Слизистая оболочка ротовой полости выступает благоприятной средой для развития патогенной микрофлоры. При подходящих условиях бактерии и грибки быстро размножаются, вызывая воспаление, очаги которого могут находиться на поверхности неба, языка, щек, десен и даже внутри зубов. Сигнализировать о начале воспалительного процесса могут не только обильные мелкие высыпания, но и небольшой прыщ на десне над или под зубом.
Почему возникают прыщи на деснах
Почему на верхней и нижней десне может образоваться прыщ? Выделяют много причин этой патологии, основные среди которых следующие:
- недостаточный уход за ротовой полостью, приводящий к активному размножению микроорганизмов,
- несбалансированный рацион – дефицит важных для организма веществ ослабляет местный иммунитет,
- вредные привычки – злоупотребление никотином и спиртными напитками,
- наличие заболеваний в хронической форме – эндокринных желез, внутренних органов, суставов и прочих, требующих длительного использования сильных препаратов,
- периодонтит, пародонтит, кариес и другие заболевания зубов и десен,
- неправильно подобранные средства для ухода за полостью рта.

«Однажды с утра пошла чистить зубы, а там все покрыто мелкими красными прыщиками! Что делать с деснами не знала, побежала к врачу. После приема «Фенистила» стало заметно легче, потом и вовсе прошло. Оказалось, что это была аллергия на имбирь, блюда с которым поела вечером накануне».
Наталья, 35 лет
Возможные осложнения
Не следует считать, что появившиеся прыщики безобидные и не принесут неприятностей. Нельзя их прогревать, выдавливать, подвергать механическим воздействиям.
Это приведет к увеличению микробов, и инфекция распространится достаточно быстро. От них часто страдают маленькие дети, поэтому родителям нужно быть внимательными: тщательно осматривать их, следить за их личной гигиеной.
Следует помнить! Небольшой невзрачный прыщик со временем перерастет в гнойник, а он повредит не только ротовую полость, но и головной мозг, а это очень страшно!
Виды прыщей во рту
Так как самостоятельно выявить природу прыщей во рту невозможно, необходимо в первую очередь обратиться к стоматологу. На основании клинических, лабораторных и других данных он определит вид патологии и только после этого назначит соответствующее лечение. Давайте рассмотрим, симптомом каких проблем могут быть прыщики:
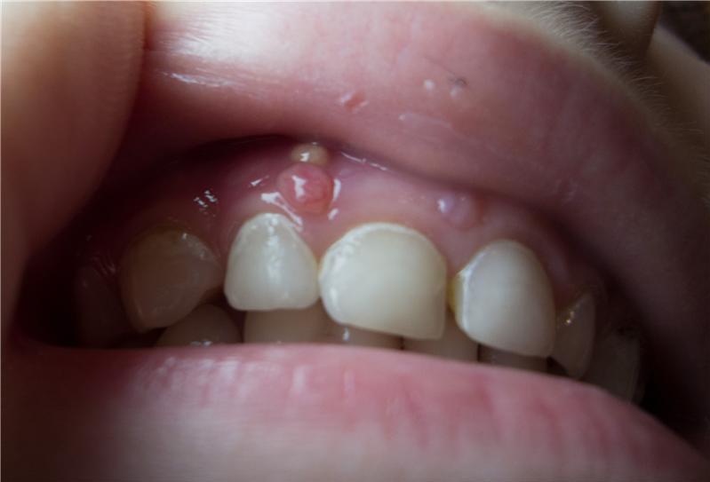
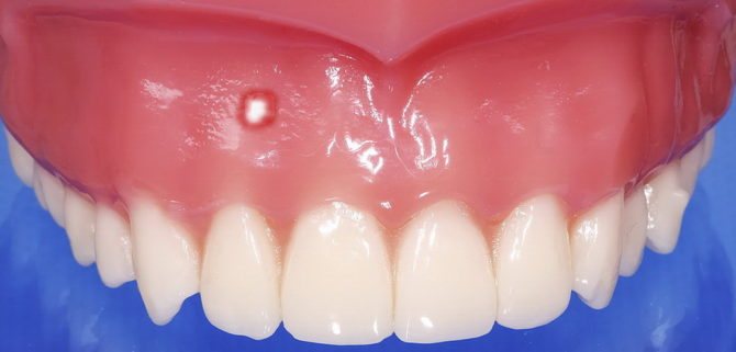
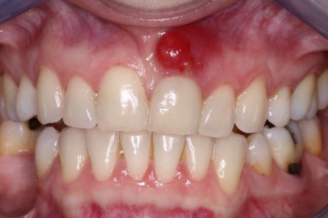
- киста: может не иметь симптомов, а обнаруживаться под десной только на осмотре. Ее гнойное содержимое не способно самостоятельно прорваться наружу, угрожая воспалением тканей челюсти. Поэтому киста требует срочного обращения к специалисту и удаления,
- флюс (периостит): это воспалительный процесс, локализованный в надкостнице. Может быть гнойным или нет. Для него характерно появление красного или белого прыща, отека десны, щеки и боли,
Флюс на десне может вызывать болевые ощущения
- Абсцесс: если на десне выскочил прыщ с гноем (белой головкой), и при этом наблюдается отек мягких тканей лица, боль, горечь во рту, то можно предположить, что это – абсцесс. По сути это – стадия запущенного флюса или кисты, или любой гнойник. Если такой прыщ лопнул, образуется свищ. Его осложнения могут угрожать жизни пациента, поэтому визит к врачу должен последовать незамедлительно,
- жировик: если «вышел» прыщ на десне у зуба, а ухудшения самочувствия нет, это может быть жировая липома. Она выступает в виде белого или желтоватого бугорка, способна увеличиваться в размерах,
- грибковое поражение: прыщи, вызванные грибком (чаще всего типа «Кандида»), не проходят самостоятельно, а распространяются по слизистой. Они имеют характерный белый налет, сопровождаются гиперемией, мышечной слабостью, болью и зудом,
- травматический (бактериальный) стоматит: такие образования спровоцированы травмой слизистой оболочки (щеткой, рыбной костью, брекетами и так далее). Попадание инфекции приводит к возникновению кровяного или гнойного прыща,
- герпетический стоматит: проявляется возникновением нескольких прозрачных прыщей на десне, сопровождающихся зудом, гиперемией, увеличением лимфатических узлов.
Герпес на десне
«Несвоевременное обращение к специалисту, самолечение часто приводит к присоединению вторичной инфекции и развитию эрозивно-язвенной формы стоматита. Важным провоцирующим фактором здесь служит и сохранение первичной причины, например, пациент продолжает игнорировать гигиену, не лечит кариес, плохо питается и прочее. Эрозивно-язвенный стоматит проявляется в сливании прыщей, формировании больших пораженных участков, появлении белесого бактериального налета, существенном ухудшении самочувствия», – отмечает практикующий стоматолог Орлова Е.В.
Причины возникновения белого прыщика на десне
При своевременном и регулярном соблюдении гигиены, появление прыщиков считается крайне редким явлением.
Имеется ряд причин, ведущих к образованию таких симптомов:
- Аллергия.
- Простудные заболевания.
- Получение травмы слизистой оболочки.
- Стоматит.
- Присутствие паразитов внутри организма.
- Болезни внутренних органов.
Возникший белый прыщик не воспринимается как серьезное недомогание, ведь он не причиняет дискомфорта. Следует помнить, что появившийся прыщ отчетливо указывает на серьезное нарушение, возникшее в организме человека.
У взрослых
Отложение гноя происходит по причине воспаления во рту.
По виду они могут быть следующие:
- Герпес.
- Свищ.
- Афтозный стоматит.
- Жировик.
- Лейкоплакия.
Причинами появления прыщиков являются:
- Воспалительные процессы в области корня.
- Распространение инфекционных заболеваний.
- Простудные недуги.
- Плохо проводимая гигиена.
- Некачественно проведенная процедура.
- Болезни, образовавшиеся внутри организма.
Каждый из перечисленных недугов требует специального лечения, заниматься которым должен профессиональный врач.
Белый прыщик на десне у ребенка
У младенца прыщики могут появиться в результате:
- Прорезывания.
- Молочница.
- Дисбактериоз.
- Герпес.
Белый прыщик в области десны указывает на присутствие стоматита, который появляется при сниженной сопротивляемости организма, либо при образовании молочницы. Появление прыщиков сопровождается повышенной температурой, образование язвочек во рту, возникновение налета серого цвета, который нужно своевременно удалять.
У грудничка, это возникает:
- При остром стоматите.
- Молочницы рта.
Если малыш грудного возраста, а прыщики возникли при прорезывании зубиков, беспокоиться не стоит, они пройдут быстро и без последствий. Их появление не приведет к возникновению дискомфортных ощущений.

Основные направления лечения
Лечение прыщей на десне у взрослого и ребенка назначает стоматолог после проведенных диагностических мероприятий. В ряде случаев достаточно полоскания, народных средств, устранения причины заболевания. Иногда терапия требует более серьезного подхода: используют лекарственные препараты для внутреннего приема, инъекции. В сложных случаях, а также при некоторых видах образований показано оперативное лечение.
Полоскание поможет избавится от проблемы
Жировик
Если на десне вскочил белый прыщ, это может быть жировик. Такое образование доброкачественное, в полости рта встречается редко. Состоит уплотнение из жировой ткани. Его размер может достигать 2,5 см в диаметре.
Жировики обычно безболезненные, имеют мягкую поверхность и прилегают к десне довольно плотно. Дискомфорта это уплотнение не доставляет. В некоторых случаях у человека во время еды может возникать чувство, что что-то прилипло к десне. Но чаще всего образование не дает о себе знать и обнаруживается не сразу.
Развитие жировика может спровоцировать постоянная травматизация десны. Например, если был неправильно установлен протез или брекет. А также причиной могут быть эндокринные заболевания. Большую роль играет наследственность.
При обнаружении жировика врач сначала наблюдает за ним. Часто подобные уплотнения самостоятельно начинают уменьшаться в размерах и полностью рассасываются. Хирургическим путем удалять жировик необходимо в том случае, если он увеличивается в размерах. А также если уплотнение часто повреждается. Это может спровоцировать его перерождение в злокачественную опухоль.
Медикаментозное лечение
То, как лечить прыщи на деснах, зависит от установленного диагноза и причины патологии.
| Диагноз (причина) | Показания для лечения | Возможные препараты |
| Кандидозный (грибковый) стоматит | Применяют полоскания, препараты местного назначения с противогрибковым действием, средства для приема внутрь в таблетированной форме и капсулах. Требуется соблюдения диеты – исключение сладостей и продуктов на основе дрожжей. | «Кандид» «Клотримазол» «Флуконазол» «Пимафуцин» |
| Герпетический стоматит | Помимо полосканий показаны противовирусные средства и препараты, повышающие иммунитет. | «Иммунал» «Интерферон» «Ацикловир» |
| Гнойные прыщи | Назначают антибактериальные препараты, в зависимости от сложности случая – таблетки или инъекции. Промывание гнойника противомикробными растворами. | «Таривид» «Метронидозол» «Линкомицин» (для промывания) |
Если при прыщах болит десна, назначают лекарственные средства в форме геля, содержащие лидокаин, например, «Камистад». Помимо обезболивающего действия, он оказывает противовоспалительный и противомикробный эффект. Аналогичными свойствами обладают: «Калгель», «Холисал», «Мундизал».
Киста
Белая шишка на десне может оказаться кистой. Она имеет круглую или овальную форму, в величину способна достигать нескольких сантиметров. Изнутри киста заполнена гнойными массами.
Это образование начинает свое развитие внутри десны, около зубного корня. Заболевание очень коварное. На начальной стадии его выявить практически невозможно. Только рентгеновский снимок может указать стоматологу на то, что внутри зарождается киста.
До того момента, пока образование незаметно визуально и не появился прыщ на десне с белой головкой, заподозрить кисту помогут такие симптомы:
- Трудно широко открывать рот.
- Во время надкусывания твердой пищи и в процессе пережевывания внутри десны возникают слабые неприятные ощущения.
- Чувство тяжести у основания зуба.
- Общая слабость.
- Повышение температуры.
- Увеличение лимфоузлов.
- Периодические болевые ощущения перерастают в постоянные.
Фактором, провоцирующим развития этого вида гнойника, в большинстве случаев является попадание инфекции в корневые каналы. К основным причинам относится:
- Запущенная форма кариеса. Без лечения возможно развитие воспаления в верхней части корня, происходит постепенное скопление гноя. Стремясь найти выход, он образовывает кисту.
- Каналы, которые были неправильно запломбированы. В том случае, если во время лечения стоматолог совершил ошибку, возможно развитие инфекции. Такое происходит в том случае, если канал не был полностью заполнен пломбировочным материалом. В пустом пространстве начинают скапливаться бактерии. Рано или поздно это приводит к образованию гноя, который будет искать выход. Произойти это может через несколько недель после лечения. Иногда проходят годы, прежде чем проблема даст о себе знать.
- Перфорация канала.
- Прогрессирующий пародонтит.
Лечение может проводиться как терапевтическим, так и хирургическим способом. Определить, что именно целесообразнее применить, способен решить только стоматолог. В качестве терапевтического лечения могут быть назначены антибиотики и полоскания в домашних условиях. В том случае, если лечение окажется неэффективным, кисту вскрывают хирургическим путем.
В некоторых случаях гной прорывается самостоятельно, образуя свищ на десне. Если причина воспаления не была устранена, патологический процесс около корня зуба будет продолжаться. Чем опасен свищ на десне, знает любой стоматолог. Воспаление начнет быстро распространяться на здоровые зубы. Постепенно оно поразит надкостницу. В дальнейшем может потребоваться серьезное хирургическое вмешательство. Если гной заденет мягкие части лица, врачу придется их удалить.
Оперативное лечение: как проводится удаление прыщика
Хирургического подхода к лечению требуют в основном кисты и флюсы, переходящие в абсцесс. На ранней стадии такие образования лечат консервативным путем, вскрывая полость зуба. Если же терапия не помогает, а состояние пациента ухудшается, прибегают к оперативному лечению. В общих чертах его можно описать следующим образом: анестезия, вскрытие гнойника, проведение антисептических и лечебных манипуляций, при необходимости – дренаж. В дальнейшем человек наблюдается у врача и выполняет его рекомендации: прием антибиотиков и других препаратов, промывание и полоскание, физиопроцедуры (по показаниям).
Так выглядит дренаж в стоматологии
В некоторых случаях хирургического подхода требует жировик. Если он не склонен к росту, то лечение не назначают – достаточно не травмировать его пищей, и он пройдет самостоятельно. При увеличении жировой липомы в объеме показано оперативное вмешательство.
Лечение белых прыщей на десне
Назначат следующее:
- При выявлении жировика либо стоматита – прописывают курс приема антибиотиков и полосканий.
- При молочнице – противогрибковую терапию.
- Для избавления от инфекционных прыщиков – противовирусные препараты.
- При обнаружении свища (кисты) – хирургическое вмешательство по удалению.
Следует помнить! Категорически запрещается производить самостоятельное воздействие. Это инфицирует соседние с прыщиками ткани, что приведет к серьезным осложнениям.
Общая медикаментозная терапия
Прекрасно подойдут следующие лекарственные препараты:
- Таривид.
- Норфлоксацин.
- Метронидозол.
Линкомицин прекрасно подойдет для полоскания. Потребуется раздробить таблетку, развести водой и при помощи шприца (пипетки) производить полоскание рта (свища).
Местная терапия
При невозможности посетить доктора, в домашних условиях можно сделать раствор с добавлением соли или соды (действие у них одинаковое) и не менее 3-х раз в день полоскать рот.
Процедура снимет воспаление, уничтожит микробы и подсушит место, где разместились прыщики.
Можно приложить следующие компрессы:
- Мелкую соль смешать с растительным маслом.
- Теплый настой из пихтового экстракта.
- К пораженному прыщиками месту приложить кусок листа каланхоэ.
- Производить обработку отваром листа лавра.
Используют очищающие пасты, в состав которых входят травяные настои, дубильные масла и антисептики.
После каждой чистки необходимо ополаскивать рот отваром ромашки, шалфея. Придерживаться правильного питания, в состав которого входят кальций, магний и различные минералы.
Хирургическое вмешательство
Гнойные прыщики лечат в зависимости от индивидуальных особенностей организма:
- При обнаружении на ранней стадии, производят вскрытие, очищение от гноя, обработка антисептиками. Назначается курс антибиотиков, помогающих избавиться от инфекции.
- Если недуг запущен, потребуется удаление (при сильном воспалении тканей).
- Если проблема возникла из-за плохо установленной пломбы, потребуется убирать ее, тщательно прочищать и устанавливать новую.
Народные средства
Использование помогает при начальной стадии развития прыщиков, в запущенной форме это не поможет. Такой способ дотянет время до посещения стоматолога.
Можно воспользоваться следующими вариантами:
- Домашние способы дотянут время до посещения стоматолога В равных пропорциях взять щавель, тысячелистник, календулу, одуванчик. Все тщательно измельчить. Добавить растительное масло, хорошо перемешать. Наносить на места, пораженные прыщиками, 3 р. в день.
- Берется 1 ст. л. ромашки, заливается кипятком (2 стакана), настаивается 3 ч. Накладывать на пораженные прыщиками места, смоченной в растворе ваткой. Если нет ромашки, можно заменить ее календулой, она прекрасно поможет при заболевании.
- Измельчить головку лука, добавить 10 табл. мумие, 1 ст. л. оливкового масла. Тщательно перемешать, смачивать кусочек бинта и прилаживать к заболевшему месту.
- Взять по 15 гр. календулы и земляники, залить кипящей водой, оставить на сутки. В полученном растворе смачивать ватку (бинт), помещать на поврежденное место. Держать не менее 40 мин., при необходимости брать другой бинтик. Пользоваться до исчезновения боли.
- Перекрутить на мясорубке листы алоэ, каланхоэ. Смешать с мелко нарезанным зубчиком чеснока. Смесь прилаживать на проблемное место на 10 мин.
Следует помнить! Перечисленные рецепты оказывают местное воздействие на прыщики, использовать, как самостоятельное исцеление не следует, т.к. последствия могут быть различными: кому-то поможет достаточно эффективно, кому-то нет.
Народные средства терапии
Использование народных методов в лечении прыщей во рту не только допустимо, но и желательно. Чаще всего – полоскания полости рта отварами и настоями лекарственных трав: ромашки, шалфея, хвои, лаврового листа. Процедуры нужно проводить регулярно после каждого приема пищи или чистки зубов. Для полоскания используют только теплую жидкость. Чтобы усилить эффект, травы можно чередовать.
Отвар ромашки отлично подходит для полоскания
Важно! Ни в коем случае нельзя прикладывать к больному месту горячий компресс или полоскать рот горячим раствором, если это не назначил врач! Часто пациенты, не имея времени (или желания) посетить стоматолога, пытаются прогреть прыщ, стимулируя его «созревание и вскрытие». Такое самолечение чревато серьезными осложнениями, вплоть до заражения крови и летального исхода.
Еще одним простым и эффективным средством является раствор соды и/или морской соли (допустимо использовать и поваренную). Такое полоскание быстро устраняет отек тканей, способствует снижению воспаления, оказывает подсушивающий эффект. Применяют метод в качестве дополнительного к основным назначениям.
Помните, что даже народные средства не должны применяться в качестве самостоятельных протоколов лечения. Необходимо посетить врача для постановки правильного диагноза и назначения лечения. Лекарственная терапия травами также должна быть определена стоматологом.
Народные методы
Домашние рецепты чаще используются в качестве вспомогательных средств, облегчающих боль в период обострения. Не стоит применять их для лечения прыщиков у новорожденного ребенка.
Народные рецепты:
- 1 стакан горячей воды+1 ч. л. соды. Этот раствор широко используется для домашних методов лечения зубной боли, кашля, молочницы. Он дезинфицирует и подсушивает пораженную поверхность. Полоскания назначаются 3 раза в день. Дольше 3 дней этот способ использовать не стоит, так как сода разрушает эмаль зубов.
- 1 луковица небольших размеров+10 таблеток Мумие+1 ст. л. оливкового масла. Ингредиенты перетираются в кашицу и наносятся на десну 3 раза в день. Снимает воспаление и ускоряет заживление.
- Измельченные листья алое. Кашицу из этого растения следует хранить в холодильнике. С ее помощью делают примочки на воспаленные места 2 раза в день.
- 100 гр кипятка+10 гр зверобоя+1 ч. л. меда. Траву заварить, дать настояться, затем процедить и добавить мед. Полоскать отваром 3 раза в день.
Прежде чем полоскать рот отварами и наносить самодельную мазь, необходимо запомнить, что делать их можно только на целостных участках.
Иначе нестерильный раствор или мазь домашнего приготовления может вызвать осложнения.
Особенности патологии и лечения в детском возрасте
Если прыщ на десне или около нее появился у ребенка, родителям нужно обязательно отвести его к стоматологу. Как правило, у детей подобные патологии возникают вследствие снижения иммунитета, недостаточной гигиены полости рта и рук, кариеса.
У грудничков прыщи на деснах могут появиться из-за дисбактериоза или аллергической реакции (например, во время первого прикорма). Недостаточно развитая иммунная система провоцирует развитие у них стоматита, молочницы, герпеса слизистой оболочки десен и рта, особенно во время прорезывания. Правильное лечение основано на диагностике и обнаружении причины повреждения. В целом оно аналогично терапии, которая назначается взрослым. Однако важно понимать, что у малышей (особенно у грудничков и в первые годы жизни) самостоятельное лечение категорически не приемлемо.
У грудничков прыщи на деснах могут появиться из-за дисбактериоза
Диагностика
Он проведет комплексную проверку, выяснит, какие болезни присутствуют, назначит соответствующую процедуру.
При увеличении прыщика в размерах, оно может быть консервативное (использование мазей, антисептиков или антибиотиков) либо хирургическое.
Для выявления характера, потребуется:
- Осмотр пациента.
- Рентгеновское обследование.
- При специфических инфекциях – взятие тканей на анализы.
Образование происходит при следующем:
- Простуде.
- При стоматите.
- Заболевания десны грибкового характера.
- Некачественно проводимой гигиены рта.
- Аллергической реакции.
- Проникновение инфекции.
- Механическом повреждении.
Запрещается вскрывать новообразования. До посещения врача можно полоскать рот настоем ромашки.
Профилактические меры
Чтобы на десне не вскочил прыщ, нужно придерживаться следующих профилактических рекомендаций:
- регулярно и правильно ухаживать за зубами, используя индивидуально подобранные средства,
- посещать стоматолога для профосмотра, не допускать наличие кариеса и других патологий,
- своевременно обращаться к врачу при появлении любых нарушений со стороны зубов, десен,
- повышать иммунитет,
- обеспечить сбалансированный рацион.
И напоследок хочется отметить, что процесс выздоровления зависит и от режима дня, настроения человека. Достаточный сон, полноценное питание, прогулки на воздухе, оптимизм – гарантия быстрого излечения и профилактика осложнений.
Флюс
Патологический воспалительный процесс, затрагивающий корень зуба, называется флюсом. Сопровождается он появлением воспаленного красного или гнойного белого прыща на десне.
Причиной его образования является проникновение через кариозную полость инфекции в пульпу. Первое время процесс сопровождается интенсивными болевыми ощущениями. Постепенно пульпа отмирает. Боль прекращается, и пациент не спешит посещать стоматолога.
Воспалительный процесс продолжает развиваться и дальше, но уже скрытно, затрагивая кости челюсти. Количество гноя увеличивается. Он начинает скапливаться под надкостницей, ища выход наружу.
Спровоцировать развития флюса способны следующие причины:
- Проникновение в десну болезнетворных организмов во время проведения анестезии.
- Пародонтоз и несоблюдение норм гигиены ротовой полости.
- Ангина.
- Переломы и травмы надкостницы.
- В том случае, если у больного снижен иммунитет, привести к развитию флюса способна даже небольшая язвочка на десне.
Диагностировав флюс, доктор назначит антибиотикотерапию. Кроме этого, он порекомендует домашние полоскания. Для этого могут быть использованы народные рецепты или аптечные препараты. Например, полоскать рот хлоргексидином, как и при воспалении десен, при флюсе также достаточно эффективно. Хирургическое вмешательство производится в том случае, если медикаментозная терапия была неэффективна.
Способы вывести
Если врач понимает, что у пациента жировик, то назначается поддерживающее лечение, направленное на его устранение. Пригодятся антибактериальные препараты, полоскания антисептиками, если ребенок маленький, посоветуют купить аэрозоль.
Если причиной стала инфекция, а внутри очага содержится гной, назначают антибиотики, противовоспалительные препараты. При грибковой природе, которая встречается редко, положены противогрибковые препараты.
При свище или кисте назначают операции. Разрезают поверхность нароста, убирают гной, обрабатывают препаратами и ждут заживления.
Испытываете ли волнение перед визитом к стоматологу?ДаНет
Если родители ребенка хотят попробовать народные методы, укрепить иммунитет, приобрести травы и прополоскать рот, они должны проконсультироваться с лечащим врачом.
Грибковый стоматит
Грибки Candida присутствуют в небольшом количестве на слизистой любого здорового человека. Дискомфорта или каких-то проблем они не вызывают. Но снижение иммунитета, прием антибиотиков, патологии кишечника и недостаточная гигиена ротовой полости могут стать причиной стоматита у взрослых.
Основными признаками грибкового поражения слизистой ротовой полости являются:
- белый налет;
- зуд;
- появление язвочек;
- металлический привкус;
- развитие эрозий под налетом;
- трещины в уголках рта;
- белые заеды.
Для лечения могут быть назначены таблетки «Флуконазола», «Пимафуцина» или «Нистатина». Неплохой эффект дает обработка слизистых кремом «Клотримазол». Для более быстрого излечения придется соблюдать диету: исключить сладости и продукты с дрожжами.
Гнойник, который не болит
Если человек страдает от сильной боли, которую провоцирует гнойник, то он наверняка обратится к стоматологу. Однако из-за небольшого образования, внешне напоминающего гнойник, которое не причиняет боли и неприятных ощущений, люди не спешат обращаться к специалисту. Такое поведение совершенно неправильно, ведь гнойничок может очень быстро развиться в намного более проблемное образование.
Причины того, что гнойники не вызывают боли, могут быть различными.
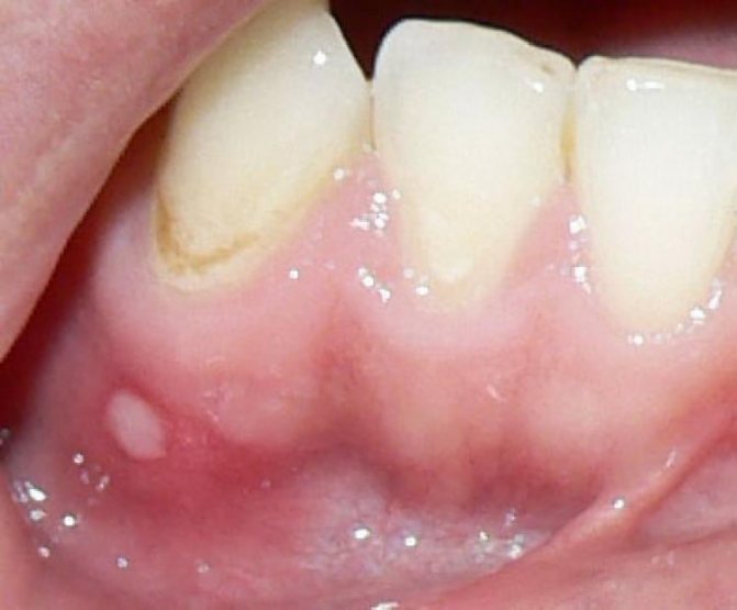
Небольшие образования белого цвета – возможно, киста
Такое образование может оказаться кистой. Она отличается практически полным отсутствием каких-либо симптомов, в том числе болезненных ощущений. Представляет собой законсервированный внутри десны гнойник, который не может выйти наружу.
Киста несет большую опасность своими осложнениями, поэтому врач обязательно должен назначить рентгенографию. Возникнуть она может вследствие простуды тканей десны и зуба, инфицирования тканей и зубных каналов и многого другого.
Доброкачественная опухоль или жировик
Похожа на кисту – как небольшое по размеру уплотнение. Жировик, согласно названию, состоит из жировой ткани. Он не является опасным до того времени, пока не начинает увеличиваться. После его обнаружения следует обратиться к врачу с целью фиксации существующих размеров и дальнейшего наблюдения.
При росте жировиков, смене формы и окраски необходим срочный осмотр специалистом. Ни в коем случае нельзя самостоятельно пытаться от него избавиться, стремиться к тому, чтобы гнойник на десне лопнул, или совершать по отношению к нему какие-либо иные действия. Это может запустить активный процесс роста.
Красноватый гнойничок
Вероятней всего, такое образование говорит о том, что в десне начался процесс воспаления. На ранней стадии такие гнойники не дают боли и могут быть успешно вылечены с помощью антибиотиков и специальных полосканий.
Однако развитие воспаления может привести к хирургическому вмешательству, потере зуба и даже более серьезным осложнениям.
Запрещено греть место образования гнойника и проводить полоскания горячими растворами, так как это может усугубить процесс и активизировать его.
Воспаление корня
Чаще всего при этом отсутствует боль, потому что это образование является одновременно свищевым ходом, через который отходят излишки гноя.
Выход гноя не означает, что можно пустить все на самотек и не обращаться к врачу, так как последствия могут оказаться очень тяжелыми, например, переход в открытую форму, дальнейшее инфицирование близлежащих тканей и прочее.
Методика лечения
Давайте разберемся, как лечить прыщ на десне?
Врач примет решение о максимально эффективном лечении только после того, как будет установлено, какой вид образовался в ротовой полости.
Если на десне присутствует жировик, за пациентом будут постоянно наблюдать.
Часто жировики исчезают без какого-либо лечения. Но при активных видоизменениях, естественно, понадобится оперативное вмешательство.
С герпетическими высыпаниями необходимо бороться при помощи:
- противовирусных мазей;
- растворов для полоскания с антисептическими веществами;
- препаратов, благодаря которым удается подавить вирусную активность.
Также пациентам проводится обработка ротовой полости средствами, которые удаляют омертвевшие клетки. Если метод лечения будет подобран правильно, через несколько дней от высыпаний ничего не останется.
Для избавления от гнойных прыщиков понадобятся препараты:
- антибактериальные;
- противовоспалительные.
Помимо этого больной должен полоскать рот растворами с антисептическим действием, а также проходить физиотерапию. При серьезном ухудшении ситуации назначается резекция десны, суть которой заключается в разрезании гнойника и удалении содержимого.
Лечение кисты на десне лазером
Лечение белых прыщей предусматривает применение средств с обезболивающим, антисептическим и противовоспалительным свойствами. Также понадобятся препараты, которые поспособствуют заживлению слизистой.
Больше времени требуется на устранение кисты. Чтобы вывести гной, сначала разрезается десна. Потом врач использует метод лечения с учетом того фактора, который спровоцировал появление образования.
Если прыщ возник в результате удаления зуба, тогда производятся следующие действия:
- Очищается лунка.
- Полость проверяется на наличие ненужных частиц.
- В рану ставится дренаж.
- Для обработки полости используются антисептики.
Если кисту вызвала плохая чистка каналов, врач сначала убирает ее при помощи лазера, потом повторно выполняет пломбировку.
Важно! Многие стоматологи рекомендуют своим пациентам воспользоваться народными средствами, но только в качестве дополнения к основному лечения.
Ни в коем случае нельзя думать, будто если на десне выскочил прыщ, ничего страшного не произошло. Тем более нельзя самостоятельно от них избавляться. Выдавливание гнойников спровоцирует серьезное осложнение. Особенно это касается детей. Если родители замечают у малыша нежелательную припухлость, следует незамедлительно обратиться за врачебной помощью.
Профилактика образований на деснах у детей!
Чтобы у ребенка не возникло проблем с деснами, родителям следует соблюдать следующие рекомендации:
- чистыми руками периодически осматривать рот ребенка;
- соблюдать правила личной гигиены (если ребенок взрослый, приучать его к ежедневной чистке зубов, перед кормлением младенца дезинфицировать емкости для кормления и соски при грудном вскармливании);
- следить за тем, чтобы ребенок не переохлаждался;
- снабжать рацион питания достаточным количеством витаминов, фруктов, овощей и злаков.
Не стоит заниматься самолечением и пытаться справиться с возникшей проблемой без медицинской помощи. Это может быть не только неэффективным, но и опасным для ребенка. Даже при возникновении на десне малыша маленькой припухлости, необходимо сразу обратиться к врачу.
Виды уплотнений
Как уже отмечалось образования, локализующиеся на деснах, могут иметь различные качественные и составляющие характеристики. Чаще всего встречаются такие типы уплотнений:
- Жировик или липома. Образование, состоящее из скопления жировой ткани, отличается оно тем, что имеет склонность к очень медленному росту. По своей консистенции жировик мягкий и плотно прилегает к десне, его поверхность выглядит как бугорок белого окраса. Обычно жировик не приводит к формированию необычных и дискомфортных ощущений, поэтому выявляется не всегда своевременно. Он не представляет для здоровья человека никакой опасности, однако в случае травмирования может произойти серьезное поражение тканей десен.
Если внешний вид липомы не претерпит изменений, он не нуждается в медикаментозном лечении, если же развитие событий противоположное нужно не терять времени и обязательно обратиться за консультацией к стоматологу.
- Киста. Данное патологическое состояние считается нагноением, которое находится в стабильной фазе. Опасное оно тем, что может стать причиной разрушения зубного корня и костной ткани. С целью определения локализации кисты используют рентгенологическое исследование. Особенностью кисты считается то, что она в течение длительного времени может не проявлять себя. Она может появиться чаще всего в результате предоставления некачественных стоматологических услуг.
- Гнойные наросты. Формируются они в большей части случаев в результате сложного процесса удаления зуба (при искривлении корня или в случае присутствия осколков).
- Свищ (флегмона). Характеризуется воспалительным процессом гнойного характера, который локализуется на деснах и сопровождается болью. Его локализация может быть как внешней, так и внутренней. Именно внешнее расположение по своему наружному виду напоминает прыщик. Причиной формирования флегмоны считается предварительное инфицирования десен, киста, наполненная гнойным экссудатом, осложненное течение кариеса и периодонтита. Характеризующей особенностью свища считается то, что он не обладает способностью саморозсасываться. Объясняется это глубоким расположением патологического процесса в деснах.
- Стоматит. Герпетическое течение заболевания сопровождается формированием небольших прыщиков, которые напоминают пузыри. После перфорации они превращаются в язвы и в течение длительного времени могут гноиться.
Кандидозный стоматит сопровождается появлением налета белого цвета и жжением в полости рта.
Маленький белый прыщ на десне
Язвенный стоматит характеризуется воспалительным процессом слизистой оболочки чрезвычайно сильной интенсивности.
- Воспалительный процесс гнойного характера. Данное патологическое состояние обычно сопровождается формированием гиперемированных прыщиков. Особенностью таких прыщей считается то, что они могут рассасываться самостоятельно или разрастаться до очень большого объема, будет зависеть ход данного патологического процесса от локализации образований. В случае отсутствия лечения гнойный прыщ может привести к разрыву внутренних тканей и попаданию гнойного экссудата в мозг.
Возможные причины
Инфекции полости рта
Инфекции являются основной первопричиной для большинства остальных условий, описанных ниже. Их можно объяснить плохой гигиеной ротовой полости и стоматологическими условиями. Вирусные или бактериальные инфекции могут вызывать язвочки, хотя они обычно длятся недолго, а также приводить к абсцессу зуба и воспалительным заболеваниям тканей пародонта.
Если не поддерживать гигиену полости рта между зубами и деснами, образуется благоприятная среда для бактерий. Кроме того, ношение зубных протезов может способствовать инфекции. Необходимо регулярно чистить зубы, чтобы избежать накопления бактерий.
Воспаление десен
Воспалительные болезни десен, такие как гингивит и пародонтит, могут вызывать небольшие припухлости и покраснения по линии десен, что некоторые люди иногда называют прыщами.
Основной причиной является скопление бактерий между зубами и на мягких тканях ротовой полости из-за плохой гигиены. На ранних стадиях это легко лечиться, достаточно начать регулярно чистить зубы, использовать зубную нить (очень важно) и полоскать рот соленой водой. Если заболевание уже запущено, то нужно обратиться к стоматологу, так как существует риск даже потерять зубы.
Стоматит
Стоматит Язвочки во рту, возникающие в виде мелких светлых пятен, могут быть стоматитом. Они обычно появляются как красные воспаленные ямочки (язвы), часто ошибочно называемые прыщиками, которые по краям имеют белый или желтый центр. Эти язвочки называют афтами.
Стоматит обычно сопровождается жгучей болью, которая может ухудшиться во время употребления кислой еды или напитков. Поэтому нужно отказаться от ее приема во время заболевания.
Легкие случаи должны пройти самостоятельно в течение недели. Но если дело серьезное, лечение должно включать: полоскания рта, местные и пероральные препараты для уменьшения воспаления и боли. Домашнее средство включает полоскание рта соленой водой.
Гипертрофия десны
Гипертрофия или фиброматоз десен – разрастание тканей десен, связанное с генетическими нарушениями. Чаще встречается у взрослых, но может наблюдаться даже в маленьких детей. В большинстве провоцирующим фактором выступает гингивит. В свою очередь это может быть связано с плохой гигиеной полости рта, курением или заболеваниями слизистых. Невоспалительные состояния, которые могут вызывать увеличение десен, включают гормональные нарушения (половое созревание, беременность, менопауза и т. д.), цингу, системные заболевания, расстройства крови и как побочный эффект при использовании определенных лекарств.
После удаления зуба
Припухлости на деснах, которые появляются после удаления зуба, не должны быть причиной для беспокойства и вызывать боль. Часто эти шишки заполнены кровью. Это нормально, так как вскоре после удаления начинается заживление.
Но если проблема не проходит и сопровождается болью, то это может быть признаком присоединения инфекции.
После депульпирования зуба
Обычным явлением является возникновение образования, напоминающего прыщ, после удаления нерва (депульпирование). Обычно развиваются небольшие приподнятые пятна на деснах или в промежутках между зубами после лечения корневых каналов. Они являются признаком здорового процесса восстановления. Такие образования безболезненны. Если Вы испытываете боль, следует посетить стоматолога для осмотра и лечения.
Курение
Активное курение также является еще одной причиной прыщей на деснах. Эта вредная привычка увеличивает риск возникновения заболеваний ротовой полости. Как правило, курение ослабляет иммунную систему. Кроме того, у курильщиков прыщи на деснах, обычно заживают длительное время.
Рак
Рак ротовой полости Рак десен является редким заболеванием относительно других форм этого заболевания в ротовой полости. Но иногда он может быть причиной страшных образований в виде шишек или прыщей. Если Вы подозреваете, что шишка на деснах может быть раком, следует обратиться к врачу для диагностики.
Зубной абсцесс
Абсцесс зуба – это накопление гноя внутри самого зуба или в окружающих его тканях, что в дальнейшем часто проявляется в виде светлого либо красного вздутия на десне на уровне зубного корня. На пораженной области обычно наблюдается также покраснение, боль и чувствительность. Причиной является бактериальная инфекция.
Кандидоз
Кандидоз (молочница) Белые, иногда приподнятые немного, пятна, появляющиеся во рту и горле, могут быть кандидозом (молочницей). Это грибковая инфекция, вызванная дрожжами. Маленькие участки этой инфекции также можно принять за прыщи. Главной причиной появления данного заболевания является ослабление иммунитета.
При прорезывании зубов
Киста прорезывания Перед тем, как вырастет новый зуб, в этой области может возникать так называемая киста или гематома прорезывания на десне. Это обычно встречается у детей. Жидкость внутри кисты может быть прозрачно, что делает образование бледным, но чаще всего такие шишки синие.
Киста не представляет опасности и обычно лопнет самостоятельно по мере роста зуба. Но иногда врач может порекомендовать вскрыть ее.
Другие причины:
Другие причины включают:
- Герпес (вызывает герпетический стоматит, обычно у детей после заражения).
Лечебные полоскания
При появлении любых язв или белых прыщей на десне необходимо сразу же обращаться за помощью к стоматологу. Доктор проведет диагностику и определит заболевание и его причину. Если потребуется, он выполнит хирургическое удаление образования.
Самостоятельно назначать лечение нельзя. Только с разрешения стоматолога в комплексной терапии можно использовать полоскания. Чем полоскать белый прыщ на десне, должен подсказать стоматолог. Чаще всего используется:
- хлоргексидин в чистом виде;
- содо-солевой раствор (по пол чайной ложки каждого сыпучего вещества залить стаканом кипятка; как только жидкость остынет, ее можно использовать);
- настой из цветков ромашки;
- отвар из дубовой коры и шалфея;
- раствор с натуральной морской солью;
- настой из смеси ромашки и календулы.
Для приготовления травяных настоев столовую ложку сухого сырья заливают кипятком и настаивают. Через 3 часа процеживают и используют для полоскания. Процедуру необходимо повторять не менее трех раз в день.
Налет как симптом стоматита
Одной из возможных причин появления во рту малыша белых пятен, прыщей или налета, как говорилось раньше, является стоматит. Например, в случае дрожжевого (грибкового) стоматита налет или точки на языке и деснах напоминают творог. Протекание болезни сопровождается повышенной капризностью ребенка и отказом от еды.
Спровоцировать стоматит способны:
- эмоциональный стресс;
- вирусная инфекция;
- пищевое отравление;
- воспалительный процесс;
- ослабленный иммунитет матери;
- прием мамой антибиотиков.
Слизистая грудных детей еще является очень чувствительной и подверженной инфекциям. Один же из способов познания мира малышами – это попробовать все на вкус. Они многое тянут в рот и могут легко занести инфекцию. Также если они просто прикусят щечку, образуется ранка, туда тоже с легкостью поникают микробы.
Врачи выделяют несколько типов стоматита:
- Вирусный. Он возникает на фоне инфекционных заболеваний, которые в свою очередь вызваны вирусами. Например, герпес, корь, ветрянка, скарлатина, отит.
- Грибковый. Еще его называют молочницей. Вызвать его способен грибок Candida. В норме он присутствует в пищеварительном тракте здорового ребенка, поэтому ему больше подвержены недоношенные дети или малыши с пониженным иммунитетом.
- Бактериальный. Он сопровождается гнойными пузырьками во рту, также у крохи повышается температура. Например, бывает афтозный стоматит (рекомендуем прочитать: симптомы афтозного стоматита у детей с фото и методы лечения). Его причины – различного рода патогенные микроорганизмы.
Какой врач лечит болячки на десне?
Раз причин образования высыпаний много, а симптоматика зачастую схожа, определять недуг и назначать лечение должен только врач. Если образованию язвочек на деснах предшествовало лечение, экстракция зубов, процедуры отбеливания, чистки, протезирование, имплантация, то следует обратиться к стоматологу. В зависимости от диагноза, устранением проблемы занимаются терапевт или пародонтолог.
В остальных ситуациях можно отправиться на прием к обычному терапевту. Наличие высыпаний, налета, язв на слизистой оболочке, сопровождающееся болью необходимо лечить медикаментозно. Осмотрев пациента, терапевт либо сам назначит курс, либо направит к профильному специалисту.
Белое пятно на десне требует точного диагностирования. Врач проводит визуальный осмотр, выслушивает жалобы пациента, при необходимости назначает соскоб.
Исходя из результатов, устранить проблему помогут следующие манипуляции:
- Проведение профессиональной гигиенической чистки (удаление мягких и твердых отложений).
- Лечение пораженных зубов.
- Применение аппликаций, ванночек, полосканий различными антисептическими средствами. Подробнее про ополаскиватели для зубов→
Рассмотрим способы лечения распространенных заболеваний.
- Образование инфекционных очагов (гранулемы, кисты) устраняют хирургическим и терапевтическим методами. Первый вариант подразумевает удаление патологий вместе с частью корня. Терапевтическое лечение проводится также несколькими методами. Классический способ – это вскрытие каналов, очищение ходов, промывка антисептическими растворами, заполнение специальной лечебной пастой. Инновационные методики предполагают применение аппаратуры и медикаментов, позволяющих полностью уничтожить микробы в очаге.
- Лечение лейкоплакии заключается в устранении раздражающих факторов. Доктор организовывает правильную гигиену полости, проводят консультации с профильными специалистами. Лечение осуществляется витаминными препаратами и кератолитическими средствами.
- Грибковые поражения в виде налета и язвочек на деснах требуют комплексной терапии. Она включает в себя санацию, противогрибковые препараты, обработку пораженных участков антисептиком. Также пациенту рекомендуют придерживаться специальной диеты.
- При заболеваниях тканей пародонта обязательно назначают гигиеническую чистку. До тех пор, пока не устранят налет, кишащий бактериями, вылечить десна не получится. В зависимости от степени поражения, пациенту назначают полоскания, ванночки, аппликации, медикаментозную и аппаратную терапию.
Специалисты обращают внимание на тот факт, что если устранить причину появления на деснах белых язвочек, то пациент выздоравливает. Лечить только симптомы неправильно.
Что делать
Чтобы грамотно назначить терапевтические мероприятия, врач обязательно осматривает пациента. Он должен определить, какова природа недуга. Поэтому, обращение к доктору обязательно. Лечение высыпаний разных видов отличается существенно. При шарике с гноем назначаются антибиотики и дезинфицирующие препараты. Гнойник вскрывается и устанавливается дренаж. Вирусные поражения убираются специальными гелями и мазями, кандидозные — антимикотическими препаратами. Важно обратиться к квалифицированному специалисту.
Пародонтология в Санкт-Петербурге практически всегда востребована, так как прищы появляются более, чем у 15 процентов стоматологических больных. Зачастую назначаются иммуномодулирующие средства в составе комплексного лечения. Могут использоваться полоскания и ванночки. Быструю помощь окажут стоматологические гели с хлоргексидином и метронидазолом. Они применяются и в детской практике после 6-ти лет.
Лечение в домашних условиях
При появлении прыща в вечернее или ночное время, когда невозможности нанести визит стоматологу, дискомфорт и боль снимаются простыми подручными средствами. Лечить воспаление десны можно посредством морской соли и воды. Раствором полощут рот несколько раз. Также используют раствор пищевой соды. Он бережно убирает воспаление, устраняет патогенные микроорганизмы и подсушивает появившуюся шишку. Для скорейшего созревания гнойника и выхода стержня прикладываются такие компрессы:
- Из мелкой соли и обычного растительного масла;
- Из концентрированного раствора пихты в теплом виде;
- Из листочка каланхоэ, предварительно размягченного;
- Из отвара лаврового листа, которым пропитан тампон;
Чтобы не допустить недуга, займитесь профилактикой! Хорошо себя зарекомендовали специальные пасты с экстрактами трав, антисептическими компонентами и дубильными маслами. Заканчивайте каждую чистку ополаскивателем на основе хвои, шалфея, ромашки. Сильный иммунитет вырабатывается при сбалансированном рационе с необходимым количеством магния, кальция и других минералов.
В стоматологии
Когда проблема герпетической природы, врачи могут назначать такие таблетки, как ацикловир, изопринозин, анаферон. Вирус блокируется ими изнутри, размножение подавляется на уровне клетки. Пациенты принимают и витаминные комплексы, и экстракты эхинацеи. Рецидив предотвратит иммунал – современный гомеопатический препарат. Если экссудат уже вышел, хорошо обрабатывать слизистую зовираксом, а также проводить полоскания для обеззараживания. Обращайтесь в наш центр. У нас разумная стоимость лечения зуба и всегда качественные результаты.
Стоматиты, чаще всего, лечатся противогрибковыми препаратами, типа пимафуцин или леворин. Полость рта обрабатывается раствором кандид, а также гелем кетоконазол или миконазол. Шишка с гноем может вскрываться стоматологом для удаления стержня. Фурацилин применяется для промывания раны, а для орошения малавит или хлоргексидин. Стоимость этих препаратов доступная.
Если у вас возникла такая проблема, как прыщ, никогда его не грейте. Обратитесь к специалисту! Только он назначит рациональное и действенное лечение!
Герпетический стоматит
Спровоцировать развитие стоматита способен вирус герпеса. Во время первого заражения заболевание проявляется в острой форме. Без адекватного лечения оно быстро преобразуется в хроническую.
Чаще всего у детей происходит заражение в возрасте до трех лет, на фоне снижения иммунитета. В организм вирус способен попадать разными способами. Например, чрез кожу и слизистые или воздушно-капельным путем.
Начало заболевания сопровождается интоксикацией, рвотой и тошнотой. Через два дня на слизистой ротовой полости появляются прыщики. После того как они лопаются, образовываются язвочки на деснах, внутренней стороне щек и губ.
У взрослых обычно болезнь протекает тяжелее, чем у детей. Этому способствуют различные заболевания полости рта и курение. Независимо от того, какого возраста пациент, назначается противовирусная терапия и местное обезболивание.
В качестве анестезирующего средства нередко назначают гель «Лидохлор» или спрей «Лидокаин Асепт». Для борьбы с вирусом используют «Ацикловир», «Зовикаркс» и оксолиновую мазь.
Последствия
Тяжесть последствий не произведенного вовсе или не вовремя проведенного лечения совершенно не зависит от размера абсцесса. Он может быть диаметром как в несколько миллиметров, так и до полутора–двух сантиметров.
Если сегодня на десне появилось подобное образование, следует без промедления обратиться за медицинской помощью. Во многих случаях для этого не нужно даже дожидаться утра, ведь процесс роста может быть очень активен. Это значит, что на следующий день гнойник может вырасти до критической величины.
Запущенные формы заболевания могут стать причиной общего заражения крови. При развитии заболевания оно может также перерасти в хроническую форму пародонтоза. При этом нагноение утрачивает четкую локализацию и распространяется уже на всю десну.
Иногда такие абсцессы со временем переходят в следующую стадию – флюс. Тогда воспаление распространяется целиком на всю щеку.
Стоит помнить и о том, что в непосредственной близости располагаются лицевые мышцы и нервы, а также мозговые оболочки, которые тоже могут пострадать от распространения и активизации инфекционного гнойного процесса.
Лечение в стоматологическом кресле
Вскочившие прыщики осматриваются врачом визуально, иногда стоматолог предложит дополнительно уточнить их природу рентгенографией. При подозрении на стоматит — одну болезней которая обозначается бугорком, врач возьмет мазок. Определив почему появился бугорок, стоматолог выбирает одну из программ лечения.
- Жировики часто проходят сами собой. Врач посоветует с белой «проблемой» разобраться хирургическим путем, только если она растет в размерах. С белым бугорком легче справится, чем со следующими болезнями.
- Гнойный прыщ лечат с применением антибактериальных и антисептических лекарств. Используются мази и средства, снимающие воспаление и заживляющие слизистую.
- Белая киста нуждается в более тщательном лечении. От гнойных прыщей избавляются таким образом: сначала разрезается десна зуба и удаляются оттуда гнойные содержания. Если проблема в плохо запломбированных каналах – их сначала распломбируют, кисту выжигают лазером, затем все пломбируют обратно. Прыщ, выскочивший из-за удаленного зуба также убирают, лунку очищают и лечат антисептиком.
- Стоматит и герпес лечат антисептическими растворами (ими полощут рот), противовирусными лекарствами.
Причины появления
Причин возникновения гнойника в ротовой полости на десне несколько. Назвать стоит лишь две основные из них. Дело в том, что появление этих причин обусловлено наличием многих факторов, в каждом случае разных.
Инфекционный очаг на вершине зубного корня
Подобное заболевание, при котором происходит образование и развитие очага острой инфекции у корня, называется периодонтитом.
Основными факторами, влияющими на его развитие, являются:
- кариес, который не вылечили своевременно;
- пульпит в запущенной форме, не подвергавшийся лечению;
- некачественно проведенные стоматологом лечебные манипуляции – неполная чистка каналов зуба и недостаточная их пломбировка, что происходит довольно часто.
На начальном этапе гнойник появляется внутри десны. Длительное время нет совершенно никаких симптомов, поэтому диагностика сильно затруднена. Хотя уже в это время возле корня образуется гранулема или киста. Эти два новообразования разнятся по своей природе, но возникают по схожим причинам.
Если образование становится заметным на внешней стороне десны и появляется острая боль, значит произошло обострение заболевания. Оно может быть вызвано очень многими факторами, такими как стресс, простуда, вирусная инфекция в организме, общее ослабление иммунитета.
Пародонтит или воспаление десен
При этом заболевании между поверхностью зубного корня и самой десной образуется разной глубины карман, который называют пародонтальным. В таких карманах есть зубные поддесневые отложения. Они в конечном итоге и являются главной причиной того, что в десне начинаются воспалительные процессы и нагноение.
Часть десны, которая непосредственно примыкает к зубу, становится отечной и может слабо кровоточить. Иногда из нее может выделяться некоторое количество гноя при надавливании и самопроизвольно.
Если карман образуется очень глубоким, это может быть причиной отсутствия оттока из него гноя. Тогда в десне и формируется гнойный абсцесс. В случае его появления можно заметить в месте, где находится проекция кармана, припухлость в виде гнойника.
Сколько времени болит зуб после пломбирования и когда «уже пора» вновь идти к стоматологу?
На этой странице вы узнаете, как лечить пародонтоз в домашних условиях.
В следующем видео вы узнаете одну из возможных причин появления абсцесса:
К возникновению на десне гнойника могут привести и другие причины, например, заболевания желудочно-кишечного тракта, постоянный налет на зубах и языке и прочее, но все они впоследствии приводят к двум вышеописанным.
Особенности лечения у ребенка
Лечение гнойников на деснах у детей может отличаться от лечения того же заболевания у взрослых людей. Это обусловлено тем, что у детей зубы могут быть как коренным, так и молочными.
В случае возникновения гнойного образования около молочного зуба сам гнойник лечится таким же образом, как и у взрослого человека. А вот зуб обязательно подлежит удалению.
Дело в том, что воспаление может затронуть здоровые зачатки постоянных коренных зубов, сделав их нежизнеспособными, и разрастись дальше.
Уже выросшие коренные зубы, возле которых возник гнойник, на начальных стадиях подлежат обязательному лечению – такому же, как у взрослых.
Несвоевременный визит к врачу может спровоцировать общее заражение, воспаление лимфатических узлов, находящихся рядом, и прочие неприятные последствия. Обязательно нужно проследить за тем, как ребенок выполняет положенные гигиенические процедуры.
Не прыщики, а… зубы!
В некоторых случаях маленькие белые прыщики могут быть твердыми на ощупь. Если их потрогать, они будут напоминать кость. Многие мамы пугаются, заметив подобное образование в ротовой полости у грудничка. Они полагают, что раз эта шишка не является обычным прыщом, то наверняка она представляет собой опасную опухоль. Однако белая шишечка может оказаться ничем иным, как зубом!
Неонатальные зубки
Развитие зубов у эмбриона начинается приблизительно на 7 неделе беременности. К 13 неделе у плода уже присутствуют зачатки зубов в деснах. Младенец появляется на свет с голыми деснами, первые зубки начинают резаться ближе к 6 месяцам.
Однако 1–2% новорожденных рождаются с зубами, или они появляются в первые недели жизни. Неонатальный зуб выглядит как маленькая белая твердая точка, которая со временем будет увеличиваться в размерах. Десна вокруг такого зубика может быть опухшей, но обычно никаким воспалением появления такого «торопыжки» не сопровождается.
Стоит ли беспокоиться, если у малыша появился неонатальный зуб? В первую очередь необходимо обратить внимание на его расположение. Насторожить должно, если зубик режется не в десне, а в небе. В таких случаях его необходимо удалять у стоматолога.
Вторая причина, по которой может потребоваться удаление, – чрезмерная хрупкость и подвижность зуба ввиду несформированности корня. Он легко крошится, выпадает раньше положенного и может попасть в дыхательные пути младенца. Если же неонатальный зуб не причиняет неудобств, дантисты рекомендуют его оставить.
Молочные зубы
Родители ждут появления первых молочных зубов ближе к полугоду. Однако белый плотный бугорок может показаться из десны намного раньше – в 4 или даже в 3 месяца. Что влияет на столь раннее прорезывание молочных единиц:
- наследственность;
- условия жизни и питание;
- особенности обмена веществ.
Нужно ли беспокоиться, если зубки начали расти слишком рано? Стоматологи считают отклонение в 3–4 месяца от средних сроков прорезывания нормой. При появлении белой точки на десне, которая могла бы быть зубиком, необходимо показать малыша дантисту. Если это не лишний зуб, то ничего делать с ним не нужно.
Как лечить?
Жировики обычно проходят самостоятельно, но развитие требует постоянного наблюдения у врача.
Герпес лечится с помощью противовирусных лекарств и антибактериальных средств для ополаскивания рта. Кроме этого, назначают препараты, которые очищают десна от омертвевших частичек. Стоматит лечится противогрибковыми или противовирусными средствами. Гнойники часто удаляют, чтобы вывести содержимое прыща. После рот обрабатывают антисептиками. Кисту надо вырезать с поверхности десен. После проводят очищение и обрабатывают антисептическими препаратами.
Используют такие средства:
- «Камистад»;
- «Мараславин»;
- «Листерн».
Травматический или бактериальный стоматит
Повреждение слизистой оболочки может стать причиной стоматита у взрослых. У здоровых людей травмы проходят бесследно и быстро. Но в том случае если иммунитет снижен, а в ранку попала инфекция, возможно развитие бактериального стоматита. На деснах или слизистой щек могут появляться гнойнички, эрозии, ранки и язвочки.
Бактериальный или травматический стоматит возникает в том случае, когда мягкие ткани часто травмируются в одном и том же месте. Такая ситуация не редкость у тех детей и взрослых, которые носят брекеты. Длительное трение замка о слизистую рано или поздно спровоцирует развитие травматического стоматита. Единственной эффективной профилактической мерой в этом случае является использование специального воска.
К другим распространенным причинам развития стоматита относится:
- частое травмирование языка семечками;
- обкусывание внутренней части щек или губ;
- привычка держать во рту различные предметы, например, карандаши или скрепки;
- постоянная травма щеки осколком зуба, пломбы или неправильно установленным протезом.
Для лечения этого вида стоматита в первую очередь необходимо избавиться от причины, травмирующей слизистую. Ранки и язвы можно обработать синькой или перекисью. Для того чтобы повреждения слизистой смогли быстрее зажить, их рекомендуется смазывать маслом шиповника или облепихи.
Профилактика заболеваний десен
Основные профилактические меры по предупреждению болезней зубов и десен:
- Следить за гигиеной рта. Не реже одного раза в три месяца менять зубную щетку. Дважды в день чистить зубы.
- Полоскать зубы после каждого приема пищи.
- Регулярно посещать стоматолога для осмотра ротовой полости. Врач увидит проблему раньше, чем пациент успеет ее почувствовать.
- Пить достаточно воды – взрослым 1,5 литра, детям после 6 лет – не менее 1 литра в день.
- Контролировать количество сахара в пище.









Флюс на десне может вызывать болевые ощущения
Герпес на десне





