Одним из редко встречающихся пороков сердца является аномалия Эбштейна. Это врожденное заболевание, при котором сердца перемещен в правый желудочек, хотя он должен находиться на границе между желудочком и предсердием. Он расположен значительно ниже по току крови.
Анатомические особенности
Аномалия Эбштейна приводит к тому, что полость правого желудочка становится меньше, а правого предсердия — больше нормы. также отличаются. Они могут быть неправильно развиты или смещены. Нарушено развитие и всего хордального и мышечного аппарата, который приводит в движение трехстворчатый аппарат.
Из-за маленького размера правого желудочка из него выбрасывается меньшее количество крови. А увеличенный размер правого предсердия связан с тем, что в него попадает часть венозной крови.
У многих пациентов с аномалией Эбштейна также диагностируют дефект предсердной перегородки и открытое овальное окно. Этот сопутствующий порок для многих является жизнеспасающим. Через дефект перегородки из переполненного правого предсердия происходит сброс крови. Правда, при этом венозная кровь в левом предсердии смешивается с артериальной. Это становится причиной кислородного голодания тканей и органов.
Причины развития заболевания
Менее чем у 1 % людей с врожденными пороками сердца диагностируется аномалия Эбштейна. Причины ее развития точно определить не удалось. По предположениям, она появляется из-за генетических аномалий. Также, по одной из версий, к такому развитию сердечной мышцы может привести прием во время беременности препаратов, содержащих соли лития.
Сопровождается это врожденное заболевание в 50 % случаев дефектом межпредсердной перегородки. В других случаях отмечается нарушение ритма. Разобраться, почему возникают те или иные комбинации сердечных пороков, медикам пока не удалось.
Возможные варианты течения заболевания
Аномалия Эбштейна является критическим врожденным пороком сердца. Она встречается как у мальчиков, так и у девочек. Течение заболевания и прогноз будут зависеть от степени деформации трехстворчатого клапана. Также важны и патофизиологические изменения, которые прошли в правом предсердии и желудочке.
В некоторых случаях порок существенно нарушает кровообращение плода. Возникает сердечная недостаточность, развивается водянка, и в 27 % случаев происходит внутриутробная гибель ребенка. При глубокой патологии после рождения малыши погибают в течение первого месяца жизни. По статистике, это около 25 % от всех детей, у которых была обнаружена аномалия Эбштейна. Диагноз при беременности может быть установлен еще на 20-й неделе.
Около 68 % новорожденных с данной патологией доживают до полугода, а до 5 лет — 64 % детей. В эту группу входят малыши, у которых функция трикуспидального клапана и правого желудочка является удовлетворительной. Умирают они в большинстве случаев от прогрессирующей сердечной недостаточности и нарушений ритма.
Классификация видов болезни
Специалисты выделяют несколько стадий заболевания, известного как аномалия Эбштейна. Симптомы будут зависеть от того, насколько велико поражение сердца. Наиболее редкой является бессимптомная стадия. Такие больные могут даже не подозревать о патологии и вести обычный образ жизни. Они неплохо переносят физические нагрузки.
На второй стадии клинические проявления ярко выражены. Проявляется эта аномалия еще в детском возрасте и протекает достаточно тяжело. Отдельно выделяют стадии:
II a — она характеризуется отсутствием нарушений сердечного ритма;
II б — приступы встречаются часто.
Третьей стадией называют период стойкой декомпенсации. Она диагностируется в тех случаях, когда организм не в состоянии компенсировать деятельность сердца какими-либо вспомогательными механизмами.
Клиническая картина заболевания
При рождении дети с аномалией Эбштейна отличаются синюшностью. Цианоз через 2-3 месяца жизни уменьшается из-за того, что снижается сопротивление сосудов легких. Но у детей с незначительным дефектом сердечной перегородки возрастает риск летального исхода от осложнений цианоза и прогрессирующей сердечной недостаточности.
У детей с аномалией Эбштейна часто наблюдаются такие признаки:
Одышка даже в период покоя;
Отеки, которые видны на нижних конечностях;
Повышенная утомляемость, особо заметная при физических нагрузках;
Нарушения сердечного ритма;
Цианоз кожи и губ.
Синюшность появляется у детей раньше, чем симптомы сердечной недостаточности. Старшие дети могут жаловаться на периодические приступы усиленного сердцебиения.
Диагностика заболевания
В некоторых случаях заболевание определяется еще во время беременности или сразу после рождения в роддоме. Существует несколько характерных признаков, по которым врач может заподозрить, что у ребенка аномалия Эбштейна. Диагностика включает в себя аускультацию, рентгенографию грудной клетки, ЭхоКГ, ЭКГ. Все эти методы в комплексе позволяют точно установить диагноз.
При аускультации врач может услышать характерный ритм, он может быть трех- или четырехкратным. Он заглушает высокочастотный тихий трикуспидальной недостаточности. Помимо этого, выраженным является расщепление второго тона, оно не меняется при дыхании. На верхушке левого края грудины должен быть слышен мезодиастолический скрипучий тихий шум.
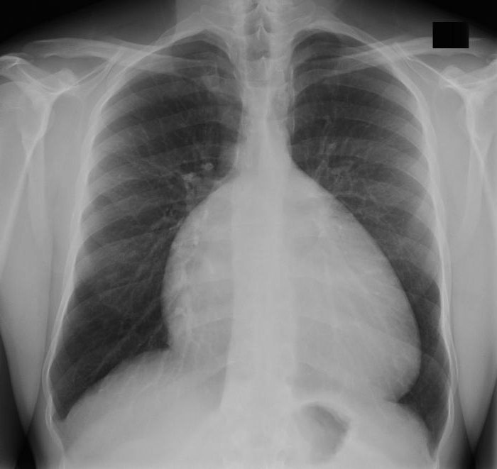
На рентгенографии визуализируется расширенная сердечная тень, это происходит из-за значительного увеличения правого предсердия. Сосудистый рисунок легких обычно бледен. Сердце часто принимает форму шара.
Изменения наблюдаются и на ЭКГ. На кардиограмме видны признаки, свидетельствующие о гипертрофии правого предсердия, удлинен интервал PQ, и наблюдается полная или частичная блокада правой ножки
На ЭхоКГ можно увидеть широкое отверстие трехстворчатого клапана. Перегородочная створка смещена в сторону верхушки.
Тактика действий при врожденной аномалии
После установки диагноза и определения степени поражения подбирается лечение. Конечно, таким больным необходимо оперативное вмешательство. Исключение составляет лишь та малая группа пациентов, у которых бессимптомная аномалия Эбштейна.
Лечение проводится в зависимости от других сопутствующих проблем. Если пациент нормально пережил то операцию можно отложить до тех пор, пока не появятся ярко выраженные симптомы сердечной недостаточности.
Всех малышей с этой проблемой должен наблюдать детский кардиолог, который специализируется на врожденных пороках сердца. Также его состояние должно контролироваться кардиохирургами.
Если у больных выражено снижение легочного кровотока и наблюдаются признаки сердечной недостаточности, то назначаются инфузии ионотропных препаратов, простогладинов группы Е. Также показано проведение коррекции метаболического ацидоза. Такое лечение позволяет увеличить сердечный выброс и уменьшить сдавливание левого желудочка расширенной правой стороной.
В тех случаях, когда наблюдается тахикардия, необходимо проводить терапию специальными антиаритмическими средствами.
Показания для проведения оперативного вмешательства
В стараются не делать операцию. Но она необходима в тех случаях, когда правожелудочковая дисплазия является ярко выраженной и сопровождается нарушениями антеградного кровотока в легочное русло. При этом наблюдается резкое расширение правых отделов и одновременная компрессия левого желудочка.
К относительным противопоказаниям относят возраст до 4-5 лет. Но в случае необходимости делают операцию и новорожденным. Также не проводится оперативное вмешательство и тем, у кого во внутренних органах начались органические необратимые изменения.
Больные, у которых была обнаружена аномалия Эбштейна, без операции могут дожить в среднем до 20 лет. Гибель их, как правило, внезапна. Она наступает из-за сердца.
Проведение операции
Лишь с помощью хирургического вмешательства можно полностью исправить ситуацию. При этом врачи рекомендуют при возможности делать ее в старшем возрасте из-за слишком маленьких размеров сердца в младенчестве.
Операцию проводят на открытом сердце, для осуществления возможности ее проведения организовывают процесс искусственного кровообращения. Лишняя часть правого предсердия ушивается, а трехстворчатый клапан швами поднимается до позиции, которая является близкой к нормальной. В случаях когда это невозможно, его убирают и заменяют протезом. Это позволяет забыть о том, что у пациента была аномалия Эбштейна. У взрослых пациентов возможно проведение протезирования, а вот детям младше 15 лет делают пластику клапана.
Смертность во время операций не превышает 2-5 %. Вероятность летального исхода зависит как от опытности кардиохирурга, так и от тяжести порока. Практически в 90 % случаев пациенты в течение года могут вернуться к обычному образу жизни.
Особенное внимание должны уделять таким пациентам анестезиологи. Ведь требуется особый подход к больным, у которых аномалия Эбштейна. Особенности анестезии должны быть известны врачу. Он должен учитывать, что давление у таких пациентов может быть нестабильным. Поэтому анестезиолог наблюдает за своими пациентами и после операции.
Виды протезов
В большинстве случаев решить, как именно будет проводиться операция, можно лишь тогда, когда пациент уже на операционном столе. Если возможно провести пластику клапана, то предпочтение отдается этому варианту. Но бывают ситуации, когда необходим протез больным, у которых аномалия Эбштейна. Так называют искусственный клапан, который выглядит как кольцо, обтянутое синтетической подушкой. Внутри него находится механизм, который может открывать и закрывать так называемый шлюз. Он может быть механическим либо биологическим. Первый вариант изготавливается из титанового сплава, а второй может быть сделан из клапана свиньи или из ткани человеческой сердечной сорочки.
При установке механического клапана больному необходимо постоянно пить лекарства, разжижающие кровь, но при соблюдении режима функционировать он может дольше. Биологическое устройство является менее долговечным.
В связи с экологической обстановкой на земном шаре частота возникновения пороков и аномалий развития плода прогрессивно увеличивается. Самыми сложными и частыми из них по праву считаются патологии, возникающие в период формирования сердца, они же и занимают одну из лидирующих позиций по летальности. По статистике около 8 живорожденных младенцев из 1000 имеют сердечный порок. В РФ численность таких рождений равна примерно 20 тысячам в год.
Дальнейшее будущее этих детей зависит от того, в каком возрасте выявится имеющаяся аномалия и как быстро будет проведено хирургическое вмешательство.
Аномалия Эбштейна – один из самых редких врожденных пороков сердца . Он составляет около 0,5-1 % всех ВПС и не имеет половой принадлежности. Чаще всего аномалия Эбштейна обнаруживается в зрелом возрасте. Данная патология характеризуется увеличением правого предсердия и, как следствие, уменьшением правого желудочка.
Аномалия Эбштейна у новорожденных
Увеличенная часть предсердия не функционирует и называется атриализованной. Параллельно имеет место дисплазия трехстворчатого или трикуспидального клапана с неправильным расположением его створок. Они прикрепляются не к фиброзному кольцу, а к стенкам правого желудочка. В основном, аномалии Эбштейна сопутствуют дефект межжелудочковой перегородки (ДМЖП), атриовентрикулярные и вентрикулоартериальные соединения, а также недостаточность или стеноз митрального клапана . Аномалия Эбштейна была открыта 1866 году немецким врачом по фамилии Эбштейн.
Причины и сущность
Достоверно сказать о причинах развития аномалии Эбштейна на сегодняшний день, к сожалению, нельзя. Существуют следующие причины возникновения патологии:
- Генетический фактор – способность организма наследовать генетическую информацию от родителей. Речь идет о мутациях, наследственной предрасположенности.
- Физические факторы – пагубное влияние внешней среды. Самыми опасными из них являются электромагнитные и радиоактивные излучения.
- Химические факторы – наличие вредных привычек. Среди них курение, употребление алкоголя, наркозависимость и прием беременной опасных медикаментов. Отдельная роль в развитии аномалии Эбштейна отводится препаратам лития.
- Биологический фактор – наличие у беременной инфекционного заболевания, которое негативно влияет на плод.
Симптомы
Клинические проявления патологии зависят от формы имеющейся аномалии Эбштейна, а также от степени развития венозно-артериального шунта и вытекающих из этого последствий.
Сердце при аномалии Эбштейна
При легкой форме порока аномалия Эбштейна долго остается незамеченной и выявляется с возрастом случайным образом или по ряду возникающих симптомов. Симптомы, наиболее часто наблюдаемые у пациентов зрелого возраста:
- быстрая утомляемость;
- чувство апатии;
- чувство усталости даже от незначительных физических нагрузок;
- одышка;
- боль в грудной клетке;
- ощущение собственного сердцебиения, аритмия;
- пастозность или отечность нижних конечностей;
- расширение шейных вен и их пульсирование;
- гепатомегалия – увеличение размеров печени вследствие застоя;
- колющая боль в области сердца;
- фаланги пальцев деформируются, вследствие чего пальцы обретают форму «барабанных палочек».
Данные симптомы развиваются постепенно. У конкретного пациента может иметь место 1-2 неспецифических признака.
При тяжелой форме аномалии Эбштейна симптомы заметны уже после рождения или в первые месяцы жизни. К ним относятся:
- Сердечная недостаточность – состояние, при котором сердце плохо справляется с поддержанием нормального кровообращения.
- Синюшность кожных покровов (цианоз) – является следствием кислородного голодания или гипоксии. В основном наблюдается синюшность губ и пальцев. В тяжелых случаях возникает цианоз кожных покровов и слизистых оболочек.
- Отмечается ослабленный сосательный рефлекс.
- Отставание в физическом развитии (плохой набор веса).
- Быстрая утомляемость во время кормления.
Если диагноз аномалии Эбштейна у маленьких пациентов не будет выставлен вовремя, они могут погибнуть от прогрессирующей сердечной недостаточности. Постепенно нарушается поступление кислорода в ткани, а также возникает застой по большому и малому кругам кровообращения. Все это приводит к гибели пациентов на первом году жизни.
Гемодинамика
Аномалия Эбштейна характеризуется нарушениями гемодинамики, которые напрямую зависят от степени недостаточности и регургитации (обратного возврата крови) на трехстворчатом клапане. На гемодинамические показатели влияет величина функционирующего правого желудочка, а также объем крови, поступающей в сообщение между предсердиями.
Недостаточность трехстворчатого клапана при аномалии Эбштейна приводит к регургитации крови из правого желудочка в правое предсердие . Образуется венозно-артериальный шунт, то есть избыток неоксигенированной крови поступает в левое предсердие.
Постепенно возникает гипертрофия и дилатация (расширение) камер сердца, прогрессирует сердечная недостаточность.
Диагностика
Во время осмотра и обследования пациента с аномалией Эбштейна характерным аускультативным признаком является наличие грубого пансистолического шума. Для того чтобы достоверно верифицировать аномалию Эбштейна, необходимы следующие инструментальные методы диагностики:
ЭКГ при аномалии Эбштейна
- Рентгенография грудной клетки. Помогает выявить кардиомегалию различной степени , характерную именно для аномалии Эбштейна. которая возникает из-за увеличенного правого предсердия. При этом левая часть сердца остается в норме. На снимке сердце имеет шаровидную форму, легочные поля довольно прозрачны.
- Электрокардиография (ЭКГ). Зачастую диагностика аномалии Эбштейна у взрослых начинается именно с ЭКГ. Характерные признаки – ось сердца отклонена вправо, гипертрофия правого предсердия и тахикардия. Иногда имеют место нарушения ритма и проводимости.
- Эхокардиография (ультразвуковое исследование сердца). Это основной метод визуализации. Простой и безвредный, может выполняться даже новорожденным детям в неограниченном количестве. При помощи УЗИ сердца можно обнаружить смещение местоположения трехстворчатого клапана, деформацию его створок, уменьшение правого желудочка и увеличение правого предсердия. Также высчитывается разница во времени между захлопыванием трикуспидального и двухстворчатого клапанов.
- Катетеризация сердца. Проводится через внутреннюю яремную вену, у детей выполняется под общей анестезией. При помощи данной процедуры выявляется повышенный уровень давления в правом предсердии и пониженный уровень в легочной артерии, а также низкий показатель кислорода в крови.
- Ангиография. Под динамическим рентген-контролем производится введение контрастного вещества в крупные сосуды и полость сердца. Оцениваются размеры камер и полостей, степень смыкания створок клапанов. При аномалии Эбштейна имеет место увеличение правого предсердия , а также слабое контрастирование правого желудочка.
- Электрофизиологическое исследование сердца выполняется пациентам с аномалией Эбштейна, страдающим постоянными тяжелыми нарушениями ритма. В процессе обследования врач-аритмолог выявляет аномальные проводящие пути в сердце. При наличии показаний возможна абляция патологических путей для восстановления нормального синусового ритма.
Лечение
Существует два подхода к лечению пациентов с аномалией Эбштейна: консервативное и хирургическое. Медикаментозная терапия направлена на улучшение состояния пациента при сердечной недостаточности и выраженной аритмии. В первом случае показан прием диуретиков и ингибиторов АПФ, а во втором часто используются сердечные гликозиды и бета-блокаторы.
Младенцам, находящимся в тяжелом состоянии, показано внутривенное введение простагландинов. Эти препараты не дают закрыться артериальному протоку, что временно оптимизирует гемодинамику. Многим новорожденных с аномалией Эбштейна требуется интенсивная терапия в первые дни жизни.
Показания к хирургическому вмешательству выставляются консилиумом врачей на основании общего состояния пациента, особенностей порока. При развитии острой сердечной недостаточности очень высока вероятность летального исхода. Поэтому встает вопрос о сохранении жизни ребенка, а, следовательно, о необходимости операции.
Суть вмешательства заключается в расширении открытого овального окна (ООО) при помощи специального катетера с баллоном на дистальном конце.
При раздутии такого баллона данное межпредсердное сообщение увеличивается в диаметре. В итоге через него происходит сброс венозной крови. Таким образом, решается вопрос острой сердечной недостаточности и кислородного голодания.
Лечение аномалии Эбштейна в послеоперационном периоде комплексное: включает медикаментозную терапию и реабилитационные мероприятия.
Хирургическое вмешательство на сердечных клапанах при аномалии Эбштейна бывает двух видов:
- пластика — сохранение имеющегося клапана, модификация его естественным путем;
- протезирование – создание клапана из искусственных материалов.
Клапанные протезы бывают двух видов:
- Механические – состоят из металла и синтетической основы. Плюс данного вида клапанов заключается в их более длительном действии и надежности. З
начительным минусом является необходимость пожизненного приема антикоагулянтов. - Биологические – не являются инородными телами для организма, являются менее надежными.
Вовремя выполненное оперативное вмешательство при аномалии Эбштейна дает гарантию положительного результата. Затягивание с решением относительно хирургической операции приводит к прогрессированию сердечной недостаточности и увеличивает риск летального исхода.
Прогноз
Прогноз у неоперированных пациентов с аномалией Эбштейна неблагоприятен. С возрастом сердечная недостаточность становится более выраженной, манифестируют серьезные нарушения сердечного ритма. Это приводит к постепенному угасанию пациента. Большинство людей с аномалией Эбштейна доживают лишь до 20-30 лет.
Что касается пациентов, перенесших успешное хирургическое вмешательство, то прогноз в этом случае гораздо более оптимистичен. Такие пациенты длительно стоят на учете у кардиолога и проходят обследования на предмет развития осложнений. Качество жизни пациентов, прооперированных по поводу аномалии Эбштейна, практически не страдает. Существуют ограничения по физической нагрузке. В целом такие дети хорошо развиваются и ничем не отличаются от своих сверстников.
Не все врожденные пороки сердца являются тяжелыми и бесперспективными. Аномалия Эбштейна – яркий тому пример. Своевременное оказание квалифицированной хирургической помощи продлевает пациентам жизнь и делает их полноценными членами общества.
Аномалия Эбштейна (АЭ) представляет собой очень редкий кардиологический порок, формирующийся еще во время внутриутробного развития. При патологии нарушено нормальное расположение створок трикуспидального клапана, следствием чего становится его недостаточность и нарушение кровообращения.
По данным статистики, на долю аномалии Эбштейна приходится не более 1% случаев всех врожденных аномалий сердца.
В целом, врожденные пороки развития органов встречаются все чаще. Виной всему считают постоянно ухудшающиеся экологические условия, неблагоприятные факторы, действующие на будущую маму, патологию беременности. Аномалии сердца составляют большую группу пороков, которые, если и совместимы с жизнью, то очень часто приводят к серьезным нарушениям гемодинамики, требующим хирургической коррекции.
Когда у плода при ультразвуковом обследовании беременной женщины обнаружены признаки порока сердца, то будущая мама, конечно, начинает беспокоиться и искать информацию о заболевании, чтобы быть готовой помочь своему малышу после рождения. Попробуем разобраться, что представляет собой аномалия Эбштейна, и какие возможны пути коррекции этого редкого порока.
Причины и сущность аномалии Эбштейна
Как и при большинстве врожденных пороков сердца (ВПС), причины патологии остаются невыясненными.
Считается, что роль играют генетические изменения в виде спонтанных мутаций и воздействие внешних причин. Так, в части случаев аномалии Эбштейна было установлено, что беременная женщина принимала препараты лития или болела различного рода инфекциями, что позволило предположить возможное негативное влияние приема лекарств и перенесенных во время беременности инфекционных заболеваний.
К моменту рождения, как правило, о наличии порока уже известно
, ведь все женщины должны своевременно проходить ультразвуковой контроль развития сердца у плода. Если будущая мама игнорировала походы к врачу, то о наличии патологии в строении сердца скажут изменения кровообращения, которые обычно заметны уже на первых месяцах жизни младенца.
Сердце человека состоит из двух предсердий и двух желудочков, работающих слаженно и выталкивающих кровь только в одном направлении благодаря наличию клапанов. Именно клапанный аппарат обеспечивает одностороннее движение крови по полостям сердца и сосудам, поэтому при его аномалиях всегда возникают те или иные гемодинамические расстройства.
Говоря об аномалии Эбштейна, имеется в виду патология со стороны трикуспидального (трехстворчатого) клапана, который находится не там, где должен, а ниже, то есть смещен в сторону правого желудочка. Правое предсердие над низко расположенным клапаном имеет больший, чем положено, размер, а ту часть миокарда, которая в норме находится в составе правого желудочка, называют атриализованной, что указывает на ее «предсердную» принадлежность.
При АЭ функционирует лишь та часть правого желудочка, которая находится под смещенным клапаном.
Понятно, что вместить весь объем крови, выталкиваемой туда из предсердия, невозможно. Уменьшение правого желудочка неминуемо приводит к избытку крови в предсердии. Кроме того, сквозь измененный клапан часть крови возвращается в и без того переполненное предсердие. Эти нарушения вызывают растяжение предсердия объемом, оно не справляется с нагрузкой, а в результате страдает кровоток в легких, вовлекаются сосуды большого круга кровообращения.
Аномалия Эбштейна редко представлена в изолированной форме. У девяти из десяти пациентов выявляются и другие изменения
. Так, самым частым считается сочетание АЭ с либо . Понятно, что гемодинамические расстройства еще больше усугубляются при этом. Комбинация ВПС вызывает сброс венозной крови из переполненного правого предсердия в левое, при этом артериальная кровь, идущая к внутренним органам, смешивается с венозной, а результат – гипоксия, то есть недостаток кислорода.
Дефекты в перегородке между предсердиями в сочетании с АЭ способствуют не только смешиванию крови, но и местному тромбообразованию, поэтому у таких больных всегда высок риск тромбоэмболии (инсульты, некрозы во внутренних органах).
Нередко при аномалии Эбштейна обнаруживают дополнительные пути проведения электрических импульсов к клеткам миокарда, что «выливается» в нарушения ритма сердца – , и другие.
Видео: аномалия Эбштейна – медицинская анимация (eng)
Как проявляется АЭ?
Время появления симптомов АЭ зависит от глубины поражения клапана, выраженности его недостаточности, сочетания с другими ВПС. У детей, у которых имеет место тяжелое изменение клапанных структур, признаки порока диагностируются сразу после рождения. Характерны:
- Синюшность кожных покровов;
- Слабый сосательный рефлекс;
- Ребенок быстро устает при кормлении, медленно набирает вес.
Наличие у новорожденного малыша открытого овального окна позволяет в какой-то мере скомпенсировать нагрузку на правое предсердие, ведь частично кровь уходит в левую половину сердца. Если же это отверстие отсутствует или очень мало, то состояние ребенка быстро может стать критическим, и он может погибнуть от сильной недостаточности сердца уже в течение первых недель жизни. Таким образом, сочетание АЭ с пороком в перегородке в данном случае может сыграть даже положительную роль, обеспечивая хоть какую-то разгрузку «правого сердца».
При умеренной или малой степени смещения клапана внутрь правого желудочка долгое время единственным признаком может быть . Такие пациенты доживают с ним до 10-15 лет, а иногда порок и вовсе диагностируется уже у взрослых людей. Другим, не менее опасным проявлением, становится , которая тоже может потребовать хирургического лечения.
Среди симптомов АЭ указывают:
- Цианоз кожи и слизистых оболочек;
- Одышку;
- Утомляемость, слабость;
- Различные аритмии;
- При появлении недостаточности сердца – отеки.
Недостаток кислорода в крови, доставляемой к органам, вызывает не только внешнее изменение в виде синюшности, но и нарушение обмена в тканях, обусловленное . Следствием тому становится изменение ногтей по типу «часовых стекол» и пальцев в виде «барабанных палочек». Эти признаки сопутствуют многим ВПС и говорят о недостаточной концентрации в крови кислорода либо о сбросе венозной крови в артериальное русло.
Увеличенное в объеме правое предсердие, объем которого может достигать литра и более, оказывает давление на переднюю поверхность грудной клетки, что особенно выражено у растущего ребенка, кости которого весьма податливы. Это явление приводит к возникновению такого внешнего признака патологии как «сердечный горб» – выбухание передней части грудной клетки в области сердца.
Среди осложнений
АЭ возможны фатальные аритмии, . Причиной смерти может стать инсульт, внезапная сердечная смерть, нарастание застойной при не компенсированном пороке.
Как заподозрить аномалию Эбштейна?
Подозрение на любой врожденный порок требует тщательнейшего обследования. После анализа симптоматики и жалоб пациента (или его родителей в случае с новорожденными), кардиолог назначает проведение дополнительных диагностических процедур:
- Рентген грудной клетки для уточнения размеров сердца;
- – высокоточный метод обнаружения АЭ и сопутствующих пороков;
- ЭКГ, холтеровское мониторирование и электрофизиологическое исследование необходимы при нарушениях ритма сердца;
- Атриография – исследование предсердия при помощи контрастного вещества;
- Катетеризация сердечных полостей для уточнения давления в них.
Видео: аномалия Эбштейна на ЭхоКГ и описание сути порока
Лечение аномалии Эбштейна
Медикаментозная терапия
при АЭ необходима в целях коррекции ритма сердца, при появлении признаков его недостаточности. Среди антиаритмических препаратов применимы бета-блокаторы (атенолол, метопролол), антагонисты кальция (верапамил, дилтиазем). При сердечной недостаточности показаны мочегонные средства, ингибиторы АПФ, сердечные гликозиды. Выбор препарата определяют возраст пациента и течение патологии.
АЭ относится к тем порокам развития, проявления которых невозможно скорректировать только консервативными методами
, поэтому абсолютное большинство пациентов нуждаются в хирургическом лечении
. Возраст проведения операции и ее тип зависят от структурных нарушений в самом сердце, степени тяжести порока и характера гемодинамических расстройств.
Наиболее распространенные виды операций при АЭ:
- Пластика трехстворчатого клапана;
- Протезирование клапана.
Если створки клапана и сопутствующие ВПС таковы, что позволяют «исправить» расстройства гемодинамики , то предпочтение будет отдано этому методу лечения. Как правило, пластика показана при недостаточности клапана, в то время как сужение его (стеноз) потребует более радикального вмешательства по замене этого участка сердца.
При пластической операции устраняют избыточную часть правого предсердия, создают одностворчатый клапан
и уменьшают диаметр клапанного фиброзного кольца. При наличии дефекта в межпредсердной перегородке хирург ушивает и его. Как при пластике, так и при протезировании пересекают «лишние» пути проведения импульсов, которые способствуют аритмиям.
пример реконструктивной операции при аномалии Эбштейна
Новорожденным детям с резким переполнением правого предсердия при недостаточном размере овального окна может потребоваться операция уже в первые недели жизни
. Суть ее состоит в расширении специальным аппаратом (баллоном) овального окна или дефекта в перегородке, чтобы обеспечить движение «лишней» крови в левую половину сердца. Эта мера не радикальная, но позволяет устранить риск для жизни малыша, а в последующем все равно требуется пластика клапана или его замена.
При невозможности выполнения пластической операции на клапане, единственным способом вылечить порок становится протезирование. Недостатком его считается наличие инородного материала в органе, но, с другой стороны, это очень надежный способ коррекции ВПС. Желательно проводить его в подростковом возрасте, когда объемы сердца уже максимально приближены ко взрослым, чтобы избежать несоответствия размера клапана участку сердца и, как следствие, стеноза.
означает удаление структур поврежденного клапана с заменой его на искусственный аналог.
Современная медицина предлагает дополнять такие операции введением стволовых клеток, дающих дополнительный материал для восстановления недостающей массы миокарда правого желудочка сердца.
трехстворчатый клапан для пересадки
Когда речь идет о необходимости имплантации протеза вместо пораженного клапана, любой родитель захочет узнать, что именно установят в сердце его ребенку. На сегодняшний день кардиологи могут предложить либо механический клапан
, полностью состоящий из синтетических материалов и металла, либо биологический
, который изготавливают из элементов перикарда человека или попросту пересаживают клапан свиньи, соответствующий по размерам человеческому.
Эти варианты имеют как преимущества, так и недостатки. Механический протез требует пожизненного приема антикоагулянтов, но он долговечен и надежен. Биологический клапан не предполагает антикоагулянтной терапии, но и служит несколько меньше. Выбор вида протеза остается за кардиохирургом, который оценивает реальную клиническую ситуацию.
Видео: операция при аномалии Эбштейна (ход + описание)
Прогноз при аномалии Эбштейна
Аномалия Эбштейна часто протекает довольно благоприятно, а своевременное лечение позволяет и вовсе восстановить правильный кровоток.
Многие больные ведут обычный образ жизни, а женщины способны благополучно выносить беременность и родить здорового малыша. Условие безопасности жизнедеятельности с таким ВПС – постоянное наблюдение у кардиолога, выполнение всех его рекомендаций по лечению и профилактике осложнений.
Вместе с тем, прогноз остается серьезным при тяжелых формах порока, когда четверть малышей погибают на первом месяце жизни.
При отсутствии лечения выживает чуть более половины больных, а своевременная операция дает положительный результат в 90% случаев. Пациент восстанавливается в течение года, благополучно учится или возвращается к труду.
Патологическое строение трехстворчатого клапана, его крепление книзу (внутрь правого желудочка) названа аномалией Эбштейна. Этот порок бывает врожденным. Дети рождаются ослабленными, отмечается затруднение дыхания и цианоз кожи. Часто присоединяется пароксизмальная тахикардия, недостаточность кровообращения. Для лечения необходима операция по замене клапана и реконструирования отверстия между камерами правой половины сердца.
Читайте в этой статье
Причины развития у плода
Доказаны такие факторы развития аномалии у плода:
- прием беременной женщиной препаратов, содержащих соли лития;
- вирус краснухи, кори;
- скарлатина;
- сахарный диабет;
- тиреотоксикоз;
- алкоголизм;
- употребление психотропных медикаментов;
- токсикоз гестационного периода;
- угроза прерывания беременности;
- наследственная предрасположенность.
Особенно опасно действие инфекций и интоксикаций в первом триместре беременности.
Особенности гемодинамики
Створки клапана при этой патологии деформируются и смещаются в просвет правого желудочка.
Они располагаются ниже физиологического отверстия между предсердием и желудочком.
Поэтому правое предсердие увеличено за счет «присоединения» части желудочка, а последний становится несоразмерно маленьким.
В момент систолы предсердия сокращается его верхняя часть, а нижняя только в систолический период желудочка. В этот момент часть крови из правого желудочка возвращается в предсердие. В правом желудочке остается мало крови, что снижает ее поступление в легкие. А предсердие переполняется кровью, расширяется, его мышечный слой гипертрофируется.
Высокое давление в полости предсердия приводит к открытию окна в предсердной перегородке. Формируется сброс справа-налево. Он помогает разгрузить правое предсердие, но одновременно понижает содержание кислорода в артериальной крови из-за ее перемешивания с венозной.
Симптомы у новорожденного
Бессимптомные пороки с аномалией Эбштейна практически не встречаются. Самые тяжелые нарушения развития приводят к гибели плода в период вынашивания.
Чаще всего дети уже в первые месяцы рождения ослабленные, физическая нагрузка (кормление, плач) у них вызывает сильную одышку и посинение кожи.
В старшем возрасте они жалуются на боль в сердце, сильное сердцебиение. Пальцы на руках имеют вид барабанных палочек, а ногти похожи на выпуклые стекла часов. Из-за увеличения правого предсердия формируется выпячивание грудной клетки по типу сердечного горба.
Сердце при аномалии Эбштейна
Осложнения, которые несет заболевание
Правое предсердие при этой аномалии испытывает повышенную нагрузку, а желудочек выбрасывает меньше крови, чем необходимо.
Одним из ранних осложнений является недостаточность кровообращения по правожелудочковому типу. Она характеризуется:
- затрудненным дыханием,
- увеличенной печенью,
- усиленной пульсацией расширенных вен шеи.
Диагностика у детей и взрослых
При осмотре акцентируют внимание на цианотичный цвет кожи, деформацию пальцев, грудной клетки. Границы сердца смещены вправо, выслушивается 3-х или 4-х тактный ритм, шум справа от грудины, 2 тон раздвоен.
При подозрении на порок трикуспидального клапана проводится такое обследование:
- – ось отклонена вправо, правое предсердие гипертрофировано и расширено, нарушения ритма в виде пароксизмальной тахикардии, мерцания и , блокада правой ветви проводящих .
- ФКГ – систолический шум над проекцией правого желудочка, 1 тон ослаблен, 2 -раздвоен, 3 и 4 – высокоамплитудные.
- Рентгенография – правое предсердие придает контуру сердца форму шара, легочные поля прозрачные.
- УЗИ сердца – створки клапана смещены книзу, смыкаются медленно, правый желудочек заполнен слабо, сброс крови через предсердную перегородку влево. У плода эти отклонения можно выявить примерно в 65 — 70% случаев.
- КТ и МРТ позволяют детализировать степень несмыкания клапана, наличие и интенсивность шунтирования крови, размеры камер сердца.
- и зондирование полостей сердца используют только при затруднении постановки диагноза.
Операция как радикальный способ лечения
Консервативная терапия используется только для временного облегчения состояния или для подготовки к операции. Назначают сердечные гликозиды, стимулирующие обменные процессы в миокарде.
Единственным способом лечения является операция. Ее проводят при сердечной недостаточности и нарушении ритма сердца. В тяжелых случаях может быть прооперирован новорожденный ребенок, но лучше всего ее провести в 15 лет.
Оперативное вмешательство предусматривает:
- пластику или протезирование трехстворчатого клапана,
- восстановление целостности перегородки между предсердиями,
- прижигание дополнительных проводящих путей,
- (при необходимости кардиовертера).
Смотрите на видео об аномалии Эбштейна и ее коррекции:
Прогноз
Порок сердца при аномалии Эбштейна относится к категории тяжелых. Без своевременного лечения к 10 годам погибает около 35% пациентов, большинство до 30 лет не доживает.
Причинами смерти бывают недостаточность функции правого желудочка и .
Если операция была успешной, то прогноз для жизни благоприятный.
Отдаленные результаты зависят от выраженности гипертрофии миокарда и послеоперационного нарушения ритма.
Зачастую порок трикуспидального клапана диагностируется в раннем возрасте. Он бывает врожденный, то есть формируется у плода во время беременности. Как диагностировать и лечить его?
… низкие показатели рождаемости, относительно высокая младенческая и детская смертность, рост распространенности хронических болезней у детей и детской инвалидности в России в значительной степени определяют величину репродуктивных потерь, негативно влияющих на развитие общества
.
Аномалия Эбштейна
относится к редким врожденным порокам сердца без внутрисердечного шунта и цианоза. При этом заболевании вероятность дожить до взрослого состояния достаточно велика. Сложность диагностики аномалии Эбштейна обусловлена разнообразием вариантов порока (выделяют 5 анатомических типов), ограниченным числом наблюдений.
Заболевание достаточно редкое. Его встречаемость составляет 0,3-0,7% от всех врожденных пороков сердца или 1 случай на 20 000 новорожденных. Тем не менее это наиболее частый врожденный порок сердца с поражением трехстворчатого клапана – до 40% случаев. Высокая частота порока может быть связана с приемом матерью препаратов лития. Частота порока у родственников крайне низка и генетически малообусловленна.
Прогноз у детей в возрасте до 3-х дней при естественном течении заболевания исключительно плохой. У больных, переживших первые 3-6 месяцев, ситуация несколько иная: 70% больных переживают первые два года жизни, а 50% — доживают до 13 лет.
Заболевание характеризуется
смещением аппарата трехстворчатого клапана в правый желудочек вследствие неправильного прикрепления его створок. Образуется аномальное правое атриовентрикулярное отверстие, которое делит правый желудочек на проксимальную «атриализованную» тонкостенную часть и дистальную часть, которая становится маленькой желудочковой камерой.
Патологическое правое атриовентрикулярное отверстие может быть такого размера, как нормальное или меньше, апикальная часть желудочка маленькая. Створки часто деформированы и распластаны по стенкам правого желудочка, иногда могут быть сращены между собой таким образом, что их трудно дифференцировать. В результате аномалии Эбштейна развивается тяжелая трехстворчатая регургитация, а иногда и стеноз правого атриовентрикулярного отверстия.
Нередко аномалия Эбштейна сочетается с другими аномалиями и врожденными пороками сердца
– дефектом межжелудочковой перегородки типа ostium secundum или открытым овальным окном (у 505 больных), гипоплазией аорты, коарктацией аорты, открытым артериальным протоком, корригированной транспозицией магистральных сосудов. Возможно присоединение к аномалии Эбштейна приобретенных заболеваний, в первую очередь перикардита.
Заболевание в старшем возрасте проявляется
в основном одышкой, утомляемостью, цианозом и правожелудочковой недостаточностью. В 25% случаев начальное проявление – наджелудочковая тахикардия (аномалия Эбштейна часто сочетается с синдромом WPW). Характерная аускультативная картина – множественные щелчки («звуки хлопающего паруса»), производимые хлопающим пролабирующим клапаном.
ЭКГ признаки
: смещение электрической оси вправо и признаки увеличения правого предсердия (высокоамплитудный зубец Р, превышающий по амплитуде QRS комплекс в правых грудных отведениях, не встречающийся при других состояниях, и удлиненный интервал PQ), блокада правой ножки пучка Гиса, признаки синдрома WPW (дельта-волна).
При рентгенологическом исследовании
выявляют увеличение правого предсердия и маленький правый желудочек.
К сожалению, у большей части взрослых пациентов порок не распознается, в то время как своевременная диагностика и хирургическая коррекция (клапансохраняющая операция, имплантация протеза) могли бы существенно увеличить продолжительность их жизни.
Основные причины низкой выявляемости и неправильной диагностики
– плохая осведомленность врачей общей практики об этом пороке и многообразие клинических вариантов (вплоть до бессимптомного течения). Описан случай, когда больной с аномалией Эбштейна длительно ставился диагноз порока митрального клапана, и она была в последующем доставлена в терминальном состоянии вследствие декомпенсации сердечной недостаточности по большому кругу кровообращения с гепатоспленомегалией и желтухой, из-за чего ей также выставлялся диагноз цирроза печени. Диагноз был установлен после проведения ЭхоКГ.
Дифференциальный диагноз
необходимо проводить с трехстворчатой регургитацией вследствие других причин (ревматического поражения трехстворчатого клапана, инфекционного эндокардита, инфаркта правого желудочка с разрывом сосочковой мышцы, миксомы правого предсердия, пролапс трехстворчатого клапана в рамках наследственных болезней соединительной ткани (синдромы Марфана и Элерса-Данло), карциноидным синдромом, с формированием трикуспидальной недостаточности).
ЭхоКГ
является золотым стандартом диагностики аномалии Эбштейна, позволяющим выявить смещение трехстворчатого клапана в полость паевого желудочка, сращение септальной створки с перегородкой, нормальное прикрепление к фиброзному кольцу передней створки и большую амплитуду ее движений, дилатацию правого желудочка, правого предсердия, выраженную трикуспидальную регургитацию, сопутствующие врожденные пороки сердца.
Цветное доплеровское исследование
позволяет определить глубину проникновения регургитирующей струи в правое предсердие, выявит обратный систолический ток в верхней и нижней полой вене и пульсацию почечных вен. По максимальной скорости регургитирующей струи рассчитывают систолическое давление в легочной артерии.
Принципы терапии
. Трикуспидальная недостаточность обычно поддается терапии диуретиками и венозными вазодилататорами (нитраты внутрь и в виде пластырей, иАПФ, сердечные гликозиды при мерцательной аритмии). При рефрактерной трикуспидальной недостаточности и тяжелой дисфункции правого желудочка показаны инотропные средства внутривенно (предпочтительно – добутамин), при возникновении ортодромной тахикардии – соответствующее противоаритмическое лечение.
Задачей практического врача является
возможно более раннее выявление аномалии Эбштейна и передача больного кардиохирургу для своевременного оперативного лечения.










