Консистенция – одна из характеристик слюнной жидкости во рту, о которой мало кто задумывается беспричинно. Чаще всего о том, что она может видоизменяться, человек узнает, когда в его организме нарушается обмен веществ. Однако слюна во рту может становиться вязкой и липкой по самым разным причинам, и лечение дефекта напрямую зависит от того, что именно послужило предпосылкой для его развития.
Почему слюна меняется
Слюна нужна для обволакивания пищи и легкого продвижения еды по пищеварительному тракту. Биологически активные вещества и ферменты, которые находятся в слюне, принимают активное участие в метаболизме, а также помогают расщеплять еду уже в ротовой полости.
Помимо этого в жидкой биологической среде содержится лизоцима. Благодаря этому веществу слюна имеет антибактериальные свойства и предотвращает инфицирование организма.
В зависимости от времени суток вырабатывается в разном объеме. Например, днем количество фермента увеличивается, а во время сна сокращается в несколько раз. Изменение функций возможно из-за разной консистенции слюны и ее состава.
Понять причину вязкой слюны во рту можно только в лабораторных условиях, ведь клиническая картина заболеваний может быть разной, а симптомы зависят от характера и вида провоцирующих факторов.
Нормальная слюна
Слюна — один из важнейших секретов организма, который выделяют в ротовую полость слюнные железы. Каждые сутки мы производим около 1-2 литров этого слизистого секрета. Слюна выполняет множество функций, в том числе смазочной жидкости, что позволяет нам комфортно кушать и говорить; слюна мощная антибактериальная жидкость. Она содержит несколько ферментов, которые помогают в переваривании пищи .
Как правило, слюна жидкая, слегка мутная, абсолютно не раздражает и имеет слабокислый характер. Любые отклонения от нормальных свойств указывает на заболевание – местное или системное.
Слюна в норме
В организме здорового человека в сутки вырабатывается до двух литров слюнной жидкости. В ее задачи входят процессы облегчения жевания, говорения и обеззараживание. Восприятие вкусовых качеств пищи также зависит от степени обработки ее слюнной жидкостью. Для того чтобы все эти процессы протекали в норме, слюноотделение должно быть достаточным, а сам фермент — прозрачным или слегка мутноватым, жидким и не ощутимым для человека. Нарушение консистенции сразу становится заметно: ощущается дискомфорт, речь становится несвязной, начинаются проблемы с пищеварением, зубами и слизистыми рта.
Какие функции выполняет слюна?
В норме естественная жидкость за день выделяется в количестве около двух литров. Днем слюноотделение более ускоренное, а к ночи замедляется. Основная ее задача:
- облегчить процесс пережевывания и переваривания пищи – в данном секрете содержатся особые ферменты, которые участвуют в начальном расщеплении веществ;
- помогать при разговоре – при уменьшении количества слюны или увеличении вязкости дикция слегка нарушается;
- способствовать вкусовому восприятию, чтобы человек мог получать удовольствие от еды;
- уничтожать патогенные бактерии – данная жидкость является природным антисептиком, что отображается в более быстром заживлении ран на слизистой, чем на кожном покрове.
В норме слюна имеет консистенцию, схожу на воду, а по цвету должна быть прозрачной или немного мутной. При этом ее присутствие во рту практически не ощущается. И лишь при нарушении состава, человек ощущает, что что-то не так. Например, вязкая жидкость мешает вести активный разговор, ухудшает вкус еды, появляется дискомфорт, ухудшается процесс пищеварения и т. д.
Что должно насторожить
Чаще всего жалобы пациентов связаны с тем, что в утренние часы слюна становится не такой как обычно: липкой, густой или пенистой. В эти моменты можно наблюдать следующие признаки:
- сухость в ротовой полости;
- пощипывание языка;
- не проходящая жажда;
- нарушенное вкусовое восприятие;
- осиплость, постоянно першит в горле;
- затруднение при жевании и глотании;
- воспаление десен или полости рта;
- появляются трещины на губах;
- налет на зубах.
Эти симптомы являются следствием изменения консистенции и состава слюнной жидкости. Если появились подозрения, связанные с вязкой слюной, можно проверить их обоснованность или развеять при помощи несложного теста. Для этого понадобится пипетка и секундомер.
Тест проводится утром, натощак. Сначала в пипетку набирается обычная вода, в количестве одного миллилитра, и наблюдается, за какое время она вытечет. Затем то же самое проделывается со слюной. В норме эти два показателя должны быть примерно одинаковыми.
Такое исследование не является достоверным показателем отсутствия или присутствия заболевания. При любых подозрениях на сбой в организме следует обратиться к специалисту и провести лабораторные анализы.
Врачи определяют вязкость жидкости при помощи прибора — вискозиметра. Если он подтвердил, что во рту у пациента густая и вязкая слюна, медик установит причину и назначит соответствующее лечение. Для диагностики придется сдать дополнительные анализы и посетить узких специалистов, поэтому самостоятельное лечение недопустимо.
Почему возникает проблема
Густая слюна – симптом, с которым могут сталкиваться многие пациенты. Тягучая, пенистая жидкость – результат сбоя в выработке гликопротеина-муцина (высокомолекулярные компоненты, несущие ответственность за формирование пищевого комка). Другие причины густой слюны – нарушения со стороны вегетативной нервной системы, употребление в пищу продуктов с резкими запахами и выраженными вкусами (усиливают слюноотделение).
Патологические факторы, обуславливающие появление белой слизи во рту:
- Синуситы. Это активные воспалительные процессы в носовых пазухах, которые «заявляют о себе» густой и вязкой мокротой и неприятным запахом изо рта. Сопли из носа попадают в ротовую полость, оттуда – в глотку, стекают по задней стенке горла, оказываются в желудке. Хроническое течение синуситов, помимо местных признаков, может осложняться регулярными сильными головными болями, лихорадочными состояниями, слабостью.
- Ксеростомия. В данном случае вязкая слюна и слизь во рту – следствие нарушения работы самих слюнных желез. Дополнительные симптомы: припухлость, плотность языка, сухость, раздражение, ощущение жжения на слизистой. Горло может болеть, першить, работа вкусовых рецепторов нарушается.
- Грибковый кандидоз. Заболевание инфекционной природы, развивающееся на фоне иммунного сбоя в организме. Так, слюна становится липкой у пациентов, которые на продолжительной основе принимают препараты – кортикостероиды (гормоны) либо антибиотики. Кроме этого, грибок кандида попадает в ротовую полость контактным путем (через поцелуй, при совместном использовании предметов личной гигиены). Сопутствующий дискомфорт: дисфагия, привкус металла во рту, жжение и зуд слизистых.

Такие распространенные респираторные болезни, как ангина, ларингит, фарингит также приводят к появлению пенистой слюны. Инфекция поражает миндалины, обуславливает образование гнойных пузырьков на задней стенке горла – при саморазрешении таковых гнойный экссудат вытекает в ротовоую полость, провоцирует появление гнилостного запаха (привкуса), ощущение густой слизи во рту. Кроме этого, течение таких заболеваний сопровождается повышением температуры тела, обезвоживанием, дисфункцией слюнных желез – количество продуцируемого секрета снижается, слюна во рту густеет.
Стоматологические проблемы также могут являться «виновниками» появления густой вязкой слюны. Пародонтит, пародонтоз (воспалительные поражения мягких тканей ротовой полости) приводят к патологическим изменениям структуры десен, количество вырабатываемой слюны уменьшается. Кроме этого, элементы эпителиальной ткани смешиваются с секретом, делают его тягучим, густым.
Важно! Острые инфекционные заболевания – брюшной тиф, дизентерия, гепатит – также приводят к тому, что во рту появляется белая слюна.
Сбои в работе органов желудочно-кишечного тракта провоцируют возникновение густой слюны в горле. Гастроэзофагельная рефлюксная болезнь приводит к тому, что желудочная кислота поднимается по пищеводу, достигает ротовой полости. Так, слюнные железы вынуждены продуцировать больше секрета для нейтрализации действия желудочного сока на слизистую – консистенция слюны меняется.
Почему еще слюна может становиться вязкой и густой:
Причины вязкости во рту
- эндокринные сбои в организме (гормональная перестройка у беременных женщин, в период полового созревания у подростков, во время менопаузы);
- аутоиммунные патологии (имеют неясную этиологию и с трудом поддаются любой терапии, течение таких заболеваний сопровождается изменением работы всех желез, в том числе слюнных);
- обезвоживание организма. Поскольку вода является основным компонентом слюны, ее дефицит приводит к повышению вязкости секрета;
- повышенная сухость воздуха в помещении;
- курение;
- продолжительное воздействие аллергенов на организм;
- лекарственное лечение (антидепрессанты, антигистаминные средства, гормональные препараты).
Густая пенистая слюна сопутствует течению сахарного диабета. Наряду с указанным симптомом, пациенты сталкиваются и с другими проявлениями: сухость слизистой рта, постоянная жажда, нарушение вкусовых ощущений, боль, жжение в глотке, трещины на языке, неприятный зловонный запах изо рта.
Диагностика
При обращении к специалисту с проблемами, связанными с консистенцией слюны, врач будет использовать для диагностики следующие методы:
- общий осмотр живота, лимфоузлов, шеи, щитовидной железы и изучение анамнеза;
- проведение анализа крови: общего и биохимического;
- анализ мокроты;
- изучение состояния горла и гортани при помощи ларингоскопии;
- прослушивание со стетоскопом;
- фарингоскопическое исследование слизистых оболочек;
- может быть назначено рентген-исследование;
- проверка состояния желудочно кишечного тракта при помощи УЗИ и ФГС.
В некоторых случаях врач может назначить прием к узкопрофильным специалистам: неврологу, эндокринологу, гастроэнтерологу, отоларингологу, онкологу.
Слизь в горле рецепты народной медицины
В некоторых случаях удается победить заболевание, не прибегая к помощи лекарственных препаратов. Перед использованием любых средств стоит проконсультироваться со специалистом. Скопление слизи в области горла можно лечить с помощью:
1) Полосканий горла. Самым доступным способом является использование соли, соды и йода. Для достижения максимального эффекта полоскание проводят каждые три часа. При приготовлении раствора потребуется по чайной ложке соли и соды, которые заливаются стаканом кипятка. Перед использованием в полученное средство добавляется несколько капель йода. Полоскания можно проводить и с помощью отвара ромашки, календулы.
2) Ингаляций. Проверенный метод лечения слизи в горле – картофель. Овощ очищают и варят до полной готовности. Затем картофель разминают, при этом рекомендуют добавить немного соды. Больной человек должен сесть перед кастрюлей, накрывшись одеялом. Около 10 минут нужно дышать теплым воздухом
Важно не обжечься, так как в первые минуты пар очень горячий.
3) Компрессов, помогающих в разжижении и отхождении мокроты. Воздействие оказывается комплексно на всю носоглотку. Для этого нужно хорошо отжать свойский творог, завернуть его в ткань и обернуть шею. Сверху компресс фиксируется полиэтиленом, теплым шарфом. Процедуру стоит проводить на ночь.
4) Использование натуральных растительных масел. При лечении слизи издавна использовалось эвкалиптовое масло, при этом его категорически запрещено употреблять внутрь. Наиболее эффективный способ – добавление средств в пульверизатор.
5) Смазывания горла спиртовой настойкой прополиса.
6) Растирания передний поверхности шеи качественным нерафинированным маслом с солью.
Для уменьшения образования слизистого секрета часто используют листья трехлетнего алоэ, промолотые и смешанные с медом. Употребляется по столовой ложке после каждого приема пищи. Облегчить состояния поможет употребление подогретой минеральной воды (Боржоми, Ессентуки) с медом.
Важно: даже проверенные временем народные рецепты способны причинить вред организму. Если по истечении нескольких дней не наблюдается улучшение состояния, самолечение следует прекратить и обратиться за помощью в ближайшее лечебное заведение.
Причины вязкости и тягучести
Причины сухости во рту после болезни проявляются значительно ярко. Слишком вязкая слюнная жидкость часто вызывает обезвоживание из-за недостаточного потребления жидкости, и интоксикацию, которая сопровождается поносом и рвотой. Также причиной густых слюней могут быть побочные действия лекарственных препаратов. Сбой в работе слюнных желез вызывают следующие средства:
- мочегонное;
- антигистаминное средство;
- антидепрессанты;
- некоторые обезболивающие;
- химиотерапия и лучевая терапия.
В этом случае достаточно отмены препарата или замены его другим.
Причиной какой болезни сухость во рту может являться? Часто с таким симптомом сталкиваются курильщики со стажем. Помимо сухости в ротовой полости, слюна становится тягучей и липкой. При серьезных отклонениях в консистенции слюны от нормы единственным решением может быть отказ от вредной привычки.
Еще одной причиной вязкой слюны может стать гормональный сбой, который возникает при беременности, во время климакса или переходного возраста. В таких случаях медицинская помощь не требуется.
Слюноотделение
В основном выделение слюны связано с пищеварением и контролируется вегетативной нервной системой. Нервные окончания, находящие в ротовой полости, передают информацию о количестве и составе пищи в определенный отдел головного мозга. Затем соответствующая команда передается слюнным железам, которые начинают выделять необходимое количество слюны. При этом выделяется как жидкая, так и вязкая слюна.
Также слюна может выделяться не только потому, что в рот попала пища. Подобную информацию могут передавать мозгу органы обоняния или зрения. Часто просто вид кислого лимона способствует слюноотделению или запах свежего хлеба. Кроме того, повышенное слюноотделение при попадании в организм человека опасные вещества, при стоматитах, гингивитах, неврозах, энцефалите и токсикозе беременных.
Основные причины
Сбои в работе слюнных желез обычно относят к следующим причинам:
- паротит, болезнь Микулича, сиаладенит, сиалостаз — это болезни слюнных желез, при которых сами железы увеличиваются в размерах, становятся болезненными, а количество выделяемой слюны уменьшается;
- муковисцитоз — врожденное заболевание, поражающее железы внешней секреции;
- склеродермия — помимо выделения слюны разрастается соединительная ткань слизистых оболочек;
- при нехватке витамина А объем эпителиальной ткани увеличивается, тем самым закупоривая протоки слюнных желез;
- повреждения нервных окончаний в районе головы и шеи;
- травмирование слюнных желез;
- ВИЧ-инфекция.
Диагностирование излишнего образования слизи
При появлении первых признаков излишнего образования слизи в горле необходимо обратить пристальное внимание на ее консистенцию. Тягучие образования темного цвета говорят о серьезном заболевании
Постановка точного диагноза является залогом эффективного лечения.
Врач в обязательном порядке должен провести ряд процедур:
• Тщательный анализ жалоб больного и общий осмотр шеи, лимфоузлов, щитовидной железы, живота.
• Фарингоскопия. Визуальное исследование слизистой оболочки горла не требует особой подготовки пациента и использования сложного оборудования.
• Ларингоскопия. Перед процедурой рекомендуют воздержаться от принятия пищи и напитков, чтобы уменьшить проявления рвотного рефлекса.
• Биохимический и общий анализ крови.
Кандидозный стоматит
Причиной какой болезни сухость во рту может являться? Это состояние характеризуется белым налетом на языке и в полости рта. Сопровождается вязкой и тягучей слюной. Чаще всего эту патологию диагностируют у детей и у пожилых людей старше 60 лет.
Причинами кандидозного стоматита являются:
- снижение иммунитета;
- ксеростомия;
- беременность;
- сахарный диабет;
- изменение гормонального фона;
- бактериальные воспаления в организме;
- нарушение правил гигиены полости рта;
- прием антибиотиков.
Болезнь можно диагностировать по таким признакам, как боль в горле, вязкость слюны, неприятный металлический привкус во рту, белый налет, жжение на языке. Чаще всего кандидозный стоматит появляется из-за снижения сил иммунной системы.
Побелевшая слюна

В белый цвет слюнную жидкость окрашивают характерные для этой инфекции отложения в виде творожистого налета, которые покрывают слизистые оболочки рта. Для избавления от заболевания применяют местные и внутренние противогрибковые препараты, укрепляют иммунитет.
Парадантоз
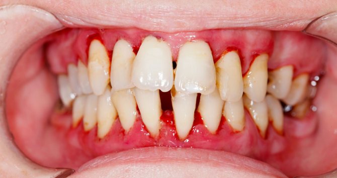
При парадантозе может появиться липкая слюна. Поражение тканей возле зубов сопровождается болью, повышением температуры и другими признаками, а также это влияет на консистенцию слюнной жидкости, она становится вязкой и липкой. У пациентов с такой патологией нарушается жевательная функция и начинают кровоточить десна.
Если не лечить парадантоз, процесс проникает в глубокие ткани, что может вызвать воспаление. Образующийся налет и камень становятся причинами шатания и выпадения зубов.
Заболевание сопровождается подвижностью зубов, зудом и неприятными ощущениями в деснах
Основные методики лечения слизи в горле
Главная задача лечения образования слизи в горле – воздействие на причину болезни и полное устранение неприятных ощущений. При среднем и тяжелом течении патологии применяют антибактериальные средства. Преимущество отдается цефалоспоринам. Также ЛОР-врачами могут предлагаться следующие методики:
1) Употребление синтетических аптечных лекарств. На современном рынке представлено множество эффективных и безопасных препаратов. Непосредственно воздействует на мокроту Амброксол, Карбоцестеин, Месна, Бромгексин. В результате происходит ее разжижение.
2) Полоскания, а также промывка носа и горла. Процедуру разрешено проводить, начиная с 3 лет. Широкое распространение получил раствор фурацилина и марганцовки. Полоскания горла возможно с Мирамистином, Хлоргексидином. Йоксом.
3) Назначение комплекса антигистаминных средств (Лоратадин, Супрастин) при определении аллергического компонента.
4) Растирания, допустимы только при отсутствии температуры. Допустимо использовать мед со спиртом, козий жир.
5) Использование иммуномодуляторов. Стимулирование собственных защитных сил организма позволяет справиться с проблемой в более короткие сроки.
6) Массаж, лечебная физкультура, дыхательная гимнастика.
7) Для закрепления полученного результата проводится курс физиотерапии в условиях поликлиники.
Как облегчить состояние, когда слюна густая
Человек, который столкнулся с проблемой вязкой и липкой слюны, испытывает множество неприятных ощущений. Кроме дискомфорта могут участиться вспышки заболеваний десен, языка, горла, а зубы становятся более подвержены кариесу. Поэтому при появлении такого симптома необходимо проводить лечение, использую консервативные или народные методы.
Определив, почему слюна стала вязкой, врач назначает вспомогательные методы воздействия, которые помогут быстрее вернуться к обычному состоянию:
- искусственная слюна;
- увлажнители ротовой полости, бывают в виде гелей и спреев;
- специальные ополаскиватели;
- обильный прием жидкости;
- специализированные жевательные резинки и леденцы.
К народным средствам лечения относят: чай из шалфея, смазывание горла маслом персика с прополисом и ингаляции с эвкалиптом. Но такие средства лучше всего обсуждать с врачом.
Дополнительно к медикаментозному лечению можно отнести отказ от алкоголя, газированных напитков, кофе и сигарет — они обезвоживают слизистую рта. Также к минимуму придется свести употребление молочных продуктов. Специалист обязательно посоветует пить более 1,5 литра воды в сутки и чистить зубы мягкой щеткой, чтобы не ранить обезвоженные десна. Не лишним будет приобрести увлажнитель воздуха для дома.
Народные средства
Взятые 4 ст. л. измельченной коры и хвои сосны запаривают литром кипятка, после проваривают еще 10 минут на медленном огне, оставляют настаиваться на час. Схема приема: напиток пьют по 2 ст. л. трижды в день. Полезно утром и вечером смазывать слизистую рта смесью настойки прополиса и персикового масла. Соединяют по ½ ст. л. сока алоэ и меда, принимают лекарство 1–2 раза в день.

Лечение аптечными средствами
В зависимости от заболевания, которое привело к изменению консистенции слюны, медицинские специалисты могут назначать различные препараты. Для того чтобы снять раздражение в горле и ротовой полости, а также разжижать слюну, назначают следующие средства:
- Рефлекторного действия — такие составы воздействуют на нервные окончания, провоцируя тем самым дополнительную выработку слюны. После начала приема пациенты отмечают, что проходит кашель, связанный с раздраженным горлом. Сюда можно отнести такие препараты, как «Алтейка», «Стоптуссин», «Термопсол».
- Препараты муколитического действия. Такие составы разжижают мокроту, не увеличивая ее количество, к ним относятся: «Мукалтин», «Амброксол» и подобные.
- Резорбтивные препараты — уменьшают вязкость за счет того, что становится много слюны. Такие средства запрещены для детей до семи лет.
Методы лечения
Эффективное лечение невозможно без устранения основной патологии, которая привела к появлению вязкой слюны. После выявления провоцирующего фактора врач подбирает комплексную терапию. Она включает процедуры и лекарства для устранения основной болезни и средства для борьбы с мокротой.
Для разжижения и выведения слизи применяют средства, которые оказывают такие действия:
- муколитическое;
- рефлекторное;
- резорбтивное.
Средства с рефлекторным эффектом воздействуют на рефлексы, приводя к возбуждению нервных окончаний. Благодаря применению таких препаратов удается нормализовать дыхание и выведение мокроты. Подобные вещества стимулируют мышцы к сокращению и очищению от слизи, однако она должна иметь нормальную консистенцию. Если же наблюдается густая вязкая мокрота, нужно пить муколитики.
К лекарствам, оказывающим рефлекторное действие, относят следующее:
- стоптуссин;
- алтейка;
- колдрекс бронхо;
- термопсол.
Средства резорбтивного действия оказывают на мокроту местное влияние и способствуют ее разжижению благодаря увеличению объема. Такие вещества запрещены детям раннего возраста. К активным ингредиентам подобных средств относят йодид калия и натрия, хлорид аммония, гидрохлорид натрия.
Если у человека образуется вязкая слюна во рту, ему могут быть назначены такие процедуры:
- полоскания;
- ингаляции;
- промывания;
- компрессы;
- растирания.
При подборе тактики терапии специалист непременно должен учитывать склонность человека к аллергии. Некоторым пациентам нужно принимать антигистаминные препараты. Они позволяют справиться с симптомами аллергии. К самым популярным средствам из этой группы относят:
- супрастин;
- фенистил;
- цетрин или его аналоги;
- кларитин;
- лоратадин.
Важно учитывать, что антигистаминные препараты не дадут желаемого эффекта, если человек будет продолжать контактировать с аллергенами.
Если образование слизи в горле обусловлено аномалиями строения носовой полости, возникает необходимость в проведении оперативного вмешательства. Благодаря выполнению данной процедуры удается скорректировать положение перегородки. Это способствует восстановлению дыхания и обеспечивает поступление в организм требуемого объема кислорода.
Если провоцирующим фактором выступает патология пищеварительной системы, пациенту требуется соблюдать специальную диету, которая поможет предотвратить дальнейшее прогрессирование недуга.
К немедикаментозным методам помощи относят дыхательную гимнастику. Благодаря выполнению особых упражнений удается очистить организм от мокроты и предотвратить ее накопление в области горла. Такие процедуры обеспечивают развитие легких, что положительно сказывается на состоянии иммунной системы.
Иногда слюна во рту густеет и пенится из-за гормональных изменений. В этом случае лечение не требуется. Такое состояние временно и нормальное слюноотделение восстановится сразу же после стабилизации гормонального фона.Когда нужно выяснить почему у пациента во рту вязкая слюна врач проводит клинический опрос, осмотр, дает направление на анализы крови и мочи. После диагностики и выяснения причин густой слюны, врач определит тактику лечения.
Необходимо комплексно подходить к проблеме. Полное устранение симптома возможно только после того, как вылечено заболевание его провоцирующее (кандидоз, пародонтит, ангина и т. д.)
Симптоматическое лечение сводится к восстановлению достаточного уровня влажности в ротовой полости. Для этого применяют:
- полоскания отварами противовоспалительных трав и раствором пищевой соды (1 ч. л. на 2 стакана воды);
- применение гелиевых заменителей, например, таких как Oralbalance или Bioxtra. Они выпускаются в виде спрея и устраняют сухость во рту сразу же после распыления, а также обладают противобактериальным эффектом, ;
- ингаляции паром и увлажнители;
- муколитики ˗ медикаментозные препараты, усиливающие отделение слюны и разжижающие ее (Ацетилцистеин, Бромлейн, Папаин, Папайя‐ЖКТ).
- полоскания отварами противовоспалительных трав и раствором пищевой соды (1 ч. л. на 2 стакана воды);
- применение гелиевых заменителей, например, таких как Oralbalance или Bioxtra. Они выпускаются в виде спрея и устраняют сухость во рту сразу же после распыления, а также обладают противобактериальным эффектом, устраняя запах изо рта;
- ингаляции паром и увлажнители;
- муколитики ˗ медикаментозные препараты, усиливающие отделение слюны и разжижающие ее (Ацетилцистеин, Бромлейн, Папаин, Папайя‐ЖКТ).
Профилактика
Предотвратить вязкость слюны поможет соблюдение некоторых правил:
- употребление большого количества жидкости, в сутки не менее 1,5 л;
- отказ от вредных привычек таких, как алкоголь и табакокурение;
- отказ от кофе;
- домашний увлажнитель воздуха;
- правильное питание;
- потребление овощей, фруктов и злаков;
- полоскание рта водой с солью;
- регулярное посещение стоматолога;
- своевременное лечение болезней рта.
Кроме того, регулярно требуется проходить осмотр у дерматолога. Не стоит дожидаться, пока неприятные ощущения перерастут в нестерпимые. Густота слюны является серьезным показателем здоровья человека. И если она отклонилась от нормы, необходимо обратиться к специалисту. Так как только врач может определить точную причину патологии и назначить правильное лечение.
Вязкая слюна во рту: причины и способы лечения
Слюна человека на 96-99% состоит из воды. Остальную часть составляют различные ферменты, соли, кислоты и микроэлементы. Если их концентрация увеличивается, то может меняться вязкость слюны. Слишком густая слюна не только доставляет дискомфорт, но и не может полноценно справляться со своими функциями: пищеварением и обеззараживанием.
Причиной появления густой слюны, как правило, становится какое-то заболевание. Чаще всего врач диагностирует ксеростомию. Она характеризуется резким уменьшением количества слюны, повышением ее густы, сухостью во рту, утолением языка и слизистой. Еще одной «стоматологической» причиной вязкой слюны являются различные формы кандидоза и стоматита, особенно в хронической форме.
Довольно часто такое явление можно встретить на фоне ОРЗ или ОРВИ, а также ангины, тонзиллита, синусита или ларингита. Если ни одна из вышеназванных причин не подтвердилась, то врач назначит консультацию гастроэнтеролога и эндокринолога, так как гастрит, язва, различные гормональные сбои могут тоже стать причиной повышения вязкости секрета слюнных желез.
Однако стоит знать, что помимо серьезных заболеваний, загустение слюны может спровоцировать целый ряд внешних факторов, в том числе длительное нахождение в помещении с сухим воздухом, курение, жажда, воздействие аллергена. Кроме того, слизистая может пересыхать при обычном насморке, когда длительное время приходится дышать ртом.
Прежде чем приступить к лечению слишком вязкой слюны, необходимо определиться с причиной заболевания. Для этого следует посетить стоматолога. Врач проводит осмотр полости рта пациента, и опрашивает его, собирая анамнез. Иногда этих данных бывает достаточно для постановки диагноза, а иногда требуются дополнительные исследования: анализы крови, гастроскопия, проверка гормонального фона и так далее.
До тех пор пока не выяснена причина заболевания, лечение может быть только симптоматическим. Основная задача врача на данном этапе – вернуть пациенту ощущение комфорта, то есть восстановить нормальную консистенцию слюны. Для этого используется целый комплекс процедур, включающий как наружные, так и внутренние средства.
Кроме того, показано использование различных увлажнителей для полости рта и искусственной слюны, которые могут выпускаться в виде спреев или гелей. На период лечения больному показано пить как можно больше жидкости, в первую очередь воды, а после каждого приема пищи жевать резинку без сахара. Данные манипуляции являются прекрасным стимулятором для слюнных желез.
- Считается, что отличным разжижающим средством является хвоя. Она не только снижает вязкость слюны, но и действует как местный антисептик. Для приготовления снадобья потребуется кора и хвоя сосны (продается в аптеке). На литр лекарства потребуется 4сл.л. сухого сырья, которое заливают кипятком и варят на слабом огне 10 минут. После этого лекарство процеживают и принимают по 2 ст.л. натощак, три раза в день.
- Хорошие отзывы можно встретить от смеси сока алоэ с медом. Средства надо взять в равных пропорциях, смешать и поместить в темную бутыль. Принимать по 1 ст.л. два раза в день.
- Помимо этого, можно смазывать полость рта прополисом, смешанным с персиковым маслом, которое обладает прекрасным увлажняющим эффектом.
Несмотря на то, что народные средства кажутся вполне безобидными, при неумелом и неконтролируемом использовании, они способны причинить серьезный вред. Например, и мед, и прополис, и алоэ являются сильнейшими аллергенами. Именно поэтому перед их использованием необходимо получить одобрение у лечащего врача.
Имея в анамнезе такое заболевание, придется полностью отказаться от сигарет, крепких алкогольных напитков и кофе. Молочные продукты также способствуют запустению слюны, поэтому их количество в своем рационе придется сократить, либо после их употребления сбалансировать РН в полости рта при помощи сока или жевательной резинки.
- увеличить объем выпиваемой жидкости, добавлять в нее лед и сок папайи, она содержит фермент папаин, который разжижает слюну;
- полностью отказаться от сигарет, употребления алкогольных напитков, газировок, кофе;
- ограничить в рационе молочные напитки;
- не применять для полоскания рта препараты, содержащие алкоголь.
Независимо от того, почему выделяется вязкая и густая слюна, улучшить состояние поможет полоскание рта растительным маслом (1 ст. л.), употребление его в пищу. Сок из папайи, ананаса, цитрусовых фруктов перед едой разжижает слюну и увеличивает ее отделение. Также рекомендуется использовать жевательную резинку без сахара и таблетки на основе фруктовых соков.
Становится необычно сухой, возникает состояние под названием ксеростомия. Так обозначают его медики. В народе данный симптом более известен как сухость во рту. На первый взгляд это не более чем небольшое неудобство, но это далеко не так. Ксеростомия самым негативным образом влияет на состояние зубов и нарушает вкусовые восприятия, а при отсутствии лечения может привести и к более серьезным последствиям.
Слюна помогает нам ощущать вкус еды и легче ее глотать, находящиеся в ней ферменты способствую пищеварению, она ограничивает вымывание частиц пищи и рост бактерий, а значит, борется с развитием кариеса. Если появляется постоянная сухость во рту, слюна кажется тягучей и густой, изо рта исходит неприятный запах, глотать и даже говорить сложно.
Если появилась постоянная сухость во рту, лучше всего обратиться за консультацией к стоматологу или семейному врачу, так как данный симптом имеет множество самых различных причин. Прежде всего, это может быть воздействие каких-либо лекарственных препаратов. Таковых сотни, в том числе и продающихся без рецепта.
Обязательно обращайте внимание на наличие противопоказаний в прилагающейся инструкции. Сухость во рту могут вызывать препараты от болезни Паркинсона, лекарства от недержания, миорелаксанты, противоотечные и средства от давления. К появлению сухости чаще всего приводит прием антигистаминов, лекарств от тревоги и депрессии.
Сухость во рту по ночам может появиться по причине нарушений ритмов дыхательной системы. Все процессы в период сна замедляются, а к ним относится и секреция слюны. Кроме этого, человек может храпеть или дышать ртом, что приводит к еще большему высушиванию слизистой.
На сухость во рту нередко жалуются пожилые люди. Старение само по себе не является тому причиной, но развитию данного симптома способствует наличие других заболеваний и, как правило, большое потребление различных лекарственных препаратов. Выработка слюны заметно уменьшается и после воздействия химиотерапевтическими препаратами.
К не менее серьезным негативным последствиям могут привести хирургические вмешательства или травмы. Если они вызвали повреждения нервов в области шеи или головы, может появиться сухость во рту. Влияет на ее возникновение и целый ряд других заболеваний, таких как синдром Шегрена, диабет, СПИД, болезнь Паркинсона, а также пристрастие к сигаретам.
Остается выявить причину появления сухости и постараться ее устранить. Если всему виной воздействие препаратов, стоит уменьшить дозу, или, посоветовавшись с лечащим врачом, заменить его другим аналогом. Также рекомендуется прием специальных средств, увеличивающих выработку слюны. В серьезных ситуациях может развиться кариес и следует обязательно посетить стоматолога. Он предложит капы с фтором на ночь или покрытие зубов фтором, для полного его устранения.
Сухость во рту по ночам и в дневное время может быть вызвана частым потреблением кофеина, очень сладкой или кислой пищей, постоянным употреблением табака или алкоголя, использованием противоотечных и гистаминных средств, а также привычкой дышать через рот. Чтобы ее устранить, обязательно избавьтесь от вредных привычек, в том числе распития спиртного и курения.
Используйте для лучшего выделения слюны жевательную резинку или сосательные конфеты. Но только без сахара. Очищайте зубы дважды в день при помощи фторсодержащей пасты и геля. Чтобы увлажнить полость рта, особенно в летнюю жару, используйте кусочки льда и пейте воду небольшими глотками. И наконец, обязательно приобретите увлажнитель воздуха и установите его в спальне.
Слюнные железы секретируют многокомпонентную жидкость, которая состоит преимущественно из воды. Около 5% слюны представлено ферментными соединениями, белками, кислотными остатками солей и множеством микроэлементов. Содержащиеся в полости рта мальтаза и амилаза, будучи органическими ферментами, участвуют в процессе расщепления полисахаридов сразу же после приёма пищи. Благодаря лизоциму контролируется рост болезнетворных бактерий.
Общие сведения
Почему иногда человек наблюдает у себя пенистую и чересчур густую слюну? Всё дело в высокомолекулярном гликопротеине-муцине, который отвечает за формирование и обволакивание пищевого комка. Нарушение в работе этого механизма создаёт трудности с проглатыванием пищи и продвижением её по каналу пищевода.
Из чего можно сделать вывод, что густая слюна-это важный атрибут начального этапа процесса пищеварения. За то какой объем слюны будет выделяться, несёт ответственность вегетативная нервная система. В связи с этим люди, находящиеся в состоянии сна или под влиянием наркоза, испытывают сухость во рту.
Появление чрезмерной густоты и белого цвета слюны обуславливает широкий спектр причин. Активация действий раздражителей, присутствующих в полости рта и запуск импульсов в симпатическом отделе нервной системы, усиливают слюноотделение. Для назначения правильного лечения необходимо диагностировать основное провоцирующее заболевание.
Белый налет и слизь на языке – в чем может быть проблема и как ее решить
Когда слюна становится слишком вязкой и по своей консистенции начинает напоминать слизь, есть повод задуматься о состоянии своего здоровья. Этот симптом может сигнализировать о проблемах в желудочно-кишечном тракте, грибковой инфекции или заболевании слизистой полости рта. Чтобы назначить необходимое лечение, для начала нужно диагностировать проблему, выявить причину изменения состава слюны. Из сегодняшней статьи вы узнаете о том, почему появляется подозрительная слизь на языке, о чем может говорить плотный белый налет и что делать, чтобы избавиться от проблемы.
Причины скапливания слизи
Одна из причин усиленной продукции и скопления слизи в горле – развитие острого респираторного заболевания. Часто такой симптом возникает при воспалительном процессе в верхних дыхательных путях, например, при фарингите, ларингите, ангине, гайморите, рините, синусите.
Воспалительный процесс протекает с усилением продукции слизи, которая в дальнейшем стекает по задней стенке глотки или поднимается из легких. Подобный экссудат способствует очищению дыхательных путей от вредоносных микроорганизмов и уходит самостоятельно после выздоровления.
Иная причина слизи в горле – развитие хронического процесса в верхних дыхательных путях. При несвоевременном начале терапии соответствующих заболеваний возникает интенсивное скопление слизи, что приобретает постоянный характер.
В таком случае симптом проявляется под воздействием провоцирующих факторов на протяжении всей жизни.
К иным источникам скопления слизи в горле относят аллергическую реакцию на определенный раздражитель, патологии желудочно-кишечного тракта, нарушение режима питания, злоупотребление вредными продуктами, наличие вредных привычек, в особенности, курения.
Слизь по утрам
В утреннее время после пробуждения скопление экссудата в области горла обусловлено ЛОР-заболеванием, протекающим с нарушением функционирования региональных экзокринных желез, которые участвуют в продукции слизи.
Дисфункцию и избыточную продукцию слизистого экссудата вызывают следующие факторы:
- Развитие аллергической реакции или инфекционного заболевания. В большинстве случаев появление симптома в утреннее время наблюдается по причине развитие вирусного, бактериального, аллергического, грибкового синусита, медикаментозного, постинфекционного, вазомотрного ринита.
- Разрастание аденоидных вегетаций, развитие воспалительного процесса в данной области – аденоидита.
Реже скопление слизи в горле по утрам происходит по причине развития патологий пищеварительного тракта, при которых забрасывается желудочное содержимое в носоглотку и ротоглотку.
Появление после еды
Усиление продукции слизистого экссудата в горле после употребления пищи происходит по нескольким причинам. Первая – включение в рацион специфической пищи, в особенности, слишком острой или соленой.
Какая основная причины воспаления лимфоузлов на шее?
Кроме того, сюда относят пищу с кислотой, например, с уксусом или лимонным соком. Такие компоненты блюд раздражают слизистые горла, усиливая процесс образования защитной слизи.
Вторая причина появления экссудата после еды – ЛОР-инфекция. При воспалительном процессе в горле, к примеру, вызванном простудой, малейший раздражитель (то есть пища) способствует еще большему усилению симптомов, гиперпродукции слизи, которая при стекании по задней стенке провоцирует кашель.
Кроме того, причиной симптома, возникающего после еды, выступает и аллергическая реакция. При наличии индивидуальной непереносимости определенного продукта, к примеру, шоколада или цитрусовых, их употребление может вызвать усиление продукции слизи (защитный механизм) и кашель.
Причины постоянной слизи
Основная причина постоянного усиления выработки слизи – наличие врожденных или приобретенных аномалий строения верхних дыхательных путей. Классическая форма затекания слизи обусловлена образованием срединной линии носоглотки – кисты Торнвальда.
Часто симптом возникает на фоне искривления перегородки носа, буллезной деформации раковин.
Провоцирующими факторами, способствующими появлению симптома вследствие наличия аномалий в строении дыхательных путей, выступают: курение, проживание в неблагоприятной экологической среде, работа, требующая контакта с вредными веществами (например, вдыхания паров).
Рекомендуем видео:
Почему слизь не откашливается
В некоторых случаях не получается откашливать слизь, находящуюся в горле, на что есть свои причины:
- повышенная температура тела;
- недостаточное содержание жидкости в организме;
- недостаточное функционирование реснитчатого эпителия, что происходит на фоне воспалительного процесса;
- вдыхание сухого или теплого воздуха.
Трудно отхаркивается слизь при постоянном курении, поэтому человеку приходится ее сплевывать.
Другие причины липкой и тягучей слюны
Для уменьшения вязкости слюны рекомендуется использование сока папайи перед приемом пищи, что позволит усилить выделение слюны и уменьшить ее густоту.
В идеале жидкость, выделяемая слюнными железами, должна эффективно смачивать ротовую полость, облегчать пережевывание пищи и вымывание остатков еды из межзубного пространства. Более того, она служит надежной защитой от кариеса и размножений бактерий. Но существует такая патология как густая слюна или даже образование вязкой слизи вместо нее. Заболевание сопровождается ощущением дискомфорта и сухости на деснах и языке.
Курильщики со стажем часто сталкиваются с сухостью слизистых полости рта, которая сопровождается появлением тягучей, липкой слюны. Некоторых такое нарушение сопровождает до полного отказа от вредной привычки.
Причиной темно-желтой слизи может быть бактериальная инфекция. Особенно выделение желтой слюны и слизи наблюдается у человека в результате воспалительного процесса в легких, бронхита. Кроме того, астма и хронический бронхит также вызывают появление желтой слюны. Сезонные аллергические обострения также могут сказаться на выделении слюны желтого цвета.
Причины, не связанные с заболеваниями
Возникает вязкая слюна во рту, сухость и неприятные ощущения в результате других факторов. Избежать или устранить их просто в домашних условиях (либо переждать некоторое время, чтобы организм восстановился сам). Вот распространеннее причины:
- обезвоживание — часто появляется после физической активности, в жаркое время года, после слишком долгого сна;
- сухой воздух — из-за чрезмерной работы отопительной системы развивается сухость слизистых оболочек;
- лучевая терапия — изменение слюны происходит при больших дозах облучения или при обработке горла;
- злоупотребление алкоголем и курение — приводят к обезвоживанию, проблемам секреции всех внутренних желез;
Слюна становится вязкой во время некоторых физиологических процессов и патологий.
Изменение слюны во время беременности
В первом триместре беременности женщины могут ощущать изменения в ротовой полости. Особенно ощутим процесс вечером перед сном и ночью. Возникают дополнительные симптомы: приливы жара, проблемы с желудком, сухость в носу и во рту, металлический привкус, трещины на губах.
Все неприятные ощущения во время беременности, связанные со слюноотделением, зависят от работы гормональной и метаболической системы.
Иногда изменения происходят из-за лекарств, в других случаях — из-за увеличения объема жидкостей в организме. Сухость во рту и измененное слюноотделение сопровождаются частым мочеиспусканием. Ускоренный метаболизм приводит к потливости и, как следствие, может наступить обезвоживание.
Народные способы, которые помогут убрать симптомы
Справиться с неприятными симптомами могут помочь средства народной медицины. Они не могут заменить медикаментозную терапию, выступая исключительно в качестве дополнения. Перед применением любых народных рецептов необходимо проконсультироваться с врачом во избежание неумышленного причинения вреда здоровью:
- Чай из листьев шалфея. 1 ч.л. листьев растения залить стаканом кипящей воды, настоять в течение 5 минут, процедить (отфильтровать). Принимать по стакану чая трижды в день.
- Чай из пажитника. 1 ст.л. семян пажитника измельчить в кофемолке и залить стаканом кипящей воды. Дать настояться в течение 5 – 7 минут. Принимать в течение дня – объем не ограничен.
- Смешать персиковое масло и прополис, смазывать полость рта по мере необходимости.
Причины густой слюны
Слюна может стать густой по следующим причинам:
- Синусит. Хроническое заболевание пазух придаточных пазух носа даёт о себе знать густой мокротой и неприятным запахом изо рта. Слизь, производимая синусами, беспрерывно перемещается изо рта в горло. Носовая полость отекает, а слюна сгущается. Больные прилагают усилия, чтобы освободить горло от липкой мокроты, а затем выплюнуть сгусток. Хроническая форма болезни осложняется головной болью и реже лихорадкой. В случае подозрения на синусит нужно немедленно записываться на приём к отоларингологу.
- Ксеростомия. Внезапное нарушение работы слюнных желёз, осложнённое выраженной сухостью. Слюна при этом становиться очень вязкой. Поверхность языка уплотняется, нарушается работа рецепторов, во рту присутствует чувство жжения. Иногда в горле возникает першение и боль.
- Грибковый кандидоз. Инфекционное заболевание, развивающееся из-за нарушения иммунных функций, после длительного приёма антибиотиков и кортикостероидов. А также спровоцировать его могут контактные пути заражения, предметы личной гигиены. Кандидоз может быть симптомом куда более серьёзных заболеваний: сахарный диабет, туберкулёз, СПИД. При молочнице может ощущаться привкус металла во рту, трудности с проглатыванием пищи, зуд и жжение слизистых оболочек.
- Ангина, фарингит, ларингит. Заболевания поражают область миндалин. Инфицирование вызывает образование гнойных пузырьков, а их самопроизвольный разрыв создаёт дискомфорт во рту. Воспалительный процесс сопровождается повышенной температурой, что лишает организм воды и угнетает функцию слюнных желёз.
- Пародонтит и пародонтоз. Из-за повреждённых тканей дёсны уменьшается количество продуцируемой слюны. Элементы эпителиальной ткани проникают в слюнную жидкость, что делает её тягучей и белой.
- Инфекционные заболевания острого характера: дизентерия, брюшной тиф, гепатит.
- Заболевания желудочно-кишечного тракта. Гастроэзофагельная рефлюксная болезнь (ГЭРБ). При такой патологии желудочный сок поднимается в ротовую полость. В таком случае дополнительное выделение слюны необходимо для нейтрализации желудочной кислоты.
- Эндокринные сбои. Изменение гормонального фона происходит во время беременности, в период полового созревания и при климаксе. Эти причины тоже могут стать причиной густой слюны.
- Аутоиммунные заболевания. Тяжёлое заболевание, практически не поддающееся лечению. Патология проявляется в поражении желёз внешней секреции, в том числе и слюнных.
- Обезвоживание. Вода — главная составляющая часть слюны. Дефицит жидкости в рационе человека приводит к повышению вязкости слюны. Человеку требуется 1,5–2 литра воды в сутки, чтобы избежать состояния дегидратации. Это минимальная доза, которая обеспечивает правильное функционирование всех систем организма.
- Сухой воздух. Часто слюна становится пенистой и вязкой из-за негативного влияния сухого воздуха на органы дыхания. В плохо проветриваемом помещении, где влажность воздуха не соответствует нормам, слизистая рта мгновенно пересыхает. Загустевая, слизь образует корочки по периметру внутренней части горла, что проявляется першением и сухим кашлем. Таким образом, воздушные массы, продвигаясь по дыхательному пути, получают нужное увлажнение благодаря влаге слизистых оболочек. Рот и горло не отвечают за увлажнение воздуха. Для этой цели предназначена носовая полость, в которой продуцируется особый муконазальный секрет. Когда человек не может нормально дышать носом, то для этого он использует рот, поэтому слюна сразу начинает густеть.
- Курение. Табачный дым вызывает раздражение слизистой верхних дыхательных путей, и происходит нарастание объёма слизи. Многие курящие жалуются на чувство присутствия постороннего предмета в горле.
- Действие аллергенов. Густая слюна, наблюдаемая в определённые месяцы, говорит о сезонной аллергии на цветочную пыльцу.
- Приём лекарственных препаратов. Существуют категории лекарств, которые вызывают такое побочное явление, как сгущение слюны. Это могут быть гормональные таблетки, антидепрессанты и антигистаминные вещества.
- Сахарный диабет. Сухость слизистой рта и густая слюна часто наблюдается на фоне гипергликемических состояний.
Помимо резкого сокращения объёмов секретируемой слюны и, как итог, повышения вязкости, пациенты могут наблюдать у себя дополнительные симптомы:
- Нарушение вкусовых восприятий
- Болезненность в горле
- Зловонный запах из ротовой полости
- Трещины на губах и в уголках рта, пересушенность слизистых
- Чувство жжения в небе и языке
- Затвердевание мышечных волокон языка
Симптомы патологического состояния
Усиление продукции и скопление слизи в горле дополняется следующими симптомами:
- першением;
- чувством присутствия инородного предмета, который не исчезает при глотании слюны;
- болевым синдромом при употреблении твердой пищи;
- заложенностью носа;
- чиханием;
- увеличением местных лимфатических узлов;
- неприятным кислым запахом изо рта.
Некоторые заболевания верхних дыхательных путей дополняются иными клиническими проявлениями, например, ломотой в теле или повышением общей температуры.
Слизь, возникающая в горле, может иметь различный цвет, с учетом чего косвенно определяют причину ее образования:
| Цвет мокроты | Причина | Особенности |
| Зеленая | Абсцесс в легком (гнойный процесс). | Дополнительные проявления: болевой синдром за грудиной, общее недомогание, выделение слизи с кровянистыми примесями. При легком абсцессе наблюдается благоприятный прогноз и полное выздоровление. При запущенном течении возможна хронизация процесса. |
| Белая | Грибковая инфекция, туберкулез легких. | Развитие грибковой инфекции возможно после продолжительного приема антибактериальных препаратов, ослабляющих иммунитет средств. При наличии в белой мокроте кровянистых прожилок можно говорить о кровотечении на фоне туберкулеза. |
| Коричневая | Наличие врожденных булл (полостей в легком, заполненных воздухом), когда произошел их разрыв, туберкулез легких, гангрена легкого, рак. | При разрыве буллы возникает чувство нехватки воздуха. Туберкулез сопровождается общим недомоганием, сухим кашлем. |
| Прозрачная | Перенесенная вирусная инфекция, аллергическая реакция. | Аллергическая реакция возникает при вдыхании вредных паров, пыльцы растений, домашней пыли, при контакте с шерстью животного. |
Почему сохнет во рту и как избавиться от неприятного симптома?
Чистим язык правильно
Многие во время ежедневной чистки зубов забывают уделить должное внимание языку, а ведь он нуждается в столь же тщательном и регулярном очищении от бактерий и остатков пищи. С данной целью можно использовать заднюю ребристую поверхность головки зубной щетки, предназначенную как раз для чистки языка, а также специальные скребочки, купить которые сегодня можно в аптеке или через интернет. Техника проведения процедура выглядит следующим образом:
- после чистки зубов промываем щетину и приступаем к обработке поверхности языка. Выметающими движениями, начиная от основания, постепенно продвигаемся к кончику, удаляя скопившийся налет. Делать это нужно аккуратно, сильно не надавливая на чувствительный эпителий,
- сперва очищаем одну сторону органа, после чего переходим ко второй,
- еще несколько раз проводим щеткой поперек, при необходимости добавляем небольшое количество зубной пасты, после чего повторно обрабатываем всю поверхность языка, но теперь уже от кончика к основанию,
- хорошенько ополаскиваем полость рта водой и сплевываем остатки пасты.
Регулярная чистка зубов и языка поможет избежать проблемы Очень важно следить за здоровьем языка и при появлении любых подозрительных отклонений в его состоянии необходимо сразу же обращаться к специалисту. Не стоит игнорировать симптом, даже если он не доставляет вам особого дискомфорта. Ведь это может быть прямой сигнал о проблемах со здоровьем, и чем раньше вы выясните причину проблемы, тем проще и быстрее сможете от нее избавиться.
- Банченко Г.В., Максимовский Ю.М., Гринин В.М: Язык «зеркало организма», 2000.
Ферменты, содержащиеся в слюне
Огромное значение имеют ферменты слюны человека. Это органические вещества белковой природы. Всего известно 50 видов ферментов.
Выделяют 3 крупные группы:
- ферменты, которые образуются клетками слюнной железы;
- продукты жизнедеятельности микроорганизов;
- ферменты, выделяемые при разрушении кровяных телец.
Ферменты обеззараживают ротовую полость. Перечислим основные «подгруппы»:
- амилаза (она же – птиалин);
- мальтаза;
- лизоцим;
- карбоангидраза;
- пероксидазы;
- протеиназы;
- нуклеазы.
Еще одним действующим веществом является муцин – к нему и его роли мы вернемся чуть позже.
Общие сведения
Основу слюнной жидкости на 95% составляет вода, остаток представлен многокомпонентным комплексом из ферментов, белков, микроэлементов и кислотными остатками солей.
Особую роль в составе играют органические ферменты мальтаза и амилаза, которые способствуют расщеплению кусочков пищи непосредственно после ее попадания в пищеварительную систему. Фермент лизоцим контролирует нормальный баланс микрофлоры, а муцин, из-за которого образуется пенистая слюна, обволакивает пищевой комок для успешного переваривания в дальнейшем.
Слюна играет важную роль в пищеварении.
Благодаря последнему компоненту еда беспрепятственно опускается по пищеводу в желудок, где перерабатывается на мелкие составляющие. Таким образом, густота слюны должна быть достаточной для нормального протекания процесса пищеварения.
Причины сухости во рту, жжения языка, горечи — это симптомы какого заболевания?
Человек, у которого густеет и пенится слюна, испытывает массу неприятных ощущений. Помимо дискомфортных явлений, могут участиться вспышки заболеваний горла, языка, десен, а зубы становятся более уязвимыми к кариесу. Поэтому от такого симптома нужно избавляться, используя консервативные и народные методы лечения.
Слюнные железы взрослого здорового человека вырабатывают от одного до двух литров секрета ежесуточно. Задача этой жидкости – смазывать полость рта, чтобы облегчать процессы жевания и говорения. Благодаря секрету переваривание пищи начинается уже в момент ее пережевывания, поскольку в состав слюны входят активные ферменты. Восприятие вкусовых качеств продуктов также зависит от степени их обработки слюнной жидкостью.
Другими факторами, обуславливающими описываемый симптом, считаются заболевания ротовой полости — пародонтоз и пародонтит. Эти болезни характеризуются сухостью слизистых оболочек вплоть до отслаивания эпителия и, как следствие, увеличением вязкости слюны.
Важно учитывать, что антигистаминные препараты не дадут желаемого эффекта, если человек будет продолжать контактировать с аллергенами.
Симптомы
Частой жалобой является постоянная сухость во рту. Она проявляется постоянно в течение дня и, как обычно, сопровождается частым употреблением напитков. Пациенты также часто просыпаются ночью, поэтому ставят стакан воды у кровати на ночь. Важно исключить таких пациентов с сухостью во рту только ночью или сразу после пробуждения, поскольку такое чаще всего случается вследствие храпа или дыхания ртом во время сна.
Кроме ощущения сухости, некоторые лица имеют чувство жжения или ожога, что, вероятно, отражает уменьшение увлажняющих и смазывающих свойств слюны. Питье воды дает только временное облегчение. Горячая или острая пища приводит к дискомфорту, и даже обычная зубная паста печет. Есть другие, не связанные со слюной, причины жжения во рту, которые необходимо исключить у таких пациентов, в частности плоский лишай, алиментарная недостаточность, аллергии, инфекции, неврологические и психиатрические расстройства.
Во время разговора активизируется ротовое дыхание. Это еще больше усугубляет имеющуюся сухость, препятствуя движениям мягких тканей рта. Это требует небольшого глотка воды, что особенно важно для лиц некоторых профессий.
При нарушении состава и количества слюны на зубах легче накапливается налет. Это инициирует воспалительную реакцию десен, что приводит к гингивиту и периодонтиту. В дальнейшем это может быть причиной снижения уровня десен и, вероятно, выпадения зубов.
Такое же объяснение находится по поводу появление зубного кариеса. При резком росте распространенности кариеса у взрослого маловероятно, что это является следствием существенного изменения диеты или нарушение гигиены рта. Гораздо вероятнее, что это следствие изменений слюны, даже при отсутствии ощущения сухости во рту.
При изменении микрофлоры рта чаще всего обнаруживают кандидоз. Часто обнаруживают зубопротезный стоматит, причем слизистая неба гиперемируется или даже становится гиперплазированной вследствие действия раздражающих веществ кандидозных грибков, колонизирующих сцепную поверхность зубных протезов. Этому способствуют старые или плохо подогнанные протезы.
Зубные протезы в норме соприкасаются с тонкой пленкой муцина на слизистой. Это позволяет им немного двигаться во время жевания. При отсутствии достаточного увлажнения полные или частичные зубные протезы могут оказывать чрезмерное давление на подчиненную слизистую, независимо от механической адекватности. Поэтому некоторые лица отказываются от протезов или используют их только при определенных обстоятельствах.
Восходящая бактериальная инфекция по экскреторным протокам часто случается при ксеростомии.
С выводного протока железы может выделяться густое мукоидное вещество или даже гной. Редко возникает абсцесс, который может прорвать через кожу.
Определяем степень вязкости слюны
Первым признаком того, что консистенция выделяемой жидкости нарушена, является субъективное ощущение человека. И если данная проблема доставляет явные неудобства и сильный дискомфорт, тогда приходится обращаться к специалистам, чтобы они точно установили, в чем дело. Для этого проводят особый тест с помощью прибора вискозиметра.
Но и в домашних условиях можно попробовать самостоятельно определить степень нарушения вязкости:
- Берем обычную пипетку. Набираем с ее помощью каплю воды в количестве 1 мл.
- Удерживая инструмент строго вертикально, засекаем 10 секунд и отмеряем, сколько жидкости вытечет из нее за это время. Повторяем процедуру до трех раз.
- Весь объем воды суммируем и делим показатель на 3.
- Теперь нужно собрать в емкость слюну изо рта и аналогично провести такой же тест, набрав ее в пипетку в количестве 1 мл. Сделать это трижды.
- Всю сумму вытекшей из инструмента слюны также делят на 3.
- Соотносят полученные цифры между собой.
В норме считается, что консистенция естественной жидкости и воды должны быть приблизительно одинаковы. Если же первая вытекает из пипетки гораздо медленней, значит, ее состав нарушен.
Врач проведет и другие методы диагностики, чтобы установить сопутствующие проблемы. Для этого делают:
- визуальный осмотр шеи, лимфоузлов, живота и кожи;
- собирают анамнез, то есть спрашивают о существующих заболеваниях, предыдущих проблемах;
- прослушивают грудную клетку стетоскопом;
- осматривают рот, горло, оценивают состояние гортани;
- назначают лабораторное исследование крови;
- проводят рентгенографию, если есть сомнение в правильном строении носа;
- бакпосев мокроты;
- при симптомах, указывающих на проблемы внутренних органов, дополнительно направляют на УЗИ, ФГС и прочие диагностические процедуры.
Прийти к врачу на консультацию следует в тех случаях, если, помимо чрезмерной вязкости, обнаруживаются другие признаки патологии:
- изменяются вкусовые ощущения;
- чувствуется сухость на поверхности слизистой;
- часто возникает жажда;
- язык как будто пощипывает;
- наблюдается болезненность при глотании;
- першение в горле;
- на красной кайме губ появляются трещинки;
- у грудничка при этом также может возникать белый налет на слизистой;
- есть различные воспалительные заболевания ротовой полости.
Иногда очень вязкая слюна существенно влияет на общее состояние. Человеку, даже взрослому, трудно глотать, появляется кашель, сильно печет язык или горло. Особо опасными считаются данные признаки, если они появляются у младенца. Тогда идти на прием к врачу следует при первых же подозрениях на любые воспалительные процессы или грибковые поражения.
Вязкая, густая, тягучая слюна в горле — причины появления, лечение
Состав слюнной слизи подвержен изменениям, связанным с разными причинами. Любое изменение свойств слюны говорит о развитии заболевания, провоцирует заложенность глотки, приступы кашля и желание очистить гортань. При наличии патологии выделяемая слюнная слизь может быть разного цвета – встречается белая пенная мокрота, желтая, вязкая и густая.
Состояние, при котором слюни во рту не только густеют, но и меняют консистенцию на пенистую, обусловлено действием муцина – специального вещества в составе слюны, которое помогает формировать пищевой комок при пережевывании. При нарушении работы слюнных желез содержание муцина в слюне становится выше, чем и объясняется пенистая структура.
Когда в этом году за окном стало холодно, мне пришлось серьёзно задуматься о регулярном и особом уходе за кожей своего лица. Холодное время прошлого года для меня было сложным и.
Это состояние характеризуется резким нарушением функций слюнных желез, которое осложняется сильной сухостью. Слюна при этом приобретает вязкий характер, язык становится плотным, страдает работа рецепторов. В ротовой полости может наблюдаться жжение. Иногда люди сталкиваются с болью и першением в горле.
Когда необходима помощь врача
Рекомендуется посетить врача, если слизь в горле присутствует на протяжении длительного времени (дольше недели). В первую очередь отоларинголог осматривает слизистые оболочки, собирает сведения о давности возникновения симптома, сопутствующих беспокоящих проявлениях, возможных провоцирующих факторах.
Для подтверждения диагноза назначают проведение инструментальных и лабораторных мероприятий, которые позволят определиться с источником симптома и методикой его терапии.
Проводят следующие диагностические исследования:
- Риноскопию. Внешний осмотр горла помогает выявить отек, гиперемию слизистой оболочки, наличие слизи.
- Общий анализ крови. Если в организме присутствует вирусная инфекция, выявляют нейтропению и лимфоцитоз, для аллергической реакции характерна эозинофилия. Бактериальные инфекции протекают с лейкоцитозом. Скорость оседания эритроцитов повышается практически при каждом заболевании.
Если наблюдается эндоскопически негативная картина для обнаружения поражения придаточных пазух, используют лучевые методы диагностики. Это – рентген околоносовых пазух, компьютерная томография.
Причины нарушенной работы слюнных желез
Неполадки с железистой системой отмечаются симптомами: по утрам появляется густая, пенистая слюна, похожая на слизь, губы, уголки рта покрываются трещинами или язвами. При нарушенном слюноотделении постоянно наблюдается сухость слизистых оболочек. Среди заболеваний и патологий, влияющих на слюнные железы, выделяют:
- Заболевания слюнной системы . Резко уменьшается выработка слюны, воспаляются области под челюстью, ближе к ушам. Возникает патология при паротите, болезни Микулича, сиалостазе.
- Удаленные железы . Ампутация происходит вместе с вырезанием кист, доброкачественных опухолей, в результате прочистки слюннокаменной болезни.
- Муковисцидоз . Генетическая причина ухудшения секреторных функций.
Ответ на вопрос, почему сушит во рту, часто связан с заболеваниями, которые никак не влияют на деятельность желез.
Как избавиться от дискомфорта?
Если увеличение густоты слюны связано с гормональными сбоями временного характера, проблема не требует медикаментозного лечения, поскольку через некоторое время исчезнет сама. При наличии серьезных заболеваний необходимо провести их своевременное лечение.
В иных случаях облегчить состояние можно при помощи следующих процедур:
- Полоскания. Средство для полоскания подбирается исключительно по назначению врача. Иногда достаточно воспользоваться содово-солевым раствором или отваром из лекарственных трав. Если необходимо устранить симптомы ларингита, не обойтись без более серьезных антисептиков, к которым относится Гексорал.
- Увлажнение горла. Для нормализации влажности слизистой применяются заменители слюны. Они выпускаются в виде спреев, капель либо геля, которые следует использовать каждое утро. Часто их состав дополнительно обогащен антибактериальными компонентами, благодаря которым устраняются вредные микроорганизмы, заселяющие рот.
- Помощь в отхаркивании. Для повышения выработки и разжижения мокроты применяются как аптечные и естественные муколитики. Их прием назначается индивидуально.
- Использование жевательных резинок. Недолговременное жевание резинок без сахара стимулирует выработку слюнной жидкости с одновременным очищением полости рта от остатков пищи.
Для профилактики пересушивания полости рта рекомендуется отказаться от курения, а также следить за водным балансом организма. Полезны также частые прогулки на свежем воздухе и регулярные проветривания спальни.
Источник: skzub.ru
После пробуждения человек не всегда обращает внимание на новые ощущения и перемены в собственном организме, но проигнорировать отдельные симптомы просто невозможно. Например, когда появилась слизь во рту, нарушается дыхание, да и общее состояние оставляет желать лучшего.
Причины патологии
Белая слизь во рту может свидетельствовать о грибковом поражении ротовой полости, а в медицине это заболевание получило официальное назначение «Кандидоз слизистой оболочки, стоматит». Болезнь носит инфекционную природу, а в народе называется «молочница» и требует немедленного консервативного лечения в домашних условиях. Диагноз чаще ставят в детском возрасте, однако в обширной медицинской практике также зафиксированы случаи взрослых пациентов, больных кандидозом слизистой рта.
Если слизь мешает в горле, то с таким симптомом лучше всего отправиться сразу на прием к отоларингологу. Не исключено, что преобладает инфекционное заболевание, поразившее верхние дыхательные пути, заметно нарушающее дыхание и снижающее качество жизни. Одним из таких диагнозов является фарингит, где патологический процесс затрагивает глоточные стенки с обширным воспалением. Это может быть синусит, который провоцирует воспаление придаточных носовых пазух. Также не стоит исключать аденоидит, где основными очагами патологии становятся опухшие миндалины. Указанные диагнозы имеют инфекционную природу, то есть спровоцированы повышенной активностью патогенных микроорганизмов. Густая слюна в горле является красноречивым симптомом, от которого необходимо как можно скорее избавиться.
Простудное заболевание — еще один воспалительный процесс, который сопровождается появлением слизи во рту. Чаще всего такие неприятные симптомы имеют место при пробуждении, а дополняются нарушенным температурным режимом, усиленным кашлевым рефлексом и резким спадом работоспособности. В такой клинической картине слизь на языке является следствием застойного процесса, который в стадии патологии протекает непосредственно в бронхах.
Аналогичная проблема может возникнуть не только в случае обширного поражения верхних дыхательных путей, также не стоит упускать из вида диагнозы, относящиеся к стоматологии. Если имеет место периодонтит, то скопление слизи из основания зуба может заполнить ротовую полость, оставаясь на языке и губах. В таком случае важно посетить стоматолога, поскольку патологический процесс чреват серьезными осложнениями в общем самочувствии, врачи не исключают летальный исход при отсутствии своевременной терапии.
Однако не все так трагично, поскольку есть те физиологические состояния, которые при появлении слизи на языке не ассоциируются с патологией. Например, характерный симптом может возникнуть при употреблении на ночь холодной или, наоборот, горячей пищи, в случае употребления газированных или спиртных напитков, а также при неправильном подборе зубной пасты.
Именно поэтому первым делом требуется обратиться за консультацией к участковому терапевту, а тот, в свою очередь, определит этиологию патологического процесса, потенциальную угрозу жизни и здоровью конкретного клинического больного, а также метод лечения.
Советы пациентам
Если сопли в горле не отхаркиваются, то речь однозначно идет об инфекционном заболевании ЛОР-практики. Поверхностное самолечение в таком случае противопоказано и неэффективно, а без дополнительного приема антибиотиков уж точно не обойтись. Назначать медикаменты может исключительно квалифицированный специалист, а ускорить процесс выздоровления и заметно подавить симптоматику могут средства альтернативной медицины, представленные отварами для регулярного полоскания рта. Для их приготовления можно смело использовать такие лекарственные растения, как мята, ромашка, мелисса, мать-и-мачеха, шалфей, зверобой, липовый цвет.
Если проблема имеет грибковую природу, а в слизистой рта прогрессирует стоматит, то возникает острая необходимость в противогрибковых спреях, домашних полосканиях ротовой полости. Если медицинский препарат назначает врач по показаниям, то альтернативная медицина предписывает использование крутого содового раствора для регулярного полоскания ротовой полости. Также требуется обработать все зараженные предметы обихода, чтобы инфекционный процесс вновь не прогрессировал.
Если причина в простудном заболевании, то домашние методы эффективного лечения окажутся как нельзя кстати. Пациенту рекомендуется пить больше теплого, поскольку такое питью не только нормализует температурный режим, но также способствует массовому отхождению патогенной слизи. Когда пациент, просыпаясь однажды утром, понимает, что слизь больше не скапливается в ротовой полости, должен понимать, что этого состояние идет на поправку, однако преждевременно прекращать выбранную схему лечения крайне нежелательно.
Это лишь немногие факторы, почему слизь во рту появляется в большом количестве именно с утра. Получить окончательный ответ на вопрос позволит подробная диагностика, которая предельно внимательно изучает все потенциальные угрозы пациенту и визуализирует протекающий в острой форме патологический процесс. Если надеяться, что «само пройдет», то прогрессирующее заболевание приобретет хроническую форму и еще много раз напомнит о себе неожиданным приступом.
Источник: www.yod.ru
Народные способы устранения слизи из горла
Альтернативная медицина предлагает множество способов борьбы с этим недугом. Относиться к ним нужно критически. Например, отвары целебных трав с антисептическими свойствами хорошо помогут при воспалительных болезнях, но окажутся бессильны при аллергии или усугубят ее.
Справиться с воспалительной слизью помогут ромашка, шалфей, солодка, термопсис и другие. Если пациент сомневается, что сможет правильно приготовить настойки самостоятельно, то можно купить готовые сборы и настойки в аптеке.
Хорошим успокаивающим эффектом обладает теплое молоко с медом. Этот напиток смывает патологический секрет, дезинфицирует и обладает общеукрепляющими свойствами. Противопоказан аллергикам и маленьким детям.
к содержанию ?
Что делать, если в горле слизь и постоянно першит?
При стекании слизи происходит раздражение рецепторов слизистой оболочки, что вызывает першение, желание отхаркиваться, покашливание. В таких случаях лучшей терапией станет промывание носовых пазух, сосудосуживающие препараты. Также применяются полоскания антисептиками или отварами трав. Еще причиной постоянного першения могут стать патологии бронхо-легочной системы, при которых мокрота поднимается к дыхательным путям, скапливаясь в горле возле задней стенки носоглотки. Такой симптом характерен для:
- бронхита;
- бронхиальной астмы;
- пневмонии.
При обострениях используют более сложные способы терапии, проводимые в стационарных условиях.
Лечение медицинскими препаратами
Процесс разжижения должен быть комплексным — прежде всего необходимо устранить основную причину появления патологии. В дополнение к этому врач назначает лекарственные препараты. Применяют средства, которые выполняют следующие функции:
- муколитическую;
- рефлекторную;
- резорбтивную.
Муколитические препараты разжижают слюну и при этом не увеличивают количество ее вырабатывания. С их помощью можно активизировать процесс выведения мокроты. К таким медикаментам относятся Мукалтин, Бронхикум, Линкас, Амброксол.
Рефлекторные медицинские средства возбуждают нервные окончания и помогают нормализовать дыхательный процесс. Такие препараты вызывают сокращение мышц, что способствует очищению дыхательных органов от слизи. Применяются в комплексе с муколитическими средствами. К рефлекторным препаратам относится Алтейка, Стоптуссин, Термопсол.
Резорбтивные средства оказывают местное влияние на мокроту и разжижают ее, но при этом увеличивается и объем вырабатывания. Препараты изготавливаются на основе йодида калия, хлорида аммония, гидрохлорида натрия. Не подходят для лечения детей раннего возраста.
Такое лечение будет симптоматическим и его главная цель — восстановление оптимальной консистенции слюнной жидкости. Показано применение спреев и гелей для увлажнения полости рта и обильное питье. Для лучшей стимуляции функционирования слюнных желез стоматологи рекомендуют жевать жвачку (без сахара) после каждого приема пищи.
Вспомогательными методами лечения могут стать ингаляции, полоскания, промывания, компрессы, растирания, дыхательная гимнастика.
При наличии очень густой слюны, сиалостаза или сиаладенита (воспаления слюнной железы) стоматолог назначает препараты, стимулирующие работу слюнных желез (Галантамин, Пирогенал, Димексид) и антибиотики (Эритромицин, Пенициллин). В случае запущенного заболевания рекомендуется хирургическое вмешательство.
Как справиться с вязкой слюной?
Необходимо диагностировать основную причину и вылечить основное заболевание. Слюна нормализуется постепенно, как только вы получите правильное лечение.
Некоторые полезные советы для самопощи при вязкой слюне
- Пить много воды, по возможности теплой. Это поможет в разжижении слюны, снижении ощущения липкости её в горле.
Эти продукты и жидкости могут помочь увеличить количество и уменьшить вязкость слюны:
- Попробуйте кислые / терпкие продукты и жидкости
Чай со льдом
Спортивные напитки
Лимон или лимонные напитки
Цитрусовые леденцы
- Попробуйте газированные жидкости
Содовая
- Попробуйте сосать чистый лёд
* Вы можете не переносить некоторые из этих продуктов и жидкостей, если у вас болит рот или горло.
- Избегайте курения. Курение приводит к образованию густой слизи, которая смешивается со слюной и делает ее вязкой.
- Поддерживайте хорошую гигиену полости рта. Густая, вязкая слюна, как правило, кислая и может привести к повреждению зубов. Чаще чистите зубы и полощите рот обычной водой.
- Регулярно полощите рот теплой водой со щепоткой соли в ней. Это смоет любую вязкую слизь, торчащую в горле.
- Включите йогурт в ваш рацион. Это поможет в нормализации флоры рта.
- Избегайте есть много молочных продуктов, таких как молоко, сыр или масло. Такие пищевые продукты способствую образованию слизи.
- Потребляйте большое количество цельного зерна, свежих сезонных фруктов и овощей. Они уменьшают образование слизи в организме.
- Вы можете принимать витамин С и Е как добавки в течение некоторого времени. Наряду с подсоленной водой, они хороши для освобождения горла от слизи.
- Пейте горячие напитки, ешьте овощные супы и травяные чаи, которые увлажняют дыхательные пути. Избегайте слишком много кофе и чая, который обезвоживают организм
- Вдыхайте пар кипящей воды, чтобы увлажнить дыхательные пути. Вы можете воспользоваться несколькими каплями эвкалиптового масла. Это позволило бы также успокоить воспаленную слизистую оболочку горла.
- Перед сном в спальне используйте увлажнитель.
Что делать при мокроте у ребенка?
Лечение мокроты у ребенка осложняется малым ассортиментом средств, разрешенных для применения в детском возрасте. Детей до 3 лет рекомендуется лечить преимущественно народными средствами.
Лекарственные препараты, разрешенные с 6 месяцев:
- «Стоптуссин».
- «Линкас».
- «Амброксол».
- «Алтейка».
Средства для детей старше 3 лет:
- «Доктор МОМ».
- «Коделак Бронхо».
- «Гербион».
- «Амтерсол».
Маленьким детям сложно самостоятельно отхаркивать мокроту. Помочь им можно использованием массажа. Ребенка укладывают на живот, подложив ему под бедра подушку. Поглаживающими движениями массируют спину вдоль позвоночника (снизу вверх). После поглаживаний выполняют легкие похлопывания, растирания костяшками пальцев, разминающие движения.
Чем опасен бело-желтый налет
Появление желтой слизи на языке прямо сигнализирует об определенных нарушениях в функционировании печени и желчного пузыря. Истинная причина проблемы может крыться в холецистите, дискинезии желчевыводящих путей или застое желчи. Последний требует незамедлительного лечения, так как в противном случае могут образоваться камни. Зачастую всему виной становится вирусный гепатит – в этом случае пациенты часто говорят о горечи во рту, испытывают регулярные приступы тошноты и рвотные позывы.
Так выглядит желтый налет на языке
Популярные препараты для лечения
Если слизистая повреждена незначительно, применяют тёплые травяные полоскания с календулой, ромашкой и шалфеем. Можно использовать и антисептики — Хлоргексидин, Ротокан, Хлорофиллипт.
Для снятия болевого синдрома подходят комбинированные стоматологические гели — Холисал, Калгель, Камистад.
Из антимикотиков при кандидозе наиболее часто рекомендуют Кандид, Пимафуцин, Низорал, Клотримазол и аналогичные.
При афтозных стоматитах бактериального происхождения применяют масла облепихи, шиповника, для полоскания — настойку из прополиса, Ромазулан, Мирамистин, Стоматидин, Люголь. Эти средства ускоряют заживление слизистых тканей.
При невралгиях назначают новокаиновые блокады, Лидокаин, нестероидные противовоспалительные препараты, анальгетики.
При воспалении височно-челюстных суставов — лечение противовоспалительное. Используются антибиотики, физиотерапия.
При ожогах назначают полоскание чуть тёплой водой, аппликации с гелем Метрогил-Дента для обезболивания. Для ускорения заживления нёбо смазывают маслом облепихи или шиповника, обрабатывают настойкой календулы, каланхоэ и других трав.
Народные методы
Простые рецепты и растительные средства неспособны заменить качественную медикаментозную терапию, но способствуют улучшению состояния пациента и должны применяться в сочетании с назначенными лекарствами. Тогда добиться выздоровления можно значительно быстрее. Нормализации слюноотделения способствуют такие методы:
- Чай шалфея – сухие листья в объеме 1 ч. л. заливают стаканом кипятка и настаивают около пяти минут. Перед применением процеживают. Достаточно выпивать до трех таких чашек за день приблизительно с одинаковыми интервалами.
- Пажитник – на 1 ст. л. семян, измельченных в кофемолке, дают стакан горячей воды. Настаивают 5-7 минут и употребляют внутрь равными порциями на протяжении дня.
- Настойку прополиса желательно смешать с персиковым маслом. Данным средством хорошо смазывать слизистую ротовой полости каждый раз при неприятных ощущениях сухости или вязкости.
- Алоэ – можно выдавить сок и в разведенном виде полоскать им горло или же размять части растения в кашицу и съедать вместе с ложкой меда.
- Свежие листья календулы заливают кипятком и настаивают, добавляют в такой чай пчелиный продукт и пьют после каждого приема пищи.
- Минеральную воду с высоким содержанием натрия нагревают до теплого состояния, смешивают с медом и принимают внутрь или делают с ее помощью ингаляции, но тогда следует добиться более высокой температуры жидкости.
- Растворив морскую соль в обычной воде, делают полоскания ротовой полости.
- Также аналогичным образом применяют растительные настои из ромашки лекарственной, шалфея или эвкалипта. Предварительно к ним добавляют немного лимонной кислоты. Если же данное средство хорошо нагреть, то можно использовать для ингаляций.
- Сок редьки при смешивании с медом помогает избавиться от кашля, а также нормализовать функцию слюнных желез.
- Отварной картофель раньше применялся для разжижения мокроты и ее выведения из организма естественным способом.
- Измельчают лук и чеснок, добавляют туда сахар и немного настаивают. Полученное средство принимают внутрь.
Видео: что ваша слюна говорит о вас? Жить Здорово.
Шалфей при вязкой слюне
- Жевать листья шалфея (свежие или сухие)
- Пить чай из шалфея (чайная ложка на чашку кипятка, настоять ~ 5 мин, отфильтровать, пить 2-3 чашки в день.
| Таблица 1 — Что есть и не есть при вязкой слюне? | ||
| Продукты | Есть | Продукты, которые могут вызвать проблемы |
| Высокий
белок |
Мясо, птица и рыба в соусах и подливах
Запеканки, супы и тушеные блюда |
Сухое мясо, птица и рыба без
соусов |
| Хлеб, крупы, рис и
макароны |
Булочки
Вареные и холодные злаки, крупы с молоком Рис, пропитанный соусом, бульоном или молоком |
Сухие хлебцы, рулеты,
макаронные изделия, рис крендели, чипсы сухие хлопья |
| Фрукты и
овощи |
Консервированные и свежие фрукты, которые содержат много влаги, такие как апельсины и персики
Овощи в соусе |
Бананы, сухофрукты
Овощи, если только в соусе или с высоким содержанием влаги |
| Напитки,
десерты и другие продукты |
Газирования вода, горячий чай с лимоном (без кофеина), фруктовые прохладительные напитки, разбавленные
соки, спортивные напитки Коммерческие жидкие пищевые добавки Домашние молочные коктейли; мороженое, шербет, пудинг Масло, маргарин Заправка для салата Сметана, разбавленная в два раза |
Печенье, пирог,без молока или чая |
Причины мокроты в горле
Обычно скопление мокроты происходит в качестве симптома какого-либо заболевания. При кашле слизь можно легко выплюнуть, но если простудные симптомы отсутствуют и мокрота становится сухой, избавиться от нее сложнее.
Чаще всего такой симптом связывается с ЛОР-заболеваниями, но бывают и другие варианты.
Другие причины
Факторы, превращающие слюну в вязкую субстанцию, могут носить и не патологический характер. Они связаны с наличием вредных привычек, корректировка которых помогает быстро и без врачебного вмешательства устранить дискомфорт во рту у человека.
На первом месте по степени важности находится обезвоживание. Регулярное водное истощение организма, особенно в жаркие периоды и при серьезной физической активности, приводит не только к увеличению вязкости слюны. Употребление чистой воды менее полулитра в день чревато дегидратацией клеток и тканей с последующим нарушением их функциональности.
Сухой воздух в помещении или на улице также оказывает негативное воздействие на организм и усугубляет обезвоживание. Слюнная жидкость становится вязкой и дурно пахнущей в результате пересыхания слизистой. При застывании она превращается в корочки, покрывающие носоглотку, которые вызывают сухой кашель и ощущение дискомфорта.
Профилактические меры
Ежедневные профилактические мероприятия позволят снизить риск появления густой слюны. Стоит соблюдать следующие рекомендации:
- Выпивать достаточное количество жидкости. Отдавать предпочтение чистой питьевой воде, не прошедшей термической обработки. Приветствуются негазированные минеральные воды. Если добавлять в стакан сок папай, то можно добиться разжижения слюны, так как этот фрукт имеет в своём составе протеолитические ферменты.
- Избавиться от вредных привычек. Алкоголь и табак пагубно сказываются на состоянии слюны.
- Ограничить приём кофеиносодержащих и газированных напитков, обезвоживающих организм.
- Не увлекаться молочной продукцией. Чрезмерное потребление молока и сыра создаёт почву для образования излишней слизи. Полезно пить йогурт, так как он нормализует микрофлору ротовой полости.
- Регулярное полоскание рта тёплым солевым раствором уберёт слизь и сделает слюну менее вязкой. Не полоскать рот растворами на основе алкоголя.
- Не допускать переохлаждения организма
- Стоматологи рекомендуют использовать жвачки без сахара
- Несколько раз в неделю полезно дышать над кастрюлей с горячей водой или варёным картофелем.
- Включить в свой продуктовый рацион свежие овощи и фрукты, а также зерновые культуры. Правильное питание-залог качественной слюнной жидкости.
- Для увлажнения воздуха в спальне рекомендуют приобрести увлажнитель.
Источник: stoma.guru
Особенности лечения
Вполне возможно, что слюна становится густой по причине временных гормональных нарушений. В таких случаях не требуется медикаментозная помощь, и естественная секреция слюны налаживается через какое-то время. Чтобы разобраться в причинах нарушения слюноотделения необходимая очная консультация врача-стоматолога. Он опросит больного, выдаст направления на анализы, а уже потом подберёт соответствующий курс лечения. Как правило, точное диагностирование основной причины позволяет назначить правильную методику лечения, которая приведёт к постепенной нормализации работы слюнных желёз.
Первое, что необходимо предпринять — это стабилизировать уровень влажности слизистых рта. Помочь в этом могут следующие лечебные процедуры:
- Полоскания рта противовоспалительными отварами трав и содово-солевым раствором. Для устранений симптомов ларингита целесообразно применять антисептики, например, гексорал.
- Применение искусственной слюны. Используют в форме капель или спрея.
- Спреи-увлажнители и гелевые заменители. Известные производители выпускают препараты в виде геля и спрея, которые моментально помогают устранить сухость во рту. К тому же они содержат антибактериальные компоненты, призванные устранять неприятный запах.
- Муколитики. Группа лекарственных препаратов для увеличения выработки и разжижения слюны. Хорошо зарекомендовали себя бромлейн и ацетилистеин.
- Ингаляции. Помогают тем, у кого есть проблемы с лёгкими и бронхами. Для ингаляций подойдут как аптечные препараты, так и растительные настои, например, зверобоя или шалфея.
- Жевательные резинки с заменителем сахара. Отлично стимулируют работу слюнных желёз.
Обильная белая слизь на стенке горла
Цвет мокроты может рассказать о присутствующем заболевании. Поэтому обращать внимание на отхаркиваемую слизь необходимо, так как она «подскажет», что провоцирует ее скапливание.
Слизь белого цвета указывает на грибковый тонзиллит. При нем зрительно можно увидеть большое количество маленьких белых пятнышек на небе и миндалинах. Также для грибкового тонзиллита характерно наличие таких пятнышек на внутренней поверхности глотки, на гландах и задней стенке. Возбудителем заболевания выступает кандидоз, который и окрашивает налет в белесый оттенок. Если же «виновником» выступают грибки семейства плесневелых, то будет присутствовать зеленоватый цвет.
Для чего нужна слюна?
Слюнные железы во рту вырабатывают слабокислый секрет (как правило, в дневное время процесс более интенсивный – вырабатывается большая часть суточной нормы, тогда как для часов ночного отдыха характерно его замедление), который выполняет комплексную функцию. Слюнная жидкость благодаря своему составу требуется для того, чтобы:
- обеззараживать полость рта – снижается вероятность развития таких заболеваний, как пародонтоз или кариес;
- участвовать в пищеварении – смоченная слюной в процессе пережевывания пища при попадании в желудок усваивается лучше;
- получать удовольствие от еды – чтобы пища попала на вкусовые рецепторы у корня языка, ее нужно растворить в слюнной жидкости.
Белесый налет – что может значить
Возникновение белесого налета по утрам на корне языка – явление вполне естественное и нормальное. Однако если сразу после чистки выделения появляются вновь, есть повод задуматься о своем здоровье. Как у взрослого, так и у ребенка данный симптом может являться признаком развития или обострения одного из множества различных заболеваний, а потому для определения точной причины проблемы врач принимает во внимание различные характеристики выделений:
- толщина и плотность – тонкий, но при этом плотный налет сообщает о начальной стадии развития болезни, зачастую возникает на фоне ОРВИ. Большой слой является свидетельством хронической патологии или активного распространения инфекции,
- цвет – может изменяться от белого до желтого, серого и даже черного. Чем темнее оттенок, тем серьезнее может быть первопричина налета,
- консистенция – бывает сухой или жирной, влажной или творожистой,
- место и характер локализации: выделения могут устилать весь язык или быть сосредоточенными в виде пятен на его отдельных участках.
Небольшой налет на языке — это норма Порой язык может изменять свой цвет после чая, кофе или некоторых продуктов питания, например, черники, свеклы, кондитерских изделий с красителями или молочных продуктов. Чтобы удалить остатки пищи, достаточно хорошенько прополоскать рот.
















