На вопрос, сколько зубов должно быть у взрослого человека, без промедления ответят все: по норме, 32 зуба. Но если подойти к теме серьезно и посчитать количество зубов на верхней и нижней челюсти, можно прийти в удивление, поскольку их будет меньше ожидаемого количества. Попытаемся выяснить, почему так происходит, какие случаи можно считать нормой, а какие требуют врачебного вмешательства.
Что такое норма

По какой причине у людей начинают выпадать зубы?
- В первую очередь причинами выпадения зубов становятся болезни. Наиболее частыми являются пародонтит (воспаление в тканях вокруг зуба) и разрушающий дентин кариес. Также распространенной проблемой является неправильный прикус, чреватый поражением окружающих зуб тканей.
- Зуб можно потерять в результате его травмирования, а также как побочное явление определенных хронических заболеваний, например, остеопороза или сахарного диабета. Способна привести к потере зубов и хроническая гипертония.
Отрицательную роль в здоровье зуба имеет неправильный или нерегулярный уход за полостью рта.
- Чтобы избежать выпадения зубов как можно дольше, при отечности, кровоточивости или покраснении десен стоит сразу же отправляться к стоматологу. Этот же совет применим, если у вас появился неприятный запах из ротовой полости, стали подвижными зубы или изменился цвет эмали.
Назначение зубов
Зубы – твердые образования тканей, которые отличаются особой прочностью. Они имеют несколько предназначений, исходя из их формы и расположения в ряду. Основной задачей зубов является обработка пищи – пережевывание. Это позволяет разделить еду на кусочки, которые будут лучше перевариваться и усваиваться нашим желудком.
Гигиена полости рта в период выпадения зубов
Выпадение зубов оставляет в полости рта незащищенную рану. Рот же по праву заслужил «кличку» самого грязного места человеческого тела. А малыш изучает мир глазами, ушами, руками и языком. При выпадении зуба открывается лунка, представляющая глубокую рану. Риск развития заражения в период заполнения лунки новым одонтопагусом велик. Во избежание нагноений и воспалений необходимо помогать малышу соблюдать гигиену рта.
- Очистка рта должна происходить после завтрака, полдника, обеда и ужина. Остатки пищи могут забиться в лунку и гнить там, становясь идеальной средой для размножения вредоносных микробов.
- Полоскание рта после приема пищи поможет до конца очистить лунки от остатков пищи. В качестве ополаскивателя можно использовать настой ромашки или цветков ноготков, обладающий антибактериальным действием.
- Дважды в год нужно осуществлять профилактический осмотр врачом-стоматологом в целях выявления нарушений роста зубов.
Современная стоматологическая медицина предлагает эффективное средство от кариеса молочных зубов — герметизация фиссур. Фиссуры — это пространство между молочными зубами. Стоматолог заливает их специальным раствором для предотвращения скопления частиц пищи.
Следует обратить внимание на скорость остановки кровотечения после выпадения зуба. При нормальной свертываемости кровь должна остановиться через 5 минут. В противном случае у ребенка могут быть нарушения свертываемости, и необходимо обратиться к врачу.
Виды зубов и их количество
В стоматологии зубы разделяют на нескольких видов:
- Резцы. Это зубы, которые принимают участие в откусывании пищи, поэтому имеют довольно острую форму. Всего их 8.
- Клыки. Соседние с резцами зубы, предназначены для разделения пищи на куски. Всего в ротовой полости их 4. По своему развитию они отличаются от клыков животных, так как человеку не нужно разрывать сырую пищу из-за термической ее обработки.
- Премоляры. Это четверки и пятерки в ряду, всего их 8. Они помогают пережевывать пищу и разрывать ее на кусочки.
- Моляры. К ним относятся шестерки и семерки. Эти большие коренные зубы имеют форму в виде пары бугорков с небольшим углублением – фиссурой. Всего их 8.
- Третьи моляры. Это «восьмерки» или зубы мудрости. Всего их 4. Однако, зубы мудрости вырастают не у всех.
Как выглядит формула зубов в медицинской карте –
Сколько зубов должно быть у человека: норма и отклонения
Общепринятым считается наличие 32 зубов у взрослого человека включая «восьмерки». Но сегодня наше питание настолько изменилось, что количество зубов уменьшается. Все это связано с употреблением слишком мягкой переработанной еды.
Так, восьмерки после прорезывания остаются неразвитыми и незадействованными. А ученые заявляют о полном их исчезновении как таковых в будущем. Согласно раскопкам, наши далекие предки имели до 44 зубов, а сегодня их количество снизилось до 32. Слишком мягкая пища может стать причиной того, что через несколько столетий зубы мудрости у будущих поколений исчезнут.
Почему не все люди имеют зубы мудрости
Зубы мудрости
Зубы мудрости недаром получили такое название, так как появляются они у уже взрослых людей – с 18 до 25–26 лет. Эти зубы нередко вырастают не в полном количестве, к примеру, по одному на каждой челюсти, или не прорезываются вовсе. Если рост третьих моляров прошел без осложнений, дискомфорт ушел после полного прорезывания, то любое их количество будет вариантом нормы.
Вывод: 32 постоянных зуба у человека – это стандартная норма, вместе с «мудрыми» зубами. Но у многих людей вырастает всего 28 постоянных зубов, и это стоматологи также относят к норме, говоря о том, что в ходе эволюции «мудрые» элементы могут и вовсе исчезнуть.
В редких случаях, наоборот, у человека насчитывают 33 зуба, пятый «мудрец» прорезается в передней части ряда. Такое явление влечет за собой дискомфорт и испорченную эстетику челюсти, поэтому лишний элемент подлежит удалению.
По мнению специалистов, дополнительный третий моляр – это отклонение от нормы, которое закладывается при внутриутробном формировании. К примеру, если беременность была многоплодной и один из эмбрионов погиб, передав по наследству брату или сестре «лишний» зубик.
Возрастные изменения
Возраст сказывается на изменениях всего тела, в том числе и зубов. С течением лет зубы подвержены малоприятному процессу – изнашиванию. Зубная эмаль истончается и стирается, поэтому многие опытные стоматологи по челюсти пациента могут определить его возраст. На это влияют образ жизни, соблюдение норм гигиены, ежедневный рацион и некоторые физиологические особенности.
Как правило, к 20 годам проявляется небольшая сглаженность эмали, что вполне естественно для такого возраста. После 30 на краях резцов и клыков образовывается костное вещество — дентин. К 45 годам дентином покрывается большинство зубов, видно стирание коронок. К 60 годам довольно часто происходит полное изнашивание эмали. А к 70-80 годам остаются только корни и шейка, в этом возрасте большая часть пациентов имеет искусственные зубы.
Таким образом, общепринятая норма про 32 зуба выполняется не всегда. Продлить срок службы натуральных зубов по силам каждому. Главное – соблюдать правила гигиены, следить за своим рационом и не откладывать походы к стоматологу. Помните, что красота вашей улыбки в ваших руках.
Рейтинг: ( 3 оценок, среднее: 4,00 из 5)
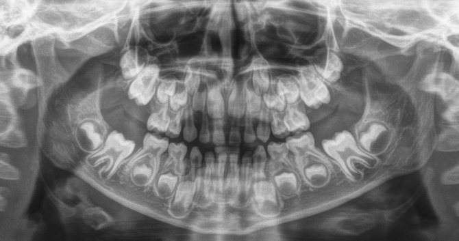
Почему так происходит?
Внимание! Дело в том, что постоянные зубы прорезаются только после выпадения молочных, а до того времени они «сидят» в твёрдых тканях челюсти, что можно увидеть на рентгеновских снимках.
Предлагаем ознакомиться: Паста при повышенной чувствительности зубов
Когда сформирован полный ряд из 14 зубов на верхней челюсти и стольких же на нижней, третьи моляры всё ещё остаются в зачаточном состоянии и только ждут своего времени, когда от их прорезания начнёт ныть десна. Они только готовятся занять своё место. Всё это происходит потому, что вследствие долгих лет эволюции человечество утратило необходимость пережёвывать жёсткую пищу, а значит, отпала потребность в большом количестве зубов, которых у наших предков изначально было аж 44.
Важность значений плотности
Автомобилисту важно знать не только, как проверить уровень электролита в аккумуляторах, но и понимать, в чем же заключается такая важность концентрированности электролита:
- повышенная плотность способствует сульфатации пластин и, соответственно, выходу АКБ из строя;
- при низкой плотности зимой в мороз электролитический раствор попросту замерзнет, так как существует соотношение плотности и температуры замерзания;
- низкая плотность, как правило, может свидетельствовать о разряде АКБ — по ней возможно определить степень заряженности, а также напряжение на клеммах, на основе специальной таблицы.
Помощь ребенку при прорезывании зубов
В этот болезненный и тяжелый период для карапуза, нужно терпеливо и бережно относиться к ребенку. Несколько советов, как помочь облегчить малышу период прорезывания зубов:
- носить кроху на руках,
- говорить ласково, петь любимые песенки,
- занимать карапуза игрушками и погремушками,
- благоприятная атмосфера в доме. Без криков и ругани,
- прикладывать ребенка к груди.
В этот период внимательно относится к гигиене малыша, кроха часто засовывает ручки в рот и может получить инфекцию от них. А от инфекции может развиться стоматит.
Нужно приобрести в аптечных пунктах жевательные игрушки. Они изготовлены из экологически чистых материалов и не приносят вред карапузу. Их он спокойно может класть в рот и чесать прорезающиеся резцы. Прорезыватели специально имеют ребристую поверхность для массирования, водный наполнитель для охлаждения воспаленных десен.
Самое главное в этот период , это забота и терпение родителей.
Что можно наливать в АКБ – воду или электролит?
После того как автомобилист понял, какой уровень электролита должен быть в аккумуляторах согласно таблице, приведенной выше, и проверил его при помощи стеклянной прозрачной трубочки, следует решить вопрос, что доливать – воду или электролитический раствор (и нужно ли это делать вообще).
Отметим, что заливать в автомобильный аккумулятор можно и то, и другое. Ведь дистиллированная вода – это составная часть электролитической жидкости.
Сама же электролитическая жидкость состоит из, собственно, серной кислоты и дистиллированной воды на 35 и 65 % соответственно, как мы указали выше. И дистиллят, и электролит, продаются свободно в любых автомобильных магазинах.
Рацион человека для поддержания здоровья зубов
Дентин, являющийся основой одонтопагуса, состоит преимущественно из солей кальция. Эмаль, защищающая дентин от повреждений, невероятно прочная, что обусловливается высоким содержанием в ней кальция и магния. Поэтому рацион взрослого, а тем более ребенка, должен быть богат этими минералами для поддержания здоровья зубов.
Кальцием и магнием богаты:
- молоко и сыр;
- зелень;
- орехи;
- горох и фасоль;
- гречневая и ячневая каши.
В сутки человеку необходимо употреблять 400-500 мг магния и 800-1000 мг кальция. Для нормального усваивания кальция и усиления действия магния необходим витамин D. Для усваивания магния необходимы калий и витамин В6. Все эти витамины содержатся в молочных продуктах, яйцах и печени. Поэтому при разнообразии рациона ни у вас, ни у вашего ребенка не должно возникать ухудшения здоровья зубов.
Как прорезаются замыкающие моляры (восьмерки)?
Третьи моляры – крайние моляры, замыкающие зубной ряд, которые в народе называют «зубами мудрости». Всего их четыре штуки – по одному с каждого конца верхнего и нижнего зубного ряда. В большинстве случаев восьмерки прорезаются парами, реже они могут появляться по одному. В очень редких случаях может наблюдаться одновременное прорезывание сразу трех или четырех восьмерок. В таких ситуациях человеку нередко требуется госпитализация в челюстно-лицевое хирургическое отделение, так как зубы в подавляющем большинстве таких клинических случаев прорезаются неправильно или не полностью.
Прорезывание зуба мудрости
Даже если прорезается только один «зуб мудрости», человек может испытывать следующие симптомы:
- отекание и припухлость десны в месте замыкания зубного ряда;
- сильная боль, которая почти не купируется анальгетиками;
- трещины и ссадины на деснах;
- кровоточивость в месте прорезывания;
- интоксикация организма;
- головные боли;
- сильная слабость и снижение работоспособности.
Важно! Если у человека появились признаки прорезывания третьих моляров, следует обратиться за консультацией к стоматологу. В случае осложненного течения пациенту будет рекомендовано хирургическое лечение, состоящее в удалении «зуба мудрости».
Функции зубов
Видео — Действительно ли нужно удалять зубы мудрости
Как устроены наши коренные зубы
Коренные зубы – это единственный человеческий орган, который самостоятельно не восстанавливается. Именно поэтому их нужно беречь и регулярно отслеживать любые изменения в их состоянии. Ведь недаром рекомендуют регулярный осмотр врача-стоматолога каждые 6 месяцев.
Коренные зубы требуют тщательного ухода
Читать также: Вредна ли перекись водорода для зубов
Если рассматривать укрупненной, то каждый коренной зуб, фото которого можно увидеть на нашем сайте, состоит из коронковой и корневой части. Коронковая часть – та которая находится выше уровня десны, сверху покрыта самой прочной в организме человека тканью – эмалью, которая защищает более мягкий внутренний ее слой – дентин, который является основой зуба.
Несмотря на прочность и надежность, эмаль невероятно подвержена влиянию извне. Нарушить ее состояние может, и плохой уход, и вредные привычки, и наследственность. В трещины на эмали попадают болезнетворные бактерии, вызывая интенсивное разрушение тканей. У человека развивается кариозный процесс, который захватывает и дентин.
При отсутствии лечения, инфекция проникает в корневую часть, развивается острый пульпит и другие не менее опасные недуги.
Что касается строения корневой части, то главными ее элементами являются артерии, вены и нервные волокна, питающие зуб. Они располагаются в пульпе корневого канала и через апикальное отверстие соединяются с магистральным сосудисто-нервным пучком.
Дентин ниже уровня десны покрыт цементом, который с помощью коллагеновых волокон крепится к периодонту. Корни зубов человека, фото их иллюстрирует очень хорошо, скрываются в альвеолах – своеобразных углублениях челюстной кости.
Любое его поражение требует полного его удаления. Восстановлению сломанный корень не подлежит.
Строение челюсти и коренных зубов взрослого человека заслуживает отдельного раздела. Об этом и пойдет ниже речь.
Для чего нужна электролитическая жидкость в аккумуляторе
Этот раствор в автомобильном аккумуляторе необходим для обеспечения его функционирования. Без него АКБ попросту не будет работать.
Чтобы понять, для чего нужен электролит, требуется знать, как вообще работает автомобильная АКБ. Внутри пластикового корпуса аккумулятора находятся 6 банок. В каждой из банок расположены по 2 пластины разной полярности:
- анод (плюсовой электрод);
- катод (минусовой электрод).
К пластинам подведены токоотводящие решетки, на которые нанесены вещества:
- диоксид свинца – на аноде;
- свинцовый порошок – на катоде.
Чтобы обеспечивался цикл заряда, разряда и отдачи электрической энергии потребителям автомобиля, необходимо, чтобы выполнялись следующие химические реакции.
На аноде:
На катоде:
Указанные реакции протекают при разрядке аккумулятора, то есть при отдаче им энергии. В случае заряда реакции протекают в противоположном направлении.
И как раз-таки в целях обеспечения их протекания и нужна электролитическая жидкость.
Редкая опухоль в мозгу младенца оказалась зубом
4-х месячный ребёнок из штата Мэриленд может оказаться первым человеком, который имел в мозгу опухоль, оказавшуюся зубом. Впервые врачи заподозрили, что-то не так, когда голова ребёнка, казалось, начала расти быстрее, чем это свойственно детям его возраста. Сканирование мозга выявило опухоль, которая содержала в себе структуры, очень напоминающие человеческие зубы, обычно находящиеся в нижней челюсти. Опухоль была удалена, и сейчас мальчик чувствует себя хорошо.
А если зубов больше 32?
Гипердонтия — аномалия, когда зубов больше чем 32 Если во рту человека зубов больше чем 32, это уже аномалия, и в стоматологии используется термин гипердонтия, а сами зубы называют сверхкомплектными.
Сверхкомплектные зубы (гипердонтия) — встречается не так уж и редко: у 5% людей зубов больше, чем 32. При этом в 70% случаев вырастает один сверхкомплектный зуб, в 25% гипердонтии — 2 зуба, и лишь у 5% людей — 3 и более. Среди носителей сверхкомплектных зубов, число женщин и мужчин одинаковое.
К сожалению, современная медицина не знает точного ответа, почему и как в организме человека происходит сбой и появляются сверхкомплектные зубы.
Факторы, влияющие на скорость роста
Главные факторы, влияющие на скорость появления первых зубов:
- Наследственность. В случае у родителей карапуза было появление резцов, то у ребенка большая вероятность этого исхода.
- Климат. В теплых странах у малышей зубы прорезываются раньше, чем у детей в холодном климате.
- Питание во время ношение малыша. Необходимое употребление витаминов и кальция будет влиять на рост появление первых зубиков.
- Беременность и роды. Если течение беременности проходило в норме и роды прошли без осложнений, то и зубки у карапуза появятся к сроку.
- Получение внутричерепной травмы во время родов.
- Недоношенный ребенок.
- Инфекционные заболевания. В первые недели жизни малыш перенес инфекционные заболевания.
- Патологии гипофиза.
- Болезни в первый год жизни карапуза. Перенесение ОРВИ, рахита, пневмонии, врожденный гипотиреоз.
Ученые считают, что у первенцев прорезывание зубиков происходит раньше, чем у последующих детей. Существуют факторы и причины, которые могут повлиять на отсутствие резцов, позднего прорезывания.
К причинам относятся:
- Дефицит в организме карапуза кальция и витамина D,
- Заболевания щитовидки, болезни кишечника и желудка,
- Нарушение обмена веществ у карапуза,
- Врожденная адентия.
Если прорезывание до годика не началось, доктор снимает рентген. После исследования рентгена и нахождения корней зубных единиц у малыша, врач выписывает необходимые витамины или диету.
Возможные проблемы
Третьи моляры имеют точно такое же строение, как и остальные зубы. Однако некоторые особенности им все же присущи:
- крайнее положение в ряду;
- не зажаты другими зубами;
- отсутствуют предшествующие молочные;
- третьи моляры имеют больший размер;
- корни восьмерок обычно извитые, неправильной формы.
Эти особенности обуславливают проблемы, которые часто вызывает появление третьих моляров:
Восьмерки часто растут неправильно, поэтому приносят множество проблем и подлежат удалению.
Если присутствует хотя бы одна из этих проблем, третьи моляры подлежат удалению. Процесс этот более сложный, чем экстракция других зубов, опять же в силу удаленного положения восьмерок и извитых корней. Восстановление после операции обычно довольно длительное, однако в большинстве случаев, если врач принимает решение об удалении, другого выхода нет.
Что делать, если низкий или высокий уровень электролитического раствора
После того как гражданин определил, какой в его аккумуляторной батарее уровень, следует решить, что именно наливать (и нужно ли лить вообще):
- если по результатам замера при помощи пластиковой трубочки (см. выше) уровень оказался выше нормы, то следует откачать излишки (при помощи резиновой груши, например), далее снова произвести замер при помощи трубки, и если все нормально, то померить плотность и далее уже “выравнивать” именно ее (как это делать, см. ниже);
- если по результатам замера уровень, наоборот, ниже нормы, то нужно сразу определять плотность – от этого и будет зависеть, что нужно лить.
Продолжительность полового акта и способы ее увеличения
Не только то, как часто люди занимаются регулярным сексом, индивидуально для каждой пары, но и продолжительность соития. Сексологи утверждают, что с момента введения мужского члена до наступления кульминации должно пройти 2—5 минут.
Сколько в среднем длится половой акт
У физически здорового мужчины репродуктивного возраста коитус без учета предварительных ласк может занять около 10 минут. У парней после наступления половой зрелости уходит больше времени на достижение пика во время интимной близости. К 30 годам этот процесс регулируется гормонами.
На то, сколько раз в день и как долго можно заниматься полноценным сексом, влияет настроение, степень возбудимости, самочувствие, перенесенные стрессы, физическое утомление.
Быстрый и длительный секс
Слишком скорое завершение может быть вызвано:
- выраженной чувствительностью головки пениса;
- перенесенными венерическими заболеваниями;
- простатитом;
- психологическим барьером;
- перенесенными черепно-мозговыми травмами;
- сокращением уровня синтеза тестостерона.
Кроме того, быстрый финал может наступить вследствие длительного воздержания.
Причинами затянутого полового акта могут служить:
- сахарный диабет;
- воспалительный процесс в простате;
- воспаление мочевыводящих путей;
- везикулит;
- употребление алкоголя, наркотических веществ.
Пути продления полового акта
Продлить интимную близость можно при помощи:
- презервативов;
- методов самоконтроля;
- эрекционных колец;
- массажа и физиопроцедур;
- смены позиций;
- пролонгаторов в форме таблеток, мазей, спреев;
- специальных упражнений Кегеля.
Кроме того, можно прибегнуть к операции по обрезанию крайней плоти, что снижает чувствительность головки члена.
Полезен ли длительный секс
Можно ли часто заниматься продолжительным сексом — спорный вопрос. Длительный половой акт укрепляет физическое здоровье, но не обходится без потери новизны ощущений. Кроме того, из-за недостаточной увлажненности слизистой влагалища у партнеров появляются болевые ощущения.
Оптимальное время для соития — 10 минут. Более продолжительный половой акт может грозить негативными последствиями для мужского здоровья. Миф о долгих любовных играх связан с навязанным обществу стереотипом при помощи кинофильмов порнографического характера.
ЧИТАТЬ Как сделать девушке приятно в сексе: секреты интима
Самые распространенные виды физических травм вследствие продолжительных половых актов:
- потертости половых органов;
- травмы пениса (вплоть до перелома);
- растяжения мышц;
- ссадины;
- травмы спины;
- спазмы;
- вывихи;
- ушибы.
Эталон красоты человека
С помощью хорошего состояния зубов, их белизны и идеальной формы можно подчеркнуть свою красоту. Белоснежная улыбка — несомненный предмет обаяния окружающих и повышения готовности идти на контакт с обладателем такой роскоши.
Но что только не делают люди для того, чтобы следовать моде! Например, в 19 веке зубы специально красили желтым для создания визуального эффекта бледности кожи. Племена в Африке с раннего детства подпиливают зубы для придания им формы треугольника.
Приобрести и сохранить красивую улыбку совсем не сложно, а она, в свою очередь, подарит уверенность в себе, а также вызовет расположение окружающих. Правильный уход за зубами сохранит их необходимое количество на долгое время, а визиты к стоматологу перестанут быть пугающим и неприятным времяпрепровождением.
Рост и развитие
Зубы развиваются из остатков эпителия ротовой полости. Пока растет ребенок – растут и они. Их формирование начинается с коронковой части. Находясь, долгое время в форме зачатка, они проходят стадию обезвествления (окостенения) от коронки по направлению к корню.
Когда приходит время, зачаток медленно продвигается к краю альвеолярного отростка. Десна деформируется и постепенно происходит ее резорбция. Таким образом зубу как бы открывается путь наружу. Только что прорезавшийся зуб не имеет полноценных корней. Они формируются еще на протяжении 1-2 лет.
Детский зубной ряд и все о нем
Все родители тщательно разыскивают информацию о правильном количестве зубов во рту малыша соотносительно его возрасту. Зачастую они интересуются формой и их размерами. Стоит помнить, что полученные сведения не должны освобождать малыша от посещения стоматолога в профилактических целях. Иногда могут быть врожденные проявления аномалии в полости рта. Речь идет о дефектах в росте зубов, а также их неполном составе на верхней или нижней челюсти.
Непосредственно, молочные зубы находятся в полости рта не на протяжении всей жизни, а лишь ограниченное время, после чего они выпадают. Вслед за ними вырастают постоянные, которые находятся с человеком пожизненно, при бережном отношении к ним. Молочные и постоянные зубы имеют ряд отличий, а именно:
- Резцы молочных зубов имеют более выпуклую форму.
- У постоянных зубов более развитая корневая система, нежели у молочных, которые выпадают, не причиняя дискомфорта.
- Более тонкая эмаль у молочных зубов, но пульповая капсула у них более выражена. Молочные зубы больше подвержены кариесу.
Первые зубы начинают появляться в 4-5 месяцев, но отсрочка на полгода не является нарушением. Существует определенная последовательность появления первых зубов у младенца:
- Резцы: центральные пробиваются с 4-х до 9-ти месяцев, а боковые ожидаемы с 8-ми месяцев до 12-ти.
- Первые моляры появляются после того, как ребенку исполнится годик.
- Клики ожидаются с 1 года до 2-х.
- К 3-м годам начинают проклевываться вторые моляры.
Стоит отметить, что в трехлетнем возрасте во рту у малыша уже присутствуют около 20-ти зубов. Затем, в их дальнейшем росте предвидится пауза до достижения ребенком 5-ти или 6-летнего возраста.
Любопытные факты
Что мы еще знаем о зубах, кроме того, что их нужно чистить?
- Близняшки и двойняшки дублируют и зубной «состав». Если у одного отсутствует конкретный зуб, то и у другого его нет.
- Правша чаще работает правой стороной челюсти, левша – соответственно.
- Челюсти рассчитаны на огромную нагрузку. Максимальная жевательная сила мышц приближается к 390 кг. Не каждый зубу она по силам. Если вы грызете орешки, то создаете давление 100 кг.
- Слоны меняют зубы 6 раз. Науке известен случай, когда у 100-летнего мужчины зубы сменились второй раз.
- Эмаль на зубах считается самой твердой тканью, которая воспроизводится организмом человека.
- Зуб можно хранить продолжительное время даже при температурном режиме свыше 1000 градусов.
- 99% запасов кальция заложено именно в человеческих зубах.
- Наукой доказано, крепкие зубы – признак хорошей памяти.
- Самый дорогой зуб принадлежит ученому Ньютону, его продали в XIX веке за 3,3 тыс. долларов. Покупатель аристократического происхождения украсил им перстень.
- Легенда гласит, что у Будда имел 40 зубов, а Адам – 30.
- У неандертальцев не было кариеса и пародонтита из-за здоровой пищи.
- Некоторые младенцы рождаются в пренатальным зубом на нижней челюсти (случай один из 2 тысяч).
- Каждый зубной ряд уникален, как отпечатки пальцев.
По ошибке мы не считаем зубы важным органом. А ведь это сложная и хрупкая система. Каждый зуб имеет свою характерную структуру и выполняет конкретную функцию.
Чем больше фактов мы знаем зубах, тем интереснее их чистить и легче ухаживать.
Особенности роста молочных зубов
У младенцев зубки отсутствуют полностью. Иногда имели место случаи рождения детишек с парой молочных элементов, но подобное обстоятельство является исключением. Педиатры говорят, что прорезывание зубов должно начаться примерно на 7–8 месяце жизни малыша, но нередки ситуации, когда появление первых резцов родители замечают уже на 4–5 месяце.
Все молочные зубки вырастают до возраста трех лет, но часто происходят сдвиги этой общей даты на шесть месяцев в ту или иную сторону. По мнению специалистов в области стоматологии, такое развитие событий является нормальным.
Порядок прорезывания
Хронология формирования молочного зубного состава у младенцев выглядит следующим образом:
- Первыми в полость рта прорезываются резцы. Их количество к 8–9 месяцам должно быть равно 4: по два сверху и снизу.
- К достижению малышом года челюстной ряд должен насчитывать восемь – десять зубов, но иногда их в наличии двенадцать, что опять же относится к норме. В это время вырастают боковые резцы.
- К двум годам у маленького человека во рту появляется от восемнадцати до двадцати элементов. К 18 месяцам появляются первые моляры, к 24 – клыки, а затем – вторые моляры. Таким образом, к 2 годам человек имеет по 8 резцов и коренных зубов, а также 4 клыка.
- После двух лет и 6 месяцев наступает так называемый период покоя, когда рост зубов притормаживается. Но маленькому человеку хватает для жевания пищи и двадцатки, что имеется в наличии. В этом возрасте важной задачей родителей становится гигиеническое воспитание детей, объяснение необходимости соблюдения чистоты и здоровья полости рта.
Анатомическое строение зубов с картинками
Внешнее анатомическое строение зуба человека:
- Коронка – видимый участок, покрытый эмалью – самой твердой частью зуба. Поверхностный слой выполняет защитную функцию и предназначен для сохранения дентина.
- Корневая часть – комплекс нервных волокон, артерий и вен, обеспечивающий питание и иннервацию зуба. Вторая функция корня – удерживающая.
- Шейка – зона между корнем и коронкой, которая выполняет соединительную функцию. Отличается суженой формой.
Схема: внешнее строение зуба человека
Как устроен зуб человека на тканевом уровне
Все зубы человека имеют схожую внутреннюю структуру. На схеме снизу обозначены все зубные слои – эмаль, дентин, цемент, пульпа.
На рисунке изображено гистологическое строение зуба
В состав эмалевого слоя входят:
- минеральные вещества – 96%;
- органические вещества – 1,2%;
- жидкость, вода – 2,3%.
Эмаль покрыта внешней оболочкой – кутикулой, которая покрывает жевательную поверхность зуба. Большую часть зуба занимает дентин, расположенный сразу под эмалью. Он обладает меньшей прочностью, его твердость равна 58,9 кГ/мм.
Цемент – покрывает корневую часть и по большинству показателей схож с костной тканью. В зависимости от типа строения различают два вида цемента:
- бесклеточный или первичный – состоит из коллагеновых волокон;
- клеточный или вторичный – в состав входят цеменобласты.
Внутреннюю зубную полость занимает пульпа – мягкая ткань, включающая:
- многочисленные нервы;
- кровеносные сосуды;
- соединительную ткань.
Строение зуба в разрезе
Несмотря на различия в предназначении и устройстве корневой системы, все зубы имеют одинаковое внутреннее строение:
- Эмаль. Очень твердый поверхностный слой, обеспечивающий защиту зубов от воздействия окружающей среды. Он устроен как структура склеенных призм. Благодаря большому количеству минеральных солей в составе эмаль является самой прочной тканью в теле человека. Ее главная задача – сохранение дентина коронки. Наличие пелликулы обеспечило устойчивость ткани к влиянию кислот.
- Дентин. Состоит из грубоволокнистой ткани, основу которой составляет коллагеновое волокно. По структуре похож на пористую кость. Выделяют два вида дентина: поверхностный и внутренний. Первый отличается более высокой плотностью и препятствует попаданию инфекции в зубную полость.
- Цемент. Состоит из коллагеновых волокон, насыщенных известняковыми солями. Толщина слоя – от 50 до 150 мкм в зависимости от местонахождения. Выделяют два типа цемента – клеточный и бесклеточный.
- Полость. Имеет идентичную коронке форму и расположена под дентином. Всю площадь полости заполняет пульпа – вид ткани, отвечающий за питание зуба и выполняющий соединительную функцию. Наличие кровеносных и лимфатических сосудов обеспечивает высокую чувствительность пульпы.



