У большинства людей независимо от расовой принадлежности, возраста и пола возникает нередкое и неприятное явление – жжение языка или глоссалгия.
Это хронический болезненный синдром, характерный для многих заболеваний ротовой полости, как воспалительного, так и не воспалительного характера. Патологическое явление может проявляться самостоятельно или сигнализировать о наличии конкретной болезни.
В простонародье такой симптом прозвали синдромом «горящего языка». При заболевании глоссалгией жжение проявляется на языке, но без видимых на то изменений. При этом может возникать нарушение жевательного и глотательного рефлекса, в редких случаях, наблюдается отечность верхних дыхательных путей.
Синдром «горящего языка» – это вторичная болезнь по отношению к основной. Основной проблемой могут быть заболевания и травмирования, а именно:
- нарушения в эндокринной и пищеварительной системе;
- заболевания печени;
- невроз;
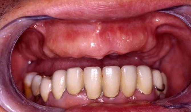
- травмирование в результате установке зубных коронок;
- оперативные вмешательства в полости рта.
Чтобы избавиться от проблемы, следует найти причину патологии, проведя диагностику путем выявления симптомов, сопровождающихся именно жжением языка.
Что такое ксеростомия
Ксеростомия – это симптом сухости во рту. Данное состояние развивается по причине недостаточной, для того чтобы увлажнить ротовую полость, выработки слюны.
В норме любой взрослый может столкнуться с такими ощущениями, не говоря уже о пожилых (стресс, недостаток воды). Однако, если пожилого человека постоянно, особенно ночью, в состоянии покоя беспокоит сухость во рту, то это говорит о возможных проблемах со здоровьем.
Ксеростомия является распространенной жалобой среди пожилых людей (около 30%).
Физиологические состояния
Процессы, которые происходят в организме в случаях возрастных изменений или беременности могут вызывать сухость во рту.
Климакс
Сухость в ротовой полости, головокружения, бросания в жар, учащенное сердцебиение – все эти симптомы в комплексе могут говорить о наступлении менопаузы. В этот период женский организм подвержен серьезной гормональной перестройке. Сухость в этом случае может наблюдаться на всех слизистых оболочках.
Беременность
Женский организм в период вынашивания ребенка подвержен резкой перестройки всей гормональной системы. Также при беременности может наблюдаться обострение других заболеваний, которые становятся причиной появления сухости во рту.
Основные причины сухости во рту у пожилых людей
Симптом сухости во рту – распространенный признак сахарного диабета 1 и 2 типа. Возникает это по причине побочных действий принимаемых препаратов и повышенном уровне содержания сахара в крови.
Развитие диабетической нейропатии также может вызвать сухость во рту, связано это с расстройства нервной системы, вследствие поражений при диабете малых кровеносных сосудов.
Однако диабет не единственная причина вызывающая ксеростомию. В медицине существует целый ряд болезней и состояний, при котором слюнные железы снижают выработку своего секрета.
Давайте более подробно рассмотрим другие основные причины, вызывающие сухостью во рту:
- побочное действие препаратов. Всего выявлено почти четыре сотни лекарств, подавляющих выделение слюны, в их число входят такие группы препаратов, как антигистаминные, анальгетики, противоотечные, гипотензивным, мочегонные средства, антидепрессанты;
- нарушения работа чувствительных рецепторов, расположенных в ротовой полости;
- нарушения трофики слизистой оболочки ротовой полости;
- влияние токсинов, как попадающие из вне, так и образующиеся в результате жизнедеятельности его собственного организма;
- нарушения электролитного баланса организма и его водного обмена;
- слизистая оболочка ротовой полости механически пересушивается окружающим воздухом, при этом язык прилипает к небу;
- гормональные сбои оказывают отрицательное влияние на работу желез, вырабатывающих слюну.
Наличие заболеваний, нарушающих правильную работу или анатомическую целостность слюнных желез:
- сахарный диабет 1 и 2 типа (главная причина сухости во рту);
- почечная недостаточность;
- синдром Шегрена;
- лимфогранулематоза (болезнь Ходжкина);
- болезнь Паркинсона;
- болезнь Альцгеймера;
- эссенциальный тремор (болезнь Меньера);
- кишечная непроходимость;
- острые и преходящие нарушения мозгового кровообращения;
- воспаление тройничного нерва;
- холецистит;
- аппендицит.
Диагностика жжения языка
Диагностировать синдром можно только при осмотре, беседе и оценке состояния пациента. Для установления возможных причин возникновения проблемы потребуется консультация следующих специалистов:
- Стоматолог. Осмотрит ротовую полость и выявит очаги поражения. В случае отсутствия стоматологических проблем, рекомендуется консультация специалиста общей категории.
- Терапевт. Его задача провести осмотр и назначить анализы крови общий и на глюкозу, которые позволят понять область поражения и определить конкретно заболевание.
- Невропатолог. Выявит или опровергнет психологические нарушения, ложный симптом.
- Эндокринолог. Проверит щитовидную железу.
- Гастроэнтеролог. Проверка у этого врача является обязательной, так как симптомы, связанные с языком часто говорят о заболеваниях ЖКТ.
В отдельных случаях и при определённых патологиях может потребоваться мазок зева или соскоб с поверхности языка, а также рентгенологическое и другие исследования.
Клинические проявления ксеростомий
Сухой рот возникает из-за уменьшения количества слюны в ротовой полости. Признаки ксеростомии включают:
- грубый, сухой язык;
- жжение языка;
- недостаток влаги во рту;
- частые боли слизистой оболочки;
- потрескавшиеся губы;
- воспаления в ротовой полости;
- инфекции в полости рта;
- трудности с глотанием,
О чем говорит ощущение горечи во рту при ксеростомии ночью
Такой симптом в сочетании с сухостью слизистой оболочки рта может развиваться по двум основным сценариям:
- нарушения функционирования системы желчевыделения;
- расстройства выделения и эвакуации соляной кислоты и желудочного пищеварительного сока.
В обеих случаях нарушается нормальное выведение агрессивных секретов пищеварительного тракта. В результате происходит застой, приводящий к постепенному всасыванию в кровь, образующихся при их распаде продуктов, что отражается на составе слюны.
Чаще всего данное состояние вызывается следующими патологиями:
- холецистит, как острой формой, так и хронической.
- дискинезия желчевыводящих путей, при условии застоя желчи.
- хроническими формами токсического и вирусного гепатитов.
- язва желудка;
- гастрит;
- хроническими патологиями поджелудочной железы, приводящими к проблемам с отведением желчи.
Горькие составляющие пищеварительных соков могут откладываться прямо в слизистой оболочке рта.
О чем говорит налет на языке при ксеростомии
Язык не даром называют зеркалом состояния органов брюшной полости, ведь по наличию и характеристикам налета на нем, можно получить много информации о функциональном состоянии всего желудочно-кишечного тракта. Практически всегда такие изменения сопровождает сухость во рту.
Данная комбинация симптомов позволяет заподозрить наличие следующих патологи:
- гастрит;
- гастродуоденит;
- гастроэзофагеальная рефлюксная болезнь ГЭРБ);
- рефлюкс-эзофагита;
- язвенная болезнь желудка и 12-перстной кишки;
- неспецифический язвенный колит;
- энтероколит.
Если же к перечисленным выше симптомам присоединяется еще и резкая боль, то это говорит о возникновении острого состояния:
- аппендицит, как простого, так и осложненного;
- холецистит;
- хронический панкреатит;
- панкреонекроз поджелудочной железы;
- острая кишечная непроходимость;
- холецистопанкреатит.
Все эти заболевания относятся к неотложным состояниям, приступать к их лечению следует незамедлительно и чаще всего помощь будет заключаться в оперативном вмешательстве.
О чем говорит головокружение при ксеростомии у пожилых
Комплекс сухости слизистой оболочки рта с головокружением в пожилом возрасте должен насторожить человека вдвойне, ведь он всегда предупреждает о серьезных проблемах со здоровьем.
В частности, речь идет о проблемах с автоматической регуляцией снабжения кровью головного мозга, возникающих по двум основным причинам:
- наличии первичного поражения головного мозга, проявляющегося сухостью слизистой оболочки рта и головокружением;
- наличии прочих болезней, приводящих к интоксикации либо обезвоживанию, сокращающим объемом циркулирующей крови, в следствие чего кровенаполнение мозга падает, расстраивается иннервация всех органов, в том числе и слюнных желез.
Сопутствующие симптомы
Патологический сидром сопровождается дискомфортом в полости рта в момент употребления пищи и в период общения. Иные симптомы, кроме жжения, проявляются с нарастающей болезненностью и отечностью.
Язык приобретает насыщенно-красный цвет с белесым налетом. Появляется затруднение в глотании, жевании и разговоре. Происходит нарушение вкусовых качеств и повышение чувствительности.
В обычной форме без особых патологических изменений явление протекает в легкой степени, не затрагивая дыхательные пути. Если воспалительный процесс захватывает более сильно, то наблюдается наличие плотного более сильного налета с образованием эрозий и язв и сопровождается отечностью всей ротовой полости.
При запущенной ситуации возможно:
- запах гнили изо рта;
- повышенное течение слюны;
- увеличение лимфатических узлов;
- повышение температуры тела.
Диагностика
При диагностике проводят ряд следующих обследований:
- сиалометрия;
- биопсия слюнных желез.
Для больных, у которых наличие сухости во рту остается неясным, сиалометрия может быть проведена путем размещения устройств для сбора слюны за отверстиями основных протоков, а затем стимуляции выделения слюны лимонной кислотой или при жевании парафина.
В основном выделение слюны из протока одной околоушной железы составляет 0,4–1,5 мл/мин. Контроль скорости выделения слюны также может помочь определить ответ на лечение.
Причина ксеростомии часто очевидна, но если причины и провоцирующие факторы не ясны специалистам, дальнейшая оценка должна проводиться с биопсией малых слюнных желез (для обнаружения синдрома Шегрена, болезни Бенье-Бека-Шаумана, амилоидной дистрофии, туберкулеза или опухолевых заболеваний). Нижняя губа является удобным местом для проведения биопсии слюнных желез.
Ксеростомия: острые и хронические заболевания
Существует ряд острых и хронических заболеваний, служащих причиной, почему сушит во рту:
-
Острые и хронические интоксикации ядовитыми веществами, для выведения которых организм нуждается в большом количестве жидкости. Очень часто сухость отмечается на фоне приёма алкоголя. Этиловый спирт преобразуется в организме в ацетальдегид, который обладает токсическим воздействием.
- Гиповитаминоз, А вызывает ороговение слизистой оболочки полости рта. Частички сухого ороговевшего эпителия начинают закупоривать протоки слюнных желёз.
- Токсикоз беременных. Очень часто беременные женщины жалуются на то, что у них пересыхает во рту по ночам. Такое состояние может сопровождаться тошнотой и рвотой.
- Сахарный диабет. Очень часто пересыхание языка в ночное время является первым симптомом этого заболевания. Ещё одним очевидным симптомом диабета является повышенное мочеотделение. Сочетание этих симптомов может означать наличие серьёзной проблемы.
- Заболевания центральной нервной системы могут привести к нарушению регуляции слюноотделения. К таким заболеваниям относятся: цереброваскулярная болезнь, болезни Паркинсона и Альцгеймера, неврит тройничного нерва.
- Сиалостаз. Это заболевание полоти рта развиваются в результате закупорки протоков слюнных желез. Причиной могут быть посттравматические рубцы, инородные тела в протоках слюнных желез, воспалительные процессы или разрастание железистой ткани (например, при болезни Микулича).
- Острые и хронические инфекционные заболевания, которые сопровождаются общим обезвоживанием и интоксикацией организма. Очень большое количество влаги теряется в ночное время при повышенном потоотделении. Это позволяет вывести из организма токсины.
- Хирургические заболевания органов пищеварительной системы в стадии обострения. Такой симптом может наблюдаться при язвенной болезни желудка с прободением, панкреатите, острой кишечной непроходимости, аппендиците, холецистите.
- Развитию ксеростомии в ночное время может способствовать курение табака.
Как устранить сухости во рту в пожилом возрасте
Первое, что необходимо сделать, чтобы устранить неприятное ощущение – увеличить объем потребляемой жидкости. Ее надо пить часто (в течение дня), маленькими глотками.
Лучше всего пить воду, слегка подкисленную лимонным соком, или некрепкий и несладкий чай. Можно также воспользоваться небольшим кусочками льда на язык.
Полностью справиться с сухость слизистых оболочек можно только одним способом — ликвидировав причину провоцирующую состояние сухости.
В том случае, когда причиной появления этого неприятного симптома является побочное действие принимаемого лекарственного препарата, следует обратиться к лечащему врачу с просьбой подыскать равноценную замену этого лекарства.
Если функция слюнных желез утрачена не полностью, то специалист может простимулировать ее, прописав медикаменты, способствующие усилению их секреции. В том случае, когда с причиной сухости полностью справиться невозможно, либо это можно сделать, но за достаточно продолжительный промежуток времени, необходимо временно поддерживать необходимый уровень влажности во рту. Эту проблему можно решить несколькими способами:
- пользоваться специальным увлажняющим средством, так называемым «заменителем слюны»;
- сократить прием напитков с кофеином, чая, кофе, а также от газированных напитков, поскольку они только усиливают ощущение сухости во рту;
- оставить вредные привычки, такие как курение и употребление спиртных напитков, поскольку они подсушивают слизистую оболочку полости рта;
- установить увлажнитель воздуха в помещениях;
- следует почаще сосать леденцы, не содержащие сахар, но обладающие вкусом корицы, мяты, цитрусовых, а также жевать жвачку, это способствует выработке слюны во рту.
Сушит во рту: причина появления симптома, диагностика нарушений и их лечение
Многие люди замечают в те или иные периоды своей жизни, что у них сушит во рту. Причина появления недостаточного слюноотделения может быть как незначительной и легко устранимой, так и серьезной, требующей лечения патологического процесса. Организм — это система, нормальное функционирование которой зависит от слаженной работы всех ее органов и систем. Есть большой перечень нарушений, которые приводят к обезвоживанию человека.
Они приводят к возникновению сухости во рту, которую не всегда удается убрать, восполнив недостаток жидкости в организме. Каждому пациенту нужно быть внимательным к ощущениям в ротовой полости и при наличии сухости в ней, обратиться к доктору.
Диагностика
Не должна быть оставлена без внимания жалоба пациента на то, что у него сушит во рту. Причина требует диагностики под руководством опытного врача. Ему необходимо собрать анамнез и тщательно его проанализировать, для того чтобы определиться с необходимыми анализами и диагностическими процедурами для пациента.
Это может быть целый комплекс мероприятий, зависящий от клинической картины:
- Анализы слюны и исследования механизма слюноотделения поможет определить, есть ли у больного патологии работы слюнных желез.
- Общие анализы крови и мочи покажут врачу, в каком состоянии находится организм больного, нет ли скрытого воспалительного процесса и анемии.
- Измерение глюкозы в крови и толерантности к ней у больного нужно для исключения диабета.
- УЗИ слюнных желез поможет определить наличие опухолевых процессов, камней или неврита в слюнных железах.
- Серологический анализ крови покажет, нет ли у человека болезни Шегрена.
Это самые распространенные анализы и исследования при проблемах со слюноотделением. Изучив клиническую картину, доктор может корректировать их перечень на свое усмотрение, исходя из целесообразности их проведения.
Чем опасна
Нужно ли беспокоиться человеку, если у него сушит во рту? Причина этого явления может быть спровоцирована наличием патологического процесса или не быть с ним связанной, но определить ее нужно обязательно. Если слюны не хватает, то для ротовой полости это катастрофа, так как в ней нарушается нормальный баланс микрофлоры.
Происходит бурный рост болезнетворных микробов, которые становятся причиной болезней десен и разрушения зубов. У некоторых пациентов наблюдается кандидоз в полости рта. У людей с дефицитом слюны часто сухие и воспаленные губы, на которых нередко образуются трещины.
Какой врач может помочь
Если человек замечает, что сушит во рту, причина данного явления может заключаться в сбоях в работе организма, поэтому рекомендовано проконсультироваться у следующих специалистов:
- Стоматолог проверит состояние зубов и десен пациента, наличие у него кариеса и воспалительных процессов в деснах.
- Эндокринолог проверит состояние щитовидной железы и направит на анализ крови на сахар, чтобы не пропустить развитие диабета. В случае нарушений может быть назначен препарат Новотирал или Тиреотом.
- Отоларинголог обследует на наличие заболеваний органов дыхания.
- Гастроэнтеролог поможет диагностировать заболевание желудочно-кишечного тракта, ели они присутствуют.
- Кардиолог проверит работу сердца.
- Невропатолог оценит работу нервной системы пациента.
Причина недостатка слюны у пациента редко бывает очевидной, прежде чем врач ее определит, пациенту нужно будет сдать необходимые анализы и исследовать организм с помощью рекомендованных доктором методов диагностики.
Лечение с помощью средств народной медицины
С сухостью ротовой полости можно и нужно бороться с помощью средств народной медицины. Это поможет избавиться от неприятного симптома, еще до постановки диагноза. Конечно, консультацию врача отменять не стоит. Одним из лучших способов устранить недостаток выработки слюны во рту является полоскание отварами из ягод черники, корня аира, ромашки и шалфея. Их нужно готовить отдельно, взяв 1 ст. л. сухого сырья, залить стаканом кипятка и настаивать не менее получаса. Далее нужно отвары процедить и полоскать ими поочередно ротовую полость.
Набухшие ягоды черники после этого нужно съесть. В аптеке нужно приобрести масло, изготовленное из спелых плодов шиповника и раствор «Хлорофиллипта», также содержащий в своем составе масло. В нос сначала закапываем первое средство, отдыхаем четверть часа, а потом капаем второе. На одно применение следует набрать пол пипетки масляного раствора, этого будет достаточно. Курс лечения составляет 10 дней.
Полезно проводить полоскания рта полынью и календулой. Чтобы приготовить средство в стакан с кипяченой водой комнатной температуры нужно добавить по 30 капель настойки этих трав. Полоскания следует проводить перед едой, трижды в день. После этого нужно не кушать 20 минут. После еды ротовую полость можно полоскать оливковым или подсолнечным маслом, которое после проведения процедуры нужно выплюнуть. Можно вместо полоскания протирать слизистую смоченной маслом ваткой. Оно хорошо обволакивает ротовую полость и препятствует потере влаги.
Разжевывание листиков мяты помогает справиться с симптомов при недостаточной активности слюнных желез и повышенном сахаре в крови. За четверть часа до еды следует разжевать несколько помытых листьев, тщательно вымытых в воде. Разжёвывание неизмельченной пряности кардамон после еды поможет справиться с сухостью. Это нужно делать после каждого приема пищи и не полоскать рот после этого минимум час.
Как повысить слюноотделение
Когда у человека сушит во рту, причина не всегда связана с наличием серьезного заболевания.
Для того чтобы слюны стало больше, следует выполнить следующие действия:
- Обратить внимание на питьевой режим, чтобы обеспечить достаточное поступление воды в организм. По мнению врачей, количество потребляемой жидкости должно быть не менее двух литров.
- Позаботиться о том, чтобы воздух в доме был достаточно увлажненным, а его температура не была слишком высокой или низкой.
- Пересмотреть рацион питания, исключив из него пищу, нарушающую водный баланс. Следует отказаться от алкоголя и кофе, которые провоцируют возникновение сухости в ротовой полости. Лучше кушать блюда комнатной температуры, имеющие жидкую консистенцию.
- Поместить в рот жвачку без сахара или леденец. С увлажнением ротовой полости хорошо справляется кубик льда, если его постепенно рассасывать.
- Принимать настойку эхинацеи пурпурной по 10 капель каждый час.
Каждый человек может выбрать для себя подходящий способ, но лучше их применять в комплексе, тогда от сухости во рту не останется и следа. Если же дефицит слюны возникает часто, то следует обязательно проконсультироваться у врача.
Осложнения при сухости во рту
Ксеростомия может привести к проблемам со здоровьем полости рта. Слюна ломает углеводы и содержит клетки борющиеся с патогенными микроорганизмами вызывающие инфекции.
Если не лечить, ксеростомия может привести к следующим осложнениям с течением времени:
- гингивит или воспаленные, раздражения десен из-за наличия бактерий;
- периодонтит или воспаление вокруг ткани зубов;
- молочницу или кандидоз полости рта из-за роста грибка кандиды в ротовой полости.
Сухой рот также может привести к проблемам со сном и повлиять на вкусовые рецепторы.
Методы лечения
Для устранения причин, вызывающих дискомфорт и синдром «горящего языка», необходимо пройти терапевтический курс.
Медикаментозная терапия
Лечение подбирается индивидуально, но содержит общий перечень действий, направленных на выздоровление:
- обработка поражённых площадей антисептиками с эффектом обезболивания и уничтожения патогенных бактерий (Октенисепт, Метрогил Дента, Мирамистин);
- тщательный уход за ротовой полостью путем полосканий пищевой содой, отварами лечебных трав (ромашка, календула, чистотел, зверобой) и аппликациями с использованием масла облепихи, шиповника, персика (помогают заживлению и регенерации тканей);
- в случае аллергической реакции, необходимо прекратить использование препаратов, содержащих возможный аллерген, и принять антигистамины и энтеросорбенты;
- при проблемах с обменом веществ требуется курс витаминотерапии;
- если синдром вызван инфекцией, следует начать прием антибактериальных и противовирусных средств;
- в случае наличия камня на зубах делать гигиенические процедуры по его устранению правильно и аккуратно;
- питьевой режим не менее 1,5 л жидкости в сутки (если нет патологии почек).
Народная медицина
При общей терапии можно прибегнуть и к народным методам лечения полости рта, которые обладают успокаивающим, противомикробным, обезболивающим, заживляющим и антисептическим свойствами.
- Отвар коры дуба. 20 гр на 500 мл воды доводят до кипения, настаивают и сцеживают. Полученным раствором полоскают каждые 4 часа в сутки.
- Отвар из сухих цветков ромашки, зверобоя или бессмертника. 1 ч. л. на стакан крутого кипятка, настоять около 15 минут. Полоскать ротовую полость раствором до 3 раз в день.
- Творог со сметаной. Перемешать, завернуть в марлю и приложить на площадь языка на 5 часов.
- Масло персика и шиповника. Смазывают поверхность языка.
- Крепкий зеленый чай. 1 ст. л. на стакан воды, заварить и настоять накрытым 1 час. Полоскать с интервалом 5-6 часов.
- Содо-солевой раствор. На стакан воды по 1 ч. л. пищевой соды и морской соли. Хорошо перемешать и полоскать каждые 2 часа.
Прогноз и рекомендации
Ксеростомия у пожилых людей обычно лечится после терапии основного заболевания. Принимайте лекарственные препараты в соответствии с рекомендациями специалистов и избегайте сладких продуктов и напитков. Если сухость во рту продолжает быть для вас проблемой, поговорите с врачом. Это может быть побочным эффектом каких либо препаратов.
Сухость во рту становится все более распространенным состоянием в старческом возрасте, вероятно, это обусловлено приемом различных препаратов, обычно используемых пожилыми людьми, а также самим по себе старением.
Клинические признаки
Уменьшение количества выделяемой слюны в ночное время не может не обратить на себя внимания. Наиболее часто клиническими признаками ксеростомии являются:
- Повышенная жажда и ощущение сухости. Это вынуждает человека пить больше жидкости и как следствие приводит к более частому и обильному мочеиспусканию.
- На фоне сухости слизистой пациенты начинают жаловаться на ощущение боли и першения в горле.
- Развивается воспалительный процесс красной каймы губ — хейлит. При этом кайма краснеет, отекает и шелушится. В уголках губ появляются болезненные трещинки.
- Язык при ксеростомии также пересыхает, краснеет и может начать шелушиться. Пациенты начинают жаловаться на зуд и жжение на языке.
- Из-за сухости слизистых у пациента изменяется тембр голоса, речь становится невнятной, а голос осипшим.
- Возможна потеря чувствительности вкусовых и тактильных рецепторов слизистой рта.
Вас может заинтересовать: Скопление слизи в горле: причины, симптомы, лечение
Заболевание может сопровождаться резким неприятным запахом изо рта.
Лечение домашними средствами
Если сильно сохнет во рту, можно воспользоваться народными средствами для устранения этой проблемы:
- Каждый час принимать по 10 капель спиртового экстракта эхинацеи. Курс лечение не должен превышать 2 месяцев.
- В пищу можно добавлять небольшое количество острого перца чили. Это можно делать только при условии, что у вас нет заболеваний пищеварительной системы.
- Можно рассасывать небольшие кубики льда.
- Пищу можно сделать более увлажнённой с помощью соусов. Её следует употреблять полужидкой или мягкой, комнатной температуры или слегка тёплой.
- Чтобы увеличить количество выделяемой слюны. можно чистить зубы пастами с содержанием фтора и пользоваться бальзамами для полоскания рта.
При повышенной сухости слизистой полости рта следует отказаться от употребления в пищу сухариков, орешков, сухофруктов и хлебцев. Кроме того, следует ограничить употребление сладкой и солёной пищи.
Особенности применения и дозировка Мексидола при ВСД
Многие годы безуспешно боретесь с ДИАБЕТОМ?
Глава Института: «Вы будете поражены, насколько просто можно вылечить диабет принимая каждый день…
Читать далее »
Как применять Мексидол при ВСД? Вегето-сосудистой дистонией страдает каждый третий житель нашей планеты. ВСД негативно влияет не только на деятельность головного мозга, но и поражает нервную систему. Люди, которые страдаю ВСД, часто рассеяны, быстро устают и жалуются на низкую работоспособность.
Огромную роль в нормализации состояния больного отводится препаратам-антиоксидантам, одним из которых является Мексидол.
Основные свойства
ВСД трудно поддается лечению. Основными причинами данного заболевания считают стресс, пассивный образ жизни, злоупотребление алкоголем и спиртным.
Симптомы болезни проявляются в следующем:
- Учащенное сердцебиение.
- Затрудненное дыхание и чувство кома в горле.
- Нестабильное артериальное давление.
- Боли в области сердца и в груди.
- Повышенная потливость.
- Приступы панических атак.
- Головокружение.
- Обмороки.
- Нарушение половой функции.
Вегетативно-сосудистые патологии часто являются причиной психических и неврологических заболеваний.
Достаточно часто, человек, борясь со страхом, начинает принимать алкоголь или медикаментозные средства, которые вызывают зависимость. Действие Мексидола при ВСД благоприятно влияет на состояние пациента.
Терапевтический эффект Мексидола заключается в следующем:
- помогает предотвратить кислородное голодание;
- обладает иммуностимулирующим действием;
- уменьшает болевой порог;
- предотвращает развитие ишемии и гипоксии мозга;
- способствует усвоению новой информации, улучшению памяти внимания;
- улучшаются интеллектуальные способности;
- помогает быстро уснуть;
- увеличивает стрессоустойчивость;
- уменьшает забывчивость;
- повышает сообразительность;
- успешно убирает умственное перенапряжение;
- оказывает ноотропное действие.
«Мексидола» стимулирует микроциркуляцию крови. Терапевтическое воздействие Мексидола заметно при суточной дозировке препарата от 100 до 1 200 мг. Это лекарственное средство не вызывает привыкания и воздействует на человеческий организм как дневной транквилизатор. Экспериментально доказана терапевтическая эффективность препарата при вегетативных патологиях.
Мексидол оказывает усиливающее воздействие противосудорожных средств, снотворного, антидепрессантов, транквилизаторов и нейролептиков. Это дает возможность снизить дозировку вышеперечисленных лекарств.
Противопоказания
Препарату свойственны следующие негативные проявления:
- При патологиях печени возможен болевой синдром в области печени, за счет ее увеличения.
- Влияние на беременных до конца не изучено и может таить риск воздействия на плод ребенка.
- При лактации возможно негативное воздействие на здоровье грудничка.
Детям данное средство не рекомендовано.
При лечении может наблюдаться побочный эффект:
- чувство сухости в ротовой полости;
- тошнота и рвота после приема препарата;
- может возникнуть сонливость или наблюдаться усталость;
- возможны аллергические реакции;
- при длительном приеме возможно привыкание;
- бывает снижение внимания.
Как облегчить свое состояние
Чтобы убрать жжение или хотя бы облегчить раздражающий симптом, нужно строго следовать рекомендациям врача. Также помогут следующие рекомендации экспертов в области стоматологии:
- откажитесь от алкоголя и курения,
- прекратите использовать ополаскиватели для ротовой полости на основе спирта,
- откажитесь от использования зубной пасты с лаурилсульфатом натрия в составе,
- ограничьте потребление напитков с высокой кислотностью: сладкие газировки, соки, кофе,
- проводите полоскания антисептическими средствами и отварами из лечебных трав – только по назначению врача,
- разнообразьте рацион продуктами, богатыми витаминами и полезными микроэлементами.
Восстановление может занять некоторое время, поэтому не отчаивайтесь, если в первые дни лечения неприятный симптом сохраняется. Нормализация питания, отказ от вредных привычек и тщательная гигиена полости рта в конечном итоге помогут избавиться от проблемы.
Тиреотоксикоз
Еще одно эндокринное заболевание – тиреотоксикоз, может вызывать постоянную сухость во рту.
Тиреотоксикоз развивается как осложнение зоба в результате повышения в крови содержания гормонов щитовидной железы и нарушения обменных процессов.
Сухость во рту при тиреотоксикозе вызывает усиленное выведение жидкости из организма.
Помимо этого больные ощущают тахикардию, тремор рук, чувства страха и тревоги, повышенную раздражительность, потливость. Могут быть такие симптомы, как диарея и рвота.
При подозрении на тиреотоксикоз также надо обращаться к эндокринологу.
Жжение во рту и на языке: чем может быть вызвано и как лечить
Когда жжение языка возникает после употребления чего-то острого или спиртного, это – нормальное явление, которое проходит самостоятельно. Если же симптом беспокоит человека без видимой причины, появляется часто, сопровождается другими необычными ощущениями и нарушением самочувствия, необходимо обратиться к врачу. Такая ситуация может говорить о развитии в организме патологического процесса. Причиной какой болезни может стать жжение во рту, чем его снять и многое другое – читайте далее в статье.
Что может вызвать жжения во рту и на языке?
Последствия ночной ксеростомии
Результатом длительной ксеростомии могут быть:
- быстрое распространение кариозного разрушения зубов;
- нарушения со стороны околозубных тканей (пародонтит, пародонтоз);
- рецидивирующие язвенные стоматиты бактериального и грибкового происхождения;
- нарушение переваривания пищи, распространение воспалительного процесса на другие органы пищеварения;
- интоксикация, связанная с постоянным воспалением;
- нарушение разговорной речи.
Профилактические мероприятия
Предотвратить появление жжения во рту и горле можно только, предупредив их причину. Для этого достаточно полноценно питаться, повышать иммунитет (заниматься спортом, закаливать организм и так далее), отказаться от вредных привычек, уделять достаточно времени гигиеническим процедурам полости рта, своевременно обращаться к специалистам при незначительных симптомах, проходить профосмотры, предупреждать травмирование слизистой оболочки рта.
Даже небольшое жжение языка должно стать поводом для визита к врачу. Большую часть заболеваний можно быстро устранить без последствий и предотвратить их переход в хроническую форму, если обращать внимание на незначительные симптомы.
Когда необходимо обратиться к врачу
Если человек начинает испытывать дискомфорт в области рта, например, у него появляется жжение и образуются язвы на языке или деснах, то нужно обращаться к стоматологу. Специалист обязан провести диагностические мероприятия и начать лечение. В том случае, когда пациенту нужна помощь другого специалиста, ему выписывают направление на консультацию.
В зависимости от причины возникновения, выделяют первичную и вторичную стадию.
Если после полного медицинского обследования не удается выявить, какие отклонения вызывают дискомфорт, диагностируют первичную глоссалгию. Предполагается, что такие проблемы в ротовой полости вызваны вкусовыми проблемами в нервной системе. Если синдром жжения полости рта возник на фоне развития других заболеваний, болезнь принято называть вторичной.
Можно ли определить причину патологии по симптомам
О каких заболеваниях или нарушениях может идти речь, когда жжение внутри рта сопровождается тем или иным сопутствующим симптомом?
| Симптом | Возможная причина |
| Полость рта «горит» | Глоссит, афтозный стоматит, ожог, анемия, климакс. |
| Сухость и жжение во рту | Сахарный диабет, аллергия, прием антибактериальных средств, диуретиков, синдром Шегрена (сбой в работе слюнных желез). |
| Жжение неба | Инфекционные болезни, депрессивные расстройства, стрессы, ожог или травмирование. |
Кислое жжение во рту, на корне языка, пощипывание слизистой после приема пищи может быть свидетельством гастрита, гатсроэзофагеального рефлюкса, язвенной болезни и других патологий ЖКТ. Если жжет десны – возможен пародонтоз, а жжение, сопровождающееся тахикардией, нарушением сна, снижением массы тела и нервозностью, может быть признаком гипотиреоза.
Что предлагает народная медицина
Сразу нужно оговориться, что любые рецепты народной медицины можно применять только после согласования со своим лечащим врачом. В противном случае можно только усугубить ситуацию. Если причина в инфекционном воспалении, нередко сами специалисты назначают полоскания отварами из лечебных трав.
В данном отношения прекрасно себя зарекомендовали кора дуба, аптечная ромашка, шалфей. Для приготовления отвара достаточно залить стаканом кипятка одну столовую ложку любой из выше перечисленных трав и дать средству настояться. Далее состав следует процедить и использовать по назначению.
Особенности лечения
Лечение жжения языка направлено на устранение причины и снятие симптоматики. При зубном камне рекомендуется пройти чистку зубов. Если «виноваты» протезы – обратиться к специалисту и заменить/откорректировать конструкцию. При заболеваниях ЖКТ следует параллельно проводить лечение выявленной патологии.
- убрать легкое пощипывание поможет полоскание с антисептиками, например, с «Фурацилином», использование «Мирамистина» в форме спрея,
- при травме слизистой можно использовать раствор Люголя,
- убрать болевые ощущения сможет аппликация «Лидокаина», «Новокаина» или других анестетиков,
- при невротической природе врач назначит соответствующие препараты (настойку валерианы, пустырника или более действенные успокоительные).
В некоторых случаях поможет «Мирамистина» в форме спрея В каждом случае лечение назначает только врач, исходя из данных диагностики.
Как лечат ксеростомию
Комплексная терапия:
- Стимуляция деятельности слюнных желез. Назначают растворы йодида калия, Пилокарпина, Галантамина, масляные растворы Ретинола.
- Увлажнение полости рта:
- гели, выполняющие функцию заместителей слюны: Bioton, Salagen, Oralbalance Bioral и др.; гель наносят пальцем и слегка втирают на внутреннюю поверхность щек, небо и десны;
- линейка Biotene (США) включает в себя зубную пасту, щетку, ополаскиватель, увлажняющий гель, жевательные резинки; все компоненты предназначены для лиц с ксеростомией; оказывает антисептическое, противовоспалительное и увлажняющее действие;
- спрей Гипосаликс (Биокодекс, Франция), обладающий теми же свойствами, но более удобный в обращении;
- можно также полоскать рот водой с лимонным соком, отваром цветков ромашки, а также пить воду часто небольшими глотками;
- При появлении эрозий и язвочек во рту их можно смазывать облепиховым или оливковым маслом; несколько раз в день можно набирать полный рот растительного масла и держать его по 3 – 5 минут, после чего выплюнуть.
- Физиотерапевтические методы лечения: электрофорез с йодистым калием, гальванотерапия, и т.д.
- Различные виды массажа (вакуумный, вибрационный и др.).
- Курсы рефлексотерапии (иглоукалывание, прижигание, точечный массаж).
- Терапия заболевания, симптомом которого является ксеростомия, проводится после полного обследования больного.
Советуем также ознакомится со статьей: Почему мужчины храпят: как лечить храп
Более подробно о том, что делать, когда во время сна немеют руки
Лечение
Снять раздражение на кончике языка и облегчить болевые ощущения, поможет щадящее питание: супы, пюре, слизистые каши комфортной температуры. Обязательным является исключение из рациона острой и пересоленной пищи, а также избытка сахара.
Несколько раз в течение дня и особенно после еды следует осуществлять полоскания растворами Фурацилина, Хлоргексидина или слабого раствора марганцовки. При обширных или глубоких поражениях с ярким болевым синдромом применяются аппликации с анестезирующими растворами.
Некротический налет удаляется ватным тампоном с Трипсином или Химотрипсином, после чего также проводят обработку дезинфицирующими растворами.
Хорошими помощниками станут безобидные народные средства: полоскания и примочки с лечебными отварами ромашки, череды, коры дуба, календулы. Но при условии отсутствия аллергической реакции и индивидуальной непереносимости.
Решение о приеме антибиотиков, противогрибковых препаратов, иммуностимуляторов должно быть принято исключительно врачом. При глубоких поражениях с развитием абсцесса пациента могут направить на операцию. Однако в большинстве случаев при грамотном выявлении причины раздражения языка, ее искоренение осуществляется успешно.
Чтобы эта победа была окончательной, в дальнейшем необходимо строгое соблюдение указанных доктором мер профилактики основных заболеваний, гигиены полости рта, проведение общих процедур, укрепляющих здоровье. Иммунный барьер повысит спортивный образ жизни, полноценное питание и отказ взрослого человека от вредных привычек.
Данное явление обычно сопровождается дополнительными симптомами, которые разнятся, в зависимости от причины проблемы. Самыми распространенными признаками патологического состояния являются следующие проявления:
- пересушенность губ,
- онемение кончика языка,
- болезненные ощущения в полости рта,
- покалывания по всей поверхности разговорного органа,
- металлический привкус, горечь,
- нездоровый налет на языке и других поверхностях ротовой полости.
Одни пациенты испытывают постоянное чувство жжения, у других синдром приобретает приступообразный характер. Причин данному явлению может быть довольно много, поэтому без помощи специалиста в этом вопросе не обойтись.
Если причина в системных нарушениях, пациенту могут быть назначены ноотропы для восстановления работы нервной системы, витамины группы В, С, РР, седативные препараты и легкие транквилизаторы, курс фолиевой кислоты, анальгетики и антидепрессанты. Также в обязательно порядке назначаются местные средства для нормализации состояния тканей полости рта.
Однозначно необходимо:
- подкорректировать свой режим дня и питания:
- исключать из рациона острые и кислые предметы отказаться от алкоголя
- отказаться от применения средств для полости рта, содержащих алкоголь
Предлагаем ознакомиться: Флуконазол при кандидозе полости рта
Необходимо тщательно подойти к выбору зубной пасты, возможно, придется выбрать зубную пасту для детей.
Если печет во рту, пить спиртное нельзя.
Можно полоскать рот раствором пищевой соды и заменить таким полосканием чистку зубов.Поможет слюноотделению и смягчению чувства жжения во рту жевание жевательной резинки. Но без сахара, а с ксилитом.Рекомендуется также сосать кубики льда или пить воду во время активизации неприятных и болезненных ощущений во рту.
Сейчас перечислим основные рекомендации, которые могут пригодиться людям, испытывающим синдром «горящего языка» или других явлений, провоцирующих жжение во рту. Давайте разберем, что делать, чтобы частично или полностью купировать данное состояние.
В первую очередь, необходимо отказаться от использования средств для промывания полости рта, которые содержать спирт.
Следует избегать зубных паст, где находится лаурилсульфат натрия.
Во время чистки зубов необходимо использовать пищевую соду и воду. Отказ от вредных привычек: произвольное или непроизвольное травмирование слизистых оболочек и языка, употребление алкоголя, табака и других вредных веществ, способен положительно повлиять на динамику выздоровления.
Напитки с высокой кислотностью могут раздражать полость рта и вызывать неприятные ощущения, так что, их лучше избегать. Часто сосание кубиков льда облегчает жжение во рту у пациентов, которые систематически страдают от таких симптомов.
Многие люди при появлении первых признаков обращаются к методам народной медицины, чтобы отложить по различным причинам, визит к врачу.
В определенных ситуациях данные меры вполне оправданы, но они никак не могут ровняться по эффективности с использованием современных медикаментов, и могут лишь облегчить страдания пациента.
Виды терапии данного явления включают применение различных лекарственных препаратов, традиционно используемых для его минимализации, лежащих в основе других заболеваний, таких как депрессия и хроническая боль.
Трициклические антидепрессанты, нейролептики, противосудорожные препараты, анальгетики, бензодиазепины и средства защиты слизистой оболочки оказались эффективными для некоторых пациентов и имеют неплохие отзывы.
Локальный капсаицин также призван устранять или смягчать такие неприятные ощущения. Так что, можно взять данную информацию на вооружение.
Если врач исключит такие стоматологические заболевания, как афтозный стоматит, ротовые язвы и сухость, а также другие болезни зубов и десен, вполне вероятно, что вам придется посетить и терапевта или другого узкого специалиста для дальнейшего диагностирования.
Только после того, как доктора удостоверятся в отсутствии аллергии, синдрома Шегрена, нехватки минеральных веществ и витаминов, а также проверит гормональный фон, может пойти речь о самостоятельном диагнозе – хроническом синдроме, вызванном нервным расстройством или дисфункцией отдельных участков ЦНС, отвечающих за передачу вкусовых и болевых ощущений в мозг.
У некоторых людей на внутренней поверхности резцов формируются конгломераты зубного камня из-за отсутствия проведения необходимых гигиенических мер.
В таких локациях скапливаются патогенные микроорганизмы, способные выделять кислоты в процессе своей жизнедеятельности.
Систематические прикосновения языка к данным участкам рано или поздно могут спровоцировать микровоспаления на слизистой оболочке, что чревато возникновением жжения во рту. Устранения зубного камня способно решить эту проблему.
Синдром «горящего языка» сам по себе достаточно редкое явление. Он встречается у малого количества людей, но симптомы, которые по субъективным ощущениям пациентов, очень с ним схожи, могут проявляется во время течения различных недугов.
Общие заболевания лечит доктор соответствующей специализации, назначая комплексное лечение в зависимости от вида патологии. Проводятся мероприятия по повышению иммунитета, нормализации работы желудка, стабилизации уровня глюкозы в крови, лечению неврозов и т.д.
Если данное негативное явление возникло из-за ожога, сопровождающегося чувством жжения, и он вызван химикатами — немедленно позвоните врачу, еще лучше в скорую помощь.
Часто опасные химические вещества проглатывают дети, в этом случае требуется незамедлительное врачебное вмешательство.
Дома можно оказать пострадавшему первую помощь: нужно тщательно прополоскать рот и с водой удалить жгучее вещество, возможен и другой вариант, например, с помощью марлевого тампона.
Затем следует развести все, что попало в желудок, для этого пациенту необходимо выпить много воды.
- После консультации стоматолога ликвидация очагов патологической импульсации в полости рта от зубо-челюстной системы.
- Нормализация тонуса вегетативной нервной системы:
- стимуляторы тканевого обмена- курсы витаминов группы В (В1, В6,В12),
- ноотропные средства, в зависимости от характера нервно-психических нарушений (транквилизаторы, антидепрессанты и др. средства, улучшающие кровоснабжение головного мозга и тканей полости рта). Курс лечения необходимо провести после консультации с невропатологом.
- Местные средства: аппликации на язык 2% раствора новокаина, 10% раствора лидокаина, полоскания прополисом, настоем трав.
- В некоторых случаях применяется физиотерапия – электрофорез на солнечное сплетение и шейные вегетативные узлы, гирудотерапия у специалиста.
| Клинические признаки | Заболевания |
| Щиплет кончик языка | Ожог, лейкоплакия, стоматит |
| Щиплет под языком | Грибковая, бактериальная инфекция, воспаление слюнных желез |
| Язык покрыт белым налетом | Болезни ЖКТ, кандидоз |
| Сохнут губы | Аллергический, медикаментозный стоматит, красный плоский лишай |
| Язык щиплет постоянно | Дисбактериоз, повышенная кислотность желудка, холецистит |
| Щиплет язык и горло | Грибковый стоматит, герпетическая инфекция, пищевая аллергия |
| Щиплет язык по утрам | Некачественная зубная паста, стоматит |
| Сыпь на языке | Герпетический стоматит, аллергия, термический ожог |
| Язык красный, малиновый | Употребление окрашивающих продуктов, скарлатина, тонзиллит, болезнь Кавасаки, пищевое отравление, дефицит витамина В₁₂ |
Если раздражение тканей спровоцировано ношением протеза, следует его заменить.
Сухость вокруг рта
Если ткани пересыхают не только во рту, но и снаружи – это первый признак грандулярного хейлита. Заболевания, которое характеризуется нарушением работы слюнных желез на границе красной каймы губ. Распространена хворь среди лиц старше 30 лет и пожилых людей. В 80% случаев в патологический процесс вовлекается только нижняя губа.
Пациенты редко обращаются к врачу на ранних стадиях хейлита, так как симптомы в этот момент выражены слабо. Затем хворь развивается и самочувствие больного резко ухудшается: кожа вокруг рта покрывается эрозиями, язык становится сухим, уголки трескаются. Страдалец начинает облизывать губы, что усугубляет состояние еще сильнее. Трещины объединяются и образуют одну крупную рану. Вылечить патологию можно с помощью хирургических методов или лазерной терапии.
Предболезненные симптомы
У беременных
Сухость ротовой полости у беременных также случается. Вообще у беременных женщин, соблюдающих питьевой режим, это явление крайне редкое, ввиду того, что при беременности слюноотделение, как известно, только увеличивается. Если сухость вызвана жаркой погодой, то повода для беспокойства нет.
Но когда сухость сопровождается кислинкой и привкусом металла, то это говорит о гестационной форме сахарного диабета. Диагностировать его можно анализами на содержание глюкозы.
Также сухость во рту у беременных, сопровождающаяся частым мочеиспусканием, признак переизбытка магния и резкого дефицита калия.
Диабет и проблемы с ЖКТ
Сухость во рту и постоянная жажда — признаки диабета. Те же симптомы, сопровождающиеся болями в животе, говорят о патологии кишечника. Если к этому добавляется и жёлто-белый налёт на языке плюс изжога и повышенное газообразование, то можно говорить о патологиях желудочно-кишечного тракта и ещё целого ряда заболеваний, включая проблемы с желчным пузырём и дискинезию желчевыводящих путей.
Различные формы неврозов, психозов и других проблем нервно-психологического характера также характеризуются указанными признаками. При их наличии, вкупе с болезненностью правого бока, можно говорить о желчекаменной болезни или холецистите.
Гипотония
Гипотония тоже сопровождается признаками сухости во рту. К этому добавляется ещё и головокружение. Эта проблема в последние годы поразила большинство жителей планеты и многие просто не обращают на это внимание. Но слабость, головокружение и боль в затылочной области должны насторожить каждого, у кого эти признаки появились. Это может привести к гипотоническому кризу или шоку. Гипотоники и гипертоники довольно часто страдают головокружением, слабостью и сухостью во рту, особенно вечером.
Как видим, простая, казалось, проблема, связанная вроде бы только со ртом, может предупредить о многих начинающихся довольно серьёзных заболеваниях. При появившихся тревожных симптомах следует незамедлительно обратиться к своему врачу и пройти соответствующее обследование. Любую болезнь легче предупредить, чем потом её лечить.
Рекомендуем пить в день не менее 2 литров чистой воды. Добавьте в свой рацион острый перец, если нет противопоказаний. Перец активизирует слюноотделение, так как в нём содержится капсаицин, стимулирующий работу слюнных желез.
Надеемся, что в данном материале вы не нашли никаких симптомов, которые могли бы быть у вас!
Мы так любим Вас и ценим Ваши комментарии, что готовы каждый месяц дарить по 3000 руб. (на телефон или банковскую карту) лучшим комментаторам любых статей нашего сайта (подробное описание конкурса)!
- Оставьте комментарий к этой или любой другой статье.
- Ищите себя в списке победителей на нашем сайте!
Вернуться к началу статьи или перейти к форме комментария.
Мать двоих детей. Веду домашнее хозяйство уже более 7 лет — это и есть моя основная работа. Люблю экспериментировать , постоянно пробую различные средства, способы, методики, которые могут сделать нашу жизнь легче, современней, насыщенней. Люблю свою семью.
Особенности диагностики и варианты лечения проблемы
Прежде всего нужно отправиться к стоматологу и выяснить истинную причину проблемы. Только на основании результатов проведенного обследования врач сможет вынести точный диагноз и назначить подходящее лечение. Если он сразу установит, что виной всему являются не стоматологические проблемы, то направит вас к нужному специалисту: терапевту, гастроэнтерологу, невропатологу и др. В рамках диагностики может потребоваться общий и биохимический анализ крови, оценка состояния щитовидной железы, обследование внутренних органов и систем.
На заметку! Нередко рассматриваемый симптом связывают с неудовлетворительной гигиеной полости рта. В таком случае человеку достаточно пройти профессиональную чистку и в дальнейшем обеспечить качественный уход за зубами и деснами. После процедуры симптом пройдет сам собой. Если причина в неправильно установленной или поврежденной пломбе, коронке, протезе или брекетах, для устранения жжения достаточно будет исправить дефект.
Если причина в системных нарушениях, пациенту могут быть назначены ноотропы для восстановления работы нервной системы, витамины группы В, С, РР, седативные препараты и легкие транквилизаторы, курс фолиевой кислоты, анальгетики и антидепрессанты. Также в обязательно порядке назначаются местные средства для нормализации состояния тканей полости рта. На время лечения придется исключить алкоголь и отказаться от сигарет, спиртосодержащих растворов для обработки слизистой. В целом, подробный план лечения может составить только опытных специалист, а без предварительной диагностики и выявления причины синдрома сделать это невозможно.
Профилактика жжения
Для снижения вероятности возникновения боли и жжения во рту, следует:
- соблюдать гигиену путем полоскания рта после употребления пищи и чистки зубов 2 раза в сутки, эти процедуры нужно проводить с детства;
- пользоваться антибактериальными ополаскивателями и зубной нитью, чтобы поддерживать чистоту десен;
- устранять своевременно любые инфекции и заболевания, чтобы жжение не проявилось как сопутствующий симптом;
- правильно питаться, включая в рацион нужные для поддержания здоровья микро- и макроэлементами;
- искоренять вредные привычки, приводящие к травмированию слизистой рта нужно (это относится к прикусыванию губ или языка), в ранки могут попадать вредоносные бактерии, которые приведут к развитию инфекции;
- внимательно подбирать средства для гигиенических процедур, в составе некоторых паст или спреев содержатся вещества, вызывающие аллергическую реакцию;
- проходить осмотр у стоматолога минимум 2 раза в год для поддерживания нормального состояния здоровья, детям следует посещать этот кабинет чаще;
- поддерживать сбалансированное питание, которое будет укреплять иммунитет и создаст барьер для проникновения вредоносных микроорганизмов.
Для снятия симптомов при первых признаках заболевания можно делать следующее:
- употреблять в основном мягкую пищу, комфортной температуры;
- использовать напитки комнатной температуры из трав или молока;
- делать масляные примочки для быстрой регенерации пораженных тканей;
- проводить полоскание содовым раствором или отварами трав для снятия болей;
- исключить из рациона слишком острые и соленые блюда, содержащие уксус и специи.
Ставить диагноз и лечиться медикаментами следует только под наблюдения врача.
Причины возникновения полидипсии при сахарном диабете
Возникновение и последующее усиление полидипсии при инсулинозависимом диабете указывает на последующее увеличение уровня глюкозы.
Главными причинами этого состояния могут быть следующие: обезвоживание, повышенное отделение мочи, увеличенная концентрация сахара в крови.
Недуг еще может развиваться вследствие водно-электролитных нарушений в организме.
Профилактические меры
- Пить больше чистой воды. Именно обезвоживание чаще всего становится причиной утренней сухости во рту, поэтому в день нужно употреблять не меньше 1,5 л воды без учета чая, соков или компотов.
- Увеличить количество свежих фруктов и овощей в рационе. Они на 70-90% состоят из воды, поэтому отлично подходят для борьбы с сухостью, а кислые фрукты еще и активизируют дополнительную выработку слюны.
- Отказаться от сухих продуктов: крекеров, печенья, сухарей, чипсов и т. д. За счет своей структуры они, попадая в желудок, практически выкачивают воду из организма, провоцируя пересыхание слизистой.
- Следить за уровнем влажности и температурой воздуха в спальне: чаще проветривать комнату и в теплое время года оставлять окно открытым на ночь, регулярно проводить влажную уборку и т. д.
Кроме этого, лучше не пить в вечернее время кофе и напитки с мочегонным эффектом, из-за которых организм будет активно терять жидкость, ужинать не позднее, чем за 2-3 часа до сна, а перед тем, как отправиться в кровать, прополоскать рот водой с несколькими каплями лимонного сока.
Стоматологические проблемы
В эту группу предпосылок входит неудачное протезирование, неправильный прикус и ряд других ситуаций, приводящих к воспалительным процессам во рту и входящих в компетенцию зубных врачей разных специализаций. Если щиплет кончик языка, причины и лечение может определить стоматолог. Неприятные ощущения на языке пройдут сами собой после устранения раздражающих факторов. Главные из них:
| Проблема | Симптомы | Причины | Лечение |
| Кандидоз | Белый налет в виде творожистых отложений. Возможно покраснение.
Покалывания на кончике мышечного органа. |
Поражение ротовой полости и/или горла грибком Candida. | |
| Ношение зубных протезов | Ощущение, что язык «печет», которое может распространяться и на соседние участки ротовой полости. | Ортодонтическое лечение. | |
| Аллергия на протезы и уходовые средства | Кончик языка красный и щиплет или чешется. Покраснение.
Возможно онемение. |
Контакт с аллергеном в составе протезов и коронок, а также средств по уходу за полостью рта. | Употребление антигистаминных средств и энтеросорбентов. Исключение аллергеносодержащей продукции.
Замена коронок и протезов. |
| Зубные отложения и кариес | Болезненность. Краснота.
Зуд. Жжение. |
Гигиена полости рта. Профессиональная чистка.
Лечение пораженных зубов. |
|
| Лейкоплакия слизистой полости рта | Нарушение слущивания эпителия. | Курс лечения кератолитическими препаратами. Санация полости рта.
Отказ от курения. |
|
| Бруксизм | По утрам щиплет кончик языка. Скрип зубами во сне.
Травмирование слизистых. Стирание эмали зубов. |
Неврологические, стоматологические, психологические, врожденные и некоторые внутренние заболевания. | Применение ночных зубных кап. Лечение поврежденных зубов.
Консультация невролога, стоматолога, психолога и других специалистов. |
Воспаления, вызванные стоматологическими проблемами, помогут снять мази и кремы с противовоспалительным и регенерирующим действием: Метрогил дента, Солкосерил и другие. Необходимо делать полоскания после еды раствором Фурациллина или иного дезинфицирующего препарата.



















