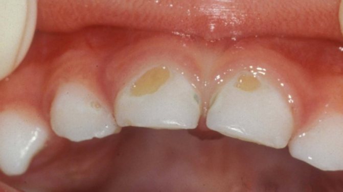
Проблемы с зубами заканчиваются зубной болью. Мало кто бьёт тревогу, когда появляются чёрные точки на зубе, а совершенно напрасно! Чёрные точки на зубе не только портят внешний вид эмали. Только появившись, они начинают обосновываться на новом месте, захватывая здоровые участи зуба и углубляясь внутрь эмали.
О сияющей и здоровой улыбке уже не может быть и речи. Чёрные точки могут возникать на любых зубах и их участках: на передних резцах, у корней, в межзубном пространстве.
Почему появляются
Стоматологи назовут много причин возникновения косметического недостатка. К ним относятся:
- изменение со временем цвета налета, который практически всегда присутствует на зубах, но дважды в день в норме снимается щеткой и пастой;
- наследственность;
- заболевания органов ЖКТ;
- наличие старых пломб, выполненных из амальгамы;
- курение;
- длительное ношение брекетов, из-за чего места прилегания конструкции к эмали плохо прочищаются;
- при лечении глубокого кариеса врач недостаточно прочистил каналы;
- флюороз;
- гипоплазия эмали (чаще у детей);
- прикорневой кариес (темные пятна локализуются у десен, там, где проходит шейка зуба);
- дисбактериоз;
- стирание эмали вследствие возрастных изменений, неправильного прикуса (с течением лет происходит некоторая усадка десны, обнажается шейка, в процессе жевания зубы трутся друг о друга);
- употребление антибиотиков тетрациклинового ряда.
Кариес
Темные пятна на зубах у ребенка – проблема, требующая отдельного разговора. Что служит пусковым фактором в этом случае? Эмаль теряет естественную белизну, если:
- мать болела в период вынашивания малыша – в этом случае зубы закладываются уже нездоровыми, и цвет первых молочных зубов может сильно отличаться от белоснежного;
- недостаток влаги в организме малыша, что способствует размножению бактерий в полости рта;
- избыток железа в пище;
- неправильное усвоение кальция (обратите внимание, не слоятся ли ногти, хорошо ли растут волосы);
- гипоплазия эмали;
- наблюдается одна из первых стадий кариеса;
- врач поставил диагноз «налет Пристли».
Даже у годовалого ребенка-грудничка зубы иногда темнеют. Появились пятна? Первым делом обратитесь к врачу.
Налет Пристли
Многие считают, что нет смысла уделять повышенное внимание молочным зубам – все равно выпадут. Но при наличии больных зубов десны тоже не смогут долго оставаться здоровыми. Возможны гингивит, стоматит. Кроме того, бактерии плотно обосновываются в ротовой полости ребенка и сразу испортят постоянные зубы, как только они прорежутся.
И не забывайте: больные зубы – источник инфекции, которая с током крови и лимфы разносится по всему организму. У ребенка, зубки которого поражены кариесом, чаще случаются фарингиты, ангины, ринит и гайморит. Педиатры нередко обнаруживают у таких малышей увеличенные миндалины.
Тоже относится к взрослому человеку. Только его организм может долго справляться с бактериями, так как иммунитет сильнее. Но при малейшем его ослаблении, например, переохлаждении, ждите в гости ларингит, тонзиллит или ангину.
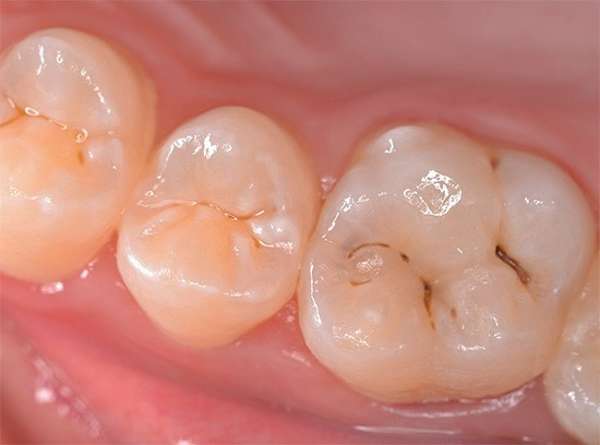
Кариес
Кариес — самая распространенная причина образования темных пятен на зубах, они могут появляться в любой области коронки. Если темные пятна обнаружились по краям прикрепления пломбы и она начинает сильно выделяться на фоне натуральной эмали — это повод посетить стоматолога, ведь это симптомы осложнений.
Предлагаем ознакомиться: Можно ли делать МРТ с имплантами зубов и не опасно ли это
Стоит помнить, что кариес — это мало того, что источник хронической инфекции, это также одна из самых главных причин потери зубов и всех вытекающих последствий, затрагивающих состояние здоровья в целом.
Цвет темных пятен
К счастью, не любое пятнышко темного цвета свидетельствует о серьезных проблемах в организме. Давайте рассмотрим отдельные случаи, для удобства представив их в виде таблицы.
| Цвет пятен | Причина появления | Метод лечения |
| Коричневые, неровные, сразу на нескольких зубах | Налет курильщика | Провести профессиональную чистку и бросить курить |
| Серые, неровные | Гипоплазия эмали | Зубы покрывают специальными составами для укрепления эмали. Лечение – только в кабинете стоматолога |
| Изжелта-коричневые, темно-коричневые | Начальная стадия кариеса, когда появившееся белое пятно темнеет | Обработка пятна и покрытие участка пломбой |
| Коричневые | Пигментация вследствие употребления красящих продуктов. Пористая эмаль | Профессиональная чистка зубов |
| Черные | Кариес, заболевания внутренних органов | Лечение кариеса, обследование и лечение заболеваний ЖКТ |
| Желтовато-темный налет у ребенка | Плохая гигиена полости рта | Обучение ребенка правильной чистке зубов, контроль за ее ежедневным проведением |
| Черный налет у ребенка | Присутствие особых бактерий – налет Пристли | Особого лечения не назначают, наблюдение. Налет обычно самопроизвольно исчезает |
Цвет темных пятен также зависит от индивидуальных особенностей организма. Возможно, вы думаете, что у вас кариес, а стоматолог, проведя осмотр, диагностирует только возрастные изменения или потемнение депульпированного зуба.
Стадии кариеса
Продукты питания
Особенно опасными в плане окрашивания зубов являются продукты, содержащие искусственные красители.
В кабинете стоматолога
Избавиться от налета без предварительного осмотра невозможно. Поэтому сначала вы придете на прием, в процессе которого врач установит причину изменения оттенка эмали. Затем он утвердит способ, которым уберет пятна и сделает вашу улыбку белоснежной.
Если диагностированы кариозные изменения, придется подлечить зубы, иначе на месте пятна возникает полость, которая наполнена болезнетворными микроорганизмами.
Следующая стадия – пульпит, когда доктору надо будет провести операцию по удалению больного нерва.
Не доводите ситуацию до этой стадии – вылечите кариес на стадии пятна.
Кариес в стадии пятна
Если происхождение пятен вызвано иными причинами, врач предложит профессиональную чистку. Используемые методы:
- ультразвуковая чистка;
- лазерное отбеливание;
- фотоотбеливание;
- химическое отбеливание;
- применение Air Flow.
Самым безопасным методом стоматологи считают ультразвуковую чистку. Специальным аппаратом доктор пройдется по всем поверхностям зубов, включая внутреннюю сторону, межзубные промежутки, пришеечные области. Удалит и мягкий, и твердый налет – в итоге зубы посветлеют, ликвидирует опасность развития кариеса.
Иногда в процессе чистки повреждается десна, особенно если было много темных пятен в пришеечной области. Не пугайтесь, если десны слегка кровоточат. Применяйте 7 дней после чистки гель «Метрогил дента» — он быстро заживит ранки и сделает ткани десен крепкими и здоровыми.
Лазерное отбеливание одновременно и удаляет налет, и осветляет зубы. Кстати, принцип действия в этом случае похож с фотоотбеливанием. На зубы наносят гель, который активизируют лазерным лучом (или лампой). Высвобождаются молекулы кислорода, которые очищают зубы и оздоравливают полость рта.
Этап процедуры
К химическому отбеливанию прибегают не так часто. Причина в следующем: состав, которым покрывают зубы для придания им светлого оттенка, достаточно агрессивен. Он проникает в ткани эмали и дентина, может ослабить их, разрушив естественный защитный барьер. Еще один минус этой процедуры: опасность случайного повреждения десен. Разумеется, предварительно их закроют, но полностью исключить вероятность попадания агрессивных веществ на ткани десны все-таки нельзя.
Врачи предупреждают об этих подводных камнях.
Стоматолог предлагает прибегнуть к Air Flow? Попробуйте! Активно используемая сегодня, проверенная временем методика. На зубы вместе с мощной струей воды подается чистящий порошок, механически смывающий все отложения: и твердые, и мягкие. После, врач полирует зубы, наносит на них пасту, чтобы успокоить раздраженные десна.
Взгляните на фото до и после отбеливания: впечатляет?
Лазер
Удаление с помощью лазера. Такой метод является щадящим и позволяет сохранить эмаль. Процедура проходит без болезненных ощущений, не нанося вреда эмали. К примеру, при пескоструйной обработке зубов может десна начинают кровоточить, лазер же убережет вас от этого неприятного момента.
На фото показана лазерная глубокая чистка от камней и налета
В домашних условиях
Убрать темные пятна можно и дома, но ответственность за результаты ложится на плечи пациента.
Методы следующие.
Рецепт № 1
Попробуйте таким образом обрабатывать зубы пару раз в неделю. Но учтите, что при тонкой, хрупкой эмали метод противопоказан: поверхность ее легко повредить.
- Растолките в чайной ложке таблетку активированного угля.
- Нанесите получившийся порошок на щетку.
- Чистите зубы, как если бы это была гигиеническая паста.
- Прополощите рот.
- Почистите зубы своей пастой, которую обычно используете.
Рецепт № 2
Составом почистите зубы. Не увлекайтесь методом: сода агрессивна, а сок лимона разъедает эмаль.
- Возьмите треть ч. л. соды.
- Смешайте соду с одной третью ч. л. зубного порошка.
- Добавьте сок выжатого только что лимона.
Рецепт № 3
Просто жуйте время от времени цедру лимона – это помогает убрать налет и отбелить зубы.
Полезные советы
Используйте отбеливающую пасту. Вариант выбора – Lacalut White. Производитель рекомендует применять не чаще 4 раз в неделю, чтобы это было безопасно для эмали. Хорошим эффектом обладает паста Rembrandt. С ней вы добьетесь уничтожения темного налета и отбеливания эмали на 3–4 тона без профессиональной чистки.
Очень удобны специальные капы, заполненные гелем с пероксидом водорода в составе. Наденьте ее на ночь, а утром снимите. Гель бережно осветлит зубы. Но злоупотреблять тоже не стоит: доведение зубов до идеального белого оттенка чревато деминерализацией. Придется потом лечить и восстанавливать структуру эмали.
Возрастные изменения
Эмаль покрывает зуб и является полупрозрачной, это самое твердое вещество человеческого организма. Цвет во многом определяется дентином — так называется основное вещество зуба, которое чаще имеет желтоватый оттенок.
С возрастом, в силу определенных обстоятельств, эмаль начинает истончаться, следовательно, дентин становится заметнее, а зубы приобретают более желтый оттенок.
Это возрастные изменения. Но их следует контролировать и принимать меры, способные помочь сохранению улыбки белоснежной. Стоматолог составит индивидуальную программу лечения и профилактики.
Рекомендации доктора Зубастика
В наше время главная задача – установить причину изменения оттенка. Самостоятельно сделать это не получится, поэтому я не приветствую домашнее отбеливание. Неграмотные действия пациента приводят к истончению верхнего защитного слоя, покрывающего зуб. Итог: увеличение чувствительности, деминерализация, развитие кариеса.
Берегите зубы – ведь, несмотря на все достижения современной медицины, пока не удается решить проблему выращивания нового, «своего» зуба в лабораторных условиях. Выход по-прежнему один – протезы. А к ним надо привыкнуть. Поэтому заботьтесь о зубах, навещайте стоматолога не реже раза в год и выполняйте рекомендации, которые он даст. В том числе и по отбеливанию. Здоровья вам!
В заключение небольшое видео о том, как избавиться от темных пятен:
Метки: air flow, активированный уголь, Кариес, лазерная чистка, лимон, народные средства, сода, Темные пятна, ультразвук, фотоотбеливание, химическое отбеливание
Об авторе: Dr. Zubastik
Обычно зубная боль начинает ослабевать уже по пути в поликлинику и окончательно проходит через 10 минут сидения в очереди на приём к стоматологу.
- Что делать, если образовался серый налёт на зубах?
- Налет на зубах у детей: надо ли избавляться?
- Что делать, если заметили белые пятна на зубах у ребенка?
« Предыдущая запись
Как нельзя лечить
Фото: Pixabay Если на зубной эмали образовалось тёмное пятно, то правильнее всего сразу обратиться к стоматологу. Ни в коем случае не практикуйте любое отбеливание в домашних условиях.
Любое отбеливание – это использование агрессивных компонентов. В случае с образовавшимися чёрными точками на зубе, любая агрессивная среда будет вредна. Эмаль подвергнется ещё большему разрушению и как следствие, увеличится глубина разрушения зуба.
Крайне не рекомендуется пытаться самостоятельно удалить пятно механическим способом. Повреждение эмали – первая ступень к развитию неприятных зубных болезней.
Диагностика
Причиной обращения к врачу должны стать такие симптомы, как появление на зубах пятен молочно-белого цвета, утрата эмалью блеска и ее потемнение, кровоточивость десен, образование пигментных пятен на зубах и дефектов в виде углублений.
Удаление пятен на зубах представляет собой целый комплекс мероприятий, который назначается исходя из результатов диагностики. Как правило, лечебные процедуры заключаются в гигиеническом очищении полости рта от мягкого налета с помощью ультразвука, специальных средств и приспособлений, обработке антисептическими средствами.
Очень часто для очищения поверхности зубной эмали используются специальные накладки, виниры, которые не только помогают осветлить зубы, но и при необходимости исправить их форму. Для сохранения результата зубную эмаль покрывают специальным лаком, который защищает ее поверхность от действия болезнетворных бактерий и повышает прочность. Такая процедура важна для пациентов, страдающих повышенной чувствительностью зубов.
При выборе схемы лечения потемнения эмали особое внимание должно быть уделено его типу, поскольку нарушение пигментации может быть вызвано разными причинами.
- Как избавиться от пятен черного цвета
Одной из причин образования черных пятен может быть кариес, который требует немедленного лечения. Чтобы удалить черные пятна с поверхности зубов стоматологи используют механическую чистку с использованием специальных абразивных средств, отбеливание зубной эмали и пломбирование пораженного зуба. В завершении манипуляций зубная эмаль покрывается специальным фторсодержащим составом, который препятствует повторному образованию пигментации.
Белые пятна стирают с помощью специального бережного состава. Далее, наносится гель, который заполняет поврежденное пространство. Затем проводится отбеливание и нанесение специального фторидного слоя.
- Устранение желтых пятен
Для устранения пигментации можно обратиться к специалисту или использовать широкий арсенал домашних средств. Желтый налет устраняют ультразвуковым методом. На поверхность зубов обязательно наносят покрытие, которое защищает от повторного изменения цвета и повреждения эмали. Эффективно использование кап, наполненных отбеливающим средством.
Осложнения
Хотя наиболее распространенным осложнением при гипоплазии эмали и флюорозе является повышенная склонность к кариесу, последствия этих состояний простираются гораздо дальше.
В первую очередь, это психические и поведенческие нарушения, вызванные чувством неуверенности ребенка в себе. Не эстетично выглядящие зубы способны стать причиной снижения социальной активности детей, сведению к минимуму общения, проблем с успеваемостью.
Если же состояние настолько запущено, что становится необходимым удаление разрушенных зубов — высока вероятность неправильного формирования прикуса, а у детей первых 10 лет жизни — аномальный рост костей лицевого отдела черепа, что может привести к проблемам с ЛОР-органами.
Способы снятия пигментации
Чистка зубов Лазером, ультразвуком, фотолампами
Установка виниров
Виниры
Специальная пластинка осветляет эмалевый слой и корректирует форму элементов челюсти
Отбеливающие гели
Отбеливающие гели
Их каждый день наносят на заранее очищенные и подсушенные зубы (на каждый по отдельности) и выдерживают около четверти часа
Профилактика
Тщательная гигиена ротовой полости – залог стоматологического здоровья! Маленькая черная точка на зубе не появится, если пациент не будет применять металлические предметы вместо зубочистки. На деснах и эмали не должно быть микроскопических повреждений, тогда и инфекции не появятся. Так как зубы – это живые органы, следует избегать минерально-витаминного дефицита. Для этого сбалансируйте свой рацион, а при необходимости принимайте комплексы с витаминно-минеральными добавками. Планомерно посещайте дантиста. Визиты к врачу не реже 1 раза в полгода позволят своевременно выявить болезни.
+7 Санкт-Петербург, Малый проспект В.О., дом 4
Задать интересующие вопросы и у узнать доступное время для записи можно у администраторов клиники «ARTES»! Звоните и приходите на прием!
Лучшие средства для отбеливания
Чтобы очищение было качественны, эффективным и безопасным, нужно использовать профессиональные и сертифицированные средства. Но использование того или иного препарата должно быть согласовано с доктором.
Самые эффективные средства в борьбе с пигментными пятнами на зубах:
- система White Light, включающая осветляющий гель в наборе с капой и светодиодной лампой. Главный компонент геля карбомид пероксида, который под светом лампы расщепляет пигмент. Система отличается активным действием, поэтому использовать строго с разрешения доктора и после полного лечения;
- полоски для отбеливания позволяют осветлить пятна с помощью концентрации отбеливающих элементов, но при этом приводят к ослаблению эмали и риску появления ожогов. Самыми популярными продуктами являются Crest Whitestrips 3D White от Procter {amp}amp; Gamble;
- «Ремодент» средство для полоскания, которое нужно использовать после каждого потребления пищи;
- закрепляется эффект лаком «Колордент», укрепляющим эмаль и защищающим зубы от воздействия микробов. Средство показано только пациентам с крепкой эмалью.
Пигментация на зубах у детей удаляется медикаментозным способом с помощью «Бондинга», «Профокатора», «Монобонда ». Многие сильнодействующие средства не подходят ребёнку из-за тонкой эмали и повышенной чувствительности, поэтому во многих случаях стоит ограничиться пастами, домашними рецептами и услугами стоматолога.
Почернение зуба мудрости
Нередки случаи обращения в клинику пациентов с подобной жалобой. Как правило, «восьмерки» прорезываются проблемно и с сильными болевыми ощущениями, к тому же они появляются уже испорченными. Зачастую такие зубы просто удаляются, так как не несут никакой нагрузки при жевании, а также не влияют на эстетику.
Лечение, конечно, можно проводить, но оно будет трудоемким и в большинстве случаев бесполезным. Его все равно нужно будет удалить. Советуем вам, как следует подумать перед тем, как приступать к лечению.
Гипоплазия эмали – что это?
Детские врачи-стоматологи утверждают, что этот недуг является главной причиной появления черных точек (фиссур) на зубах. Гипоплазия эмали представляет собой некариозную разновидность поражения зубов. У некоторых малышей молочные зубки могут прорезываться уже с характерными пятнышками. Чтобы избежать дальнейшего разрушения твердых тканей, следует провести реминерализацию. Этот процесс связан с нанесением на эмаль специальной укрепляющей пасты. Также практикуется фторирование и серебрение зубов.
Лечение
При обследовании иногда оказывается, что чёрные точки на зубах − это симптом разивающегося кариеса. Лечить тёмную эмаль необходимо на начальной стадии, пока изменение цвета и структуры не распространились вглубь тканей, и делать это нужно исключительно в кабинете врача: самостоятельное удаление потемнений небезопасно. Основной причиной возникновения точек и пятен является кариес.
Нельзя удалять чёрные точки содой и водородом дома. При появлении даже единственной чёрной точки необходимо узнать причину её возникновения, поставить точный диагноз, назначить корректную терапию, порекомендовать методы ухода за зубами.
На первых этапах потемнения эмали достаточно очищения и пломбирование зуба, если же поражение достигло корней − то удаления нервов и установки пломбы. При этом зуб становится неживым, что грозит его разрушением впоследствии.
Современное протезирование позволяет установить белые пластины по форме подготовленного обточенного зуба. Белая точка − кариес в начальной стадии лечится с использованием реминерализующей пасты, без бормашины. Тёмное пятно требует препарирования, очищения кариозной полости, пломбирования (без анестезии).
Лечение кариеса поздней стадии, которое нередко начинается с рентгена для измерения объёма поражённой полости, и завершается пломбированием.
Методы отбеливания чёрных точек:
- ультразвуковой;
- лазерный;
- метод Air Flow.
Ультразвук
Универсальная методика, рекомендуемая в случае эстетических дефектов на зубах и имеющаяся почти в каждой клинике. Волна вибраций воздействует на чёрные точки, устраняя их. Процедура совершенно безболезненна. Противопоказания: аритмия сердца, простудные заболевания, сверхчувствительность зубов, болезни печени, проблемы с иммунной системой, наличие имплантантов в полости рта.
Избавление от чёрных точек при помощи лазера обеспечивает длительный эффект: чистота эмали около пяти лет. Остаётся целостной эмаль, исключена кровоточивость дёсен. Результат сохраняется на протяжении лет пяти. Недостатком метода может оказаться лишь стоимость, выделяющая его среди остальных.
Метод Air Flow
Если дёсны здоровы, допустимо мелкодисперсное очищение порошком Air Flow. Применяется пескоструйный аппарат, распыляющий раствор соды и снимающий слой загрязнений. Air Flow − способ очищения эмали содой, водой и воздухом под давлением. Методика помогает устранить отложения, пятна и загрязнения, обеспечивая белизну зубам.
Противопоказаниями являются: воспаления слизистой рта, сахарный диабет, астма, эпилепсия, вирусные заболевания. Результат закрепляется до полугода. Иногда метод становится причиной чувствительности зубов, ослабления эмали, не удаляет зубной камень. Поэтому после очищения показана обработка эмали защитным гелем, а также метод совместим с ультразвуком для большей эффективности.
Гомеопатия
Гомеопатические симптоматические средства укрепляют зубную эмаль, оптимизируют баланс взаимодействия систем организма, кислотность полости рта, улучшают кровоснабжение дёсен. Терапия благотворно отражается на функциях организма в целом.
Препараты и компоненты в их составе
- Силицеа (Silicea) – компонент, стабилизирующий кислотность слюны, укрепляющий зубную эмаль.
- Симфитум (Symphytum) – способствует восстановлению эмали зубов, способствуя усвоению солей кальция.
- Калькарея (Calcarea) – улучшает кальционный обмен, предотвращает деминерализацию зубов.
- Плантаго (Plantago) – обладает отбеливающим эффектом, способствует обновлению эмали.
- Эскулюс (Aesculus) – способствует улучшению кровоснабжения дёсен, оказывает обеззараживающее действие.
- Самбукус (Sambucus) – устраняет болезненность, приглушает чувствительность и восприимчивость дёсен.




