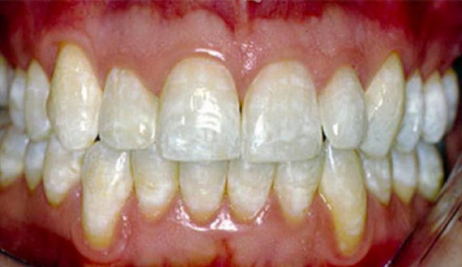
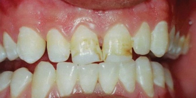
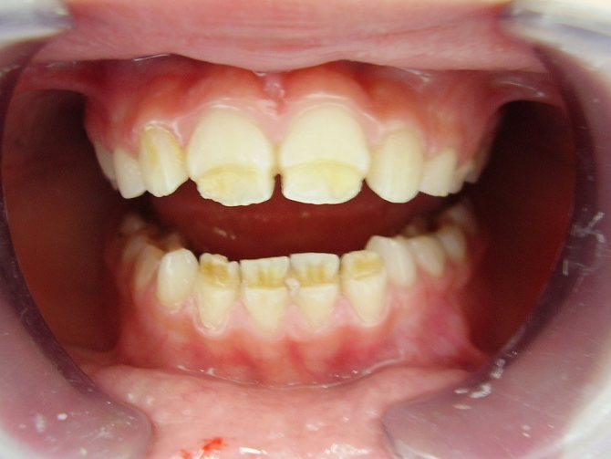
Коричневый налет на зубах – это не только не красиво, но и не «здорово». К его образованию приводит целый ряд факторов, при этом поражаться могут десны, язык, слизистая. Основные типы коричневого налета – мягкий и твердый. Удалять его нужно обязательно, поскольку патогенные скопления во рту вызывают неприятный запах, могут приводить к развитию пародонтита и даже снижению общих защитных сил организма. Подробнее о причинах его образования, способах лечения и профилактики вы узнаете из данного обзора.
Улыбка и белые зубы
И, естественно, самой выразительной «визитной карточкой» на внешнем облике человека является улыбка. Каким огромным расположением пользуется человек, когда у него ровные и белые зубы, которые не стыдно показать окружающим. Взглянуть, хотя бы на голливудских звезд, кумиров миллионов, таких как, скажем, Том Круз или Брэд Питт. При взгляде на их завораживающие улыбки нам кажется, что для этого не требуется абсолютно никаких усилий, что лучезарная энергетика, излучаемая любимцами, исходит как бы сама по себе. Но мало кто знает о том, каких усилий и затрат стоит поддержание идеального состояния крепких, здоровых и красивых зубов.
Повсюду в современной жизни на нашу ротовую полость обрушивается много вредных факторов, таких как неправильное питание, несоблюдение правил гигиены, потребление вредных веществ. В результате этого и возникает огромное множество распространенных заболеваний, таких как, скажем, пигментация на зубах. О ней и хотелось поговорить в дальнейших разделах статьи как о наиболее распространенном дефекте в сфере эстетической стоматологии.
Почему появляются на зубах коричневые пятна
Прежде чем устранить характерные дефекты зубного ряда, требуется выяснить основные причины появления потемнений. Если точно определить патогенный фактор и быстро его устранить, такое стоматологическое заболевание еще можно вылечить, быстро убрать белые и потемневшие пятна с поверхности эмали. Этиология патологического процесса представлена ниже:
- анатомические особенности, так называемый наследственный фактор;
- повышенная активность патогенной флоры полости рта, инфицирование слизистой;
- несоблюдение правил личной гигиены, особенно в подростковом возрасте;
- неправильно подобранная зубная щетка или паста;
- проблемы в работе органов ЖКТ, эндокринной системы;
- воспалительные процессы десен, склонные к хроническому течению;
- повышенная подвижность челюсти при жевании пищи;
- ранняя стадия прогрессирующего кариеса;
- вредные бактерии в составе слюны;
- некачественная пища, чрезмерное потребление простых углеводов.
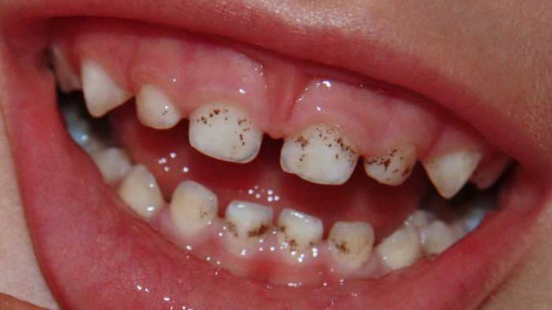
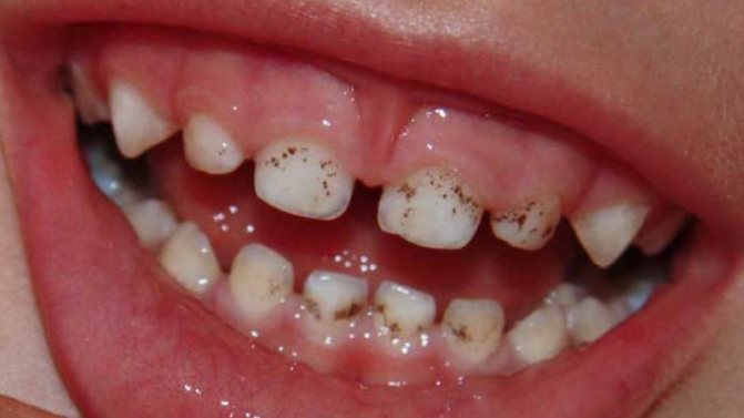
Темный зубной налет у ребенка
Проблема может возникнуть в детском возрасте. Родители должны следить за состоянием зубов ребенка, при появлении пятен на эмали нужно незамедлительно обратиться к стоматологу. У маленького пациента налет чаще белого цвета, свидетельствует об особенностях питания, некачественной гигиене ротовой полости. Причины очевидны, поэтому родители должны первым делом пересмотреть рацион ребенка, исключить из него легкие углеводы, другие вредные компоненты. Главные причины коричневого налета следующие:
- прогрессирующий кариес;
- удаление пульпы;
- проблемы с пищеварением;
- грибковые поражения;
- дисбактериоз.
Пигментные пятна на зубах у взрослых
Причины появления характерной аномалии в старшем возрасте тоже объяснимы. Чаще потемнения становятся следствием неправильного питания, злоупотребления кофе, частым курением. Дополняется клиническая картина устойчивым запахом изо рта, возникновению которого предшествует бактериальная флора, ядовитые вещества (никотин, этанол). Чтобы домашние методы лечения зубов оказались эффективными, требуется устранить этиологию, затем совместно со стоматологом убрать ее последствия.
Внешняя пигментация на зубах
В среде стоматологов причины обычно подразделяются на внешние и внутренние. Начнем, пожалуй, с внешних факторов. К таковым обычно относят те вещества, употребляемые нами в повседневной жизни, которые внешне окрашивают зуб, проникая в поры на его эмали.
Самым опасным фактором можно назвать курение, потому что никотиновые смолы, содержащиеся в табаке, придают эмали неприятный желтовато-коричневый оттенок. Схожим по воздействию веществом является кофе. Нельзя также не упомянуть про крепкий черный чай и красное вино. Они тоже играют немаловажную роль в разрушении зубной эмали и придании ей неэстетического вида.
С чего начать: возможные причины
Лечение не будет успешным, если не устранить причины и факторы, отрицательно влияющие на зубную эмаль и способствующие развитию патологии, поэтому важно собрать подробный анамнез и выяснить, что именно привело к отложению пигмента на поверхности эмалевого покрытия.
Чай и кофе – главные враги
Злоупотребление чаем и кофе приводит к темным пятнам на зубах
Самой распространенной причиной образования коричневых пятен у взрослых пациентов является злоупотребление напитками, содержащими кофеин. Лидерами по количеству кофеина являются все сорта и виды черного и зеленого чая, а также кофейные зерна, из которых готовится молотый, сублимированный кофе и кофейные напитки. Стоматологи считают, что потребление этих напитков следует сократить до 1 чашки в день. Любителям чая лучше отдать предпочтение травяным чаям. Напитки, приготовленные из ромашки, липы, мелиссы, мяты или чабреца, не только сохранят здоровье и красоту зубов, но и помогут справиться со стрессами, наладить работу сердечной мышцы и улучшить проводимость нервных импульсов, от которых зависит речь и двигательная координация.
Табачная и алкогольная зависимость
Никотин способствует медленному разрушению эмали и появлению на ней трещин и других дефектов
Никотин – один из сильнейших алкалоидных ядов – способствует медленному разрушению эмали и появлению на ней трещин и других дефектов. Никотиновый дым, содержащий более 30 видов вредных смол, оседает на поверхности зубов и образует плотный налет, который может равномерно покрывать зубы или локализовываться на определенных участках, образуя пятна коричневого цвета. Чтобы замедлить разрушение и деминерализацию зубной эмали, необходимо полоскать рот кипяченой водой или специальными ополаскивателями после каждой выкуренной сигареты. Бальзамы и ополаскиватели лучше выбирать на основе растительных компонентов – они мягко очищают эмаль от загрязняющих веществ и подходят для регулярного использования.
Растительные бальзамы и ополаскиватели для пациентов с табачной зависимостью
| Название | Изображение | Примерная стоимость |
| «Лесной бальзам» | 80-120 рублей | |
| «TWIN LOTUS Гвоздика» | 480-520 рублей | |
| «IGIENE ORALE» | 780 рублей | |
| «32 жемчужины Яблоко» | 110 рублей |
Важно! Этиловый спирт, который входит в состав алкогольных напитков, действует на эмаль аналогичным образом, поэтому людям, злоупотребляющим алкоголем, также рекомендуется использовать средства дополнительной гигиены.
Другие причины
Среди других причин, способных привести к появлению коричневых пятен на зубах, можно отнести:
- неполноценное питание, на фоне которого развивается острый дефицит кальция, фосфора, железа и других элементов, необходимых для здоровья эмали;
- использование зубных щеток с жесткой щетиной, царапающей эмаль (в трещины попадают бактерии, выделяющие токсичные вещества, которые окрашивают зубную эмаль в темно-желтый и коричневый цвет);
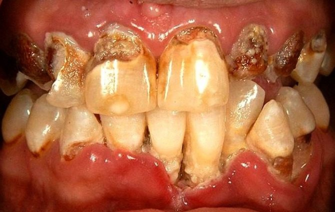
- заболевания пародонта (пародонтит, пародонтоз);
- хронические болезни пищеварительной системы;
- дисбактериоз полости рта;
- глистная инвазия.
Симптомы пародонтита
Среди пациентов старше 45 лет различными патологиями эмали страдают около 60 %, поэтому люди данной возрастной категории входят в группу риска по образования пигментированных дефектов.
Важно! В некоторых случаях пятна коричневого цвета могут быть признаком флюороза – патологии, возникающей в результате повышенного потребления продуктов, содержащих фтор. Заболевание широко распространено в регионах, где концентрация фтора в питьевой воде превышает норму в несколько раз.
Внутренняя пигментация
Гораздо сложнее ситуация обстоит с внутренней пигментацией, потому что тогда уже окрашивается внутренняя твердая ткань зуба. Причин таких изменений ротовой полости может быть огромное количество. Одна из самых распространенных – это изменение баланса фтора в организме. Почему? Фтор для зубов имеет разрушительное действие, так как ткань меняет свою окраску в зависимости от его нехватки или переизбытка.
Истории знакомы случаи, когда у всех жителей деревни были одинаковые пятна на зубах, потому что все односельчане пили воду из одних и тех же подземных источников. В некоторых случаях окрашивание зубной эмали случается из-за применения тетрациклиновых антибиотиков. Также случается, что причиной подобной проблемы может служить и пломба, поставленная в результате стоматологической операции, при условии что материал был изготовлен из медной амальгамы.
У некоторых пигментация приходит с возрастом. Наследственный фактор тоже играет роль. У детей пигментация на зубах может также быть и по причине неправильного рациона питания и резкого перепада температур в ротовой полости, например, при потреблении холодной пищи сразу после горячей.
Причины и сопутствующие симптомы
Все причины, провоцирующие появление на зубе точки коричневого цвета, можно распределить на две условные группы — естественные и патологические.
В первую группу входят следующие факторы:
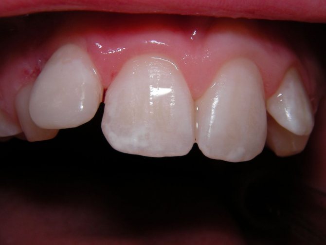
- Микротравма эмали . Само по себе повреждение зубной эмали неспособно привести к образованию темной очки. Но даже микроскопический скол или трещина на ее поверхности означает, что более мягкие ткани зуба, находящиеся под эмалью, вступают в контакт с воздухом , водой и едой. Но в отличие от самой твердой части зуба, эмали, они быстро впитывают в себя любые красящие вещества, входящие в состав кофе, чая, табачного дыма, красного вина и пр. Как результат — невидимая поначалу микротравма приобретает все более выраженный цвет, превращаясь в точку . В зависимости от глубины повреждения это состояние может сопровождаться дискомфортом в поврежденном участке, или быть абсолютно безболезненным и носить характер сугубо эстетического дефекта.
- Врожденные дефекты эмали . Механизм образования темной точки на зубе аналогичен предыдущему примеру. Но в этом случае играет роль не травма эмали, а ее неправильное формирование, вследствие чего она имеет неравномерную толщину. Соответственно, в более тонких и слабых участках эмали впитывает больше пигментов, которые могут распределяться по всей поверхности зуба или формировать четко очерченные темные участки в виде точек. В этом случае проблема редко ограничивается одним зубом — коричневые точки на передних зубах могут быть выражены сильнее, так как именно резцы чаще всего контактируют с пищей и напитками. Но при ближайшем рассмотрении на остальных зубах также обнаруживаются точечные дефекты.
Читать также: Болят зубы без причины
Патологическими причинами выступают следующие:
- Кариес . Началом заболевания считается формирование так называемого «белого пятна» — ослабленного и депигментированного участка эмали. А появление коричневой точки в этом месте означает, что микроорганизмы и продукты их жизнедеятельности продолжили разрушительную «миссию» и повреждения достигли дентина. Боль на этой стадии может еще не беспокоить, но если на зубе коричневая точка расположена в пришеечной части (на границе с десной), при потреблении горячей пищи или напитков, при вдыхании через рот холодного воздуха могут возникать неприятные ощущения.
- Флюороз. Меловидно-крапчатая форма этого заболевания сопровождается образованием на поверхности зубов небольших участков, в том числе, точек, окрашенных более интенсивно, чем окружающие ткани. В зависимости от особенностей рациона человека, цвет таких пятне может варьироваться от темно-желтого, до шоколадного и почти черного. При флюорозе редко наблюдается боль в пораженных зубах, но часто присутствует повышенная чувствительность на кислые продукты. При флюорозе на зубе коричневое пятно (чаще всего это множественные пятна) — не единственный визуальный признак. Кроме этого, эмаль теряет блеск, приобретает текстуру мела.
- Лекарственная пигментация. После длительного приема некоторых препаратов (антибиотики тетрациклиновой группы, препараты железа, ретинол и его производные и пр.) активные вещества могут накапливаться в костных тканях и зубной эмали, что приводит к ее окрашиванию. Заболевание, для лечения которого используют такие препараты, а также особенности структуры эмали определяют распределение пигмента: в виде пятен, полос или точек.
- Зубные камни . Распространено заблуждение касательно того, что зубной камень — это обязательно «массив» из твердых отложений. Но минерализованный налет чаще всего формируется в участках, которые хуже всего поддаются очищению естественным образом (при потреблении твердой пищи) и во время гигиенического ухода за полостью рта. Поэтому чаще всего зубной камень представляет собой коричневые пятна на зубах у десен. Но нередки случаи, когда в области естественного дефекта эмали (небольшого углубления на ее поверхности) происходит скапливание мягкого налета . И при недостаточной или нерегулярной чистке зубов он отвердевает и окрашивается пигментами, поступающими из напитков и пищи, образуя темную точку.
Диагностика: какие методы применяются в стоматологии?
В диагностике пигментации зубов наука, к сожалению, ещё не сделала больших шагов. Ограничения в лабораторных и клинических исследованиях, отсутствие распространенности качественного и современного оборудования влияет на эффективность работы стоматологов.
Но, несмотря на все препятствия, в нашей стране есть огромное множество специалистов, наделенных умом и опытом, которые, проведя лишь визуальный осмотр пациента, сумеют с точностью диагностировать пигментацию на зубах. Хотя нередки те случаи, когда в диагностике приходится прибегать к современным технологиям, таким как рентгенография или ортопантомография, при помощи которых дантист изучает внутренние проблемы поврежденных зубов.
В арсенале врачей имеется и большое количество других приспособлений и методов, которые используются в особо затруднительных ситуациях. К ним относится, например, микроскопия или реодентография. Они позволяют специалисту более детально рассмотреть проблему. А в изучении таких тканей, как десна или кровеносные сосуды, часто применяют в работе прибор под названием репародонтограф.
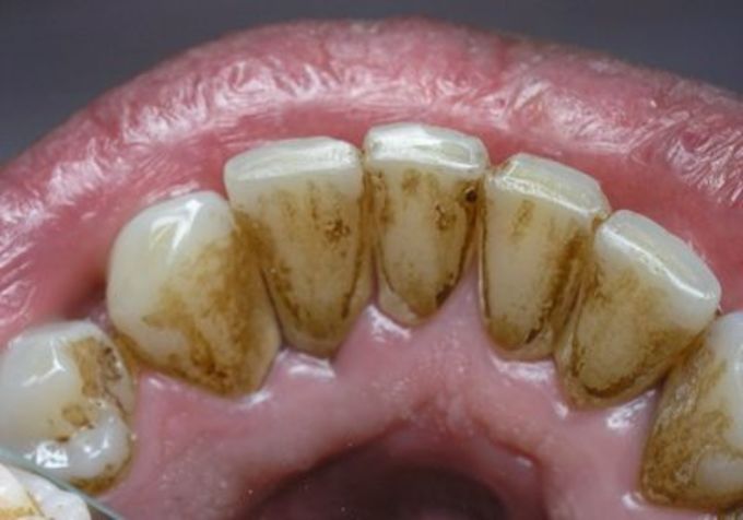
Виды: с внутренней и внешней стороны, под деснами
Основные виды темного налета:
- зубодесневой;
- поддесневой;
- проксимальный.
Первый тип может быть на эмали с любой стороны челюсти, реже, но тоже появляется данный дефект по краю десны. Поддесневой налет скапливается внизу коронки зуба и вызывает поражение корней и оголение шейки зуба.
В ряде случаев обнаружить поддесновой налет может только врач. Поражение может быть скрыто под десной и для его выявления требуется специальный зонд.
Проксимальный темный налет поражает контактные поверхности. То есть его область воздействия – те зоны зуба, которые непосредственно контактируют с пищей. Возможно, вам также будет интересно узнать о причинах появления белых пятен на зубах.
Темный налет под десной снаружи или изнутри обязательно следует удалять. В противном случае он станет более плотным и с большой долей вероятности приведет к развитию заболеваний пародонта.
Нужно ли лечить подобный недуг?
Многие ли планируют проводить лечение пигментации зуба? Большинство людей считают проблему исключительно косметической. Причин подобной халатности со стороны пациентов найдется немало. Это и неграмотность, и зазнайство, и беспечность, и часто, разумеется, страх. Обывателю всегда кажется, что вот сейчас он введет в свой рацион больше овощей и молочных продуктов, начнет пользоваться более дорогой пастой для зубов, и проблема будет устранена. Но так не получится.
Цвет зубов не приобретет желаемый белоснежный оттенок. В случае возникновения подобной проблемы необходимо сразу обращаться к специалисту, и чем раньше вы это сделаете, тем лучше для вас. Причем как с эстетической, так и с материальной стороны. Дантист при помощи специального оборудования легко сможет избавить вас от внешнего налета на зубной эмали, выявит внутреннюю причину образования пигментации и, соответственно, назначит определенный курс лечения, дабы устранить не только симптомы болезни, но и саму болезнь.
Возможные осложнения
Сама по себе коричневая или черная точка на зубе не представляет никакой опасности, так как она не является самостоятельным заболеванием, и лишь сигнализирует о какой-либо стоматологической или соматической проблеме.
Но любое состояние, будучи запущенным, обязательно влечет за собой последствия. В данном случае это:
- разрушение эмали, которая выполняет важнейшую защитную функцию;
- развитие кариеса (нередко — множественного, с поражением не одного, а нескольких зубов одновременно );
- распространение патологического процесса на пародонт — опорно-связочный аппарат зубов, что чревато их утерей.
Гель Colgate Simply White Night
Список распространенных средств для лечения относительно небольшой и доступен каждому желающему. Большинство препаратов нежелательно применять без рекомендации специалиста. Однако как быть, когда не всегда имеется достаточно свободного времени для посещения стоматолога, а проблема требует немедленного решения в силу каких-либо определенных жизненных обстоятельств? В таких случаях можно полагаться на некоторые средства с косметическим эффектом, например, на некоторые зубные пасты или гели.
Это бесконечное число разных вариантов, но наибольшей популярностью у рядовых потребителей пользуется гель Colgate Simply White Night. Перед группой ученых была поставлена задача: чем отбелить зубы без вреда для эмали, и причем сделать этот так, чтобы каждый смог это совершить в домашних условиях.
Способ применения крайне прост, так как создавался с точки зрения максимального комфорта.
Как убрать зубной налет
В данном вопросе помогут официальные и альтернативные методы. Перед тем, как удалить зубной налет в домашних условиях, рекомендуется посетить стоматолога, пройти подробную диагностику ротовой полости, определить проблему. Самовольные действия усугубляют здоровье пациентов, поэтому лучше всего не экспериментировать. Если врач разрешил лечение в домашних условиях, оно является лишь дополнением основных стоматологических процедур.
Удаление в стоматологии
Если на зубном ряду образовываются коричневые отложения, визит к стоматологу поможет избавиться от любого налета. Главное условие – вовремя отреагировать на проблему, не игнорировать врачебные рекомендации, выбрать самый щадящий метод. Наличие зубных болезней объясняет появление коричневого оттенка эмали, который быстро удаляется при помощи следующих процедур:
- санация полости рта;
- профессиональная чистка;
- удаление камня, налета ультразвуком, фотоэффектом, лазером.
Как избавиться в домашних условиях
Каждое утро и перед сном необходимо чистить зубы, после – использовать специальный раствор для полосканий. Скопление коричневого налета возможно не только на поверхности эмали, но и на слизистой оболочке, деснах, языке. Гигиена полости рта должна быть качественной и основательной, поэтому в этом вопросе рекомендуется систематически посещать дипломированного специалиста.
Читать также: Чем опасен кариес
Отбеливающие зубные пасты
Вовсе недостаточно исключить вредные привычки и сменить привычные напитки, необходимо приобрести специальные чистящие средства с осветляющим эмаль эффектом. Конечный результат – минус 3-4 тона, безопасное устранение налета при общих заболеваниях дентина. Ниже представлена рейтинговая продукция известных производителей, одобренная современными стоматологами:
- Lakalut White от немецкого бренда с коэффициентом абразивности до 120 можно задействовать до 4 раз за неделю.
- President White plus от итальянского производителя с показателем абразивности до 200 рекомендуется использовать для снятия коричневого налета один раз в неделю.
- Rembrandt от американского бренда отбеливает зубной ряд на 3-4 тона, при этом обладает мягким, щадящим эффектом.
Использование зубного порошка
При очевидных нарушениях состава зубной эмали дополнительно страдают десны. В поддесневом пространстве скапливается камень, который провоцирует регулярную кровоточивость. Если зубные пасты не избавили от коричневого налета на зубах, самое время обратить внимание на порошковую продукцию. Очищающие средства более агрессивные, поскольку их структура может травмировать эмаль, вызвать развитие кариеса. Чтобы этого не произошло, удалять коричневый налет этим способом можно не более 1-2 раз в неделю. Средство гигиены определяется индивидуально на приеме стоматолога.
Как очистить зубы от налета народными средствами
Альтернативные методы не менее эффективны, но для достижения поставленной цели требуется несколько процедур, настойчивость, время. Перед тем, как убрать зубной налет в домашних условиях, важно определить отсутствие аллергии на один из компонентов выбранного рецепта. Если подобные аномалии отсутствуют, а чувствительность эмали позволяет задействовать народные средства, необходимо вывести из суточного рациона красящие продукты питания, отказаться от вредных привычек. Проверенные рецепты следующие:
- Растолочь пару таблеток активированного угля или взять немного соды. Добавить этот ингредиент в состав зубной пасты, интенсивно счищать ею коричневый налет на зубах. Процедуру нужно выполнять не более 2 раз за неделю.
- Эффективное отбеливание обеспечивает концентрированный сок лимона, которым требуется смазывать тампон и качественно счищать коричневые отложения на зубах. Чтобы смягчить действие концентрата, предотвратить воспаление десен, можно разбавлять лимонный фреш кальцием в виде измельченной яичной скорлупы.
- Еще один проверенный способ борьбы с коричневым налетом. Употребление твердой еды помогает предотвратить любые отложения на эмали. Если эмаль уже потемнела, то можно приготовить пасту из свежих томатов и интенсивно натирать ею зубной ряд. Остатки помидоров на зубах можно убрать при помощи классического полоскания.
Как использовать гель?
Для начала необходимо просто очистить зубную эмаль стандартными способами, например, зубной щеткой и пастой. Это необходимо для того, чтобы в ротовой полости не находилось лишних бактерий и было готово пространство для лечения. Затем стоит высушить каждый зуб специальным тампоном и нанести на них гель.
Рекомендуется ничего не употреблять в пищу в течение 15-20 минут. И, таким образом, уже через несколько дней вы заметите результат, а через более длительное время ваша улыбка, наконец, приобретет тот самый желаемый блеск. Эффект от подобного отбеливания можно наблюдать около одного года. Затем курс нужно повторить.
Как сделать домашнюю зубную пасту, избавляющую от пятен
Хорошую и действенную зубную пасту можно сделать самостоятельно. Она не подойдет для постоянного использования, но курсовой прием вполне возможен. Нужно в одной емкости соединить пищевую соду, 2 капли перекиси водорода, столовую соль и обычную зубную пасту.
Домашняя зубная паста
Пользуйтесь таким составом 1,5 месяца, нанося домашнюю пасту на зубы через день. Если зубы чувствительны – то пасту используйте не более трех раз в неделю. Не стоит употреблять такой состав, если в полости рта есть кариозные поражения. Сначала все зубы нужно пролечить, а потом уже решать проблему пятен.
Используйте домашнюю зубную пасту полтора месяца через день
Не забывайте и своевременно полоскать ротовую полость. Составы для ополаскивания могут быть самыми простыми: содовый раствор с лимонным соком и солью. Есть и такой рецепт: каждое утро нужно полоскать полость рта столовой ложкой хорошего подсолнечного масла. Это делать следует на голодный желудок. Делается это не менее 5 минут, после чего масло сплевывается, чаще всего оно становится молочно-белым. Через 2,5 недели можно увидеть эффект от проделанных полосканий: зубы становятся светлее, проявления пятен уменьшаются.
Полоскание рта
Никакие домашние рецепты не заменят профессиональной квалифицированной помощи. Обязательно лечите свои зубы, не затягивайте с походом к врачу, пользуйтесь богатыми возможностями современной стоматологии. Это позволит вам наслаждаться всеми преимуществами, которые дает здоровая белоснежная улыбка.
Препарат «Глуфторед»
Однако далеко не все средства так же просты, эффективны и элементарны в использовании, как вышеописанный гель. Большинство же препаратов могут и навредить, если применять их без надлежащего предписания врача, который детально проинструктирует и предостережет от потенциальных рисков.
Специалист подскажет, как избавиться от внешних и внутренних проявлений пигментации, как укрепить эмаль зубов и проводить профилактику заболеваний. Эффективным способом избавления от проблемы является изменение химического состава слюны посредством влияния на щитовидную железу с помощью определенного набора минералов, витаминов и фтора для зубов. Одним из наиболее распространенных веществ для лечения в клинических условиях является «Глуфторед».
Причины появления
Вкрапления, портящие эмаль, зубной налет различного цвета, пигментные образования заставляют человека прятать улыбку, сторониться близкого общения с людьми. Встречаются, независимо от пола, в разном возрасте, даже у малышей, питающихся грудными смесями.
Эмаль состоит из микроскопических пор, легко впитывает вещества из воды, воздуха, пищи. Вредные для здоровья химикаты, красители, минералы разрушают ее структуру, проникая вглубь, вызывая кариес, пульпит, пародонтоз.
Зубной налет у ребенка
Общие причины темных пятен на зубах
- Вредные привычки, разрушающие защиту зубов воздействием токсичных компонентов (курение, употребление наркотиков, алкоголь).
- Чрезмерное употребление крепкого черного чая, кофе, в составе которых сильные пигментообразующие вещества.
- Неблагоприятный экологический фон региона.
- Работа в негативной атмосфере производств, вызывающей профессиональные заболевания.
- Наследственность.
- Обострение хронических болезней внутренних органов.
- Последствия применения антибиотиков, в составе которых есть травмирующие эмаль микроэлементы.
- Игнорирование гигиенических правил.
- Снижение защитных сил организма (иммунитета).
Тетрациклиновые зубы имеют темный цвет
Факторами, имеющими значение для силы поражения, индивидуальны для каждого: толщина, крепость поверхности внешней коронковой оболочки, соединительных тканей.
Принимают во внимание также количество фтора в зубах, материал пломбировочного материала.
«Глуфторед»: как используется?
Применяется он довольно просто. Зуб омывается водой и просушивается. Вещество наносят на эмалевую поверхность и через минуту дезинфицируют. Процедуру обычно повторяют около двух раз в год. И хотя глуфторед по своей сути безвреден, его все равно нельзя применять без тщательного врачебного контроля. Потому что препарат требует крайне точного порядка использования, а также нанесения точно отмеренного количества состава. После этой процедуры стоматолог обычно наносит бодинг на поверхность зубов.
Подобный препарат носит официальное название, которое звучит как Monobond Plus. Он помогает в восстановлении и закреплении соединительных связей между поверхностью зуба и наносимым на него веществом. Это средство, в принципе, является безвредным для большинства людей. Исключениями могут быть только индивидуальные аллергические реакции на некоторые вещества, содержащиеся в бодинге. Но подобные инциденты случаются редко.
Способы снятия пигментации
Профессиональная чистка
Чистка зубов
Лазером, ультразвуком, фотолампами
Установка виниров
Виниры
Специальная пластинка осветляет эмалевый слой и корректирует форму элементов челюсти
Отбеливающие гели
Отбеливающие гели
Их каждый день наносят на заранее очищенные и подсушенные зубы (на каждый по отдельности) и выдерживают около четверти часа
Препарат «Ремодент»
Замечательным препаратом, с помощью которого вы сможете как укрепить эмаль зубов, так и сохранить ее на многие годы, является «Ремодент». 70 % стоматологов назначают его в профилактических и лечебных целях. У него нет побочных эффектов, за исключением, пожалуй, индивидуальных аллергических реакций. Он эффективен и прост в применении.
Потребуется 3 г порошка на 100 мл кипяченой воды комнатной температуры. Полоскать рот нужно после приема пищи раз в несколько дней на протяжении 10 месяцев.
Способы лечения: как избавиться
На начальных стадиях образования убрать налет проще всего. Если вы только заметили темные пятна на внутренней или внешней поверхности зубов, но выраженного дискомфорта и других проблем пока что нет, купите пасту с фтором и кальцием. Пользоваться ей нужно будет регулярно. И обязательно посетите стоматолога – он проведет профессиональную чистку зубов и даст рекомендации по уходу за полостью рта. После процедуры эмаль должна быть обработана специальными пастами с кальцием. Подробности и видах паст против зубного камня читайте в этом материале.
Применение пасты с кальцием способствует восстановлению зубных тканей и защите от механических повреждений.
Схема лечения при темных пятнах на эмали зубов часто включает в себя, кроме устранения видимых дефектов, уничтожение патогенной флоры в полости рта.
У некоторых людей отмечается аллергия на фтор-пасты, которые использует в ходе профессиональной чистки стоматолог. Альтернативное решение – удаление налета лазером. Данный аппарат точечно воздействует на наслоения, укрепляет десна, снижает кровоточивость и отбеливает эмаль. Отметим, что это а же технология может применяться и для устранения кариозных образований. Подробней о лечении зубов лазером читайте далее. При повышенной чувствительности врач может порекомендовать вам аппаратную чистку – например, ультразвуковую или воздушную.
Профессиональную чистку зубов нужно делать хотя бы раз в полгода-год. Обработку специальными пастами рекомендуется проводить чаще – раз в 3 месяца.
Также для удаления коричневых пятен используются народные рецепты. Основные:
- Полоскание рта после каждой чашки чая и кофе. Можете делать содовый раствор – чайная ложка на стакан воды.
- Чистка зубов активированным углем – таблетки (2 штуки) разотрите в порошок и используйте местно. Рецепт неплохо отбеливает эмаль. Чаще раза в три дня процедуру не проводят.
- Натирание челюстей томатной пастой. Используйте свежеприготовленную домашнюю и держите ее на зубах 10 минут.
Обработка зубов лимонным соком, перекисью водорода, пищевой содой – это очень плохая идея, поскольку эффект от такой чистки получится недолговременным (если будет вообще), а проблем хватит надолго. Агрессивные компоненты противопоказаны при чувствительной эмали.
Народные средства: какие методы, применяемые нашими бабушками, действенны?
Кощунственно будет не вспомнить и про народные средства, проверенные опытом многих поколений. Однако и в них следует соблюдать меру, потому что они крайне эффективны и могут не только удалить излишний налет, но и стереть эмаль. Например, многие люди иногда чистят зубы, окуная щетку в соду. Протирание зубов перекисью водорода тоже является не менее эффективным средством.
Не станем отходить и от обычных продуктов, польза от которых была известна ещё задолго до нас. Например, втирание земляники в зубы и десны. Или можно чистить зубы с помощью угольков от обгоревшего баклажана.
Предотвращение
Самый простой способ предотвратить появление коричневых пятен на зубах — соблюдение правил гигиены полости рта.
Могут помочь следующие советы:
- Чистите зубы фтористой зубной пастой в течение 2 минут дважды в день.
- Зубная нить один раз в день.
- Промойте рот водой или почистите зубы после еды, особенно если еда содержит большое количество сахара, хромогенов или дубильных веществ.
- Ежедневно используйте фторсодержащую жидкость для полоскания рта. Это не рекомендуется делать детям до 6 лет.
- Регулярно чистите зубы и осматривайте их.
- Прекратить употребление никотина или табачных изделий.
- Используйте соломинку для питья напитков, отличных от воды.
- Поговорите с стоматологом о любых привычках, которые могут повредить зубы, например, о скрежетании.
Следующие средства могут окрасить зубы и ослабить эмаль.
Хорошая идея — избегать:
- сахарные продукты и напитки
- продукты с искусственным окрашиванием
- кофе и чай
- красное вино и темные спиртные напитки.
- тёмные фруктовые соки
- цитрусовые фрукты и соки
- темные соусы, такие как соевый соус и томатный соус.
Некоторые продукты питания могут помочь укрепить эмаль и предотвратить обесцвечивание. Богатые грубыми кормами или волокнами, они могут помочь удалить с зубов бактерии и кусочки зубного налета. Другие образуют барьеры для образования налета или содержат химические вещества, которые помогают нейтрализовать кислоты, ослабляющие эмаль.
Продукты, которые могут помочь предотвратить обесцвечивание зубов:
- зеленые, листовые овощи, такие как капуста, шпинат и брокколи.
- сыры и ферментированные йогурты
- фрукты и овощи с высоким содержанием клетчатки, такие как яблоки, сливы, груши и сельдерей.
- продукты с высоким содержанием некоторых антиоксидантов, включая морковь, имбирь и чеснок.
- цельное зерно и крупы
- орехи
Цвет темных пятен
К счастью, не любое пятнышко темного цвета свидетельствует о серьезных проблемах в организме. Давайте рассмотрим отдельные случаи, для удобства представив их в виде таблицы.
Причины появления и избавление от коричневого налета на зубах.
Не всем повезло с белоснежной улыбкой, чаще на зубах расстраивает налет, который становится причиной внутреннего беспокойства. Проблема распространенная, встречается одинаково в детском и взрослом организме, требует немедленной врачебной помощи. Выясняя, как удалить налет на зубах, можно дополнительно прибегнуть к помощи домашних методов.
Лечение горизонтальных и вертикальных трещин на эмали зубов
Тактика лечения зуба зависит от размера и расположения трещины на эмали:
- Трещины и бугры на эмали чаще всего возникают из-за наличия старых пломб. В этом случае пломбы снимают, бугры спиливают, трещины шлифуют, а поврежденную коронковую часть зуба восстанавливают пломбировочными материалами.
- При наличии трещин и сколов на передних зубах пломбу лучше делать из светоотверждаемых материалов, так как они быстрее застывают, отличаются повышенной прочностью и наиболее эстетичны.
- Поперечные трещины чаще всего возникают на нижних молярах и премолярах. Обычно они наносят серьезный урон зубу, поэтому для его восстановления используют коронки.
- Полностью расколотые зубы нужно удалить, поскольку они являются источником инфекции и могут привести к инфицированию мягких тканей ротовой полости или к появлению кариеса на зубах в других частях челюсти.
- Если зуб треснул вертикально, нужно делать эндопротезирование. Иногда такая тактика лечения не приносит желаемого результата и даже ухудшает состояние костной ткани. При вертикальной трещине на корне зуб однозначно нужно удалить.
Почему требуется удаление зуба, если он сильно потрескался
Если по медицинским показаниям требуется удалить зуб, то лучше не пытаться сохранить его. Через определенное время такую зубную единицу все равно придется удалять, но в ходе восстановительных процедур пострадает много костной ткани, что сделает проблемным возможную имплантацию и даже протезирование.
Удалить сильно потрескавшийся зуб нужно еще по одной причине – наличие в ротовой полости воспалительного процесса негативным образом скажется на состоянии остальных зубов.
Что делать, если потрескался молочный зубик
Молочные зубки тоже могут треснуть. Причем такое явление довольно распространено, поскольку дети часто тянут в рот игрушки и посторонние твердые предметы.
Если зуб треснул горизонтально, его лучше удалить. В противном случае его можно отшлифовать и оградить от участия в жевательном процессе. То, что молочный зубик раскололся, еще не означает, что постоянный зуб будет иметь такой же дефект.
Что делать, если возникла микротрещина на эмали переднего зуба
Если эмаль слегка треснула на переднем зубе, нужно срочно идти к стоматологу. Ошибочно мнение, что микротрещины на зубах не требуют специального лечения. Если оставить этот дефект без внимания, можно столкнуться с необходимостью удаления зубной единицы. Поэтому маленькие трещинки следует лечить.
Схема лечения микротрещин:
- Постепенно снимаются микроскопические слои эмали, что позволяет убрать все трещинки.
- Дефектный участок полируется и шлифуется с использованием специальных устройств и материалов.
- Проблемное место покрывается фторлаком.
Обработка зуба фторлаком поможет избавиться от трещин только при отсутствии каких-либо заболеваний в ротовой полости. В противном случае инфекция может попасть внутрь зуба, из-за чего он может полностью растрескаться. Сперва нужно лечить кариес, а только потом трещины и разломы на эмали.
Что делать в домашних условиях, если на зубе появилась трещина
Если на зубе появилась трещина, нужно обработать ротовую полость любым антисептиком, чтобы предотвратить развитие воспаления. Если зуб сильно болит, можно принять анестезирующий препарат.
При наличии трещин на эмали лучше воздержаться от употребления пищи или хотя бы не жевать на больной стороне. При глубоком переломе или вертикальной трещине на переднем резце следует воздержаться от чистки зубов до приема у стоматолога.
Ни в коем случае нельзя пытаться самостоятельно восстановить целостность зуба или вправить его на место. Попытки вылечить моляр, резец или клык своими силами приведут к удалению не только пострадавшего, но и соседних зубов. Только дантист знает, как лечить трещины на зубах. Если появилась проблема, нужно обращаться за квалифицированной медицинской помощью в клинику стоматологии.
Лечение гипоплазии
Пятнистая
Пятнышко появляется на внешней стороне зуба. Поверхность не выделяется наружу, не проваливается. Пятно гладкое и блестит как здоровая эмаль. Чаще образуется симметрично, что объясняется этапами минерализации зубов. Наиболее распространенная форма — встречается в 47% случаев заболеваний эмали.
Эрозивная
На пораженном месте истончается эмаль, образуя провалы и дырочки чаще округлой формы Диагностируется эрозивная гипоплазия в 30% случаев. Эта форма является основным предшественником кариеса.
Виды гипоплазии зубов
Бороздчатая форма
Образуются борозды параллельно краю зуба. На дне повреждения эмаль сильно истончается либо пропадает вовсе.
Смешанная форма
На одном зубе могут быть замечены и пятна, и эрозии, и борозды. Это сильно осложняет процесс диагностики. Дети с такой разновидностью гипоплазии встречаются все чаще.
Самый дешевый и верный способ избавиться от болезни — предотвратить ее:
- Еще на стадии планирования ребенка женщина должна посетить стоматолога, устранить все проблемы с зубами и провести реминерализующую терапию.
- Во время беременности женщина должна посещать стоматолога на предмет выявления проблем и их оперативного устранения. Важно помнить, что не на всех сроках позволено лечить зубы.
- Если есть возможность, ребенка после рождения необходимо вскармливать натуральным маминым молоком. В нем содержится достаточно витаминов и компонентов, ферментов и полезных бактерий, помогающих малышу создать собственный иммунитет. В детских смесях необходимого для ребенка в разы меньше. Но важно понимать, что в период лактации мама должна строго следить за своим питанием и количеством поступающих в ее организм витаминов.
- Рацион взрослеющего ребенка должен быть насыщен минералами, витаминами, микроэлементами и кислотами. Сбалансированное питание и правильная гигиена ротовой полости поможет избежать многих заболеваний не только зубов, но и других органов детского организма.
- Важно избегать механических травм молочных зубов и каких-либо воспалительных процессов, особенно если ребенок маленький, годовой. Повреждение зачатков коренных зубов могут в будущем привести к развитию гипоплазии.
Лечение реминерализацией эмали
При проявлении гипоплазии медикаментозное лечение практически не помогает. Выраженные борозды и дырочки в эмали подвергаются пломбированию. Серьезные разрушения зуба решаются с помощью протезирования. Это позволяет предотвратить появление кариеса и дальнейшее разрушение зуба.
Белые пятна — начало флюороза
Лечение и профилактика
Изменение цвета зубной поверхности, появление на них пятен имеют конкретную причину. Определить ее точное происхождение может врач-специалист.
Стоматолог проведет диагностику, обследует ротовую полость, выберет наиболее правильный метод лечения. Будут назначены процедуры с учетом возраста, глубины заболевания, сложности удаления симптомов. Необходимо устранить главный провоцирующий фактор.
Флюороз зубов — пятна разного цвета
К методам лечения темных пятен на зубах относят:
- терапевтические;
- аппаратные;
- профилактические.
Терапия предполагает прием медикаментозных средств, содержащих кальций, фтор; витаминных комплексов для укрепления эмалей.
Гипоплазия эмали зубов
На профессиональных аппаратах очень тонкими иголками делают чистку камней, снимают налет, покрывают эмаль защитным слоем.
Реминерализация эмали — один из способов лечения
Профилактика, обеспечивающая завидную улыбку, включает широкий перечень мероприятий, которых необходимо придерживаться всю жизнь:
- Тщательно ухаживать за полостью рта. Полоскать десны и зубы специальными составами, подбирать чистящую пасту по содержанию фтора. Помнить о том, что его избыток или недостаток в организме может стать причиной заболевания зубов.
- Придерживаться правильного, сбалансированного питания.
- Отказаться от нехороших привычек. Курящим – оставить это пагубное занятие.
- Исключить употребление алкогольных напитков. «Жизнь настолько коротка, что безумно сознательно губить здоровье» Г.Александров.
Установка виниров на зубы, чтобы спрятать пятна
- Проходить ежегодное медицинское обследование для выявления новых заболеваний, профилактического анализа хронических недугов.
- Жителям неблагоприятных районов, работникам вредных производств обязательно выезжать на отдых к морю, в санатории не реже одного раза в два года.
- При наличии мест, поврежденных кариесом, пломбировать образовавшиеся полости, проводить санацию. Применять, при необходимости, реставрацию зубов с помощью брекетов, виниров.
Прием лекарственных препаратов
Практически все лекарства имеют внушительный список побочных эффектов. Некоторые из них могут влиять на работу полости рта как единой системы и вызывать изменения цвета эмали.
Тетрациклиновые зубы — медицинский диагноз, формируется в случае, если при беременности принимались антибиотики тетрациклинового ряда. На зубах у детей формируются темные, буквально черные пятна, меняется форма коронковой части. К счастью, подобный диагноз выставляется крайне редко.
Зубной камень
Зубной камень — «головная боль» стоматологов, и это основная причина большинства болезней зубов и десен. Это сосредоточение мягкого налета, мельчайших остатков пищи, бактерий и продуктов их жизнедеятельности. С течением времени все это минерализуется (затвердевает) и превращается в камень. При отсутствии полноценной гигиены полости рта камень становиться массивным.
Ускорить его образование могут болезни почек, пищеварительного тракта, а также нарушения обменных процессов, но самой распространенной причиной является отсутствие полноценного ухода.
Стоит помнить, что при наличии сопутствующих болезней, зубной камень — предрасполагающий фактор не только для кариеса, заболеваний десен, но и их быстрого перехода в осложнения.
Описание заболевания
Потемнение зубной эмали в медицине, а точнее в стоматологии, получило официальное название гипоплазия. Термин дословно означает «неполноценный» или «недоразвитый». Заболевание представляет собой некариозное поражение зубного покрытия, в результате которого на нем появляются коричневый налет, пятна. Невзирая на то, что гипоплазия это еще не кариес, она все чаще становится причиной разрушения эмали.
Статистические данные говорят о том, что за последние 30 лет число жалоб на гипоплазию у детей возросло с 5 до 40 процентов.
Врожденная гипоплазия — зубки растут уже разрушенными
Связано это по большей части со здоровьем матери и протеканием беременности. В последние годы количество здоровых женщин, способных выносить ребенка без каких-либо проблем или осложнений, вроде токсикоза, становится все меньше.
В домашних условиях выявить гипоплазию непросто. Да, если появляются многочисленные темные пятна на зубах у ребенка 2 года, сложно заподозрить кариес в таком возрасте. Но у ребят постарше родители могут самостоятельно поставить ложный диагноз в связи со схожестью этих заболеваний.
Возрастные изменения
Эмаль покрывает зуб и является полупрозрачной, это самое твердое вещество человеческого организма. Цвет во многом определяется дентином — так называется основное вещество зуба, которое чаще имеет желтоватый оттенок.
С возрастом, в силу определенных обстоятельств, эмаль начинает истончаться, следовательно, дентин становится заметнее, а зубы приобретают более желтый оттенок.
Это возрастные изменения. Но их следует контролировать и принимать меры, способные помочь сохранению улыбки белоснежной. Стоматолог составит индивидуальную программу лечения и профилактики.
Признаки и причины болезни
Гипоплазия — 1 аномалия развития зубной эмали. Выражается недуг только на внешней части зуба в виде:
- Пятен. Цвет варьируется от бледно-голубого до коричневого.
- Продольных или поперечных бороздок. Эмаль становится волнистой, во впадинках эмаль истончается или сходит на нет.
- Точек. Темные, углубленные в эмаль.
- Затемнения или осветления части зуба без четких очертаний или контура.
Аплазии эмали. Частичное отсутствие эмали на зубе, отчего он выглядит изрытым и бугристым.
Гипоплазия эмали в запущенном виде
Основное отличие гипоплазии от кариеса заключается в том, что когда только прорезаются зубки, один или больше могут уже быть пораженными. То есть, это проблема чаще внутреннего характера, нежели внешнего.
Чаще истоки проблемы кроются еще в периоде развития плода. Закладка молочных зубов происходит в первом триместре беременности, а их минерализация, то есть созревание эмали, длиться до 7–8 лет. Если в этот период имеются негативные воздействия на плод или здоровье уже родившегося ребенка, есть риск развития гипоплазии зубов.
Причины пятен кроются во времени вынашивания
Выделяют основные причины заболевания:
- Патологические процессы во время беременности. На ранних и поздних сроках у матери наблюдался токсикоз, перенесенные заболевания, инфекции, не вылеченные болезни зубов, неправильное питание, вредные привычки.
- Недоношенность, травмы в процессе родов.
- Резус-конфликт с кровью матери, гемолитические заболевания малыша.
- Серьезные болезни ребенка в первый второй год жизни. Недостаточное питание, дефицит витаминов и микроэлементов.
- Тяжелые заболевания, при которых гипоплазия является одним из симптомов.
Ребенок возрастом 1—1,5 года может сверкать белыми зубками, но со временем на эмали начинают появляться темные пятна. Это означает, что нарушения в работе организма имеют место в период минерализации зубов.
Профессиональный и эндемический флюороз
Хотя такой химический элемент как фтор и является крайне важным для здоровья зубов, но его избыток в окружающей среде может приводить к негативным последствиям для зубной эмали. Развивается флюороз как вследствие избытка этого химического элемента в воде, так и на некоторых производствах.
Это заболевание проявляется в первую очередь пятнами или штрихами на зубах, окраска таких пятен и полосок может значительно отличаться у разных больных. Вплоть до средней степени флюороз не повреждает эмаль зуба, а является только косметическим дефектом (однако при средней степени флюороз может способствовать развитию кариеса).
В большинстве случаев постановка диагноза не вызывает особых сложностей, но некоторые формы флюороза имеют значительное сходство с кариесом на стадии пятна, что необходимо учитывать при дифференциальной диагностике.
Для лечения, как и в случае с последствиями от применения антибиотиков, существуют различные методики лечения флюороза. При легкой степени поражения чаще всего используют чистку с последующей реминерализацией а также отбеливанием.
В более тяжелых случаях приходится выполнять восстановление зуба пломбировочным материалом.
Какие бывают?
Самостоятельно обнаружить такие участки довольно легко. Несмотря на то, что естественный цвет эмали белый или приближенный к этому оттенку, пятна очень заметны. Они матовые и лишены блеска
.
Подобные изменения происходят в результате деминерализации участка эмали. Другими словами она теряет минералы и приобретает белый цвет. Подобные явления проявляются в виде пятен, точек или полосок. Появиться они могут в любом месте.
Если причина их возникновения кариес, то искать их необходимо около пришеечной области зуба. Редко поражается только один зуб, подвергается этому явлению вся ротовая полость.
Выводы
Во многом проблема кроется в недостаточном питании организма необходимыми микроэлементами, витаминами, фтором, кальцием. Будь это только беременность или уже натуральное кормление ребенка, важно подбирать для него сбалансированный рацион. Вареные блюда чередуйте с сырыми овощами, салатами, орехами, фруктами, особенно если на дворе лето.
Избегайте часто давать своим детям сладкие кондитерские изделия, сладкую газировку. Замените их сухофруктами и медом, домашним компотом, хотя бы частично.
Чистка зубов с первого дня
Не забывайте о правильной гигиене рта. Научите своего малыша самостоятельно и правильно чистить зубы, полоскать рот после еды. Обращайте внимание на состав пасты при выборе для ребенка. Она не должна содержать высокое количество фтора и опасные добавки, вроде SLS.
Лечение кариеса молочных зубов надо начинать чем раньше
Регулярные посещения стоматолога и проверка зубов позволит выявить существующие проблемы на ранних стадиях и безболезненно вылечить их. Здоровье детских зубов зависит от родителей. От того, насколько внимательно мы относимся к своему ребенку, его питанию и развитию, здоровью и самочувствию.
Зубные пятна: методы избавления от темных пятен на зубах
Одной из часто встречающихся стоматологических проблем являются пятна на зубах. Изменение цвета эмали не только выгладит не эстетично, но и может вызывать боль. Специалисты выделяют несколько разновидностей изменения цвета зубной эмали – белые, желтые, темные. Если на зубах было обнаружено пятно, не следует пытаться удалить его самостоятельно. Самолечение может осложнить положение. Следует в короткие сроки обратиться к врачу, который установит причину, назначит лечение и профилактические мероприятия.
Причины
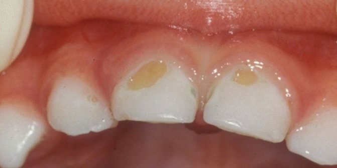
Белые пятна на зубах могут возникнуть по следующим причинам:
Флюороз
Флюороз – это заболевание, характеризующееся переизбытком в организме фтора. Фтор – важнейший компонент в костной структуре, но слишком большое его количество приносит вред организму. При флюорозе пигментация поражает вначале несколько зубов (начиная обычно с резцов и передних зубов), затем переходить на остальные. Со временем пятна темнеют до коричневого оттенка.
Кариес
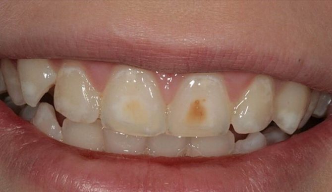
Меловидные пятна предвосхищают появление кариеса. Они могут являться первой стадией разрушения эмали. Если вовремя принять меры, то можно сохранить зуб здоровым с помощью консервативного метода. Если игнорировать белые пятна на зубах, то через некоторое время очаг поражения потемнеет. Кариозное разрушение вызывает локальную пигментацию и появляется чаще всего в боковой и пришеечной области.
Гипоплазия
Гипоплазия – это недоразвитость зубов. Она возникает под воздействием микроорганизмов на плод в период нахождения его в утробе.
Самые распространенные причины гипоплазии у ребенка:
- перенесенные во время беременности вирусы;
- краснуха;
- тяжело протекающий токсикоз;
- заболевание кишечного тракта у беременной.
Белые пятна, возникающие из-за гипоплазии, появляются у детей при прорезании коренных зубов, но могут проступить и на молочных. Дефект является генерализованным, т. е. проявляется на большом количестве зубов. Вместе с пигментацией на эмали можно заметить бороздки и углубления.
Травмирование эмали
Травмы зубов также становятся частой причиной возникновения меловидных пятен. Эмаль легко повредить во время ношения ортодонтических конструкций типа скоб или колец. Помимо механического воздействия, на состояние зубов оказывает влияние налет, скапливающийся в труднодоступных местах, до которых тяжело добраться во время чистки. Часто дефект становится заметным после снятия конструкции.
Методы лечения
Вылечить самостоятельно появившиеся чёрные точки на зубе невозможно. Посетить стоматологическую клинику нужно при первой возможности.
Лечение может иметь разную степень сложности. Здесь всё зависит от степени проникновения точки в зуб. Если имеется поверхностный кариес, значит, процесс лечения будет довольно простым. Как правило, он заключается в накладывании специального корректирующего слоя на отверстия, которые образовались.
В том случае если глубина большая и имеются признаки кариеса, то стоматологом проводится уже более серьёзное лечение. Для определения степени разрушения эмали зуба назначается рентгенография поражённого зуба. Врачи сразу же дают направление на прохождение этой процедуры и только после предоставленного им снимка, могут провести диагностику и определить курс лечения.
При помощи процедуры зондирования врач может определить степень развития кариеса. Поверхностный или глубокий кариес требуют разного лечения.
В каких случаях отбеливание будет неэффективным:
- Изменение состава эмали во время вынашивания плода.
- Избыточная потеря минералов в организме (кальция или фтора).
- Различные стадии кариеса (разрушение и потемнение зубной эмали происходит изнутри).
- Некачественная установка пломбы (дефект исправляется только в стоматологическом кабинете).
- Коронки на видимой части рта (при устранении тёмных пятен будет отбеливаться только естественная эмаль).
- Синюшный оттенок при пломбировании каналов зуба (поможет только внутриканальное отбеливание).
- Природный цвет зубов имеет насыщенный жёлтый или тёмно-серый оттенок (при профессиональном отбеливании тон будет сохраняться).
Лечение дефекта
В современной стоматологии выделяют такие методы лечения флюороза:
- Лазерное отбеливание.
- Химическое отбеливание.
- Механическое аппаратное отбеливание.
Что касается аппаратного отбеливания, то его запрещается делать при множественном кариесе ротовой полости, оголении шеек и корней зубов, воспалении десен. Процедура противопоказана пациентам, у которых аллергия на компоненты используемых средств.
После проведения процедуры зубы, как правило, становятся очень чувствительными к кислой, холодной, сладкой пище. Поэтому специалисты рекомендуют пройти реминерализационную терапию.
Стоматологи также советуют пользоваться специальными средствами, способствующими снижению чувствительности зубов. К этим препаратам можно отнести лечебную пасту, ополаскиватель и гель. После отбеливания нужно питаться только здоровой едой и следовать рекомендациям врача по поводу употребления тех или иных напитков. Следует отказаться от курения, алкоголя, крепкого чая и кофе.
Что касается процедуры в домашних условиях, то она подразумевает применение капп, в которые помещают гель. Затем их надевают на зубы не менее чем на 8 часов. Иногда на потемневшие участки наносят осветляющие полоски или аппликации отбеливающего раствора при помощи кисточки.
Тем не менее каждая из этих процедур требует регулярности проведения. Многие люди пользуются отбеливающими карандашами. Они легко помещаются в женскую сумочку и всегда готовы к использованию. Зачастую их применяют в тех случаях, когда нет возможности почистить зубы перед предстоящими важными событиями.
Дома можно воспользоваться пастами, которые практически не содержат фтор. Зачастую их основу составляют эфирные масла. Поэтому перед использованием стоит убедиться в том, что у больного флюорозом нет аллергии на эти компоненты.
Способы диагностирования
При появлении первых симптомов патологии нужно обратиться к врачу. При подозрении на наличие микротрещин на эмали дантист проведет микроскопическое исследование зубного ряда и выявит присутствующие на нем дефекты. Во время диагностики доктор может воспользоваться специальным красящим веществом, которое способно проявить даже самые маленькие трещины.
В ходе исследования врач собирает анамнез со слов пациента и данных его медицинской карточки, чтобы выявить причину образования трещин на зубах. Изучение медицинской истории больного поможет врачу отличить патологию от других заболеваний и установить необходимость более серьезной диагностики для выявления внутренних расколов зубных тканей.
Помимо перечисленного, стоматолог оценивает состояние мягких тканей ротовой полости. Опухшие десны свидетельствуют о наличии проблем с зубами.
После визуального осмотра пациенту могут дать специальную стоматологическую щетку. Она похожа на обычную зубную щетку, но не снабжена щетинками. Человек должен ежедневно прикусывать ее (каждый день новым зубом) и фиксировать свои ощущения. Та зубная единица, которая сильнее всего потрескалась, даст наиболее болезненную реакцию на эксперимент.
При подозрении на внутренние расколы проводится рентгенография челюсти. Она помогает выявить застарелые дефекты и трещины на зубных корнях.
Диагностика проблемы
Появление пятен происходит незаметно, но представляет косметическую проблему. Они не беспокоят, однако бороться с патологией следует в начальной стадии, поскольку их размер со временем может увеличиться. Начиная лечение черных пятен, стоматолог предупредит, что избавиться от проблемы за одиночный визит вряд ли получится.
Вначале врач уточняет, какие лекарства принимает пациент, какими хроническими заболеваниями страдает. На следующем этапе он снимает мягкий налет и исключает кариес. На начальных стадиях для дополнительного исследования назначается рентгенография, индикатор метиленовый синий, просвечивание проблемной области источником мощного света.
Когда есть подозрение, что причина темных пятен — внутренние патологии (со стороны полости рта проблемы решены успешно), пациенту выдается направление на дополнительные анализы. Потребуется обследование у гастроэнтеролога, эндокринолога и других специалистов. На основании его результатов подбирается тактика лечения.
Некариозные поражения
Некариозные поражения эмали представлены целым рядом патологий, но в рамках статьи основной интерес сосредоточен на гипоплазии и флюорозе.
Недоразвитие эмали при действии негативных факторов во время беременности. Опытный стоматолог по состоянию зубов у детей и при наличии некоторых изменений может сказать, на каком именно сроке беременности было негативное воздействие, ведь именно в этом время происходит закладка зачатков зубов и их минерализация.
Флюороз — также некариозное поражение зубов, которое формируется еще до прорезывания зубов, а основная причина — повышенные дозы фтора. В зависимости от формы флюороза, распространенность пятен, их вид и глубина, а также окраска может быть различной.
Вспомогательные симптомы
Дефекты эмали не всегда заметны невооруженным глазом. Иногда на поверхности зубов возникают микротрещины, которые может обнаружить только стоматолог при инструментальном обследовании. Но лучше выявить их на начальном этапе развития, поскольку ежедневная нагрузка на поврежденную жевательную поверхность моляров, резцов и клыков приведет к расширению расколов.
Основные признаки появления трещинок на зубах:
- возникновение незначительного болевого синдрома при употреблении слишком горячей или холодной пищи;
- ноющая боль, появляющаяся изредка и при отсутствии внешнего раздражителя;
- появление небольшой окрашенной сеточки или полоски на эмали после употребления кофе и чая.
Если проигнорировать указанные симптомы, на поврежденной эмали образуется кариес, опухнут десны, возникнет неприятный запах изо рта. В дальнейшем трескаться будет не коронка, а зубной корень.
Кариес
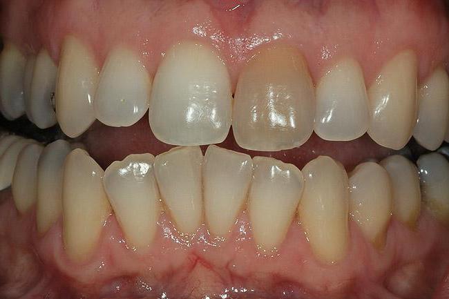
Кариес — самая распространенная причина образования темных пятен на зубах, они могут появляться в любой области коронки. Если темные пятна обнаружились по краям прикрепления пломбы и она начинает сильно выделяться на фоне натуральной эмали — это повод посетить стоматолога, ведь это симптомы осложнений.
Стоит помнить, что кариес — это мало того, что источник хронической инфекции, это также одна из самых главных причин потери зубов и всех вытекающих последствий, затрагивающих состояние здоровья в целом.
Методы отбеливания
Профессиональное
Первая помощь в удалении налёта и определении характера пятен — поход к стоматологу. Современные методы отбеливания зубов позволяют осветлить зубы на один или два тона, если они в запущенном состоянии.
Практикуется мелкодисперсное порошковое очищение. Через специальное устройство подаётся раствор воды с активными отбеливающими компонентами. Процедура длится 15-20 минут. Затем стоматолог даёт рекомендации по уходу за эмалью. Необходимо воздержаться от употребления вина, крепкого чая и кофе.
В домашних условиях
Применять народные средства не рекомендуется детям, когда молочные зубы сменяются на коренной ряд. Некоторые вещества являются сильнодействующими и могут разрушительно действовать на зубную эмаль. С осторожностью использовать некоторые средства рекомендуется и беременным. В этот период организм находится в двойной нагрузке. В большинстве случаев тёмные пятна на зубах у беременных проходят самостоятельно после родов. Гормональный фон и процессы метаболизма быстро приходят в норму.
Если потемнение зубов вызвано несбалансированным питанием, рекомендуется включить определённые продукты. Рацион должен содержать белковую пищу, жиры и сложные углеводы. Мучные изделия, сдобы и трансгенные жиры значительно сокращают. Пользой обладает растительная пища, блюда, богатые клетчаткой. Для поддержки принимаются витаминные комплексы с содержанием минеральных веществ. При недостатке фтора или кальция кушают рыбу и кисломолочные продукты.
Пищевая сода
Отбеливание зубов гидрокарбонатом натрия практикуется многими людьми. Это один из быстрых и действенных способов по восстановлению белоснежной улыбки. Пищевая сода относится к агрессивным веществам. Она отбеливает эмаль, но в случае неправильного использования истончает её. Соду не используют чаще двух раз в неделю.
Для отбеливания делается чистый тампон из бинта. Его слегка увлажняют, а затем макают в соду. Остатки аккуратно струшивают. Круговыми движениями очищают каждый зуб по несколько секунд, стараясь не затрагивать десну. При соприкосновении с содой на нежной ткани может случиться реакция. Сильное трение вызывает покраснение и отёчность пародонта. Иногда соду добавляют к зубной пасте, но такое смешивание является не менее травмирующим для дёсен. В этом случае движения руки должны быть аккуратными, идти от верхней части зуба к нижней.
Лимонный сок
Ещё одно популярное домашнее средство по выведению пятен на зубах является не менее агрессивным, чем сода. Любые кислоты в большом количестве разъедают эмаль. Лимонным соком натирают зубы с помощью ватной палочки, затем оставляют аппликацию на 2 минуты и нейтрализуют её действие. Предотвратить вредное влияние вещества поможет обычный содовый раствор, которым полощут рот после отбеливания. Чайную ложку гидрокарбоната натрия разводят в 500 мл воды. Вместо соды можно использовать отвары трав — ромашку, зверобой или кору дуба.
Древесная зола
Стародавний способ отбеливания практиковался ещё до появления порошков. Рекомендуется использовать очищенную золу, которая продаётся в фито-аптеках. Но если такую трудно найти, тогда её получают из обычных палочек или спичек. При использовании спичек с них предварительно удаляется сера. Для нанесения используются палец. Зола — очень рассыпчатый продукт, поэтому перед применением его слегка увлажняют. Золу втирают массирующими движениями. Она безвредна, не обладает токсичностью. Использовать её можно три раза в неделю перед сном. Зола не имеет в составе крупных частиц, но при неправильном использовании ею тоже можно травмировать эмаль. После применения древесной золы рот полощут обычной кипячёной водой.
Читать также: Что делать если раскрошился зуб
Активированный уголь
Обладает сильнейшим очистительным свойством. Применяется для устранения тёмных пятен с эмали. Для одной процедуры достаточно таблетки. Её хорошо измельчают в порошок, слегка увлажняют, и отбеливают зубы с помощью ватной палочки. Уголь не применяют чаще двух раз в неделю. Крупные частицы могут агрессивно воздействовать на зубы и окружающие ткани.
Перекись водорода
Это вещество применяют в народной косметологии для осветления волос, подошвы ног и эмали. Такой способ устранения пятен с зубов относится к химическому. Применять его длительное время не рекомендуется. Для отбеливания дентина используется только 3% перекись. В ней смачивается ватный тампон или ушные палочки. После протирания зубов рот полощут тёплой водой, чтобы смыть остатки средства. Для более щадящего режима используют раствор перекиси. Для этого столовую ложку средства разводят в 200 мл воды и полощут рот каждое утро перед едой после чистки зубов.
Яблочный уксус
Относится к эффективному средству по устранению тёмных пятен и микробного налёта. Чистое средство использовать запрещено, так как через несколько применений эмаль сильно истончится. Уксус разбавляется в соотношении 1:1. Полученной жидкостью зубы протирают или полощут рот. Применяется средство не чаще 1 раза в неделю. Вместо уксуса используется свежевыжатый яблочный сок. Он эффективен при выраженной желтизне зубов. Для профилактики потемнения эмали ежедневно съедают одно яблоко.
Некоторые средства для отбеливания зубов можно комбинировать. Один раз в неделю в зубную пасту добавляют щепотку соды, две капли лимонного сока или перекиси водорода. Чистят зубы не более 15 секунд, а затем тщательно полощут рот. Лучше делать это не в утреннее время, когда требуется тщательная обработка полости рта от микробов после сна.
Интересно: В воду для полоскания после отбеливания можно добавлять различные эфирные масла для смягчения воздействия агрессивных компонентов. Отличным средством является масло чайного дерева, розмарин, кедр или сандал.
Причины у взрослых
Кариес
Одной из причин появления пятен начальная стадия кариеса Патологические участки сосредоточены на пришеечной области. Как правило, патологический процесс затрагивает сразу несколько участков челюстного ряда. На начальной стадии кариеса зубная поверхность блестящая и гладкая. Но при отсутствии лечения она становится шероховатой.
Важно! Если вовремя не приступить к терапии, то можно лишиться полностью всех зубов, так как кариес имеет тенденцию к быстрому развитию.
Эмаль становится тоньше и через время стирается. Для активной стадии заболевания характерно изменение цвета пигментации на темный оттенок, а еще формируются эрозии.
Флюороз
При развитии этого патологического процесса пятнитость больше напоминает белые полосы. Вначале полосы образуются на передних верхних зубах, но затем они перемешаются на нижние резцы. При отрицательном влиянии флюороза твердые ткани начинают стираться до основания, в результате чего полностью открыт дентин.
Внимание! На развитие патологического процесса влияет повышенная концентрация компонентов фтора.
Травмы
Даже минимальное влияние извне на костную ткань может стать причиной ее частичного разрушения, в результате чего на эмали образуются трещины, царапины и сколы. Поэтому так важно своевременно удалить внимание этим последствиям. В противном случае они могут нанести серьезный вред состоянию зубного ряда.
В сформированные отверстия будут проникать микробы, которые начнут размножаться уже внутри зуба и приводить к развитию воспалительного процесса. При этом страдать будет не только зуб, но и область десны, прилегающая к нему.
Скопление патогенной микрофлоры приводит к разрушению эмали, в результате чего наблюдается процесс ее деминерализации и ее фрагментарное осветление.
Чаще всего это случается у людей в преклонном возрасте, когда зубные ткани уже не такие прочные, как у молодых.
Лечение пигментации
На первом этапе лечения необходима санация ротовой полости, удаление зубного налета и твердых зубных отложений.
Если пигментация обусловлена курением или красителями в пищевых продуктах, проблему можно решить с помощью профессионального отбеливания. Современные методики позволяют удалить красящие вещества, глубоко проникшие в эмаль. Современные методики не наносят вред эмали, но при значительном снижении ее минерализации процедура может быть противопоказана.
Лечение пигментации с помощью отбеливания зубов.
Если зуб изменил цвет из-за проблем, локализованных в каналах, проводят внутриканальное отбеливание с помощью перекиси водорода, активированной лазером. Если красящие вещества проникли глубоко в дентин, для восстановления цвета эмали может потребоваться несколько процедур.
Зубы, потемневшие вследствие приема тетрациклина, а также по причине окисления некачественных штифтов, установленных в их каналах, практически невозможно отбелить. Но и эта ситуация не безнадежная. Привлекательный вид им можно вернуть с помощью коронок или виниров. Эти конструкции позволяют выбрать цвет и моделировать их форму.
Не стоит пытаться справиться с проблемой пигментации с помощью абразивов и химических веществ. Такие способы повреждают эмаль и наносят вред слизистой ротовой полости, но не решают проблему. Современные стоматологические технологии позволяют решить даже самые сложные проблемы.



















