Допускаемые боли после имплантации зубов длятся до 3-х суток, которые снимаются рекомендованными врачом препаратами. Если же спустя три дня болит зуб после имплантации — необходимо обязательно обратиться в клинику, возможно, начался воспалительный процесс.
Врачи сделают рентгеновский фотоснимок, чтобы точно определить причину, по которой болит зуб после имплантации.
В общем, температура после имплантации зубов так же, как и боль, — распространенное явление. К вечеру градусник может зафиксировать повышение температуры до 38 градусов. Кстати, температура до этой отметки считается нормальной и ее не рекомендуется сбивать.
Тревожные сигналы — температура после имплантации зубов свыше этой критической отметки, сохранение температуры 37-38 градусов более 3-х дней, наличие других сопутствующих осложнений (отек, кровотечение, невыносимая боль).
При помощи фотоснимка в клинике смогут определить, является ли повышенная температура сигналом заболевания или отторжения имплантата.
То, как выглядит отек после имплантации зуба, передают многочисленные фотографии в интернете. Однако не нужно сразу же пугаться — абсолютно нормально, если наблюдаются небольшие отеки после имплантации зубов. Фото зачастую изображают серьезное опухание щеки или синюшный цвет отекшей десны.
На практике такие экстремальные случаи встречаются редко. Отек после имплантации зуба может сопровождаться повышением температуры. Если в течение пяти-семи дней сохраняются отеки после имплантации зубов, фото с помощью специального оборудования в клинике сможет определить, есть ли очаг воспаления.
ПОДРОБНОСТИ: Скуловая имплантация зубов зигома
Для того чтобы не наступили более сложные последствия в виде воспаления костных тканей или отторжения импланта, необходимо выполнять рекомендации после имплантации зубов.
Основные рекомендации после имплантации — это соблюдение 4х пунктов:
- гигиена;
- режим питания (поэтапный переход с жидкой пищи на твердую);
- терапевтическое лечение по предписанию врача;
- образ жизни (избегание физических нагрузок, переохлаждения, перегрева и др.).
Основные правила :
- индивидуальный подход;
- профессиональная диагностика с рентгеновским фотоснимком;
- рекомендации по подготовке к операции;
- безболезненная операция;
- подробные рекомендации после имплантации зубов;
- постоянное сопровождение пациента на всех этапах до полного восстановления.
Продолжительная отечность часто указывает на развитие послеоперационных осложнений, которые могут быть ранними и поздними. По интенсивности их проявления возможно разделение на легкие и тяжелые. Легкие осложнения можно устранить при своевременном определении курса медикаментозного воздействия. Проявление тяжелых осложнений часто приводит к необходимости демонтажа установленной конструкции.
К перечню ранних осложнений относят следующие:
- гематома;
- активизация болевых ощущений при соприкасании с имплантом;
- воспалительный процесс;
- нарушение целостности швов.
Поздние осложнение:
- Периимплантит – воспалительный процесс, локализующийся в окружающих имплант тканях и провоцирующий проявление болезненных ощущений. Не исключенро проявление гнойного процесса, подразумевающего образование свищевых ходов. Лечение подразумевает снятие конструкции и проведение механической чистки полости десны.
- Отторжение – проявляется в форме поражения костных тканей, окружающих имплант. Процесс часто распространяется на мягкие ткани.
- Травмация искусственного корня конструкции. Поражение является результатом несоблюдения норм питания в первые несколько суток после установки импланта.
Перечисленные осложнения проявляются именно в формате отечности. Безусловно, присутствует болезненный синдром. Пациент в постимплантационном периоде должен посещать стоматолога 2 раза в неделю для исключения риска развития опасных осложнений.
Осложненный отек может разрастаться не только по десне. Может распухать щека или половина лица, появиться перекошенность лицевого нерва, кровотечение или абсцесс, онемение губ, десен.
К врачу следует обращаться в случае:
- если наблюдается после 3-5 дней нарастание отечности;
- при возникновении перекошенности лицевого нерва со стороны вживленного штифта;
- повышение температуры тела, держится субфебрильная температура;
- боль в области операции не утихает, а увеличивается;
- появляются кровоподтеки, синева, гнойные выделения вокруг протеза;
- разошлись швы;
- появилась гематома;
- повреждение имплантата.
Сильный отек после имплантации зубов может возникнуть из-за:
- не соблюдения гигиены полости рта;
- употребления твердой пищи;
- неправильной подготовки или проведенной операции;
- в случаях отторжения или аллергии на материал имплантата;
- при повреждении нерва или кровеносного сосуда во время операции;
- употребление препаратов, повышающих кровяное давление.
Сильный отек возникает вследствие обильного притока лимфы и крови в область операции или заражение тканей десны болезнетворными бактериями или вирусами.
Если по истечении 10 дней отечность не сходит или в течение этого срока возникают побочные эффекты, то следует обратиться к врачу, который проводил операцию, или любому стоматологу.
В домашних условиях при сильном отеке важно каждые 30 мин. прикладывать холодный компресс и полоскать антисептиком, выпить обезболивающее средство. После чего следует обратиться к врачу, чтобы избежать осложнений или отторжения установленного штифта.
В большинстве случаев операции проходят успешно, главное правильно выбрать клинику, опытного стоматолога, качественный материал для имплантации и пройти все обследования перед ней.
Какой отёк щеки является нормальным и сколько он держится
В норме отек держится 2-3 дня. Отёк лица (щеки, губы) достигает максимального объёма на третьи сутки после проведения операции по вживлению импланта. Обычно симптом держится не долго и спадает на 2-3 день. Если припухлость не сходит на протяжении недели, беспокоиться не стоит, по динамике развития опухоли на четвёртые сутки можно судить о состоянии пациента.
Забить тревогу нужно в том случае, когда отёчность не сходит спустя 8 и более дней. При наличии каких-либо проблем к этому времени начинают проявляться другие признаки осложнения. Медлить с визитом к врачу не стоит.
В норме отёчность нарастает на протяжении 3-х суток, после чего постепенно начинает уменьшаться. Данный факт является подтверждением того, что восстановительный период по вживлению импланта проходит без осложнений.
Когда следует идти на прием к специалисту?
Ниже представлены все причины для визита к стоматологу:
- Появление отечности в месте установки протеза.
- Если отечность долго не проходит, если к ней прибавились другим признаки, к примеру, синева или гиперемия.
- Если выросла температура тела, все еще имеются болевые ощущения, из раны идет гной или кровь и так далее.
Опухоль и другие послеоперационные симптомы могут наблюдаться некоторое время и даже нарастать первые дни. Очень важно пронаблюдать динамику отека. Так, если на четвертые сутки он не начал спадать, а дальше нарастает, то это уже первое основание для обращения к врачу. Он посмотрит, нет ли осложнений, инфицирования тканей или отторжения импланта.
Любой из таких показателей может говорить о том, что процесс заживления пошел как-то не так. Кроме того, на него сильное влияние оказывают хронические заболевания пациента, уровень его иммунной системы, чувствительность тканей и пр. Только врач может предусмотреть, сколько держится отек в норме, учитывая все индивидуальные нюансы.
Как убрать опухоль на лице после имплантации зубов?
Прибегнуть к протезированию могут многие и в результате иногда возникает отек после имплантации зубов. Мы предоставим фото подобной проблемы и опишем, как снять опухоль простыми способами и в каких случаях нужно все-таки обратиться к врачу.
Почему мы хотим уменьшить отёк и как работает лед
Кроме эстетического дефекта, большой отёк несёт потенциальный риск развития осложнений из-за сдавливания мягких тканей. Скопление жидкости сдавливает мелкие сосуды, что приводит к нарушению питания зоны операции. Именно по-этому мы назначаем капельницу с противоотечным компонентом при больших операциях, а дома рекомендуем прикладывать лёд. Держать лёд нужно по схеме 20 минут у зоны интереса каждые два часа, и так в течение первых 48 часов после операции. Как это работает? Холод приводит к спазму мышц — поэтому мы на морозе говорим, что “скулы сводит и зуб на зуб не попадает”. В наших артериях — сосудах, приносящих кровь в зону операции — тоже есть мышечный слой. Это часть нашего кровоснабжения — по артериям органы получают кислород и питательные вещества, у таких сосудов толстые стенки, чтобы оперативно реагировать на изменения в организме. Сам отёк формируется из жидкой части крови — жидкость выходит (просачивается) — через сосудистые стенки в результате действия механизма воспаления. По венам кровь с углекислым газом оттекает для нового этапа газообмена. Мышечный слой в венах выражен меньше, чем в артериях, а зачастую отсутствует. Именно это свойство позволяет снизить отёк при прикладывании холода — мы заставляем артерии сжаться и ограничиваем доставку жидкости при сохранении оттока. И здесь важно не переусердствовать, чтобы не лишить зону операции питательных веществ, поэтому необходимо строго придерживаться рекомендаций врача.
Обзор лекарственных средств, помогающих снять отек
Снять отечность с лица после имплантации помогут лекарственные средства. Они могут применяться внутренне и наружно.
Полоскания антисептиками синтетического или растительного происхождения:
- Синтетические антисептики: Хлоргексидин, Мирамистин, Фурацилин. Исключают риск образования гноя и развития абсцессов. Полоскание выполняются каждый раз после еды. В первые дни заменяются ротовыми ванночками. Раствор держать во рту минуту и аккуратно выплевывать. Чтобы не появилась сухость во рту, не рекомендовано длительное применение Хлоргексидина. Постоянное полоскание препаратом может вызвать развитие кандидозной инфекции во рту.
- К растительным антисептикам относятся: ромашка, тысячелистник, корень аира, девясил, кора дуба. Эти растения оказывают противовоспалительное действие, имеют вяжущие свойства. Эффективным препаратом является Стоматофит, состоящий из экстракта корневищ аира, коры дуба, чабреца, мяты, шалфея. Он уничтожает многие бактерии, кандидозный грибок.
Мази и гели устраняют отечность. Препараты наносят в область десны, но они также действуют на отеки внешней части лица:
Препараты для устранения отечности
- Холисал — гель, содержащий холин салицилат, препятствует синтезу простагландинов, вызывающих отечность, и обладает противомикробным действием. На месте образования отека размещают аппликации, пропитанные гелем.
- Солкосерил — мазь, ускоряющая регенерацию тканей. Ее наносят на десну. Перед использованием зуб обрабатывают раствором перекиси водорода.
- Метрогил-Дента — антибактериальный гель. Предупреждает развитие инфекции, снимает отечность.
- Камистад — обезболивающий гель-антисептик, содержащий лидокаин. При использовании имеет место онемение десен, языка.
- Асепта — гель на основе прополиса с антисептическим, противовоспалительным эффектом.
- Пародонтоцид — гель, содержащий фенилсалицилат, подавляющий синтез простагландинов, вызывающих отечность.
Для снятия отечности и купирования болевого синдрома назначаются препараты для внутреннего приема:
- нестероидные противовоспалительные и обезболивающие средства (Нимесулид, Анальгин, Вольтарен, Кетанов);
- антибиотики (Флемоклав, Аугментин, Амоксиклав).
Виды осложнений
Самые серьезные проблемы могут появиться во время срастания поверхности импланта с челюстной костью: переимплантит, отторжение.
Переимплантит
Это воспаление тканей, которые находятся рядом с искусственным зубом. Причина переимплантита – попадание болезнетворных бактерий в полость между телом импланта и десной. Такое бывает, если повреждена стенка околоносовой пазухи, в соседнем зубе есть очаги воспаления, имела место ошибка при закрытии послеоперационной раны, неточно изготовлена коронка. Но чаще всего причиной переимплантита является плохая гигиена полости рта.
Заболевание сопровождается усиливающейся болью, кровотечением, отеками. Очень важно пролечить его как можно раньше, или болезнь станет хронической. Постепенно инфекция «разъест» кость, из-за чего имплантант начнет шататься. В этом случае, его придется удалить и затем пролечить лунку.
Переимплантит встречается нечасто – примерно в 1-2% случаев, но воспринимать его стоит серьезно.
Отторжение искусственного зуба
Костная ткань может не принять титановый стержень. Чаще всего это происходит из-за инфекционных процессов, недостатка костной ткани, хирургических ошибок, обострения хронических заболеваний, курения после операции. Очень редко отторжение может быть из-за аллергии на титан.
Начало процесса сопровождается усилением болевых ощущений в области операции, шатанием импланта. В данном случае зуб удаляют и назначают курс витаминов, необходимый чтобы укрепить костную ткань. Через один-два месяца можно повторно вживлять имплант.
Вероятность отторжения нового зуба составляет 1%.
Сопутствующие осложнения
Временная отечность является нормальной реакцией человеческого организма на проведенное оперативное вмешательство. При этом важно учитывать, что наличие отека может свидетельствовать о развитии опасных послеоперационных осложнениях, которые в медицинской практике принято разделять на две основные группы: ранние и поздние.
| Группа осложнений | Описание и характеристика |
| Ранние осложнения | Синяки и гематомы. |
| Воспаление мягких тканей в местах их непосредственного повреждения. | |
| Расхождение швов. | |
| Постоянная и усиливающаяся болезненность прооперированного участка десны. | |
| Поздние осложнения | Отторжение или механическое повреждение импланта, что характерно не только для этапа приживления инородного предмета, но после него. Это возможно в результате полученного ожога, неправильно проведенной установки импланта или после инфекционного поражения открытых ран. В таких случаях искусственный зуб подлежит удалению. |
| Периимплантит, что является следствием несоблюдения гигиены ротовой полости, провоцирующей попадание внутрь инфекции.Отсутствие своевременного лечения опасно разрушением целостности костных тканей.В качестве лечения пациенту назначается оперативное вмешательство для удаления гнойничковых очагов в ротовой полости, а также прием антибиотиков (с индивидуальным подбором препарата и его дозировки) и регулярное полоскание рта антисептическими растворами. | |
| Воспаление гайморовых пазух, что актуально для проведения операций на верхней челюсти. |
Перечисленные ранние осложнения относятся к категории стандартных и, как правило, проходят самостоятельно или же легко устраняются стоматологом. В любом из случаев необходима помощь врача, а также скрупулезное выполнение всех предписаний со стороны самого пациента. Данное требование обусловлено не только желанием сохранить имеющийся искусственный зуб, но и не допустить более серьезных заболеваний ротовой полости в дальнейшем.
Рекомендации в послеоперационный период
Соблюдать рекомендации специалиста очень важно — от того, насколько тщательно будут выполнены советы, зависит состояние в первые несколько суток после операции, скорость заживления тканей и минимизация последствий.
- По окончанию операции необходимо приложить холод к месту будущей локализации отёка. Об этом позаботится персонал клиники.
- Для ускорения процесса заживления тканей на место раны наносят специальную дентальную пасту — солкосерил. Мазь необходимо использовать в дальнейшем по назначению врача.
- Стараться как можно дольше находиться в вертикальном положении — стоять, сидеть. Во время сна держать голову повыше, спать на высокой подушке. Эти меры позволят увеличить естественный отток крови от головы, уменьшая тем самым отёк.
- Для ускорения заживления раны необходимо каждый раз после приёма пищи полоскать рот специальным антисептическим раствором, назначенным врачом.
- Рацион следует изменить в пользу мягкой и жидкой пищи. На время исключить из употребления твёрдую, грубую пищу: мясо, орехи, неспелые фрукты.
- Соблюдать правила гигиены полости рта. Важно чистить остальные зубы обычным способом — не стоит допускать скопления зубного налета.
Как себя вести в первые дни послеоперационного периода
После проведения операции в течение полутора суток, надо к месту установленного имплантата прикладывать холод.
Особенно это необходимо, если было установлено два и более имплантов, и проводилась операция синус лифтинга.
Фото: Прикладывание пузыря со льдом при отеке к месту установки импланта
- Это может быть, как пузырь или пакет со льдом, так и любая емкость обернутая чистым полотенцем. В крайнем случае, подойдут даже замороженные продукты.
- Холод необходимо прикладывать каждые 20 -30 минут и держать в течение двадцати минут.
- Эффект стоит потраченных усилий, т. к. в результате, отечность исчезнет гораздо быстрее и не доставит значительных неудобств.
- Для предупреждения в ране образования воспалительного процесса необходимо ее обрабатывать специальной дентальной пастой, назначенной врачом.
- Вещества, содержащиеся в такой пасте, уменьшают воспаление, ускоряют процессы регенерации и убирают ощущение дискомфорта в полости рта.
- В течение недели после операции надо спать на высокой подушке, что позволит улучшить отток крови, и тем самым будет способствовать уменьшению отека.
- Питаться надо жидкой и полужидкой пищей, которая не должна быть острой или горячей.
Минимизация осложнений
Воспаление десны после имплантации зависит от множества фактора. Одним из самых важных считается низкое качество имплантатов. Поэтому следует внимательно относиться к их выбору. После того как врач предложит вам варианты, убедитесь, что имплант соответствует следующим требованиям:
- титан, из которого его изготавливают, отличается высокой степенью очистки;
- конструкция имеет и микрорезьбу, и макрорезьбу;
- имплант и абатмент фиксируются конусным соединением (это необязательно, но такое соединение на сегодняшний день считается самым надежным);
- к вашему будущему зубу идет длительная, а лучше пожизненная, гарантия – это не только приятное дополнение, но и знак, что производитель уверен в своей продукции;
- выбирайте продукцию компаний, которые уже давно существуют на рынке и известны специалистам, проконсультируйтесь на этот счет с независимым стоматологом.
Не экономьте на системе, так как в будущем, плохой имплант может привести к серьезным осложнениям, устранить которые будет намного дороже. Конечно, даже с качественными средствами организм попытается бороться, но ничего серьезного вас, скорее всего, не ждет.
Опухшая десна и другие симптомы на поздней стадии — признаки периимплантита?
Периимплантит характеризуется воспалением ткани вокруг импланта и убыванием опорной кости. Приводит к отторжению конструкции, может развиться из-за:
- врачебной ошибки;
- низкого качества имплантов;
- недостаточной гигиены ротовой полости.
В раннем послеоперационном периоде осложнения вызваны техническими погрешностями в процессе операции. В долгосрочном периоде — игнорированием гигиенических норм.
Врачебные ошибки, провоцирующие развитие периимплантита:
- нарушение асептики, антисептики;
- неверная оценка факторов риска;
- неправильный подбор, установка импланта;
- некорректные коронки, протезы, вызывающие травму пародонта.
Группу риска по периимплантиту составляют пациенты:
- с вредными привычками (курение);
- заболеваниями пародонта;
- иммунными заболеваниями;
- бруксизмом;
- сахарным диабетом.
Согласно клинике периимплантит может быть:
- острым;
- вялотекущим;
- в состоянии ремиссии;
- в состоянии абсцесса.
Важно различать периимплантит и мукозит — воспаление участка слизистой, прилегающей к импланту, не сопровождающееся уменьшением костной ткани.
Как ставят диагноз
Для установления диагноза врач осматривает пациента. В ходе осмотра отмечается:
- отечность мягких тканей;
- кровоточивость десны при зондировании;
- выделение гноя из периимплантатного кармана;
- подвижность конструкции;
- наличие мягкого налета на импланте и зубах, которые стоят рядом.
Клиническими методами диагностики периимплантита является:
- дентальная рентгенография;
- стоматоскопия;
- ортопантомография;
- трехмерная компьютерная томография;
- определение стандартных стоматологических индексов.
Как действовать при появлении отека?
Своевременная и правильная реакция на появление осложнений после имплантации зубов делает их абсолютно безопасными. Самым распространенным последствием этой процедуры является, безусловно, отек. Степень болезненности и размеры этого осложнения находятся в прямой зависимости от особенностей организма пациента и от квалификации врача, который обязан провести операцию точно и правильно.
Эта дентальная операция довольно часто сопровождается появлением отека после имплантации. Это можно рассматривать как естественную реакцию организма, ведь вживляется инородное тело. Появление отека происходит чаще всего через 2-3 часа после операции и при хорошем заживлении и правильном уходе проходит через 5-7 дней.
Квалифицированная и быстрая реакция на появление отека сводит его продолжительность к минимуму. Однако если отек приобретает синюшность и довольно долго не пропадает, следует говорить о протекании некоторого воспалительного процесса после операции. Тогда необходимо предпринимать срочные меры по лечению воспаления в месте вживления имплантата.
Обычно отек сопровождается болью. Она сильно беспокоит пациента в первые сутки. Но уже на второй день стихает, а на третий проходит полностью. Также после имплантации зуба может повыситься температура.
В случае, когда отечность не проходит свыше недели, начала увеличиваться на 4-ый день, сопровождается продолжительной болью и высокой температурой необходимо обратиться к лечащему врачу. Он выявит и ликвидирует причину осложнения.
Если вы заметили отеки, пусть даже и несильные, после имплантации, важно вовремя принять соответствующие меры, чтобы избежать серьезных осложнений. Рассмотрим, как снять отек после имплантации зубов в домашних условиях.
- Самое лучшее средство от припухлости десны – это холод. Просто приложите к щеке кусочки льда, завернутые в пакет, на 30 мин. Такой компресс делайте регулярно в течение суток после проведения процедуры.
- Врачи рекомендуют после имплантации для предотвращения появления отеков на протяжении недели спать на высокой подушке. В этом случае отток крови будет более интенсивным, а соответственно и размер припухлости уменьшится.
- Очень важно также предотвратить появление воспалений. Большую роль в данном случае играет соблюдение всем известных правил гигиены полости рта. К тому же, необходимо обрабатывать рану после операции антисептиками и специальными дентальными пастами. Обработка десны не только снимает сам отек после имплантации зубов, но и предотвращает появление в ротовой полости вредных микроорганизмов.
Если соблюдать эти правила, то припухлость десны в скором времени пройдет. Подобное осложнение совсем неопасно при своевременном принятии мер. Но если отек не проходит, а сам зуб сильно болит, без помощи специалиста не обойтись – срочно обращайтесь к стоматологу.
Средняя стоимость по Москве
Снять опухоль после вживления имплантов в домашних условиях не требует больших затрат. Примерная стоимость препаратов приведена ниже.
| Наименование услуги | Стоимость, руб. |
| Синтетические антисептики | |
| Хлоргексидин | 16 |
| Фурацилин | 75 |
| Мирамистин | 340 |
| Элюдрил | 410 |
| Растительные антисептики | |
| Тысячелистник | 40 |
| Девясил | 50 |
| Аир | 55 |
| Ромашка | 60 |
| Стоматофит | 180 |
| Мази и гели | |
| Асепта | 240 |
| Камистад | 260 |
| Холисал | 315 |
| Солкосерил | 370 |
Лечение осложнений в стоматологии
| Наименование услуги | Стоимость, руб. |
| Консультации | |
| Стоматолога | 600 |
| Пародонтолога | 740 |
| Имплантолога | 820 |
| Лечебные процедуры | |
| Снятие зубных отложений в области одного зуба | 180 |
| Пародонтологические аппликации в области одного зуба | 370 |
| Наложение защитной пародонтальной повязки | 400 |
| Лазеротерапия слизистой оболочки десен | 490 |
| Удаление имплантата | 6900 |
| Имплантация остеокондуктивного материала в области одного зуба | 10900 |
| Имплантация защитной мембраны | 12900 |
Отторжение импланта: стоит ли бояться?
Исключить момент, что поставили имплант болит десна практически невозможно. Незначительные ощущения могут проявиться у ряда пациентов и купировать болевой синдром можно адекватным приемом препаратов из группы анальгетиков.
После имплантации инструкция от врача должна точно выполняться:
- исключить: острую и жареную пищу, сплевывание и питье с помощью соломинки;
- отказаться от вредных привычек;
- пища мягкой консистенции;
- полоскание рта растворами антисептиков;
- отменить на весь период адаптации походы по баням, саунам;
- перелеты и подъемы на высоту также стоит отменить;
- минимальные физические и стрессовые нагрузки;
- использование при сне высокой подушке: исключить приток крови к голове.
Зубную щетку применяют с мягкой степенью жесткости. Все движения должны быть максимально аккуратными, чтобы не вызвать случайного травмирования слизистой. При отсутствии должного ухода за полостью рта происходит накопление инфекции, которая может спровоцировать развитие воспаления.
Основной момент в период реабилитации после имплантации – это обеспечение гигиены полости рта.
В целом можно отметить, что имплантация – это передовой способ лечения адентии. В норме, при грамотно составленном плане и выполнении постановке, соблюдении всех предписаний врача боль в десне может не проявиться. А искусственные зубы могут выполнять свою функцию на протяжении всей жизни.
Обращение к врачу является обязательным, если на четвертые сутки у пациента не наблюдается общего улучшения самочувствия и постепенного снижения отеков. При этом отдельное внимание следует уделить наличию:
- гиперемии (покраснений участков кожи);
- посинения и гематом;
- высокой температуры тела (выше 38 градусов);
- болезненных ощущений, которые не уходят и не уменьшаются;
- кровянистых или гнойных выделений из прооперированного участка.
Наблюдение одного или нескольких из перечисленных признаков является причиной для неотложного осмотра врачом и проведения соответствующего лечения.
Помощь врача потребуется, если отек не спадает в течение 6 и более дней. Наличие симптома свидетельствует о развитие осложнений. Они бывают легкими и тяжелыми. Первый тип осложнений поддается лечению, а второй вызывает отторжение организмом искусственных зубов.
По теме
- Редакция Денталблог.ру
- 26 сентября 2019 г.
В течение первых дней после вживления имплантанта развиваются следующие осложнения:
- гематома;
- воспаление десенной ткани, что вызывает отек;
- интенсивная боль;
- расхождение швов.
Отек, не спадающий в течение недели, развивается на фоне:
- периимплантита.;
- отторжения протеза;
- гайморита;
- гиперплазии слизистой оболочки.
Периимплантит характеризуется активным течением воспалительного процесса в тканях, окружающих искусственный зуб. Это состояние сопровождается образованием свища возле конструкции. Воспалительный процесс быстро распространяется на здоровые ткани, затрагивая костную, что ведет к ее разрушению.
Периимплантит развивается из-за нарушения правил установки протеза, плохой санации ротовой полости. При своевременном лечении удается сохранить искусственный зуб. Терапия периимплантита предусматривает прием антибиотиков и антисептическую обработку ротовой полости.
Длительный отек также свидетельствует о течении процесса отторжения организмом ортодонтической конструкции. Часто такое осложнение развивается из-за ожога костной ткани, вызванного врачебными ошибками. Отторжение сопровождается выраженной болью.
















